BCL11B Antibody (JF09-90)

Images

 
Western Blot: BCL11B Antibody (JF09-90) [NBP2-67181] - Analysis of BCL11B on LO2 cell lysates. Proteins were transferred to a PVDF membrane and blocked with 5% BSA in PBS for 1 hour at room temperature. The primary ...read more
Immunocytochemistry/ Immunofluorescence: BCL11B Antibody (JF09-90) [NBP2-67181] - Staining Ctip2 in LO2 cells (red). The nuclear counter stain is DAPI (blue). Cells were fixed in paraformaldehyde, permeabilised with ...read more
Immunohistochemistry-Paraffin: BCL11B Antibody (JF09-90) [NBP2-67181] - Analysis of paraffin-embedded human skin tissue using anti-BCL11B antibody. The section was pre-treated using heat mediated antigen retrieval with ...read more
Flow Cytometry: BCL11B Antibody (JF09-90) [NBP2-67181] - Flow cytometric analysis of Jurkat cells with BCL11B antibody at 1/50 dilution (red) compared with an unlabeled control (cells without incubation with primary ...read more
Western Blot: BCL11B Antibody (JF09-90) [NBP2-67181] - Analysis of Ctip2 on THP-1 cells lysates using anti-Ctip2 antibody at 1/1,000 dilution.
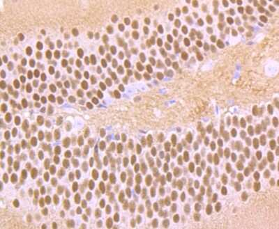
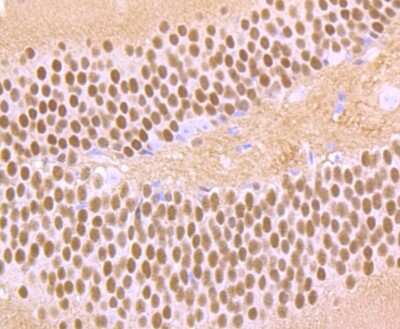
Immunohistochemistry-Paraffin: BCL11B Antibody (JF09-90) [NBP2-67181] - Analysis of paraffin-embedded mouse brain tissue using anti-Ctip2 antibody. Counter stained with hematoxylin.

Product Details

Summary
Product Discontinued
View other related BCL11B Primary Antibodies

Order Details


    • Catalog Number
      NBP2-67181
    • Availability
      Product Discontinued

    Can't find what you are looking for? Use our Antibody Concierge Service & we will help you locate your antibody!

    Or feel free to contact us for alternative products.

BCL11B Antibody (JF09-90) Summary

Additional Information
Recombinant Monoclonal Antibody.
Immunogen
Synthetic peptide within Human BCL11B aa 491-534 / 894. (SwissProt: Q9C0K0 Human; SwissProt: Q99PV8 Mouse)
Localization
Nucleus.
Isotype
IgG
Clonality
Monoclonal
Host
Rabbit
Gene
BCL11B
Purity
Protein A purified
Innovator's Reward
Test in a species/application not listed above to receive a full credit towards a future purchase.

Applications/Dilutions

Dilutions
  • Flow Cytometry 1:50-1:100
  • Immunocytochemistry/ Immunofluorescence 1:50-1:200
  • Immunohistochemistry 1:10 - 1:500
  • Immunohistochemistry-Paraffin 1:50-1:200
  • Western Blot 1:1000

Packaging, Storage & Formulations

Storage
Store at 4C short term. Aliquot and store at -20C long term. Avoid freeze-thaw cycles.
Buffer
TBS (pH7.4), 0.05% BSA, 40% Glycerol
Preservative
0.05% Sodium Azide
Concentration
1 mg/ml
Purity
Protein A purified

Alternate Names for BCL11B Antibody (JF09-90)

  • B-cell CLL/lymphoma 11B (zinc finger protein)
  • B-cell CLL/lymphoma 11B
  • B-cell CLL/lymphoma 11B/T-cell receptor delta constant region fusion protein
  • B-cell lymphoma/leukaemia 11B
  • B-cell lymphoma/leukemia 11B
  • BCL-11B
  • BCL11B/TRDC fusion
  • COUP-TF-interacting protein 2
  • CTIP-2
  • CTIP2ZNF856B
  • hRit1
  • hRIT1-alpha
  • Radiation-induced tumor suppressor gene 1 protein
  • RIT1
  • zinc finger protein hRit1 alpha

Background

The BCL11B gene encodes a C2H2-type zinc finger protein and is closely related to BCL11A, a gene whose translocation may be associated with B-cell malignancies. The specific function of this gene has not yet been determined. Two alternatively spliced transcript

Limitations

This product is for research use only and is not approved for use in humans or in clinical diagnosis. Primary Antibodies are guaranteed for 1 year from date of receipt.

Customers Who Viewed This Item Also Viewed...

NB600-261
Species: Hu, Mu
Applications: ChIP, Flow, GS, IP, WB
NBP1-83619
Species: Hu
Applications: IHC,  IHC-P, Simple Western, WB
NBP3-27888
Species: Hu, Mu, Rt
Applications: ELISA, ICC/IF,  IHC-P, WB
NB600-922
Species: Ch, Mu
Applications: ELISA, IHC, Single-Cell Western, WB
NBL1-10680
Species: Hu
Applications: WB
NBP2-15133
Species: Mu, Rt
Applications: ICC/IF, IHC, IHC-Fr,  IHC-P, WB
NBP1-89917
Species: Hu
Applications: ICC/IF, IHC,  IHC-P, WB
AF800
Species: Hu, Mu
Applications: IP, Simple Western, WB
NBP2-29463
Species: Pm, Hu, Pm, Mu
Applications: Flow, ICC/IF, IHC,  IHC-P, WB
NBP1-51641
Species: Hu, Mu, Pm, Rb, Rt
Applications: ELISA, Flow-IC, Flow, ICC/IF, IHC-FrFl, IHC,  IHC-P, WB
NB500-171
Species: Hu, I, Mu, Rt, Xp, Ye
Applications: ChIP, IB, ICC/IF, IHC,  IHC-P, Single-Cell Western, WB
NBP1-19371
Species: Ca, Hu, Mu, Po, Rb, Rt
Applications: Dual ISH-IHC, Flow, ICC/IF, IHC, IHC-Fr,  IHC-P, Simple Western, WB
NB200-103
Species: Hu, Mu, Rt, Xp(-), Ye
Applications: CyTOF-ready, ELISA, Flow-IC, Flow, ICC/IF, IHC, IHC-Fr,  IHC-P, IP, WB
NBP1-49045
Species: Mu, Rt
Applications: Cell Depl, CyTOF-ready, Flow, ICC/IF, IHC, IHC-Fr,  IHC-P, IP, InhibTFunc
NB100-56424
Species: Hu, Mu, Rt
Applications: WB
NBP2-03062
Species: Ca, Hu, Pm, Mu, Pm, Rt
Applications: Flow, IHC,  IHC-P, WB
MAB8224
Species: Mu
Applications: CyTOF-ready, ICFlow, WB

Publications for BCL11B Antibody (NBP2-67181) (0)

There are no publications for BCL11B Antibody (NBP2-67181).
By submitting your publication information earn gift cards and discounts for future purchases.

Reviews for BCL11B Antibody (NBP2-67181) (0)

There are no reviews for BCL11B Antibody (NBP2-67181). By submitting a review you will receive an Amazon e-Gift Card or Novus Product Discount.
  • Review with no image -- $10/€7/£6/$10 CAD/¥70 Yuan/¥1110 Yen
  • Review with an image -- $25/€18/£15/$25 CAD/¥150 Yuan/¥2500 Yen

Product General Protocols

Find general support by application which include: protocols, troubleshooting, illustrated assays, videos and webinars.

Video Protocols

WB Video Protocol
ICC/IF Video Protocol

FAQs for BCL11B Antibody (NBP2-67181) (0)

There are no specific FAQs related to this product. Read our general customer & technical service FAQs.

Secondary Antibodies

 

Isotype Controls

Additional BCL11B Products

Research Areas for BCL11B Antibody (NBP2-67181)

Find related products by research area.

Blogs on BCL11B

There are no specific blogs for BCL11B, but you can read our latest blog posts.

Contact Information

Product PDFs

Calculators

Concentration Calculator

The concentration calculator allows you to quickly calculate the volume, mass or concentration of your vial. Simply enter your mass, volume, or concentration values for your reagent and the calculator will determine the rest.

=
÷

Review this Product

Be the first to review our BCL11B Antibody (JF09-90) and receive a gift card or discount.

Bioinformatics

Gene Symbol BCL11B