CaM Kinase I Antibody

Images

 
Western Blot: CaMKI Antibody [NBP2-15683] - Sample (30 ug of whole cell lysate) A: Hep G2 10% SDS PAGE gel, diluted at 1:1000.
Immunocytochemistry/ Immunofluorescence: CaMKI Antibody [NBP2-15683] - Immunofluorescence analysis of methanol-fixed HeLa, using antibody at 1:200 dilution.
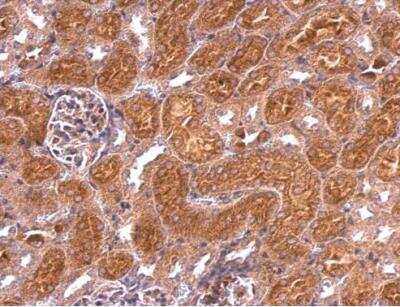
Immunohistochemistry-Paraffin: CaM Kinase I Antibody [NBP2-15683] - Paraffin-embedded mouse kidney. CaMK1 antibody [N2C3] dilution: 1:500

Product Details

Summary
Product Discontinued
View other related CaM Kinase I Primary Antibodies

Order Details


    • Catalog Number
      NBP2-15683
    • Availability
      Product Discontinued

    Can't find what you are looking for? Use our Antibody Concierge Service & we will help you locate your antibody!

    Or feel free to contact us for alternative products.

CaM Kinase I Antibody Summary

Immunogen
Recombinant protein encompassing a sequence within the center region of human CaMK1. The exact sequence is proprietary.
Predicted Species
Rat (100%), Porcine (99%), Bovine (99%), Rhesus Macaque (100%), Xenopus (93%). Backed by our 100% Guarantee.
Isotype
IgG
Clonality
Polyclonal
Host
Rabbit
Gene
CAMK1
Purity
Immunogen affinity purified
Innovator's Reward
Test in a species/application not listed above to receive a full credit towards a future purchase.

Applications/Dilutions

Dilutions
  • Immunocytochemistry/ Immunofluorescence 1:100-1:1000
  • Immunohistochemistry 1:100-1:1000
  • Immunohistochemistry-Paraffin 1:100-1:1000
  • Western Blot 1:500-1:3000
Theoretical MW
41 kDa.
Disclaimer note: The observed molecular weight of the protein may vary from the listed predicted molecular weight due to post translational modifications, post translation cleavages, relative charges, and other experimental factors.

Reactivity Notes

Xenopus laevis (93%).

Packaging, Storage & Formulations

Storage
Aliquot and store at -20C or -80C. Avoid freeze-thaw cycles.
Buffer
0.1M Tris (pH 7), 0.1M Glycine, 10% Glycerol
Preservative
0.01% Thimerosal
Purity
Immunogen affinity purified

Alternate Names for CaM Kinase I Antibody

  • calcium/calmodulin-dependent protein kinase I
  • calcium/calmodulin-dependent protein kinase type 1
  • CaM kinase I alpha
  • CaM Kinase I
  • CaMKI
  • CaM-KI
  • caMKI-alpha
  • EC 2.7.11
  • EC 2.7.11.17
  • MGC120317
  • MGC120318

Background

Calcium/calmodulin-dependent protein kinase I is expressed in many tissues and is a component of a calmodulin-dependent protein kinase cascade. Calcium/calmodulin directly activates calcium/calmodulin-dependent protein kinase I by binding to the enzyme and indirectly promotes the phosphorylation and synergistic activation of the enzyme by calcium/calmodulin-dependent protein kinase I kinase. [provided by RefSeq]

Limitations

This product is for research use only and is not approved for use in humans or in clinical diagnosis. Primary Antibodies are guaranteed for 1 year from date of receipt.

Customers Who Viewed This Item Also Viewed...

NBP3-16802
Species: Hu, Mu, Rt
Applications: ICC/IF, IHC,  IHC-P, WB
NBP2-14871
Species: Mu, Rt
Applications: ICC/IF, WB
NB120-2860
Species: Ba, Bv, Ch, Hu, Mu, Rt
Applications: ELISA, Flow, ICC/IF, IHC,  IHC-P, WB
NBP2-15669
Species: Mu, Rt, Ze
Applications: IHC-WhMt, IHC, WB
NBP1-86652
Species: Hu
Applications: ICC/IF, IHC,  IHC-P
NBP1-86651
Species: Hu
Applications: ICC/IF, IHC,  IHC-P, WB
DYC2510-2
Species: Hu, Mu, Rt
Applications: ELISA
AF1230
Species: Hu, Mu, Rt
Applications: IHC, KO, WB
AF887
Species: Hu, Mu, Rt
Applications: CyTOF-ready, IHC, ICFlow, Simple Western, WB
AF467
Species: Hu, Mu
Applications: CyTOF-ready, Flow, ICC, IHC, Simple Western, WB
AF4536
Species: Hu, Rt
Applications: Simple Western, WB
NBP2-13891
Species: Hu
Applications: IHC,  IHC-P
NB100-56745
Species: Hu, Mu
Applications: ChIP, ChIP, ICC/IF, IHC,  IHC-P, IP, WB
AF2850
Species: Hu, Mu, Rt
Applications: ICC, IHC, Simple Western, WB
NBP2-22127
Species: Hu, Mu, Pm, Rt
Applications: ELISA, Flow, ICC/IF, IHC,  IHC-P, Simple Western, WB
DBD00
Species: Hu
Applications: ELISA
NB300-104
Species: Gp, Hu, Mu, Pm, Rt
Applications: ICC/IF, IHC-FrFl, IHC, IHC-Fr,  IHC-P, IP, WB
NBP2-15683
Species: Hu, Mu, Rt, Po, Bv, RM, Xp
Applications: WB, ICC/IF, IHC
⚠ WARNING: This product can expose you to chemicals including mercury, which is known to the State of California to cause reproductive toxicity with developmental effects.  For more information go to www.P65Warnings.ca.gov.

Publications for CaM Kinase I Antibody (NBP2-15683) (0)

There are no publications for CaM Kinase I Antibody (NBP2-15683).
By submitting your publication information earn gift cards and discounts for future purchases.

Reviews for CaM Kinase I Antibody (NBP2-15683) (0)

There are no reviews for CaM Kinase I Antibody (NBP2-15683). By submitting a review you will receive an Amazon e-Gift Card or Novus Product Discount.
  • Review with no image -- $10/€7/£6/$10 CAD/¥70 Yuan/¥1110 Yen
  • Review with an image -- $25/€18/£15/$25 CAD/¥150 Yuan/¥2500 Yen

Product General Protocols

Find general support by application which include: protocols, troubleshooting, illustrated assays, videos and webinars.

Video Protocols

WB Video Protocol
ICC/IF Video Protocol

FAQs for CaM Kinase I Antibody (NBP2-15683) (0)

There are no specific FAQs related to this product. Read our general customer & technical service FAQs.

Secondary Antibodies

 

Isotype Controls

Additional CaM Kinase I Products

Research Areas for CaM Kinase I Antibody (NBP2-15683)

Find related products by research area.

Blogs on CaM Kinase I

There are no specific blogs for CaM Kinase I, but you can read our latest blog posts.

Contact Information

Product PDFs

Calculators

Concentration Calculator

The concentration calculator allows you to quickly calculate the volume, mass or concentration of your vial. Simply enter your mass, volume, or concentration values for your reagent and the calculator will determine the rest.

=
÷

Review this Product

Be the first to review our CaM Kinase I Antibody and receive a gift card or discount.

Bioinformatics

Gene Symbol CAMK1
Uniprot