BRPF1 Antibody - BSA Free

Images

 
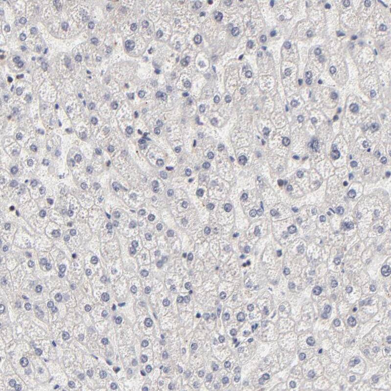
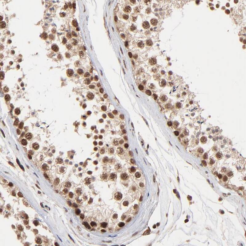
Orthogonal Strategies: Analysis in human testis and liver tissues using HPA003359 antibody. Corresponding BRPF1 RNA-seq data are presented for the same tissues.
Staining of human testis shows strong nuclear-cytoplasmic positivity in cells in seminiferous ducts.
Staining of human liver shows no positivity in hepatocytes as expected.
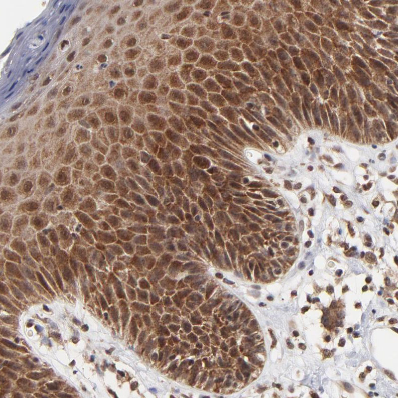
Staining of human skin shows strong nuclear-cytoplasmic positivity in squamous epithelial cells.
Staining of human placenta shows strong nuclear-cytoplasmic positivity in trophoblastic cells.
Staining of human cerebellum shows strong nuclear positivity in molecular layer and moderate cytoplasmic positivity in purkinje cells.
ChIP-Exo-Seq composite graph for Anti-BRPF1 (NBP1-88369) tested in K562 cells. Strand-specific reads (blue: forward, red: reverse) and IgG controls (black: forward, grey: reverse) are plotted against the distance from a ...read more

Product Details

Summary
Reactivity Hu, Mu, RtSpecies Glossary
Applications IHC
Clonality
Polyclonal
Host
Rabbit
Conjugate
Unconjugated
Format
BSA Free
Validated by:
       

Orthogonal Strategies

 

Order Details

View Available Formulations
Catalog# & Formulation Size Price

BRPF1 Antibody - BSA Free Summary

Description
Novus Biologicals Rabbit BRPF1 Antibody - BSA Free (NBP1-88369) is a polyclonal antibody validated for use in IHC. All Novus Biologicals antibodies are covered by our 100% guarantee.
Immunogen
This antibody was developed against Recombinant Protein corresponding to amino acids: SLAGDEATHHTEDAAEEERLVLLENQKHLPVEEQLKLLLERLDEVNASKQSVGRSRRAKMIKKEMTALRRKLAHQRETGRDGPERHGPSSRGSLTPHPAACDKDGQTD
Predicted Species
Mouse (94%), Rat (94%). Backed by our 100% Guarantee.
Isotype
IgG
Clonality
Polyclonal
Host
Rabbit
Gene
BRPF1
Purity
Immunogen affinity purified
Innovator's Reward
Test in a species/application not listed above to receive a full credit towards a future purchase.

Applications/Dilutions

Dilutions
  • Immunohistochemistry 1:200 - 1:500
  • Immunohistochemistry-Paraffin 1:200 - 1:500
Application Notes
For IHC-Paraffin, HIER pH 6 retrieval is recommended.
Control Peptide
BRPF1 Protein (NBP1-88369PEP)

Packaging, Storage & Formulations

Storage
Store at 4C short term. Aliquot and store at -20C long term. Avoid freeze-thaw cycles.
Buffer
PBS (pH 7.2) and 40% Glycerol
Preservative
0.02% Sodium Azide
Purity
Immunogen affinity purified

Alternate Names for BRPF1 Antibody - BSA Free

  • BR140
  • bromodomain and PHD finger containing, 1
  • Bromodomain and PHD finger-containing protein 1
  • BRPF1
  • peregrin
  • Protein Br140

Background

BRPF1 is encoded by this gene is expressed ubiquitously and at the highest level in testes and spermatogonia. The protein is localized within nuclei, and it is very similar in structure to two zinc finger proteins, AF10 and AF17. It is suggested that these proteins form a family of regulatory proteins. Two alternatively spliced transcript variants encoding different isoforms have been found for this gene. [provided by RefSeq]

Limitations

This product is for research use only and is not approved for use in humans or in clinical diagnosis. Primary Antibodies are guaranteed for 1 year from date of receipt.

Customers Who Viewed This Item Also Viewed...

NBP1-89222
Species: Hu, Mu
Applications: ICC/IF, IHC,  IHC-P
NBP1-90222
Species: Hu
Applications: ChIP-EXO-SEQ, ICC/IF, IHC,  IHC-P
H00007994-M07
Species: Hu
Applications: ELISA, IHC,  IHC-P, S-ELISA, WB
NBP1-88351
Species: Hu
Applications: ICC/IF, IHC,  IHC-P
NBP3-27150
Species: Hu
Applications: ELISA, WB
NB500-171
Species: Hu, I, Mu, Rt, Xp, Ye
Applications: ChIP, IB, ICC/IF, IHC,  IHC-P, Single-Cell Western, WB
H00057804-M10
Species: Hu
Applications: ELISA, WB
NB100-93290
Species: Hu, Mu
Applications: IHC,  IHC-P, IP, WB
NBP2-49672
Species: Hu
Applications: IHC,  IHC-P
AF2567
Species: Mu
Applications: IHC, WB
2695-SE
Species: Hu
Applications: EnzAct
H00006908-Q01
Species: Hu
Applications: ELISA, AP, PA, PAGE, WB
NBP2-38323
Species: Hu
Applications: ICC/IF, IHC,  IHC-P, WB
NBP1-91523
Species: Hu
Applications: IHC,  IHC-P, WB
NBP1-47492
Species: Pm, Hu
Applications: ChIP, ELISA, ICC/IF, IHC,  IHC-P, WB
AF6394
Species: Hu
Applications: IP, WB

Publications for BRPF1 Antibody (NBP1-88369) (0)

There are no publications for BRPF1 Antibody (NBP1-88369).
By submitting your publication information earn gift cards and discounts for future purchases.

Reviews for BRPF1 Antibody (NBP1-88369) (0)

There are no reviews for BRPF1 Antibody (NBP1-88369). By submitting a review you will receive an Amazon e-Gift Card or Novus Product Discount.
  • Review with no image -- $10/€7/£6/$10 CAD/¥70 Yuan/¥1110 Yen
  • Review with an image -- $25/€18/£15/$25 CAD/¥150 Yuan/¥2500 Yen

Product General Protocols

Find general support by application which include: protocols, troubleshooting, illustrated assays, videos and webinars.

FAQs for BRPF1 Antibody (NBP1-88369) (0)

There are no specific FAQs related to this product. Read our general customer & technical service FAQs.

Customers Who Bought This Also Bought

Contact Information

Product PDFs

Calculators

Concentration Calculator

The concentration calculator allows you to quickly calculate the volume, mass or concentration of your vial. Simply enter your mass, volume, or concentration values for your reagent and the calculator will determine the rest.

=
÷

Review this Product

Be the first to review our BRPF1 Antibody - BSA Free and receive a gift card or discount.

Bioinformatics

Gene Symbol BRPF1