CA125/MUC16 Antibody (CL2783) - Azide and BSA Free

Images

 
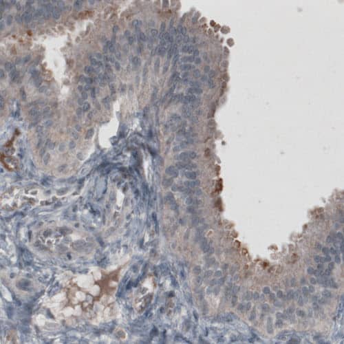
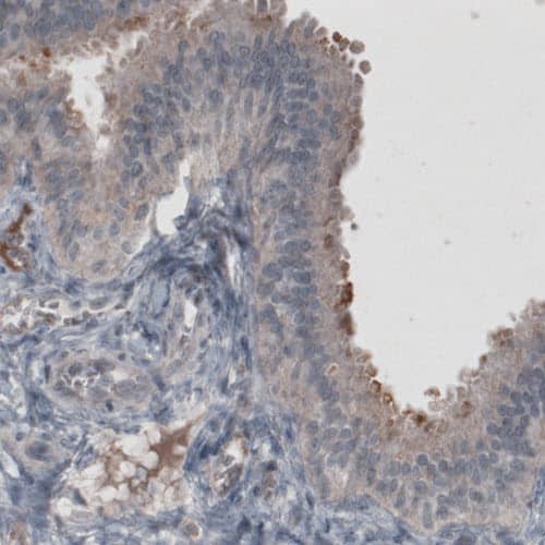
Staining of human endometrium shows strong immunoreactivity in apical membranes of glandular cells.
Staining of human fallopian tube shows positivity in ciliated glandular cells.
Staining of human tonsil shows absence of immunoreactivity as expected (negative control).

Product Details

Summary
Reactivity HuSpecies Glossary
Applications IHC
Clone
CL2783
Clonality
Monoclonal
Host
Mouse
Conjugate
Unconjugated
Format
Azide and BSA Free
Concentration
LYOPH

Order Details

CA125/MUC16 Antibody (CL2783) - Azide and BSA Free Summary

Description
Novus Biologicals Mouse CA125/MUC16 Antibody (CL2783) - Azide and BSA Free (NBP2-59024) is a monoclonal antibody validated for use in IHC. All Novus Biologicals antibodies are covered by our 100% guarantee.
Immunogen
This antibody was generated using a recombinant protein sequence of Q8WXI7, with the exact immunogen sequence remaining proprietary.
Isotype
IgG2b
Clonality
Monoclonal
Host
Mouse
Gene
MUC16
Purity
Protein A purified
Innovator's Reward
Test in a species/application not listed above to receive a full credit towards a future purchase.

Applications/Dilutions

Dilutions
  • Immunohistochemistry-Paraffin 1:500 - 1:1000
Application Notes
For IHC-Paraffin, HIER pH 6 retrieval is recommended.

Packaging, Storage & Formulations

Storage
Store at 4C short term. Aliquot and store at -20C long term. Avoid freeze-thaw cycles.
Buffer
Lyophilized from a 0.2 um filtered solution in PBS with Trehalose
Preservative
No Preservative
Concentration
LYOPH
Purity
Protein A purified
Reconstitution Instructions
Centrifuge the vial of lyophilized antibody at 12,000 x g for 20 seconds. Reconstitute by adding sterile, distilled water to achieve a final antibody concentration of 1mg/ml.

Alternate Names for CA125/MUC16 Antibody (CL2783) - Azide and BSA Free

  • CA125 ovarian cancer antigen
  • CA125
  • CA-125
  • CA125MUC-16
  • FLJ14303
  • MUC16
  • mucin 16, cell surface associated
  • mucin-16
  • Ovarian cancer-related tumor marker CA125
  • Ovarian carcinoma antigen CA125

Background

MUC16 (CA125) is a serum marker that is used routinely in gynecologic practice to monitor patients with ovarian cancer. It is a mullerian duct differentiation antigen that is over expressed in epithelial ovarian cancer cells and secreted into the blood, although its expression is not entirely confined to ovarian cancer. Most biochemical studies have concluded that MUC16 is a high molecular mass glycoprotein, although estimates of its size range from 200 to 2000 kDa with smaller "subunits" being described by some investigators.

Limitations

This product is for research use only and is not approved for use in humans or in clinical diagnosis. Primary Antibodies are guaranteed for 1 year from date of receipt.

Customers Who Viewed This Item Also Viewed...

NBP2-34594
Species: Hu, Pm
Applications: CyTOF-ready, Flow, ICC/IF, IHC,  IHC-P
AF4478
Species: Hu
Applications: IHC, WB
NBP3-41306
Species: Hu, Mu, Rt
Applications: WB
NB120-22711
Species: Hu, Mu
Applications: ELISA, Flow, ICC/IF, IHC, IHC-Fr,  IHC-P
MAB1368
Species: Hu, Mu
Applications: CyTOF-ready, ICC, ICFlow, KO, Simple Western, WB
DHE400
Species: Hu
Applications: ELISA
NBP1-83910
Species: Hu
Applications: IHC,  IHC-P, KD, WB
NB200-103
Species: Hu, Mu, Rt, Xp(-), Ye
Applications: CyTOF-ready, ELISA, Flow-IC, Flow, ICC/IF, IHC, IHC-Fr,  IHC-P, IP, WB
NBP2-47940
Species: Hu
Applications: CyTOF-ready, Flow, ICC/IF, IF, IHC,  IHC-P, Simple Western, WB
M6000B
Species: Mu
Applications: ELISA
NBP2-67309
Species: Hu, Rt
Applications: Flow, ICC/IF, IHC,  IHC-P, IP, WB
DKK300
Species: Hu
Applications: ELISA
NB300-223
Species: Bv, Ca, Ch, Eq, Hu, Mu, Po, Rt
Applications: ICC/IF, IHC, IHC-Fr,  IHC-P, WB
1129-ER
Species: Hu
Applications: BA
NB110-58870
Species: Hu, Mu, Rt
Applications: ICC/IF, IHC, KD, Simple Western, WB
AF5415
Species: Hu
Applications: ICC, IHC, Simple Western, WB
MAB32652
Species: Hu
Applications: CyTOF-ready, ELISA, Flow, KO
NBP1-26612
Species: Hu
Applications: IP (-), WB

Publications for CA125/MUC16 Antibody (NBP3-44101) (0)

There are no publications for CA125/MUC16 Antibody (NBP3-44101).
By submitting your publication information earn gift cards and discounts for future purchases.

Reviews for CA125/MUC16 Antibody (NBP3-44101) (0)

There are no reviews for CA125/MUC16 Antibody (NBP3-44101). By submitting a review you will receive an Amazon e-Gift Card or Novus Product Discount.
  • Review with no image -- $10/€7/£6/$10 CAD/¥70 Yuan/¥1110 Yen
  • Review with an image -- $25/€18/£15/$25 CAD/¥150 Yuan/¥2500 Yen

Product General Protocols

Find general support by application which include: protocols, troubleshooting, illustrated assays, videos and webinars.

FAQs for CA125/MUC16 Antibody (NBP3-44101) (0)

There are no specific FAQs related to this product. Read our general customer & technical service FAQs.

Secondary Antibodies

 

Isotype Controls

Additional CA125/MUC16 Products

Research Areas for CA125/MUC16 Antibody (NBP3-44101)

Find related products by research area.

Blogs on CA125/MUC16

There are no specific blogs for CA125/MUC16, but you can read our latest blog posts.

Customers Who Bought This Also Bought

Contact Information

Product PDFs

Calculators

Concentration Calculator

The concentration calculator allows you to quickly calculate the volume, mass or concentration of your vial. Simply enter your mass, volume, or concentration values for your reagent and the calculator will determine the rest.

=
÷

Review this Product

Be the first to review our CA125/MUC16 Antibody (CL2783) - Azide and BSA Free and receive a gift card or discount.

Bioinformatics

Gene Symbol MUC16