beta-Catenin Antibody

Images

 
Genetic Strategies: Western Blot: beta-Catenin Antibody [NBP2-92970] - Western blot analysis of extracts from normal (control) and beta-Catenin knockout (KO) 293T cells, using beta-Catenin antibody (NBP2-92970) ...read more
Immunohistochemistry-Paraffin: beta-Catenin Antibody [NBP2-92970] - Immunohistochemistry of paraffin-embedded mouse stomach using [KO Validated] beta-Catenin Rabbit pAb (NBP2-92970) at dilution of 1:100 (40x lens). ...read more
Western Blot: beta-Catenin Antibody [NBP2-92970] - Western blot analysis of extracts of various cell lines, using beta-Catenin antibody (NBP2-92970) at 1:1000 dilution. Secondary antibody: HRP Goat Anti-Rabbit IgG (H+L) ...read more
Immunohistochemistry-Paraffin: beta-Catenin Antibody [NBP2-92970] - Immunohistochemistry of paraffin-embedded rat pancreas using [KO Validated] beta-Catenin Rabbit pAb (NBP2-92970) at dilution of 1:100 (40x lens). ...read more
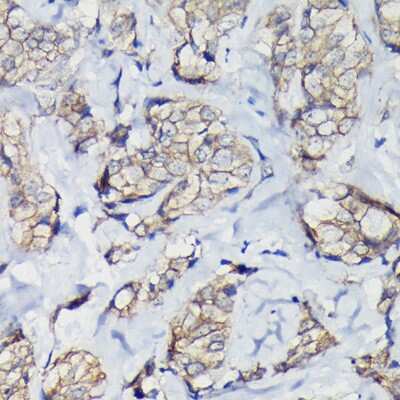
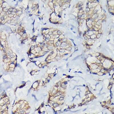
Immunohistochemistry-Paraffin: beta-Catenin Antibody [NBP2-92970] - Immunohistochemistry of paraffin-embedded human breast cancer using [KO Validated] beta-Catenin Rabbit pAb (NBP2-92970) at dilution of 1:100 (40x ...read more
Immunoprecipitation: beta-Catenin Antibody [NBP2-92970] - Immunoprecipitation analysis of 300ug extracts of 293T cells using 3ug beta-Catenin antibody (NBP2-92970). Western blot was performed from the immunoprecipitate ...read more

Product Details

Summary
Product Discontinued
View other related beta-Catenin Primary Antibodies
Validated by:
     

Genetic Strategies

   

Order Details


    • Catalog Number
      NBP2-92970
    • Availability
      Product Discontinued

    Can't find what you are looking for? Use our Antibody Concierge Service & we will help you locate your antibody!

    Or feel free to contact us for alternative products.

beta-Catenin Antibody Summary

Immunogen
A synthetic peptide corresponding to a sequence within amino acids 650-750 of human beta-Catenin (NP_001895.1).
Isotype
IgG
Clonality
Polyclonal
Host
Rabbit
Gene
CTNNB1
Purity
Affinity purified
Innovator's Reward
Test in a species/application not listed above to receive a full credit towards a future purchase.

Applications/Dilutions

Dilutions
  • Immunohistochemistry 1:20 - 1:200
  • Immunohistochemistry-Paraffin
  • Immunoprecipitation 1:500 - 1:1000
  • Knockout Validated
  • Western Blot 1:100 - 1:500

Packaging, Storage & Formulations

Storage
Store at -20C. Avoid freeze-thaw cycles.
Buffer
PBS with 50% glycerol, pH7.3.
Preservative
0.05% Proclin 300
Purity
Affinity purified

Alternate Names for beta-Catenin Antibody

  • bCatenin
  • beta 1 (88kD)
  • beta-Catenin
  • catenin (cadherin-associated protein), beta 1, 88kDa
  • catenin beta-1
  • CTNNB
  • CTNNB1
  • DKFZp686D02253
  • FLJ25606
  • FLJ37923

Background

The protein encoded by the beta Catenin gene is part of a complex of proteins that constitute adherens junctions (AJs). AJs arenecessary for the creation and maintenance of epithelial cell layers by regulating cell growth and adhesion betweencells. The encoded protein also anchors the actin cytoskeleton and may be responsible for transmitting the contactinhibition signal that causes cells to stop dividing once the epithelial sheet is complete. Finally, this proteinbinds to the product of the APC gene, which is mutated in adenomatous polyposis of the colon. Mutations in this geneare a cause of colorectal cancer (CRC), pilomatrixoma (PTR), medulloblastoma (MDB), and ovarian cancer. Three transcript variants encoding the same protein have been found for this gene.

Limitations

This product is for research use only and is not approved for use in humans or in clinical diagnosis. Primary Antibodies are guaranteed for 1 year from date of receipt.

Customers Who Viewed This Item Also Viewed...

AF1329
Species: Hu, Mu, Rt
Applications: ChIP, CyTOF-ready, ICC, IHC, ICFlow, Simple Western, WB
NB100-91662
Species: Hu, Mu, Rt
Applications: Flow, ICC/IF, IHC,  IHC-P, Simple Western, WB
AF748
Species: Hu, Mu
Applications: CyTOF-ready, Dual ISH-IHC, Flow, ICC, IHC, Simple Western, WB
NBP2-15723
Species: Hu, Mu, Rt
Applications: ICC/IF, IHC,  IHC-P, IP, WB
NBP1-19083
Species: Hu
Applications: ICC/IF, WB
AF4885
Species: Mu
Applications: IP, WB
PP-K9218-00
Species: Hu
Applications: IHC, IP, WB
NBP1-86960
Species: Hu
Applications: ChIP-EXO-SEQ, ICC/IF, IHC,  IHC-P, WB
AF3287
Species: Hu, Mu, Rt
Applications: WB
NB200-103
Species: Hu, Mu, Rt, Xp(-), Ye
Applications: CyTOF-ready, ELISA, Flow-IC, Flow, ICC/IF, IHC, IHC-Fr,  IHC-P, IP, WB
AF4196
Species: Hu, Mu
Applications: CyTOF-ready, ICFlow, WB
NB600-302
Species: Bv, Dr, Hu, Mu
Applications: ChIP, ELISA, Flow-IC, Flow, IB, ICC/IF, IHC, IHC-Fr,  IHC-P, IP, PLA, S-ELISA, Simple Western, WB
H00006925-M03
Species: Hu, Pm, Mu, Rb, Rt
Applications: ELISA, ICC/IF, IHC,  IHC-P, IP, WB
AF887
Species: Hu, Mu, Rt
Applications: CyTOF-ready, IHC, ICFlow, Simple Western, WB
NBP1-47470
Species: Hu, Mu, Pm, Rt
Applications: ELISA, Flow, ICC/IF, IHC,  IHC-P, Simple Western, WB
NBP2-54527
Species: Bv, Ca, Ch, Fe, Hu, Mu, Rt
Applications: CyTOF-ready, Flow, ICC/IF,  IHC-P, WB
NB100-74510
Species: Hu, Mu, Pm, Rt
Applications: ELISA, ICC/IF, IHC,  IHC-P, IP, WB
NBP2-92970
Species: Hu, Mu, Rt
Applications: WB, IHC, IP, KO

Publications for beta-Catenin Antibody (NBP2-92970) (0)

There are no publications for beta-Catenin Antibody (NBP2-92970).
By submitting your publication information earn gift cards and discounts for future purchases.

Reviews for beta-Catenin Antibody (NBP2-92970) (0)

There are no reviews for beta-Catenin Antibody (NBP2-92970). By submitting a review you will receive an Amazon e-Gift Card or Novus Product Discount.
  • Review with no image -- $10/€7/£6/$10 CAD/¥70 Yuan/¥1110 Yen
  • Review with an image -- $25/€18/£15/$25 CAD/¥150 Yuan/¥2500 Yen

Product General Protocols

Find general support by application which include: protocols, troubleshooting, illustrated assays, videos and webinars.

Video Protocols

WB Video Protocol

FAQs for beta-Catenin Antibody (NBP2-92970) (0)

There are no specific FAQs related to this product. Read our general customer & technical service FAQs.

Secondary Antibodies

 

Isotype Controls

Additional beta-Catenin Products

Research Areas for beta-Catenin Antibody (NBP2-92970)

Find related products by research area.

Blogs on beta-Catenin.


  Read full blog post.

Stemness is responsible for onset and metastasis of colorectal cancer
By Jamshed Arslan, Pharm. D., PhD. Colorectal cancer stem cells are a rare subpopulation of colorectal cancer cells that can self-renew and initiate and sustain tumor growth when transplanted into an animal host.1,2 C...  Read full blog post.

The role of Wnts in neuroinflammation
By Michalina Hanzel, PhDThe multifaceted roles of the Wnt family of glycoproteins have been extensively characterized throughout embryonic development and adult homeostasis. The highly conserved, cell- and tissue- s...  Read full blog post.

Stemness for Surviving Hypoxia: TGF-beta/Smad Signaling in Multiple Myeloma
By Jamshed Arslan Pharm.D. Multiple myeloma (MM) is a cancer of antibody-producing plasma cells. The bone marrow (BM) of MM patients is hypoxic, and MM cells overexpress many cancerous genes that are regulated by hy...  Read full blog post.

Epithelial-Mesenchymal Transition (EMT) Markers
Epithelial-Mesenchymal Transition (EMT) is the trans-differentiation of stationary epithelial cells into motile mesenchymal cells. During EMT, epithelial cells lose their junctions and apical-basal polarity, reorganize their cytoskeleton, undergo a...  Read full blog post.

CD63: is it pro-metastatic or anti-metastatic?
CD63 is a type II membrane protein belonging to tetraspanin superfamily and it play key roles in the activation of several cellular signaling cascades along with acting as TIMP1 receptor. It is expressed by activated platelets, monocytes,...  Read full blog post.

Notch1 - A multifunctional transmembrane receptor
Notch1 is a member of the Notch family of Type 1 single-pass transmembrane proteins that share an extracellular domain of multiple epidermal growth factor-like (EGF) repeats. Notch family members play key roles in a variety of developmental process...  Read full blog post.

Contact Information

Product PDFs

Calculators

Concentration Calculator

The concentration calculator allows you to quickly calculate the volume, mass or concentration of your vial. Simply enter your mass, volume, or concentration values for your reagent and the calculator will determine the rest.

=
÷

Review this Product

Be the first to review our beta-Catenin Antibody and receive a gift card or discount.

Bioinformatics

Gene Symbol CTNNB1