Calponin 2 Antibody (OTI2B5) - Azide and BSA Free

Images

 
Western Blot: Calponin 2 Antibody (OTI2B5) - Azide and BSA Free [NBP2-70421] - HEK293T cells were transfected with the pCMV6-ENTRY control (Left lane) or pCMV6-ENTRY Calponin 2 (Right lane) cDNA for 48 hrs and lysed. ...read more
Immunocytochemistry/ Immunofluorescence: Calponin 2 Antibody (OTI2B5) - Azide and BSA Free [NBP2-70421] - Staining of COS7 cells transiently transfected by pCMV6-ENTRY Calponin 2.
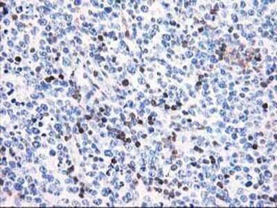
Immunohistochemistry: Calponin 2 Antibody (OTI2B5) - Azide and BSA Free [NBP2-70421] - Staining of paraffin-embedded Human lymphoma tissue using anti-Calponin 2 mouse monoclonal antibody.
Western Blot: Calponin 2 Antibody (OTI2B5) - Azide and BSA Free [NBP2-70421] - Analysis of extracts (35ug) from 9 different cell lines by using anti-Calponin 2 monoclonal antibody.
Immunohistochemistry: Calponin 2 Antibody (OTI2B5) - Azide and BSA Free [NBP2-70421] - Staining of paraffin-embedded Adenocarcinoma of Human breast tissue using anti-Calponin 2 mouse monoclonal antibody.
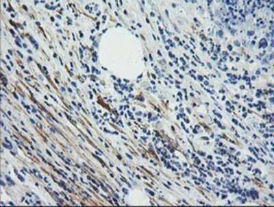
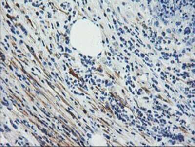
Immunohistochemistry: Calponin 2 Antibody (OTI2B5) - Azide and BSA Free [NBP2-70421] - Staining of paraffin-embedded Carcinoma of Human bladder tissue using anti-Calponin 2 mouse monoclonal antibody.
Immunohistochemistry: Calponin 2 Antibody (OTI2B5) - Azide and BSA Free [NBP2-70421] - Staining of paraffin-embedded Carcinoma of Human lung tissue using anti-Calponin 2 mouse monoclonal antibody.
Immunohistochemistry: Calponin 2 Antibody (OTI2B5) - Azide and BSA Free [NBP2-70421] - Staining of paraffin-embedded Carcinoma of Human pancreas tissue using anti-Calponin 2 mouse monoclonal antibody.
Immunohistochemistry: Calponin 2 Antibody (OTI2B5) - Azide and BSA Free [NBP2-70421] - Staining of paraffin-embedded Human tonsil using anti-Calponin 2 mouse monoclonal antibody.

Product Details

Summary
Reactivity Hu, Mu, Rt, PmSpecies Glossary
Applications WB, ICC/IF, IHC
Clone
OTI2B5
Clonality
Monoclonal
Host
Mouse
Conjugate
Unconjugated
Format
Azide and BSA Free
Concentration
LYOPH

Order Details

Calponin 2 Antibody (OTI2B5) - Azide and BSA Free Summary

Description
Novus Biologicals Mouse Calponin 2 Antibody (OTI2B5) - Azide and BSA Free (NBP2-01325) is a monoclonal antibody validated for use in IHC, WB and ICC/IF. All Novus Biologicals antibodies are covered by our 100% guarantee.
Immunogen
Full length human recombinant protein of human CNN2(NP_004359) produced in HEK293T cell.
Isotype
IgG1
Clonality
Monoclonal
Host
Mouse
Gene
CNN2
Purity
Immunogen affinity purified
Innovator's Reward
Test in a species/application not listed above to receive a full credit towards a future purchase.

Applications/Dilutions

Dilutions
  • Immunocytochemistry/ Immunofluorescence 1:100
  • Immunohistochemistry 1:150
  • Immunohistochemistry-Paraffin
  • Western Blot 1:500-2000
Theoretical MW
33.5 kDa.
Disclaimer note: The observed molecular weight of the protein may vary from the listed predicted molecular weight due to post translational modifications, post translation cleavages, relative charges, and other experimental factors.

Reactivity Notes

Please note that this antibody is reactive to Mouse and derived from the same host, Mouse. Mouse-On-Mouse blocking reagent may be needed for IHC and ICC experiments to reduce high background signal. You can find these reagents under catalog numbers PK-2200-NB and MP-2400-NB. Please contact Technical Support if you have any questions.

Packaging, Storage & Formulations

Storage
Store at -20C. Avoid freeze-thaw cycles.
Buffer
Lyophilized from PBS (pH 7.3) with 8% Trehalose
Preservative
No Preservative
Concentration
LYOPH
Purity
Immunogen affinity purified
Reconstitution Instructions
we recommend adding 100uL distilled water to a final antibody concentration of about 1 mg/mL. To use this carrier-free antibody for conjugation experiment, we strongly recommend performing another round of desalting process.

Alternate Names for Calponin 2 Antibody (OTI2B5) - Azide and BSA Free

  • calponin 2
  • Calponin H2, smooth muscle
  • calponin-2
  • Neutral calponin

Background

Calponin, a 34 kDa protein, regulates smooth muscle cell contraction and is a marker of smooth muscle cell differentiation. Calponin, an actin- and tropomyosin-binding protein, is characterized as an inhibitory factor of smooth-muscle actomyosin activity. Calponin is implicated in the regulation of smooth muscle contraction through its interaction with F-actin and inhibition of the actin-activated MgATPase activity of phosphorylated myosin.Both properties are lost following phosphorylation (primarily at serine 175) by protein kinase C or calmodulin-dependent protein kinase II. The three forms of Calponin, Calponin 1 (basic Calponin), Calponin 2 (neutral Calponin), and Calponin 3 (acidic Calponin) are found in smooth muscle tissue. Additionally, Calponin 2 is found in heart muscle tissue and Calponin 3 is found in the brain.

Limitations

This product is for research use only and is not approved for use in humans or in clinical diagnosis. Primary Antibodies are guaranteed for 1 year from date of receipt.

Customers Who Viewed This Item Also Viewed...

NBP2-53381
Species: Hu, Mu, Rt
Applications: Flow, ICC/IF, IHC, IHC-Fr, WB
NB600-1287
Species: Ca, Hu, Mu, Rb, Rt
Applications: CyTOF-ready, Flow, ICC/IF, IHC,  IHC-P, IP, WB
NB100-74513
Species: Hu, Mu, Pm, Rt
Applications: ELISA, ICC/IF, IHC,  IHC-P, IP, WB
AF3377
Species: Mu
Applications: IHC, WB
NBP3-35339
Species: Hu, Mu, Rt
Applications: ELISA, ICC/IF, WB
AF8691
Species: Hu, Mu, Rt
Applications: IHC, KO, Simple Western, WB
NBP3-16866
Species: Hu, Mu, Rt
Applications: ICC/IF, IHC,  IHC-P, WB
NB300-223
Species: Bv, Ca, Ch, Eq, Hu, Mu, Po, Rt
Applications: ICC/IF, IHC, IHC-Fr,  IHC-P, WB
NBP2-36776
Species: Hu
Applications: ICC/IF, IHC,  IHC-P, KD, WB
NB100-345
Species: Hu
Applications: ChIP, IP, KD, WB
NBP1-87677
Species: Hu, Mu, Rt
Applications: ICC/IF, IHC,  IHC-P, WB
NB100-74451
Species: Bv, Hu, Mu, Po, Rt
Applications: ICC/IF, IHC, IHC-Fr, WB
NBP2-52477
Species: Hu
Applications: CyTOF-ready, ELISA, Flow, IHC,  IHC-P, WB
NBP1-92208
Species: Hu
Applications: IHC,  IHC-P
NBP2-93797
Species: Hu, Mu, Rt
Applications: ICC/IF, IHC,  IHC-P, WB
NBP1-87925
Species: Hu, Mu
Applications: ICC/IF, IHC,  IHC-P, WB
NBP2-16500
Species: Hu, Rt
Applications: ICC/IF, IHC,  IHC-P, IP, WB

Publications for Calponin 2 Antibody (NBP2-70421) (0)

There are no publications for Calponin 2 Antibody (NBP2-70421).
By submitting your publication information earn gift cards and discounts for future purchases.

Reviews for Calponin 2 Antibody (NBP2-70421) (0)

There are no reviews for Calponin 2 Antibody (NBP2-70421). By submitting a review you will receive an Amazon e-Gift Card or Novus Product Discount.
  • Review with no image -- $10/€7/£6/$10 CAD/¥70 Yuan/¥1110 Yen
  • Review with an image -- $25/€18/£15/$25 CAD/¥150 Yuan/¥2500 Yen

Product General Protocols

Find general support by application which include: protocols, troubleshooting, illustrated assays, videos and webinars.

Video Protocols

WB Video Protocol
ICC/IF Video Protocol

FAQs for Calponin 2 Antibody (NBP2-70421) (0)

There are no specific FAQs related to this product. Read our general customer & technical service FAQs.

Secondary Antibodies

 

Isotype Controls

Additional Calponin 2 Products

Research Areas for Calponin 2 Antibody (NBP2-70421)

Find related products by research area.

Blogs on Calponin 2

There are no specific blogs for Calponin 2, but you can read our latest blog posts.

Customers Who Bought This Also Bought

Contact Information

Product PDFs

Calculators

Concentration Calculator

The concentration calculator allows you to quickly calculate the volume, mass or concentration of your vial. Simply enter your mass, volume, or concentration values for your reagent and the calculator will determine the rest.

=
÷

Review this Product

Be the first to review our Calponin 2 Antibody (OTI2B5) - Azide and BSA Free and receive a gift card or discount.

Bioinformatics

Gene Symbol CNN2