c-jun Antibody (4H9)

Images

 
Western Blot: c-jun Antibody (4H9) [NBP2-37571] - Western blot analysis using c-Jun mouse mAb against NIH/3T3 cell lysate.
Immunocytochemistry/ Immunofluorescence: c-jun Antibody (4H9) [NBP2-37571] - Immunofluorescence analysis of Hela cells using c-Jun mouse mAb (green). Blue: DRAQ5 fluorescent DNA dye. Red: Actin filaments have been ...read more
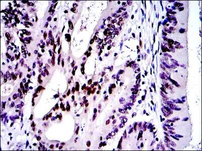
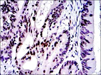
Immunohistochemistry: c-jun Antibody (4H9) [NBP2-37571] - Immunohistochemical analysis of paraffin-embedded colon cancer tissues using c-Jun mouse mAb with DAB staining.
Western Blot: c-jun Antibody (4H9) [NBP2-37571] - Western blot analysis using c-Jun mAb against human c-Jun (AA: 199-331) recombinant protein.
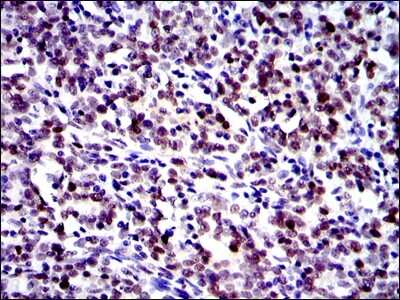
Immunohistochemistry: c-jun Antibody (4H9) [NBP2-37571] - Immunohistochemical analysis of paraffin-embedded cervical cancer tissues using c-Jun mouse mAb with DAB staining.
ELISA: c-jun Antibody (4H9) [NBP2-37571] - Red: Control Antigen (100ng); Purple: Antigen (10ng); Green: Antigen (50ng); Blue: Antigen (100ng);

Product Details

Summary
Product Discontinued
View other related c-jun Primary Antibodies

Order Details


    • Catalog Number
      NBP2-37571
    • Availability
      Product Discontinued

    Can't find what you are looking for? Use our Antibody Concierge Service & we will help you locate your antibody!

    Or feel free to contact us for alternative products.

c-jun Antibody (4H9) Summary

Immunogen
Purified recombinant fragment of human c-Jun expressed in E. Coli.
Isotype
IgG1
Clonality
Monoclonal
Host
Mouse
Gene
JUN
Purity
Unpurified
Innovator's Reward
Test in a species/application not listed above to receive a full credit towards a future purchase.

Applications/Dilutions

Dilutions
  • ELISA 1:10000
  • Immunocytochemistry/ Immunofluorescence 1:200 - 1:1000
  • Immunohistochemistry 1:200 - 1:1000
  • Immunohistochemistry-Paraffin 1:200 - 1:1000
  • Western Blot 1:500 - 1:2000
Theoretical MW
43 kDa.
Disclaimer note: The observed molecular weight of the protein may vary from the listed predicted molecular weight due to post translational modifications, post translation cleavages, relative charges, and other experimental factors.

Reactivity Notes

Please note that this antibody is reactive to Mouse and derived from the same host, Mouse. Additional Mouse on Mouse blocking steps may be required for IHC and ICC experiments. Please contact Technical Support for more information.

Packaging, Storage & Formulations

Storage
Store at 4C short term. Aliquot and store at -20C long term. Avoid freeze-thaw cycles.
Buffer
Ascites
Preservative
0.03% Sodium Azide
Purity
Unpurified

Alternate Names for c-jun Antibody (4H9)

  • Activator protein 1
  • AP1
  • AP-1
  • cJun
  • c-Jun
  • enhancer-binding protein AP1
  • Jun activation domain binding protein
  • jun oncogene
  • jun proto-oncogene
  • JUN
  • Proto-oncogene c-Jun
  • transcription factor AP-1
  • V-jun avian sarcoma virus 17 oncogene homologp39
  • v-jun sarcoma virus 17 oncogene homolog (avian)
  • v-jun sarcoma virus 17 oncogene homolog

Background

The human protooncogene JUN is the putative transforming gene of avian sarcoma virus 17, and it encodes a protein which is highly homologous to the viral protein. cJun (previously known as the Fos binding protein p39) and c Fos form a complex in the nucleus. AP 1 (activating protein 1) is a collective term referring to these dimeric transcription factors composed of Jun, Fos or ATF subunits that bind to a common DNA site, the AP1 binding site. AP 1 proteins, mostly the Jun group, regulate the expression and function of cell cycle regulators such as Cyclin D1, p53, p21 (cip1/waf1), p19 (ARF) and p16. Fos and Jun proto oncogene expression is induced transiently by a variety of extracellular stimuli associated with mitogenesis, differentiation processes or depolarization of neurons. JUN has been mapped to 1p32 to p31, a chromosomal region involved in both translocations and deletions in human malignancies.

Limitations

This product is for research use only and is not approved for use in humans or in clinical diagnosis. Primary Antibodies are guaranteed for 1 year from date of receipt.

Customers Who Viewed This Item Also Viewed...

NBP2-50037
Species: Hu, Mu, Rt
Applications: ICC/IF, IHC, KO, WB
MAB17761
Species: Hu, Mu, Rt
Applications: ICC, WB
AF1230
Species: Hu, Mu, Rt
Applications: IHC, KO, WB
NB100-56583
Species: Hu, Rb, Rt
Applications: Flow, IHC,  IHC-P, KO, Simple Western, WB
NBP2-22203
Species: Hu, Pm, Mu, Rt
Applications: ELISA, Flow, ICC/IF, IHC,  IHC-P, WB
AF467
Species: Hu, Mu
Applications: CyTOF-ready, Flow, ICC, IHC, Simple Western, WB
AF8691
Species: Hu, Mu, Rt
Applications: IHC, KO, Simple Western, WB
NBP2-37568
Species: Hu
Applications: ELISA, Flow, ICC/IF, IHC,  IHC-P, WB
NBP2-00764
Species: Hu, Mu, Rt
Applications: Flow, IHC,  IHC-P, WB
NBP1-81575
Species: Hu, Mu, Rt
Applications: ICC/IF, IHC,  IHC-P, WB
H00010598-M01
Species: Hu, Mu, Rt
Applications: ELISA, ICC/IF, S-ELISA, WB
NBP1-68874
Species: Hu, Mu, Rt
Applications: PEP-ELISA, WB
M6000B
Species: Mu
Applications: ELISA
202-IL
Species: Hu
Applications: BA
NBP1-47757
Species: Hu, Mu, Rt
Applications: IHC,  IHC-P, WB
NBP2-13304
Species: Hu
Applications: ICC/IF, IHC,  IHC-P, WB
NBP1-47839
Species: Ca, Hu, Mu, Rt
Applications: Flow, ICC/IF, IHC,  IHC-P, IP, WB
AF2818
Species: Hu
Applications: ICC, WB
NBP2-37571
Species: Hu, Mu
Applications: WB, ELISA, ICC/IF, IHC

Publications for c-jun Antibody (NBP2-37571) (0)

There are no publications for c-jun Antibody (NBP2-37571).
By submitting your publication information earn gift cards and discounts for future purchases.

Reviews for c-jun Antibody (NBP2-37571) (0)

There are no reviews for c-jun Antibody (NBP2-37571). By submitting a review you will receive an Amazon e-Gift Card or Novus Product Discount.
  • Review with no image -- $10/€7/£6/$10 CAD/¥70 Yuan/¥1110 Yen
  • Review with an image -- $25/€18/£15/$25 CAD/¥150 Yuan/¥2500 Yen

Product General Protocols

Find general support by application which include: protocols, troubleshooting, illustrated assays, videos and webinars.

Video Protocols

WB Video Protocol
ICC/IF Video Protocol

FAQs for c-jun Antibody (NBP2-37571) (0)

There are no specific FAQs related to this product. Read our general customer & technical service FAQs.

Secondary Antibodies

 

Isotype Controls

Additional c-jun Products

Research Areas for c-jun Antibody (NBP2-37571)

Find related products by research area.

Blogs on c-jun.


  Read full blog post.

Estrogen Related Receptors Play Roles in Cancer and Neurodegeneration
By Eric NeeleyEstrogen receptors come in the form of two distinct forms, ER alpha and ER beta. These nuclear receptors are predominantly activated by the hormone 17-beta-estradiol to control transcription of genes throughout the immune, nervous, car...  Read full blog post.

Contact Information

Product PDFs

Calculators

Concentration Calculator

The concentration calculator allows you to quickly calculate the volume, mass or concentration of your vial. Simply enter your mass, volume, or concentration values for your reagent and the calculator will determine the rest.

=
÷

Review this Product

Be the first to review our c-jun Antibody (4H9) and receive a gift card or discount.

Bioinformatics

Gene Symbol JUN