BID Antibody (JM11-14)

Images

 
Immunocytochemistry/ Immunofluorescence: BID Antibody (JM11-14) [NBP2-67190] - Staining Bid in SW480 cells (red). The nuclear counter stain is DAPI (blue). Cells were fixed in paraformaldehyde, permeabilised with 0.25% ...read more
Immunohistochemistry-Paraffin: BID Antibody (JM11-14) [NBP2-67190] - Analysis of Bid on human thymus tissue lysates using anti-Bid antibody at 1/500 dilution.
Flow Cytometry: BID Antibody (JM11-14) [NBP2-67190] - Analysis of Hela cells with Bid antibody at 1/50 dilution (red) compared with an unlabelled control (cells without incubation with primary antibody; black). Alexa ...read more
Immunocytochemistry/ Immunofluorescence: BID Antibody (JM11-14) [NBP2-67190] - Staining Bid in Hela cells (red). The nuclear counter stain is DAPI (blue). Cells were fixed in paraformaldehyde, permeabilised with 0.25% ...read more
Immunocytochemistry/ Immunofluorescence: BID Antibody (JM11-14) [NBP2-67190] - Staining Bid in PC-3M cells (red). The nuclear counter stain is DAPI (blue). Cells were fixed in paraformaldehyde, permeabilised with 0.25% ...read more
Immunohistochemistry-Paraffin: BID Antibody (JM11-14) [NBP2-67190] - Analysis of paraffin-embedded human colon cancer tissue using anti-Bid antibody. Counter stained with hematoxylin.
Immunohistochemistry-Paraffin: BID Antibody (JM11-14) [NBP2-67190] - Analysis of paraffin-embedded human liver cancer tissue using anti-Bid antibody. Counter stained with hematoxylin.
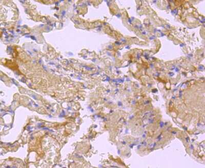
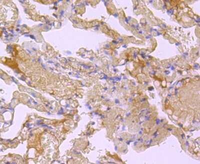
Immunohistochemistry-Paraffin: BID Antibody (JM11-14) [NBP2-67190] - Analysis of paraffin-embedded human lung tissue using anti-Bid antibody. Counter stained with hematoxylin.
Immunohistochemistry-Paraffin: BID Antibody (JM11-14) [NBP2-67190] - Analysis of paraffin-embedded human spleen tissue using anti-Bid antibody. Counter stained with hematoxylin.
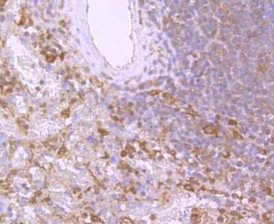
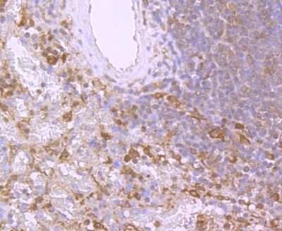
Immunohistochemistry-Paraffin: BID Antibody (JM11-14) [NBP2-67190] - Analysis of paraffin-embedded human tonsil tissue using anti-Bid antibody. Counter stained with hematoxylin.

Product Details

Summary
Product Discontinued
View other related BID Primary Antibodies

Order Details


    • Catalog Number
      NBP2-67190
    • Availability
      Product Discontinued

    Can't find what you are looking for? Use our Antibody Concierge Service & we will help you locate your antibody!

    Or feel free to contact us for alternative products.

BID Antibody (JM11-14) Summary

Additional Information
Recombinant Monoclonal Antibody.
Immunogen
Synthetic peptide within Human BID aa 40-72 / 195. (SwissProt: P55957 Human)
Localization
Cytoplasm. Mitochondrion membrane.
Isotype
IgG
Clonality
Monoclonal
Host
Rabbit
Gene
BID
Purity
Protein A purified
Innovator's Reward
Test in a species/application not listed above to receive a full credit towards a future purchase.

Applications/Dilutions

Dilutions
  • Flow Cytometry 1:50-1:100
  • Immunocytochemistry/ Immunofluorescence 1:50-1:200
  • Immunohistochemistry
  • Immunohistochemistry-Paraffin 1:50-1:200
  • Immunoprecipitation 1:10-1:50
  • Western Blot 1:500-1:1000

Packaging, Storage & Formulations

Storage
Store at 4C short term. Aliquot and store at -20C long term. Avoid freeze-thaw cycles.
Buffer
TBS (pH7.4), 0.05% BSA, 40% Glycerol
Preservative
0.05% Sodium Azide
Concentration
1 mg/ml
Purity
Protein A purified

Alternate Names for BID Antibody (JM11-14)

  • apoptic death agonist
  • BH3 interacting domain death agonist
  • BH3-interacting domain death agonist
  • BID isoform ES(1b)
  • BID isoform L(2)
  • BID isoform Si6
  • BID
  • desmocollin type 4
  • FP497
  • Human BID coding sequence
  • MGC15319
  • MGC42355
  • p22 BID
  • tbid

Background

The Bcl-2 family of apoptosis-related genes plays central roles in regulating apoptotic pathways (reviewed in Thomadaki and Scorilas, 2006). Regulation of cell death through apoptosis is critical for the maintenance of homeostasis, defense against infectious agents, and normal development. Bcl-2 family proteins regulate apoptosis primarily through the regulation of mitochondrial outer membrane permeability. In mammals, the family consists of both prosurvival (antiapoptotic) and proapoptotic (prodeath) members. Cellular homeostasis is thought to be dependent on a balance between the actions of prosurvival and proapoptotic proteins. Bcl-2 family proteins can be divided into 3 main subfamilies on the basis of their function and the content of their Bcl-2 homology (BH) domains, for example: 1) Prosurvival: Bcl-2, Bcl-XL, Bcl-W, A1, and Mcl-1 2) Proapoptotic (multidomain): Bax, Bak, and Bok. 3) BH3-only (proapoptotic): Bad, Bcl-XS, Bid, Bik, Bim, Blk, Bmf, Bnip, Noxa, and Puma. Prosurvival members inhibit cells from undergoing apoptosis, whereas proapoptotic and BH3-only subfamily members promote apoptosis. There are 4 BH domains (1-4) conserved among Bcl-2 family proteins. The BH domains are important for function as well as for heterodimerization between family members. Typical prosurvival family members have all four BH domains (1-4), whereas proapoptotic (multidomain) members have BH1, 2 and 3 domains and BH3-only members have only the BH3 domain. Overall, the relative ratio of prosurvival and proapoptotic proteins determines the suseptibility of a cell to various apoptotic stimuli. Many Bcl-2 family proteins are differentially expressed in various malignancies and some are useful prognostic biomarkers. Prosurvival proteins are often elevated in diverse cancers and have the potential to confer resistance to both endogenous cell death stimuli and cancer treatments. Alterations in the ratio or levels of Bcl-2 family proteins have been also associated with nonmalignant diseases including neurodegenerative diseases, autoimmune diseases, AIDs, Down's syndrome, cardiovascular diseases, diabetes, glomerulonephritis, and muscular dystrophy. IMG-5693 recognizes Bid (approx. 19-23 kDa) and cleaved/truncated forms of Bid. The C-terminal cleaved/truncated form (11-15 kDa) of Bid is often referred to as tBid in the literature (reviewed in Yin, 2006).

Limitations

This product is for research use only and is not approved for use in humans or in clinical diagnosis. Primary Antibodies are guaranteed for 1 year from date of receipt.

Customers Who Viewed This Item Also Viewed...

NB100-56116
Species: Ma, Hu, Mu, Rt
Applications: Flow, ICC/IF, IHC, IHC-Fr,  IHC-P, IP, Simple Western, WB
AF820
Species: Hu, Mu
Applications: ICC, IHC, KO, Simple Western, WB
NB100-56503
Species: Dr, Hu, Mu, Rb, Rt
Applications: Flow-CS, Flow-IC, Flow, IB, ICC/IF, IHC,  IHC-P, Simple Western, WB
AF800
Species: Hu, Mu
Applications: IP, Simple Western, WB
NB100-56098
Species: Ca, Hu, Mu, Rt
Applications: IHC,  IHC-P, IP, WB
NB100-56118
Species: Ca, Ma, Hu, Mu, Rt
Applications: Flow-IC, ICC/IF, IHC, IHC-Fr,  IHC-P, IP, WB
375-TL
Species: Hu
Applications: BA
AF816
Species: Hu
Applications: ICC, IHC, WB
NB120-13550
Species: Hu, Mu, Rt
Applications: ICC/IF, IHC,  IHC-P, WB
NBP2-27335
Species: Hu, Mu, Rt(-)
Applications: CyTOF-ready, Flow, ICC/IF, WB
NBP1-76963
Species: Hu, Mu, Rt
Applications: ELISA, ICC/IF, IHC,  IHC-P, Simple Western, WB
NB100-56311
Species: Hu, Mu
Applications: ICC/IF, IHC,  IHC-P, WB
AF8221
Species: Hu, Mu, Rt
Applications: IHC, KO, Simple Western, WB
NBP2-67190
Species: Hu
Applications: WB, Flow, ICC/IF, IHC, IP

Publications for BID Antibody (NBP2-67190) (0)

There are no publications for BID Antibody (NBP2-67190).
By submitting your publication information earn gift cards and discounts for future purchases.

Reviews for BID Antibody (NBP2-67190) (0)

There are no reviews for BID Antibody (NBP2-67190). By submitting a review you will receive an Amazon e-Gift Card or Novus Product Discount.
  • Review with no image -- $10/€7/£6/$10 CAD/¥70 Yuan/¥1110 Yen
  • Review with an image -- $25/€18/£15/$25 CAD/¥150 Yuan/¥2500 Yen

Product General Protocols

Video Protocols

WB Video Protocol
ICC/IF Video Protocol

FAQs for BID Antibody (NBP2-67190) (0)

There are no specific FAQs related to this product. Read our general customer & technical service FAQs.

Secondary Antibodies

 

Isotype Controls

Additional BID Products

Research Areas for BID Antibody (NBP2-67190)

Find related products by research area.

Blogs on BID.

Apoptosis and Necroptosis Part I: Important factors to identify both types of programmed cell death
Different types of cell death have classically been identified by discrete morphological changes. The hallmarks of apoptosis include cell shrinkage, nuclear fragmentation and membrane blebbing whereas necroptosis is characterized by cell swelling ...  Read full blog post.

The use of apoptosis antibodies and controls in cell death research
Apoptosis is a method of programmed cell death that is notably characterized by a morphological change in cellular nuclei and membrane appearance.  Not to be confused with necrosis, apoptosis is a pathway that is induced by a variety of factors tha...  Read full blog post.

The role of p53 in UV radiation DNA damage and subsequent tumorogenesis
p53, the protein product of the tp53 gene, is one of the most widely studied tumor suppressor proteins in cancer research.  p53 is unique in that it demonstrates both tumor suppressive and tumor progressive properties depending on whether it is fu...  Read full blog post.

active/cleaved Caspase 2 - Inducing apoptosis in response to cellular stress
Caspase-2 is a highly conserved member of the caspase family involved in the initiation and execution of apoptosis. While its function is still poorly understood, caspase-2 is thought to be important for apoptosis in response to DNA damage, bacteri...  Read full blog post.

Bcl-2 - an antiapoptotic protein with an important role in cancer cell survival
B-cell lymphoma 2 (Bcl-2) protein is an oncogene that normally acts as an apoptotic inhibitor and localizes to the mitochondrial membrane where it prevents the release of cytochrome c. The Bcl-2 protein family consists of over 20 proteins each co...  Read full blog post.

Contact Information

Product PDFs

Calculators

Concentration Calculator

The concentration calculator allows you to quickly calculate the volume, mass or concentration of your vial. Simply enter your mass, volume, or concentration values for your reagent and the calculator will determine the rest.

=
÷

Review this Product

Be the first to review our BID Antibody (JM11-14) and receive a gift card or discount.

Bioinformatics

Gene Symbol BID