gamma Catenin Antibody (15F11) - Azide and BSA Free

Images

 
Western Blot: gamma Catenin Antibody (15F11) - Azide and BSA Free [NBP2-54527] - Western Blot Analysis of human HeLa and SK-BR3 cell lysate using gamma Catenin Antibody (15F11).
Immunocytochemistry/ Immunofluorescence: gamma Catenin Antibody (15F11) - Azide and BSA Free [NBP2-54527] - Confocal immunofluorescence image of HeLa cells using gamma Catenin Antibody (15F11) Green (CF488) and Red Dot ...read more
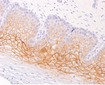
Immunohistochemistry-Paraffin: gamma Catenin Antibody (15F11) - Azide and BSA Free [NBP2-54527] - Formalin-fixed, paraffin-embedded human cervix stained with gamma Catenin Antibody (15F11). HIER: Tris/EDTA, pH9.0, ...read more
Flow Cytometry: gamma Catenin Antibody (15F11) - Azide and BSA Free [NBP2-54527] - Flow Cytometric Analysis of PFA-fixed MCF cells. gamma Catenin Antibody (15F11) followed by goat anti-Mouse IgG-CF488 (Blue); Isotype ...read more
Western Blot: gamma Catenin Antibody (15F11) - Azide and BSA Free [NBP2-54527] - Analysis of HT20, 293, A431, MCF-7, HepG2 and A549 cell lysates using Catenin, gamma Mouse Monoclonal Antibody (15F11)
Formalin-fixed, paraffin-embedded human cervix stained with gamma Catenin antibody (15F11). HIER: Tris/EDTA, pH9.0, 45min. Secondary: HRP-polymer, 30min. DAB, 5min.

Product Details

Summary
Reactivity Hu, Mu, Rt, Bv, Ca, Ch, FeSpecies Glossary
Applications WB, Flow, ICC/IF, IHC, CyTOF-ready
Clone
15F11
Clonality
Monoclonal
Host
Mouse
Conjugate
Unconjugated
Format
Azide and BSA Free
Concentration
1 mg/ml

Order Details

gamma Catenin Antibody (15F11) - Azide and BSA Free Summary

Description
1.0 mg/ml of antibody purified from Bioreactor Concentrate by Protein A/G. Prepared in 10mM PBS WITHOUT BSA & azide. Also available at 200 ug/ml WITH BSA & azide (NBP2-53325).

Antibody with azide - store at 2 to 8C. Antibody without azide - store at -20 to -80C.
Immunogen
Recombinant, full length chicken gamma Catenin protein (Uniprot: P14923)
Localization
Cell Surface and Cytoplasmic
Marker
Cardiomyocyte Marker
Isotype
IgG1 Kappa
Clonality
Monoclonal
Host
Mouse
Gene
JUP
Purity
Protein A or G purified
Innovator's Reward
Test in a species/application not listed above to receive a full credit towards a future purchase.

Applications/Dilutions

Dilutions
  • CyTOF-ready
  • Flow Cytometry 0.5 - 1 ug/million cells
  • Immunocytochemistry/ Immunofluorescence 1 - 2 ug/ml
  • Immunohistochemistry-Paraffin
  • Western Blot 0.5 - 1.0 ug/ml
Application Notes
Optimal dilution for a specific application should be determined.

Packaging, Storage & Formulations

Storage
Store at -20 to -80C. Avoid freeze-thaw cycles.
Buffer
10 mM PBS
Preservative
No Preservative
Concentration
1 mg/ml
Purity
Protein A or G purified

Alternate Names for gamma Catenin Antibody (15F11) - Azide and BSA Free

  • catenin (cadherin-associated protein), gamma (80kD)
  • catenin (cadherin-associated protein), gamma 80kDa
  • Catenin gamma
  • Desmoplakin III
  • desmoplakin-3
  • DP3CTNNG
  • DPIII
  • gamma-catenin
  • junction plakoglobin
  • PDGBARVD12
  • PKGB

Background

Catenin gamma, also known as Junction Plakoglobin, is a common junctional plaque protein. It is a cytoplasmic protein with soluble and membrane-associated forms. The presence of Catenin gamma in both the desmosomes and in the intermediate junctions suggests it has a role in the structure and Function of submembranous plaques.

Limitations

This product is for research use only and is not approved for use in humans or in clinical diagnosis. Primary Antibodies are guaranteed for 1 year from date of receipt.

Customers Who Viewed This Item Also Viewed...

NBP2-15723
Species: Hu, Mu, Rt
Applications: ICC/IF, IHC,  IHC-P, IP, WB
AF1329
Species: Hu, Mu, Rt
Applications: ChIP, CyTOF-ready, ICC, IHC, ICFlow, Simple Western, WB
AF1329
Species: Hu, Mu, Rt
Applications: ChIP, CyTOF-ready, ICC, IHC, ICFlow, Simple Western, WB
AF748
Species: Hu, Mu
Applications: CyTOF-ready, Dual ISH-IHC, Flow, ICC, IHC, Simple Western, WB
NBP2-48836
Species: Ca, Hu
Applications: ICC/IF, IHC,  IHC-P
NB100-91662
Species: Hu, Mu, Rt
Applications: Flow, ICC/IF, IHC,  IHC-P, Simple Western, WB
AF947
Species: Hu
Applications: Simple Western, WB
NBP1-86078
Species: Hu
Applications: ICC/IF, IHC,  IHC-P, WB
NBP2-92546
Species: Hu, Mu, Rt
Applications: ELISA, ICC/IF, IHC, WB
AF7490
Species: Mu
Applications: IHC
H00005729-B01P
Species: Hu
Applications: Flow, ICC/IF, WB
AF944
Species: Hu
Applications: IHC, WB
MAB7265
Species: Mu
Applications: IHC, WB
NBP1-89679
Species: Hu, Mu, Rt
Applications: ChIP-EXO-SEQ, ICC/IF, IHC, IHC-Fr,  IHC-P, WB
NBP1-48309
Species: Hu, Mu, Rt
Applications: Flow-IC, Flow, ICC/IF, IHC,  IHC-P, IP, Simple Western, WB
NBP2-45646
Species: Ca, Hu, Mu, Rt
Applications: IHC,  IHC-P, WB
NBP1-76755
Species: Gp, Hu, Mu, Rt
Applications: ELISA, ICC/IF, IHC,  IHC-P, WB
NBP2-54527
Species: Hu, Mu, Rt, Bv, Ca, Ch, Fe
Applications: WB, Flow, ICC/IF, IHC, CyTOF-ready

Publications for gamma Catenin Antibody (NBP2-54527) (0)

There are no publications for gamma Catenin Antibody (NBP2-54527).
By submitting your publication information earn gift cards and discounts for future purchases.

Reviews for gamma Catenin Antibody (NBP2-54527) (0)

There are no reviews for gamma Catenin Antibody (NBP2-54527). By submitting a review you will receive an Amazon e-Gift Card or Novus Product Discount.
  • Review with no image -- $10/€7/£6/$10 CAD/¥70 Yuan/¥1110 Yen
  • Review with an image -- $25/€18/£15/$25 CAD/¥150 Yuan/¥2500 Yen

Product General Protocols

Find general support by application which include: protocols, troubleshooting, illustrated assays, videos and webinars.

Video Protocols

WB Video Protocol
ICC/IF Video Protocol

FAQs for gamma Catenin Antibody (NBP2-54527) (0)

There are no specific FAQs related to this product. Read our general customer & technical service FAQs.

Secondary Antibodies

 

Isotype Controls

Additional gamma Catenin Products

Research Areas for gamma Catenin Antibody (NBP2-54527)

Find related products by research area.

Blogs on gamma Catenin.

Beta Catenin in Cell Adhesion and T-cell Signaling
Beta Catenin is a cytosolic, 88 kDa intracellular protein that tightly associates with cell surface cadherin glycoproteins. It is one member of the catenin family that includes alpha Catenin, beta Catenin, and gamma Catenin. Colocalization studies usi...  Read full blog post.

Customers Who Bought This Also Bought

Contact Information

Product PDFs

Calculators

Concentration Calculator

The concentration calculator allows you to quickly calculate the volume, mass or concentration of your vial. Simply enter your mass, volume, or concentration values for your reagent and the calculator will determine the rest.

=
÷

Review this Product

Be the first to review our gamma Catenin Antibody (15F11) - Azide and BSA Free and receive a gift card or discount.

Bioinformatics

Gene Symbol JUP