Calreticulin-2/CALR3 Antibody - BSA Free

Images

 
Orthogonal Strategies: Immunohistochemistry-Paraffin: Calreticulin-2/CALR3 Antibody [NBP2-33524] - Staining in human testis and endometrium tissues using anti-CALR3 antibody. Corresponding CALR3 RNA-seq data are ...read more
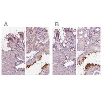
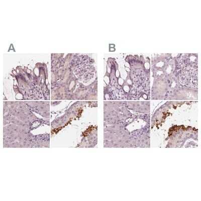
Independent Antibodies: Immunohistochemistry-Paraffin: Calreticulin-2/CALR3 Antibody [NBP2-33524] - Staining of human colon, kidney, liver and testis using Anti-CALR3 antibody NBP2-33524 (A) shows similar protein ...read more
Immunohistochemistry-Paraffin: Calreticulin-2/CALR3 Antibody [NBP2-33524] - Immunohistochemical staining of CT antigens in normal tissues. Among 22 normal tissues (see materials and methods), ADAM2, CALR3 (shown in ...read more
Western Blot: Calreticulin-2/CALR3 Antibody [NBP2-33524] - Lane 1: Marker [kDa] 250, 130, 95, 72, 55, 36, 28, 17, 10. Lane 2: Human cell line RT-4
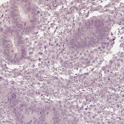
Immunohistochemistry-Paraffin: Calreticulin-2/CALR3 Antibody [NBP2-33524] - Staining of human colon.
Immunohistochemistry-Paraffin: Calreticulin-2/CALR3 Antibody [NBP2-33524] - Staining of human endometrium shows low expression as expected.
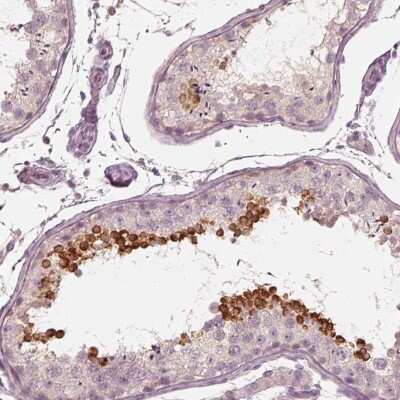
Immunohistochemistry-Paraffin: Calreticulin-2/CALR3 Antibody [NBP2-33524] - Staining of human testis shows high expression.
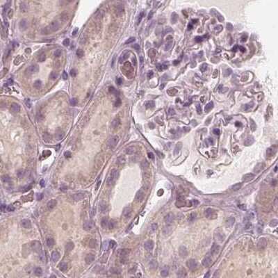
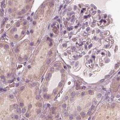
Immunohistochemistry-Paraffin: Calreticulin-2/CALR3 Antibody [NBP2-33524] - Staining of human kidney.
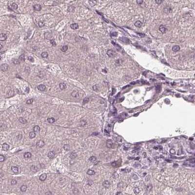
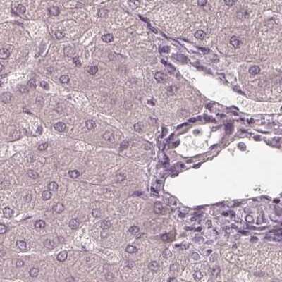
Immunohistochemistry-Paraffin: Calreticulin-2/CALR3 Antibody [NBP2-33524] - Staining of human liver.
Immunohistochemistry: Calreticulin-2/CALR3 Antibody [NBP2-33524] - Immunohistochemical staining of CT antigens in lung & breast cancer tumors.Examples of lung & breast cancer tumors positive for MAGE-A & negative for ...read more
Immunohistochemistry: Calreticulin-2/CALR3 Antibody [NBP2-33524] - Immunohistochemical staining of CT antigens in normal tissues.Among 22 normal tissues (see materials & methods), ADAM2, CALR3, SAGE1 & MAGE-A proteins ...read more

Product Details

Summary
Reactivity HuSpecies Glossary
Applications WB, IHC
Clonality
Polyclonal
Host
Rabbit
Conjugate
Unconjugated
Format
BSA Free

Order Details

View Available Formulations
Catalog# & Formulation Size Price

Calreticulin-2/CALR3 Antibody - BSA Free Summary

Description
Novus Biologicals Rabbit Calreticulin-2/CALR3 Antibody - BSA Free (NBP2-33524) is a polyclonal antibody validated for use in IHC and WB. Anti-Calreticulin-2/CALR3 Antibody: Cited in 2 publications. All Novus Biologicals antibodies are covered by our 100% guarantee.
Immunogen
This antibody was developed against a recombinant protein corresponding to amino acids: SIEYDWNLTSLKKETSPAESKDWEQTKDNKAQDWEKHFLDASTSKQSDWNGDLDGDWPAPMLQKPPYQDGLKPEGIHKGVWLHRKMKNTDYLTQYDLSEF
Isotype
IgG
Clonality
Polyclonal
Host
Rabbit
Gene
CALR3
Purity
Affinity purified
Innovator's Reward
Test in a species/application not listed above to receive a full credit towards a future purchase.

Applications/Dilutions

Dilutions
  • Immunohistochemistry 1:1000 - 1:2500
  • Immunohistochemistry-Paraffin 1:1000 - 1:2500
  • Western Blot 0.04 - 0.4 ug/ml
Application Notes
For IHC-Paraffin, HIER pH 6 retrieval is recommended.
Control Peptide
Calreticulin-2/CALR3 Recombinant Protein Antigen (NBP2-33524PEP)
Publications
Read Publications using
NBP2-33524 in the following applications:

Packaging, Storage & Formulations

Storage
Store at 4C short term. Aliquot and store at -20C long term. Avoid freeze-thaw cycles.
Buffer
PBS (pH 7.2) and 40% Glycerol
Preservative
0.02% Sodium Azide
Purity
Affinity purified

Alternate Names for Calreticulin-2/CALR3 Antibody - BSA Free

  • CALR3
  • calreticulin 2
  • calreticulin 3
  • Calreticulin2
  • Calreticulin-2
  • calreticulin-3
  • cancer/testis antigen 93
  • Crt2
  • CRT2calreticulin-2
  • CT93
  • FLJ25355
  • MGC26577

Background

Calreticulins, such as CALR3, are Ca(2+)-binding chaperones localized mainly in the endoplasmic/sarcoplasmic reticulum Persson et al. (2002) [PubMed 12384296].[supplied by OMIM]

Limitations

This product is for research use only and is not approved for use in humans or in clinical diagnosis. Primary Antibodies are guaranteed for 1 year from date of receipt.

Customers Who Viewed This Item Also Viewed...

NB600-101
Species: Bv, Ha, Hu, Mu, Pm, Rt
Applications: B/N, DB, EM, Flow, ICC/IF, IHC,  IHC-P, IP, KD, PA, Simple Western, WB
NBP3-15836
Species: Hu, Mu, Rt
Applications: ICC/IF, IHC,  IHC-P, WB
NBP2-11567
Species: Hu, Mu
Applications: IHC,  IHC-P, PEP-ELISA, WB
MAB4614
Species: Hu
Applications: CyTOF-ready, Flow, KO
NBP1-85416
Species: Hu
Applications: IHC,  IHC-P
NB100-1965
Species: Av, Bv, Ch, Dr, Gp, Hu, Mu, Po, Rb, Rt, Sh, Xp, Ze
Applications: Flow, ICC/IF, IHC,  IHC-P, IP, Simple Western, WB
MAB901
Species: Hu
Applications: IHC, IP, KO, Neut, WB
NBP2-19807
Species: Hu, Mu, Po, Rt
Applications: ICC/IF, IHC,  IHC-P, WB
AF1513
Species: Mu
Applications: CyTOF-ready, Flow, IHC, IP, Simple Western, WB
NBP1-89394
Species: Hu
Applications: ICC/IF, IHC,  IHC-P
NBP2-24479
Species: Bv, Ca, Eq, Hu, Mu, Pm, Rt
Applications: ICC/IF, IHC,  IHC-P, WB
NBP1-80933
Species: Hu
Applications: IHC,  IHC-P, WB
NBP2-92880
Species: Hu, Mu, Rt
Applications: ICC/IF, IHC,  IHC-P, WB
NBP2-69049
Species: Hu
Applications: IHC,  IHC-P
NBP3-45890
Species: Hu, Mu, Rt
Applications: ELISA, ICC/IF, IHC
NBP2-15669
Species: Mu, Rt, Ze
Applications: IHC-WhMt, IHC, WB
NB500-327
Species: Hu
Applications: CyTOF-ready, ELISA, Flow, IHC,  IHC-P, In vitro, WB
NBP2-33524
Species: Hu
Applications: WB, IHC

Publications for Calreticulin-2/CALR3 Antibody (NBP2-33524)(2)

We have publications tested in 1 confirmed species: Human.

We have publications tested in 2 applications: IHC-P, Immunohistochemistry-Paraffin.


Filter By Application
IHC-P
(1)
Immunohistochemistry-Paraffin
(1)
All Applications
Filter By Species
Human
(2)
All Species

Reviews for Calreticulin-2/CALR3 Antibody (NBP2-33524) (0)

There are no reviews for Calreticulin-2/CALR3 Antibody (NBP2-33524). By submitting a review you will receive an Amazon e-Gift Card or Novus Product Discount.
  • Review with no image -- $10/€7/£6/$10 CAD/¥70 Yuan/¥1110 Yen
  • Review with an image -- $25/€18/£15/$25 CAD/¥150 Yuan/¥2500 Yen

Product General Protocols

Find general support by application which include: protocols, troubleshooting, illustrated assays, videos and webinars.

Video Protocols

WB Video Protocol

FAQs for Calreticulin-2/CALR3 Antibody (NBP2-33524) (0)

There are no specific FAQs related to this product. Read our general customer & technical service FAQs.

Secondary Antibodies

 

Isotype Controls

Additional Calreticulin-2/CALR3 Products

Research Areas for Calreticulin-2/CALR3 Antibody (NBP2-33524)

Find related products by research area.

Blogs on Calreticulin-2/CALR3

There are no specific blogs for Calreticulin-2/CALR3, but you can read our latest blog posts.

Customers Who Bought This Also Bought

Contact Information

Product PDFs

Calculators

Concentration Calculator

The concentration calculator allows you to quickly calculate the volume, mass or concentration of your vial. Simply enter your mass, volume, or concentration values for your reagent and the calculator will determine the rest.

=
÷

Review this Product

Be the first to review our Calreticulin-2/CALR3 Antibody - BSA Free and receive a gift card or discount.

Bioinformatics

Gene Symbol CALR3
Uniprot