BMI-1 Antibody

Images

 
Western Blot: BMI-1 Antibody [NBP2-24693] - Analysis of BMI1 in skeletal muscle lysate. Lane 1 shows pre-immune sera. Lanes 2, 3 and 4 show this antibody. I goat anti-rabbit Ig HRP secondary antibody and PicoTect ECL ...read more
Immunocytochemistry/ Immunofluorescence: BMI-1 Antibody [NBP2-24693] - Immunofluorescence of BMI1 in human oral squamous cell carcinoma (UPCI:SCC029B) cells. These cells are part of a large collection of HNSCC (head and ...read more
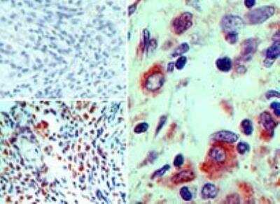
Immunohistochemistry-Paraffin: BMI-1 Antibody [NBP2-24693] - Analysis of BMI1 in formalin-fixed, paraffin-embedded human cervix tissue using an isotype control (top left) and this antibody (bottom left, right) at 5 ...read more

Product Details

Summary
Reactivity Hu, Mu, Rt, Pm, Bv, CaSpecies Glossary
Applications WB, ICC/IF, IHC
Clonality
Polyclonal
Host
Rabbit
Conjugate
Unconjugated
Concentration
0.5 mg/ml

Order Details

BMI-1 Antibody Summary

Description
Novus Biologicals Rabbit BMI-1 Antibody (NBP2-24693) is a polyclonal antibody validated for use in IHC, WB and ICC/IF. All Novus Biologicals antibodies are covered by our 100% guarantee.
Immunogen
A portion of amino acids 270-320 of human BMI1 was used as the immunogen.
Predicted Species
Canine (100%), Bovine (100%). Backed by our 100% Guarantee.
Isotype
IgG
Clonality
Polyclonal
Host
Rabbit
Gene
BMI1
Purity
Protein A purified
Innovator's Reward
Test in a species/application not listed above to receive a full credit towards a future purchase.

Applications/Dilutions

Dilutions
  • Immunocytochemistry/ Immunofluorescence 5 ug/ml
  • Immunohistochemistry
  • Immunohistochemistry-Paraffin 5 ug/ml
  • Western Blot 2.0-3.0 ug/ml

Packaging, Storage & Formulations

Storage
Store at 4C short term. Aliquot and store at -20C long term. Avoid freeze-thaw cycles.
Buffer
PBS and 0.05% BSA
Preservative
0.05% Sodium Azide
Concentration
0.5 mg/ml
Purity
Protein A purified

Alternate Names for BMI-1 Antibody

  • B lymphoma Mo-MLV insertion region 1 homolog (mouse)
  • B lymphoma Mo-MLV insertion region 1 homolog
  • BMI1 polycomb ring finger oncogene
  • BMI1
  • BMI-1
  • FLVI2/BMI1
  • MGC12685
  • murine leukemia viral (bmi-1) oncogene homolog
  • PCGF4
  • polycomb complex protein BMI-1
  • polycomb group protein Bmi1
  • polycomb group ring finger 4
  • RING finger protein 51
  • RNF51
  • RNF51Polycomb group RING finger protein 4

Background

Bmi1 polycomb ring finger oncogene regulates the cell cycle inhibitor genes p16 and p19, with implications in hematopoiesis, skeletal patterning, neurological functions, and development of the cerebellum. Bmi 1 has been shown to induce telomerase activity and immortalize human mammary epithelial cells, and extend the replicative life span of human fibroblasts by suppressing the p16-dependent senescence pathway. Bmi-1 is also required for efficient self-renewing cell division in adult hematopoietic and neural stem cells.

Aberrant expression of Bmi-1 has been found in several types of cancer in the bladder, skin, blood, prostate, breast, ovaries, andcolon. Its overexpression is especially pronounced in mantle cell lymphomas. Thereforem Bmi1 antibodies will be useful tools for many cancer development studies.

Limitations

This product is for research use only and is not approved for use in humans or in clinical diagnosis. Primary Antibodies are guaranteed for 1 year from date of receipt.

Customers Who Viewed This Item Also Viewed...

NB200-106
Species: Mu, Rt
Applications: ELISA, ICC/IF, IHC, IHC-Fr,  IHC-P, WB
NBP1-96140
Species: Hu, Mu
Applications: ChIP, Flow-IC, Flow, ICC/IF, IP, WB
AF4767
Species: Hu, Mu
Applications: ICC, WB
NB600-302
Species: Bv, Dr, Hu, Mu
Applications: ChIP, ELISA, Flow-IC, Flow, IB, ICC/IF, IHC, IHC-Fr,  IHC-P, IP, PLA, S-ELISA, Simple Western, WB
NBP1-88856
Species: Hu, Mu, Rt
Applications: IHC,  IHC-P, WB
NB100-1240
Species: Hu
Applications: PEP-ELISA, WB
H00006045-M01
Species: Hu, I, Mu
Applications: ELISA, ICC/IF, KD, S-ELISA, WB
NBP2-37370
Species: Hu
Applications: CyTOF-ready, ELISA, Flow, IHC,  IHC-P, WB
NB200-103
Species: Hu, Mu, Rt, Xp(-), Ye
Applications: CyTOF-ready, ELISA, Flow-IC, Flow, ICC/IF, IHC, IHC-Fr,  IHC-P, IP, WB
AF1759
Species: Hu, Mu
Applications: ChIP, ICC, IP, Simple Western, WB
NBP2-29463
Species: Pm, Hu, Pm, Mu
Applications: Flow, ICC/IF, IHC,  IHC-P, WB
NB100-317
Species: Hu, Mu, Rt
Applications: ChIP, ChIP, Flow, ICC/IF, IHC,  IHC-P, IP, WB
NB120-16518
Species: Hu, Mu, Po, Rt
Applications: ChIP, ELISA, Flow, ICC/IF, IHC, IHC-Fr,  IHC-P, WB
NB100-524
Species: Hu, Mu
Applications: Flow-IC, Flow, ICC/IF, IHC, IHC-Fr,  IHC-P, IP, WB
7268-CT
Species: Hu
Applications: BA
NBP2-24693
Species: Hu, Mu, Rt, Pm, Bv, Ca
Applications: WB, ICC/IF, IHC
Supplier Logo

Publications for BMI-1 Antibody (NBP2-24693) (0)

There are no publications for BMI-1 Antibody (NBP2-24693).
By submitting your publication information earn gift cards and discounts for future purchases.

Reviews for BMI-1 Antibody (NBP2-24693) (0)

There are no reviews for BMI-1 Antibody (NBP2-24693). By submitting a review you will receive an Amazon e-Gift Card or Novus Product Discount.
  • Review with no image -- $10/€7/£6/$10 CAD/¥70 Yuan/¥1110 Yen
  • Review with an image -- $25/€18/£15/$25 CAD/¥150 Yuan/¥2500 Yen

Product General Protocols

Find general support by application which include: protocols, troubleshooting, illustrated assays, videos and webinars.

Video Protocols

WB Video Protocol
ICC/IF Video Protocol

FAQs for BMI-1 Antibody (NBP2-24693). (Showing 1 - 1 of 1 FAQ).

  1. What positive controls would you recommend for using this product for IHC-P on human tissues?
    • The positive control tissues that we would suggest are as follows: Normal brain cortex or hippocampus, Cervical lymph node, Prostate Cancer, Colorectal carcinoma, Lung tissues (normal or cancer)

Customers Who Bought This Also Bought

Contact Information

Product PDFs

Calculators

Concentration Calculator

The concentration calculator allows you to quickly calculate the volume, mass or concentration of your vial. Simply enter your mass, volume, or concentration values for your reagent and the calculator will determine the rest.

=
÷

Review this Product

Be the first to review our BMI-1 Antibody and receive a gift card or discount.

Bioinformatics

Gene Symbol BMI1
Uniprot