CCDC19 Antibody - BSA Free

Images

 
Orthogonal Strategies: Immunohistochemistry-Paraffin: CCDC19 Antibody [NBP1-91758] - Staining in human fallopian tube and skeletal muscle tissues using NBP1-91758 antibody. Corresponding CFAP45 RNA-seq data are ...read more
Western Blot: CCDC19 Antibody [NBP1-91758] - Analysis in human cell line U-87 MG.
Immunocytochemistry/ Immunofluorescence: CCDC19 Antibody [NBP1-91758] - Immunofluorescent staining of human cell line A-431 shows localization to nucleoplasm.
Immunohistochemistry-Paraffin: CCDC19 Antibody [NBP1-91758] - Staining of human fallopian tube shows strong positivity in apical membrane in glandular cells.
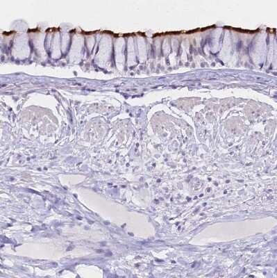
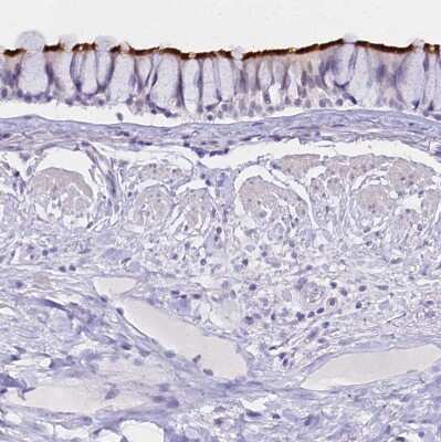
Immunohistochemistry-Paraffin: CCDC19 Antibody [NBP1-91758] - Staining of human bronchus shows strong positivity in cilia of respiratory epithelial cells.
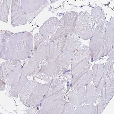
Immunohistochemistry-Paraffin: CCDC19 Antibody [NBP1-91758] - Staining of human skeletal muscle shows no positivity in myocytes as expected.
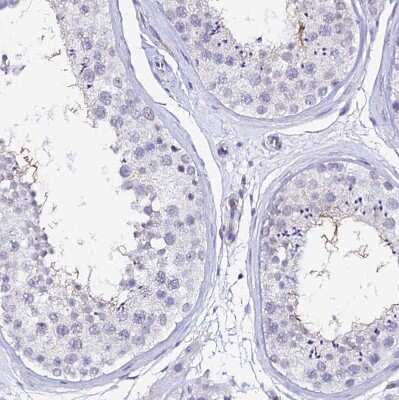
Immunohistochemistry-Paraffin: CCDC19 Antibody [NBP1-91758] - Staining of human testis shows moderate positivity in flagellum of spermatozoa.
Analysis in human cell line U-87 MG.

Product Details

Summary
Reactivity Hu, RtSpecies Glossary
Applications WB, ICC/IF, IHC
Clonality
Polyclonal
Host
Rabbit
Conjugate
Unconjugated
Format
BSA Free
Validated by:
       

Orthogonal Strategies

 

Order Details

View Available Formulations
Catalog# & Formulation Size Price

CCDC19 Antibody - BSA Free Summary

Description
Novus Biologicals Rabbit CCDC19 Antibody - BSA Free (NBP1-91758) is a polyclonal antibody validated for use in IHC, WB and ICC/IF. All Novus Biologicals antibodies are covered by our 100% guarantee.
Immunogen
This antibody was developed against Recombinant Protein corresponding to amino acids: KEATMDAVMTRKKIMKQKEMVWNNNKKLSDLEEVAKERAQNLLQRANKLRMEQEEELKDMSKIILNAKCHAIRDAQILEKQQI
Predicted Species
Rat (90%). Backed by our 100% Guarantee.
Isotype
IgG
Clonality
Polyclonal
Host
Rabbit
Gene
CCDC19
Purity
Immunogen affinity purified
Innovator's Reward
Test in a species/application not listed above to receive a full credit towards a future purchase.

Applications/Dilutions

Dilutions
  • Immunocytochemistry/ Immunofluorescence 0.25-2 ug/ml
  • Immunohistochemistry 1:200 - 1:500
  • Immunohistochemistry-Paraffin 1:200-1:500
  • Western Blot 0.04 - 0.4 ug/ml
Application Notes
For IHC-Paraffin, HIER pH 6 retrieval is recommended. ICC/IF, Fixation Permeabilization: Use PFA/Triton X-100.
Control Peptide
CCDC19 Protein (NBP1-91758PEP)

Reactivity Notes

Immunogen displays the following percentage of sequence identity for non-tested species: Mouse (89%)

Packaging, Storage & Formulations

Storage
Store at 4C short term. Aliquot and store at -20C long term. Avoid freeze-thaw cycles.
Buffer
PBS (pH 7.2) and 40% Glycerol
Preservative
0.02% Sodium Azide
Purity
Immunogen affinity purified

Alternate Names for CCDC19 Antibody - BSA Free

  • coiled-coil domain containing 19
  • coiled-coil domain-containing protein 19, mitochondrial
  • nasopharyngeal epithelium specific protein 1 (NESG1)
  • NESG1Nasopharyngeal epithelium-specific protein 1

Limitations

This product is for research use only and is not approved for use in humans or in clinical diagnosis. Primary Antibodies are guaranteed for 1 year from date of receipt.

Customers Who Viewed This Item Also Viewed...

MAB7046
Species: Hu
Applications: IHC, WB
NBP2-29463
Species: Pm, Hu, Pm, Mu
Applications: Flow, ICC/IF, IHC,  IHC-P, WB
AF1029
Species: Mu
Applications: ICC, IHC, IP, WB
H00027065-M01
Species: Hu, Rt
Applications: ELISA, ICC/IF, S-ELISA, WB
NBP2-46085
Species: Hu
Applications: IHC,  IHC-P, WB
NBP1-90095
Species: Hu
Applications: IHC,  IHC-P
NB300-619
Species: Bv, Ch, Ha, Hu, Mu, Rt
Applications: ICC, ICC/IF, IHC,  IHC-P, IP, WB
NBP2-19784
Species: Hu, Mu, Rt, Ye
Applications: ICC/IF, IHC,  IHC-P, IP, PLA, WB
NB600-302
Species: Bv, Dr, Hu, Mu
Applications: ChIP, ELISA, Flow-IC, Flow, IB, ICC/IF, IHC, IHC-Fr,  IHC-P, IP, PLA, S-ELISA, Simple Western, WB
NB400-114
Species: Ch, Fe, Ha, Hu, Mu, Pl, Po, Pm, Rt
Applications: ICC/IF, IHC,  IHC-P, IP, KD, WB
NBP1-91803
Species: Hu
Applications: IHC,  IHC-P, WB
H00002023-M01
Species: Fe, Hu
Applications: ELISA, Flow, Func, ICC/IF, IHC,  IHC-P, IP, WB
H00005688-M01
Species: Hu
Applications: ELISA, ICC/IF, IHC,  IHC-P, IP, S-ELISA, WB
NB400-148
Species: ChHa, Ha, Hu, Mu, Po, Pm, Rt
Applications: EM, ICC/IF, IHC,  IHC-P, IP, KD, KO, WB
NBP2-67899
Species: Hu, Mu, Rt
Applications: Flow, ICC/IF, IHC,  IHC-P, IP, WB
NBP1-91758
Species: Hu, Rt
Applications: WB, ICC/IF, IHC

Publications for CCDC19 Antibody (NBP1-91758) (0)

There are no publications for CCDC19 Antibody (NBP1-91758).
By submitting your publication information earn gift cards and discounts for future purchases.

Reviews for CCDC19 Antibody (NBP1-91758) (0)

There are no reviews for CCDC19 Antibody (NBP1-91758). By submitting a review you will receive an Amazon e-Gift Card or Novus Product Discount.
  • Review with no image -- $10/€7/£6/$10 CAD/¥70 Yuan/¥1110 Yen
  • Review with an image -- $25/€18/£15/$25 CAD/¥150 Yuan/¥2500 Yen

Product General Protocols

Find general support by application which include: protocols, troubleshooting, illustrated assays, videos and webinars.

Video Protocols

WB Video Protocol
ICC/IF Video Protocol

FAQs for CCDC19 Antibody (NBP1-91758) (0)

There are no specific FAQs related to this product. Read our general customer & technical service FAQs.

Customers Who Bought This Also Bought

Contact Information

Product PDFs

Calculators

Concentration Calculator

The concentration calculator allows you to quickly calculate the volume, mass or concentration of your vial. Simply enter your mass, volume, or concentration values for your reagent and the calculator will determine the rest.

=
÷

Review this Product

Be the first to review our CCDC19 Antibody - BSA Free and receive a gift card or discount.

Bioinformatics

Gene Symbol CCDC19