CABC1 Antibody - BSA Free

Images

 
Western Blot: CABC1 Antibody [NBP2-15659] - Sample (50 ug of whole cell lysate) A: Mouse Heart, 7. 5% SDS PAGE gel, diluted at 1:1000.
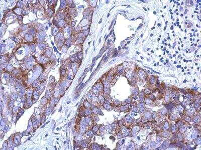
Immunohistochemistry-Paraffin: CABC1 Antibody [NBP2-15659] - Analysis of paraffin-embedded BREAST CA, using antibody at 1:500 dilution.
Western Blot: CABC1 Antibody [NBP2-15659] - Sample (30 ug of whole cell lysate) A: IMR32 7. 5% SDS PAGE gel, diluted at 1:1000.
CABC1 antibody [N3C2], Internal detects CABC1 protein at mitochondria by immunofluorescent analysis.Sample: MCF-7 cells were fixed in ice-cold MeOH for 5 min.Green: CABC1 protein stained by CABC1 antibody [N3C2], ...read more

Product Details

Summary
Reactivity Hu, Mu, Rt, Bv, RMSpecies Glossary
Applications WB, ICC/IF, IHC
Clonality
Polyclonal
Host
Rabbit
Conjugate
Unconjugated
Format
BSA Free

Order Details

CABC1 Antibody - BSA Free Summary

Description
Novus Biologicals Rabbit CABC1 Antibody - BSA Free (NBP2-15659) is a polyclonal antibody validated for use in IHC, WB and ICC/IF. All Novus Biologicals antibodies are covered by our 100% guarantee.
Immunogen
Recombinant protein encompassing a sequence within the center region of human CABC1. The exact sequence is proprietary.
Localization
Mitochondrion
Predicted Species
Rat (93%), Rhesus Macaque (99%), Bovine (96%). Backed by our 100% Guarantee.
Isotype
IgG
Clonality
Polyclonal
Host
Rabbit
Gene
COQ8A
Purity
Antigen Affinity-purified
Innovator's Reward
Test in a species/application not listed above to receive a full credit towards a future purchase.

Applications/Dilutions

Dilutions
  • Immunocytochemistry/ Immunofluorescence 1:100-1:1000
  • Immunohistochemistry 1:100-1:1000
  • Immunohistochemistry-Paraffin 1:100-1:1000
  • Western Blot 1:500-1:3000
Theoretical MW
72 kDa.
Disclaimer note: The observed molecular weight of the protein may vary from the listed predicted molecular weight due to post translational modifications, post translation cleavages, relative charges, and other experimental factors.

Packaging, Storage & Formulations

Storage
Aliquot and store at -20C or -80C. Avoid freeze-thaw cycles.
Buffer
0.1M Tris, 0.1M Glycine, 20% Glycerol
Preservative
0.01% Thimerosal
Purity
Antigen Affinity-purified

Alternate Names for CABC1 Antibody - BSA Free

  • aarF domain containing kinase 3
  • chaperone, ABC1 activity of bc1 complex homolog (S. pombe)
  • chaperone, ABC1 activity of bc1 complex homolog
  • chaperone, ABC1 activity of bc1 complex like (S. pombe)
  • chaperone-ABC1 (activity of bc1 complex, S.pombe)-like
  • Chaperone-ABC1-like
  • coenzyme Q8 homolog
  • EC 2.7.11
  • EC 2.7.11.-
  • MGC4849
  • mitochondrial
  • SCAR9

Background

This gene encodes a mitochondrial protein similar to yeast ABC1, which functions in an electron-transferring membrane protein complex in the respiratory chain. It is not related to the family of ABC transporter proteins. Expression of this gene is induced by the tumor suppressor p53 and in response to DNA damage, and inhibiting its expression partially suppresses p53-induced apoptosis. Alternatively spliced transcript variants have been found; however, their full-length nature has not been determined. [provided by RefSeq]

Limitations

This product is for research use only and is not approved for use in humans or in clinical diagnosis. Primary Antibodies are guaranteed for 1 year from date of receipt.

Customers Who Viewed This Item Also Viewed...

NB400-105
Species: Ca, Ch, ChHa, Eq, Ha, Hu, Mu, Md, Po, Pm, Rb, Rt
Applications: B/N, ChIP, ChIP, Dual ISH-IHC, ELISA, Flow, GS, GS, IB, ICC/IF, IHC, IHC-Fr,  IHC-P, IP, KD, KO, PCR, Simple Western, WB
NBP1-85511
Species: Hu, Mu
Applications: IHC,  IHC-P, WB
NBP1-88450
Species: Hu
Applications: ICC/IF, IHC,  IHC-P
NBP2-56780
Species: Hu
Applications: ICC/IF, WB
NBP2-01512
Species: Hu, Pm, Mu, Pm, Rt
Applications: Flow, IHC,  IHC-P, WB
NBP1-83950
Species: Hu
Applications: IHC,  IHC-P, WB
NBP2-92917
Species: Hu, Mu, Rt
Applications: WB
NBP3-47548
Species: Hu, Mu, Rt
Applications: ELISA, IHC, WB
H00000141-M04
Species: Hu
Applications: ELISA, IHC,  IHC-P, WB
H00026119-M01
Species: Hu
Applications: ELISA, ICC/IF, IHC,  IHC-P, S-ELISA, WB
NBP2-81797
Species: Hu, Mu
Applications: ELISA, ICC/IF, IHC,  IHC-P, WB
NBP2-98661
Species: Hu
Applications: ICC/IF, IHC,  IHC-P, WB
NBP2-58572
Species: Hu
Applications: ICC/IF, IHC,  IHC-P
H00000817-M02
Species: Hu, Mu, Rt
Applications: ELISA, ICC/IF, KD, WB
NBP2-24716
Species: Hu, Mu, Pm
Applications: ICC/IF, IHC,  IHC-P, WB
NBP2-38530
Species: Hu
Applications: ICC/IF, IHC,  IHC-P, WB
NBP2-13859
Species: Hu, Mu
Applications: IHC,  IHC-P, WB
NB100-56503
Species: Dr, Hu, Mu, Rb, Rt
Applications: Flow-CS, Flow-IC, Flow, IB, ICC/IF, IHC,  IHC-P, Simple Western, WB
⚠ WARNING: This product can expose you to chemicals including mercury, which is known to the State of California to cause reproductive toxicity with developmental effects.  For more information go to www.P65Warnings.ca.gov.

Publications for CABC1 Antibody (NBP2-15659) (0)

There are no publications for CABC1 Antibody (NBP2-15659).
By submitting your publication information earn gift cards and discounts for future purchases.

Reviews for CABC1 Antibody (NBP2-15659) (0)

There are no reviews for CABC1 Antibody (NBP2-15659). By submitting a review you will receive an Amazon e-Gift Card or Novus Product Discount.
  • Review with no image -- $10/€7/£6/$10 CAD/¥70 Yuan/¥1110 Yen
  • Review with an image -- $25/€18/£15/$25 CAD/¥150 Yuan/¥2500 Yen

Product General Protocols

Find general support by application which include: protocols, troubleshooting, illustrated assays, videos and webinars.

Video Protocols

WB Video Protocol
ICC/IF Video Protocol

FAQs for CABC1 Antibody (NBP2-15659) (0)

There are no specific FAQs related to this product. Read our general customer & technical service FAQs.

Secondary Antibodies

 

Isotype Controls

Additional CABC1 Products

Research Areas for CABC1 Antibody (NBP2-15659)

Find related products by research area.

Blogs on CABC1

There are no specific blogs for CABC1, but you can read our latest blog posts.

Customers Who Bought This Also Bought

Contact Information

Product PDFs

Calculators

Concentration Calculator

The concentration calculator allows you to quickly calculate the volume, mass or concentration of your vial. Simply enter your mass, volume, or concentration values for your reagent and the calculator will determine the rest.

=
÷

Review this Product

Be the first to review our CABC1 Antibody - BSA Free and receive a gift card or discount.

Bioinformatics

Gene Symbol COQ8A
Uniprot