Bcl-6 Antibody (CL14611) - Azide and BSA Free

Images

 
Staining in A-549 cell line with Anti-Bcl-6 monoclonal antibody) .
Orthogonal Strategies: Analysis in human lymph node and small intestine tissues using NBP3-44142 antibody. Corresponding Bcl-6 RNA-seq data are presented for the same tissues.
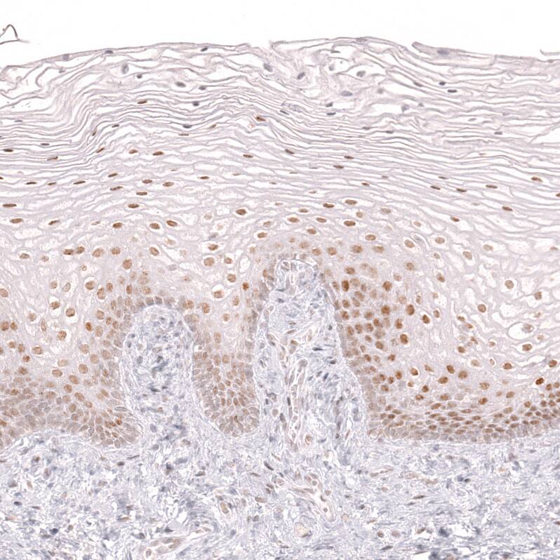
Staining of human cervix shows moderate nuclear positivity in squamous epithelial cells.
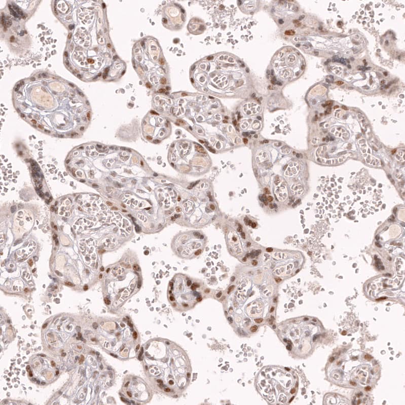
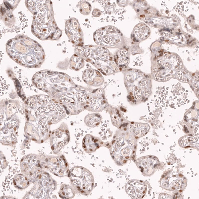
Staining of human placenta shows moderate nuclear positivity in trophoblastic cells.
Staining of human lymph node shows moderate to strong nuclear positivity in germinal center cells.
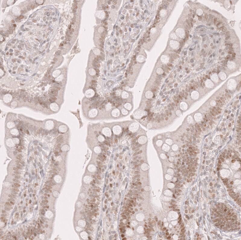
Staining of human small intestine shows weak nuclear positivity in glandular cells.

Product Details

Summary
Reactivity HuSpecies Glossary
Applications ICC/IF, IHC
Clone
CL14611
Clonality
Monoclonal
Host
Mouse
Conjugate
Unconjugated
Format
Azide and BSA Free
Concentration
LYOPH
Validated by:
       

Orthogonal Strategies

 

Order Details

Bcl-6 Antibody (CL14611) - Azide and BSA Free Summary

Description
Novus Biologicals Mouse Bcl-6 Antibody (CL14611) - Azide and BSA Free (NBP3-26872) is a monoclonal antibody validated for use in IHC and ICC/IF. All Novus Biologicals antibodies are covered by our 100% guarantee.
Immunogen
This antibody was generated using a recombinant protein sequence of P41182, with the exact immunogen sequence remaining proprietary.
Isotype
IgG1
Clonality
Monoclonal
Host
Mouse
Gene
BCL6
Purity
Protein A purified
Innovator's Reward
Test in a species/application not listed above to receive a full credit towards a future purchase.

Applications/Dilutions

Dilutions
  • Immunocytochemistry/ Immunofluorescence 2-10 ug/ml
  • Immunohistochemistry-Paraffin 1:50 - 1:200
Application Notes
Immunocytochemistry/ Immunofluorescence/IF Fixation Permeabilization: Use PFA/Triton X-100. For IHC-Paraffin, HIER pH 6 retrieval is recommended.

Packaging, Storage & Formulations

Storage
Store at 4C short term. Aliquot and store at -20C long term. Avoid freeze-thaw cycles.
Buffer
Lyophilized from a 0.2 um filtered solution in PBS with Trehalose
Preservative
No Preservative
Concentration
LYOPH
Purity
Protein A purified
Reconstitution Instructions
Centrifuge the vial of lyophilized antibody at 12,000 x g for 20 seconds. Reconstitute by adding sterile, distilled water to achieve a final antibody concentration of 1mg/ml.

Alternate Names for Bcl-6 Antibody (CL14611) - Azide and BSA Free

  • B-cell CLL/lymphoma 6
  • B-cell lymphoma 6 protein transcript
  • Bcl-5
  • BCL5B-cell lymphoma 5 protein
  • Bcl6
  • Bcl-6
  • BCL6A
  • cys-his2 zinc finger transcription factor
  • LAZ3
  • LAZ3ZBTB27B-cell lymphoma 6 protein
  • lymphoma-associated zinc finger gene on chromosome 3
  • Protein LAZ-3
  • ZBTB27
  • Zinc finger and BTB domain-containing protein 27
  • Zinc finger protein 51ZNF51
  • zinc finger transcription factor BCL6S
  • ZNF51

Background

Bcl6 reacts with Bcl6 gene product in follicular lymphomas, diffuse large B cell lymphomas, Burkitt's lymphomas and in nodular, lymphocyte predominant Hodgkin's disease.

Limitations

This product is for research use only and is not approved for use in humans or in clinical diagnosis. Primary Antibodies are guaranteed for 1 year from date of receipt.

Customers Who Viewed This Item Also Viewed...

AF1126
Species: Mu
Applications: ELISA(Cap), ELISA(Det), ELISA(Sta), IHC, IP, WB
NB100-56098
Species: Ca, Hu, Mu, Rt
Applications: IHC,  IHC-P, IP, WB
AF5525
Species: Hu
Applications: IHC, WB
NB200-356
Species: Ma, Ca, Eq, Fe, Hu
Applications: IHC, IHC-Fr,  IHC-P, mIF
NB600-302
Species: Bv, Dr, Hu, Mu
Applications: ChIP, ELISA, Flow-IC, Flow, IB, ICC/IF, IHC, IHC-Fr,  IHC-P, IP, PLA, S-ELISA, Simple Western, WB
NBP2-54591
Species: Hu
Applications: CyTOF-ready, Flow, ICC/IF, IHC,  IHC-P, PA
NBP2-67309
Species: Hu, Rt
Applications: Flow, ICC/IF, IHC,  IHC-P, IP, WB
NB200-103
Species: Hu, Mu, Rt, Xp(-), Ye
Applications: CyTOF-ready, ELISA, Flow-IC, Flow, ICC/IF, IHC, IHC-Fr,  IHC-P, IP, WB
NB600-235
Species: Hu, Mu, Po
Applications: ChIP, ELISA, Flow, ICC/IF, IHC, IHC-Fr,  IHC-P, IP, WB
AF2780
Species: Hu
Applications: ELISA(Cap), ELISA(Det), ELISA(Sta), IHC, WB
NBP2-70360
Species: Hu
Applications: CyTOF-ready, Flow, IMC, ICC/IF, IHC,  IHC-P, WB
NBP2-32840
Species: Hu, Pm, Mu, Rt
Applications: Flow, ICC/IF, IHC,  IHC-P, WB
AF594
Species: Mu
Applications: ELISA(Cap), ELISA(Det), ELISA(Sta), ICC, Neut, WB
7268-CT
Species: Hu
Applications: BA
NBP1-19371
Species: Ca, Hu, Mu, Po, Rb, Rt
Applications: Dual ISH-IHC, Flow, ICC/IF, IHC, IHC-Fr,  IHC-P, Simple Western, WB
NB600-1441
Species: Ca, Hu, Mu, Po
Applications: Flow, ICC/IF, IHC, IHC-Fr,  IHC-P, KD
NB100-524
Species: Hu, Mu
Applications: Flow-IC, Flow, ICC/IF, IHC, IHC-Fr,  IHC-P, IP, WB
NBP2-79843
Species: Hu
Applications: CyTOF-ready, ELISA, Flow, ICC/IF, IHC,  IHC-P, PA, WB

Publications for Bcl-6 Antibody (NBP3-44142) (0)

There are no publications for Bcl-6 Antibody (NBP3-44142).
By submitting your publication information earn gift cards and discounts for future purchases.

Reviews for Bcl-6 Antibody (NBP3-44142) (0)

There are no reviews for Bcl-6 Antibody (NBP3-44142). By submitting a review you will receive an Amazon e-Gift Card or Novus Product Discount.
  • Review with no image -- $10/€7/£6/$10 CAD/¥70 Yuan/¥1110 Yen
  • Review with an image -- $25/€18/£15/$25 CAD/¥150 Yuan/¥2500 Yen

Product General Protocols

Find general support by application which include: protocols, troubleshooting, illustrated assays, videos and webinars.

Video Protocols

ICC/IF Video Protocol

FAQs for Bcl-6 Antibody (NBP3-44142) (0)

There are no specific FAQs related to this product. Read our general customer & technical service FAQs.

Secondary Antibodies

 

Isotype Controls

Additional Bcl-6 Products

Research Areas for Bcl-6 Antibody (NBP3-44142)

Find related products by research area.

Blogs on Bcl-6

There are no specific blogs for Bcl-6, but you can read our latest blog posts.

Customers Who Bought This Also Bought

Contact Information

Product PDFs

Calculators

Concentration Calculator

The concentration calculator allows you to quickly calculate the volume, mass or concentration of your vial. Simply enter your mass, volume, or concentration values for your reagent and the calculator will determine the rest.

=
÷

Review this Product

Be the first to review our Bcl-6 Antibody (CL14611) - Azide and BSA Free and receive a gift card or discount.

Bioinformatics

Gene Symbol BCL6