Skip to main content
Support: 1-888-506-6887
Items in Cart (
0
)
[X]
Quick Order
Account
COVID-19 Research Tools
Antibodies
Primary Antibodies
Conjugated Antibodies
Sample Size Antibodies
KO Validated Antibodies
Recombinant Antibodies
Antibody Sampler Packs
Antibody Pairs
Secondary Antibodies
Isotype Control Antibodies
Proteins and Peptides
Peptides & Proteins
Blocking Peptides
Biologically Active Proteins
Lysates and Cell Lines
Lysates
Stem Cell Lines
Kits
Antibody Labeling Kits
ChIP Kits
ELISA Kits
Flow Cytometry Kits
Activators and Inhibitors
Inhibitors
Activators
Support Products
Exosome Isolation
Flow Cytometry Beads
IHC Tissue Slides
IHC Microarrays
Western Blot Gels & Buffers
Western Blot Membranes
All Support Products
Bulk and Custom
Products
Our Protocols
Resources
Protocols
Video Protocols
Troubleshooting Guides
Posters and Literature
Handbooks and Guides
Calculators
FAQs
Blogs
Diseases
Whitepapers
Webinars
Tools
Spectra Viewer
Flow Cytometry Panel Builder
Application
ELISA
Flow Cytometry
Mass Cytometry (CyTOF)
ICC
IHC
Western Blotting
Interviews
Faculty
Postdoc
Resources
View Pathways
By Research Area
Apoptosis
Autophagy
Cancer
Cell Biology
Cellular Markers
Epigenetics
Epitope Tags
Exosomes Research
Hypoxia
Immunology
Microbiology
Neuroscience
Stem Cells
By Pathway
AKT
Apoptosis
Autophagy
ERK1/2/5 Pathway
Hedgehog
Hippo
JNK Pathway
mTOR
Necroptosis
NFKB Signaling
p38 Signaling
TGF Beta
TLR
Research Areas
Get Rewards
Customer Care
100% Guarantee
Risk Free Testing
Novus Rewards Program
Publication Rewards Program
Scholarship
Travel Grants
Customer Care
Novus Careers
About us
Careers
Collaborations
Events
Novus Story
Our Team
Philanthropy
Press Releases
Why choose Novus
About Us
Contact Us
Customer Service
Distributors
Technical Support
Contact
Home
» Calreticulin-2/CALR3 Products
Calreticulin-2/CALR3 Products
Calreticulin-2/CALR3 Antibodies (19)
Calreticulin-2/CALR3 ELISA Kit (1)
Calreticulin-2/CALR3 Lysate (1)
Calreticulin-2/CALR3 Proteins (3)
Antibodies
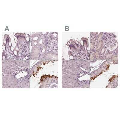
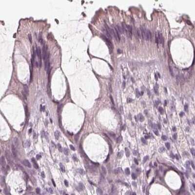
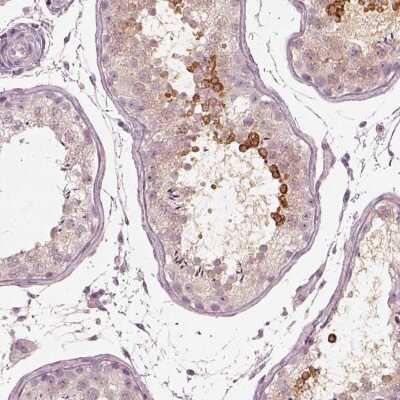
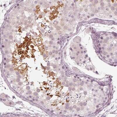
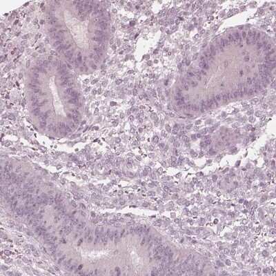
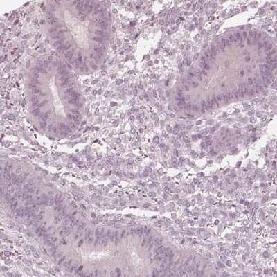
Calreticulin-2/CALR3 Antibody ...
Calreticulin-2/CALR3 Antibody - BS...
NBP2-33524
(2 Publications)
Species:
Hu
Applications:
WB, IHC
Host:
Rabbit Polyclonal
Formulations
Formulation
Catalog #
Availability
Price
BSA Free
NBP2-33524-25ul
Calreticulin-2/CALR3 Antibody ...
Calreticulin-2/CALR3 Antibody - BS...
NBP2-33390
(1 Publication)
Species:
Hu
Applications:
IHC
Host:
Rabbit Polyclonal
Formulations
Formulation
Catalog #
Availability
Price
BSA Free
NBP2-33390-25ul
Calreticulin-2/CALR3 Antibody ...
Calreticulin-2/CALR3 Antibody
AF2927
(1 Publication)
Species:
Hu
Applications:
WB, Flow, CyTOF-ready
Host:
Goat Polyclonal
Conjugates
Conjugate
Catalog #
Availability
Size
Price
Alexa Fluor 350
AF2927U-100UG
Alexa Fluor 405
AF2927V-100UG
Alexa Fluor 488
AF2927G-100UG
Alexa Fluor 532
AF2927X-100UG
Alexa Fluor 594
AF2927T-100UG
Alexa Fluor 647
AF2927R-100UG
Alexa Fluor 700
AF2927N-100UG
Alexa Fluor 750
AF2927S-100UG
Allophycocyanin
AF2927A
Biotin
BAF2927
CoraFluor 1
AF2927CL1
DyLight 350
AF2927D
DyLight 405
AF2927E
DyLight 488
AF2927K
DyLight 550
AF2927L
DyLight 594
AF2927M
DyLight 650
AF2927W
DyLight 680
AF2927Y
DyLight 755
AF2927Z
FITC
AF2927F
HRP
AF2927H
Janelia Fluor 525
AF2927JF525
Janelia Fluor 549
AF2927I
Janelia Fluor 646
AF2927J
Janelia Fluor 669
AF2927JF669
PE
AF2927P
PerCP
AF2927C
mFluor Violet 450 SE
AF2927MFV450
mFluor Violet 500 SE
AF2927MFV500
mFluor Violet 610 SE
AF2927MFV610
Formulations
Formulation
Catalog #
Availability
Price
Carrier Free
AF2927-SP
Read More
Read More
Read More
We have 19 Calreticulin-2/CALR3 Antibodies
ELISA Kits
Human Calreticulin-2/CALR3 EL ...
Human Calreticulin-2/CALR3 ELISA K...
NBP3-18701
Species:
Hu
Applications:
ELISA
Read More
We have 1 Calreticulin-2/CALR3 ELISA Kit
Lysates
Calreticulin-2/CALR3 Overexpr ...
Calreticulin-2/CALR3 Overexpressio...
NBL1-08656
Species:
Hu
Applications:
WB
Read More
We have 1 Calreticulin-2/CALR3 Lysate
Proteins
Recombinant Human Calreticuli ...
Recombinant Human Calreticulin-2/C...
NBP2-51587
Species:
Hu
Applications:
PAGE
Calreticulin-2/CALR3 Recombin ...
Calreticulin-2/CALR3 Recombinant P...
NBP2-33524PEP
Species:
Hu
Applications:
AC
Calreticulin-2/CALR3 Recombin ...
Calreticulin-2/CALR3 Recombinant P...
NBP2-33390PEP
Species:
Hu
Applications:
AC
Read More
Read More
Read More
We have 3 Calreticulin-2/CALR3 Proteins
Description
Calreticulins, such as CALR3, are Ca(2+)-binding chaperones localized mainly in the endoplasmic/sarcoplasmic reticulum Persson et al. (2002) [PubMed 12384296].[supplied by OMIM]
Bioinformatics
Entrez
125972
Human
Uniprot
AAH14595
Human
NM_145046
Human
Q96L12
Human
Product By Gene ID
125972
Alternate Names
calreticulin 2
calreticulin 3
Calreticulin-2
calreticulin-3
cancer/testis antigen 93
CRT2calreticulin-2
CT93
FLJ25355
MGC26577
Research Areas for Calreticulin-2/CALR3
Find related products by research area and learn more about each of the different research areas below.
Cancer
Need help?
×
How can we help you?
Close
Start Chat