Carbonic Anhydrase II/CA2 Antibody (11A1)

Images

 
Western Blot: Carbonic Anhydrase II/CA2 Antibody (11A1) [NBP2-76974] - Analysis of Carbonic anhydrase II/CA2 on different lysates with Mouse anti-Carbonic anhydrase II/CA2 antibody at 1/500 dilution. Lane 1: A431 cell ...read more
Immunocytochemistry/ Immunofluorescence: Carbonic Anhydrase II/CA2 Antibody (11A1) [NBP2-76974] - ICC staining Carbonic anhydrase 2 in AGS cells (green). Formalin fixed cells were permeabilized with 0.1% Triton X-100 in ...read more
Immunohistochemistry: Carbonic Anhydrase II/CA2 Antibody (11A1) [NBP2-76974] - Immunohistochemical analysis of paraffin-embedded mouse brain tissue using anti-Carbonic anhydrase 2 antibody. The section was pre-treated ...read more
Western Blot: Carbonic Anhydrase II/CA2 Antibody (11A1) [NBP2-76974] - Western blot analysis of Carbonic anhydrase 2 on different cell lysates. Proteins were transferred to a PVDF membrane and blocked with 5% BSA in PBS ...read more
Immunocytochemistry/ Immunofluorescence: Carbonic Anhydrase II/CA2 Antibody (11A1) [NBP2-76974] - ICC staining Carbonic anhydrase 2 in 293T cells (green). Formalin fixed cells were permeabilized with 0.1% Triton X-100 ...read more
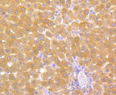
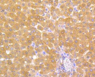
Immunohistochemistry: Carbonic Anhydrase II/CA2 Antibody (11A1) [NBP2-76974] - Immunohistochemical analysis of paraffin-embedded rat liver tissue using anti-Carbonic anhydrase 2 antibody. The section was pre-treated ...read more
Immunohistochemistry: Carbonic Anhydrase II/CA2 Antibody (11A1) [NBP2-76974] - Immunohistochemical analysis of paraffin-embedded human colon tissue using anti-Carbonic anhydrase 2 antibody. The section was pre-treated ...read more
Immunohistochemistry: Carbonic Anhydrase II/CA2 Antibody (11A1) [NBP2-76974] - Immunohistochemical analysis of paraffin-embedded human colon tissue using anti-Carbonic anhydrase 2 antibody. The section was pre-treated ...read more
Immunohistochemistry: Carbonic Anhydrase II/CA2 Antibody (11A1) [NBP2-76974] - Immunohistochemical analysis of paraffin-embedded human stomach cancer tissue using anti-Carbonic anhydrase 2 antibody. The section was ...read more

Product Details

Summary
Product Discontinued
View other related Carbonic Anhydrase II/CA2 Primary Antibodies

Order Details


    • Catalog Number
      NBP2-76974
    • Availability
      Product Discontinued

    Can't find what you are looking for? Use our Antibody Concierge Service & we will help you locate your antibody!

    Or feel free to contact us for alternative products.

Carbonic Anhydrase II/CA2 Antibody (11A1) Summary

Immunogen
Recombinant protein within Human Carbonic Anhydrase II/CA2 aa 63-240 / 260. (SwissProt: P00918 Human; SwissProt: P00920 Mouse; SwissProt: P27139 Rat)
Localization
Cytoplasm.
Isotype
IgG2a
Clonality
Monoclonal
Host
Mouse
Gene
CA2
Purity
Immunogen affinity purified
Innovator's Reward
Test in a species/application not listed above to receive a full credit towards a future purchase.

Applications/Dilutions

Dilutions
  • Immunocytochemistry/ Immunofluorescence 1:50-1:200
  • Immunohistochemistry
  • Immunohistochemistry-Paraffin 1:50-1:200
  • Western Blot 1:500-1:2000
Theoretical MW
29 kDa.
Disclaimer note: The observed molecular weight of the protein may vary from the listed predicted molecular weight due to post translational modifications, post translation cleavages, relative charges, and other experimental factors.

Reactivity Notes

Mouse blocking reagent may be needed for IHC and ICC experiments to reduce high background signal. You can find these reagents under catalog numbers PK-2200-NB and MP-2400-NB. Please contact Technical Support if you have any. Please note that this antibody is reactive to Mouse and derived from the same host, Mouse. Mouse-On-questions.

Packaging, Storage & Formulations

Storage
Store at 4C short term. Aliquot and store at -20C long term. Avoid freeze-thaw cycles.
Buffer
PBS (pH7.4), 0.2% BSA, 50% Glycerol
Preservative
0.05% Sodium Azide
Concentration
2 mg/ml
Purity
Immunogen affinity purified

Alternate Names for Carbonic Anhydrase II/CA2 Antibody (11A1)

  • CA2
  • CAII
  • CA-IIEC 4.2.1.1
  • Car2
  • Carbonate dehydratase II
  • carbonic anhydrase 2
  • carbonic anhydrase B
  • Carbonic anhydrase C
  • Carbonic Anhydrase II
  • carbonic anhydrase IICAC
  • carbonic dehydratase

Background

Carbonic anhydrase II (CAII) is a single polypeptide chain of molecular weight 29kDa. It is present in the cytosol of most tissues, but highest concentrations are found, like Carbonic Anhydrase I, in erythrocytes. The concentration in erythrocytes is about 20

Limitations

This product is for research use only and is not approved for use in humans or in clinical diagnosis. Primary Antibodies are guaranteed for 1 year from date of receipt.

Customers Who Viewed This Item Also Viewed...

NBP1-88191
Species: Hu, Mu
Applications: IHC,  IHC-P, WB
AF2185
Species: Hu, Mu, Rt
Applications: IP, WB
AF2414
Species: Mu
Applications: IHC, IP, Simple Western, WB
NB300-141
Species: Bv, Ch, Eq, Gp, Hu, Mu, Po, Rb, Rt
Applications: ICC/IF, IHC, IHC-Fr,  IHC-P, Simple Western, WB
AF1936
Species: Hu
Applications: IP, WB
DY1707
Species: Hu
Applications: ELISA
NBP1-81838
Species: Hu
Applications: IHC,  IHC-P, WB
NB300-731
Species: Gp, Hu, Mu, Rb, Rt, Sh, Ye
Applications: B/N, ChIP, Flow, GS, ICC/IF, IHC,  IHC-P, IP, WB
DBD00
Species: Hu
Applications: ELISA
NBP2-58917
Species: Hu
Applications: IHC,  IHC-P, WB
AF3398
Species: Hu, Mu, Rt
Applications: ICC, KO, Simple Western, WB
NBP2-49409
Species: Hu
Applications: IHC,  IHC-P
NBP1-86616
Species: Hu
Applications: IHC,  IHC-P, WB
233-FB
Species: Hu
Applications: BA
NB100-56508
Species: Av, Hu, Mu, Rt
Applications: CyTOF-ready, Flow-IC, Flow, IHC,  IHC-P, WB
DY805
Species: Hu
Applications: ELISA

Publications for Carbonic Anhydrase II/CA2 Antibody (NBP2-76974) (0)

There are no publications for Carbonic Anhydrase II/CA2 Antibody (NBP2-76974).
By submitting your publication information earn gift cards and discounts for future purchases.

Reviews for Carbonic Anhydrase II/CA2 Antibody (NBP2-76974) (0)

There are no reviews for Carbonic Anhydrase II/CA2 Antibody (NBP2-76974). By submitting a review you will receive an Amazon e-Gift Card or Novus Product Discount.
  • Review with no image -- $10/€7/£6/$10 CAD/¥70 Yuan/¥1110 Yen
  • Review with an image -- $25/€18/£15/$25 CAD/¥150 Yuan/¥2500 Yen

Product General Protocols

Find general support by application which include: protocols, troubleshooting, illustrated assays, videos and webinars.

Video Protocols

WB Video Protocol
ICC/IF Video Protocol

FAQs for Carbonic Anhydrase II/CA2 Antibody (NBP2-76974) (0)

There are no specific FAQs related to this product. Read our general customer & technical service FAQs.

Secondary Antibodies

 

Isotype Controls

Additional Carbonic Anhydrase II/CA2 Products

Research Areas for Carbonic Anhydrase II/CA2 Antibody (NBP2-76974)

Find related products by research area.

Blogs on Carbonic Anhydrase II/CA2

There are no specific blogs for Carbonic Anhydrase II/CA2, but you can read our latest blog posts.

Contact Information

Product PDFs

Calculators

Concentration Calculator

The concentration calculator allows you to quickly calculate the volume, mass or concentration of your vial. Simply enter your mass, volume, or concentration values for your reagent and the calculator will determine the rest.

=
÷

Review this Product

Be the first to review our Carbonic Anhydrase II/CA2 Antibody (11A1) and receive a gift card or discount.

Bioinformatics

Gene Symbol CA2