BAP1 Antibody (BAP1/13501R) - Azide and BSA Free

Images

 
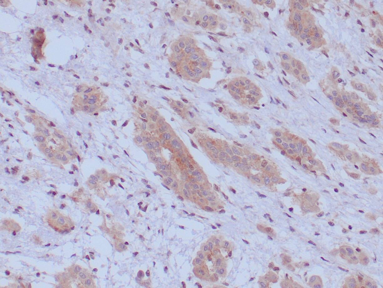
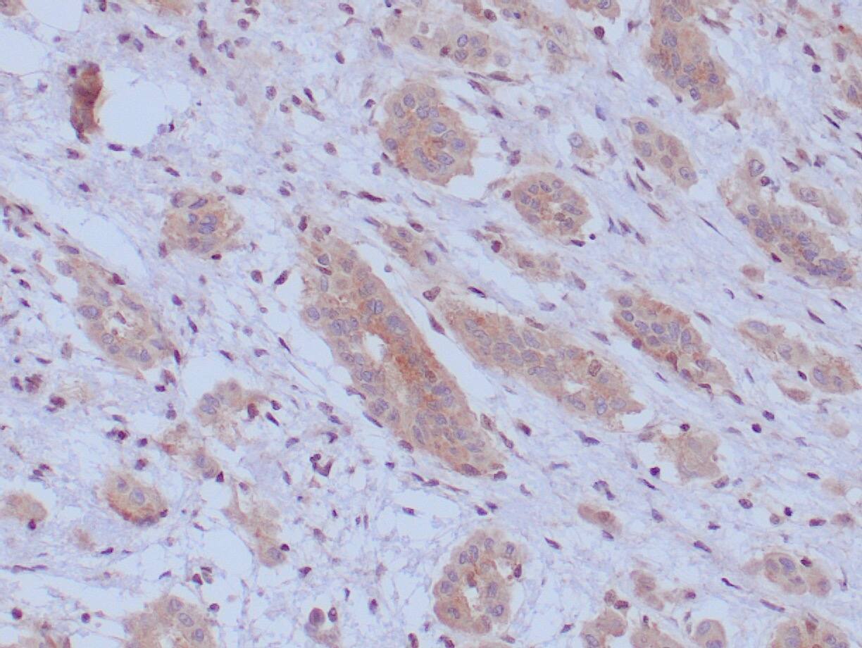
Formalin-fixed, paraffin-embedded human breast carcinoma stained with BAP1 Antibody (BAP1/13501R) - Azide and BSA Free. Inset: PBS instead of primary antibody; secondary only negative control.
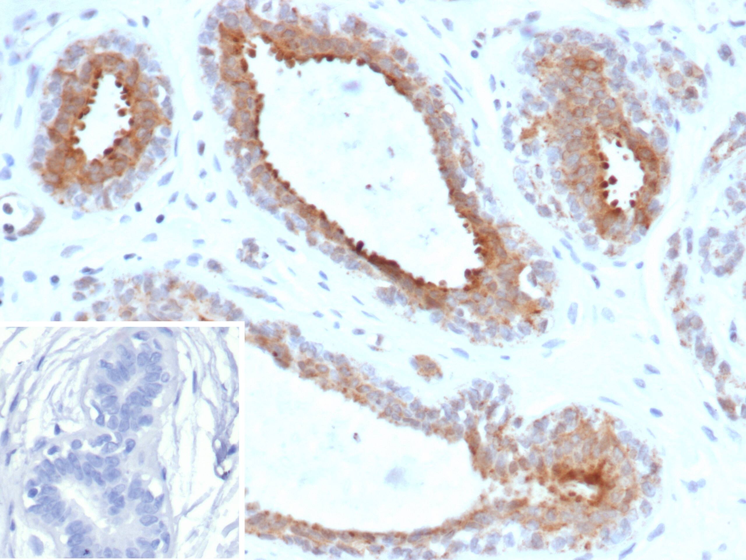
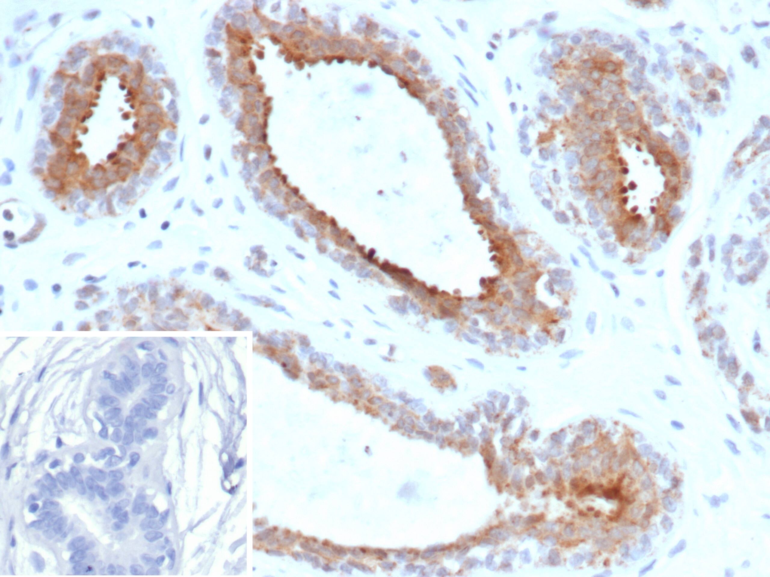
Formalin-fixed, paraffin-embedded human mesothelioma stained with BAP1 Antibody (BAP1/13501R) - Azide and BSA Free. HIER: Tris/EDTA, pH9.0, 45min. 2 : HRP-polymer, 30min. DAB, 5min.
Western blot analysis of HepG2 cell lysate using BAP1 Antibody (BAP1/13501R) - Azide and BSA Free.

Product Details

Summary
Reactivity HuSpecies Glossary
Applications WB, IHC
Clone
BAP1/13501R
Clonality
Monoclonal
Host
Rabbit
Conjugate
Unconjugated
Format
Azide and BSA Free
Concentration
1 mg/ml

Order Details

View Available Formulations
Catalog# & Formulation Size Price

BAP1 Antibody (BAP1/13501R) - Azide and BSA Free Summary

Description
1.0 mg/ml of Ab produced in CHO cell mammalian-based expression system.. Prepared in 10 mM PBS WITHOUT BSA & azide. Also availabl at 200 ug/ml with BSA & azide.

Antibody with azide - store at 2 to 8C. Antibody without azide - store at -20 to -80C. Non-hazardous. No MSDS required.
Additional Information
Recombinant Monoclonal Antibody
Immunogen
Recombinant fragment (around aa400-729) of human BAP1 protein (Uniprot: Q92560). Exact sequence is proprietary.
Localization
Cytoplasm, Nucleus
Isotype
IgG Kappa
Clonality
Monoclonal
Host
Rabbit
Gene
BAP1
Purity
Protein A or G purified
Innovator's Reward
Test in a species/application not listed above to receive a full credit towards a future purchase.

Applications/Dilutions

Dilutions
  • Immunohistochemistry : 1-2ug/ml
  • Western Blot : 2-4ug/ml
Application Notes
Immunohistochemistry: 30 min at RT. Staining of formalin-fixed tissues requires heating tissue sections in 10mM Tris with 1mM EDTA, pH 9.0, for 45 min at 95C followed by cooling at RT for 20 minutes.
Theoretical MW
91 kDa.
Disclaimer note: The observed molecular weight of the protein may vary from the listed predicted molecular weight due to post translational modifications, post translation cleavages, relative charges, and other experimental factors.

Packaging, Storage & Formulations

Storage
Store at -20 to -80C. Avoid freeze-thaw cycles.
Buffer
10 mM PBS
Preservative
No Preservative
Concentration
1 mg/ml
Purity
Protein A or G purified

Alternate Names for BAP1 Antibody (BAP1/13501R) - Azide and BSA Free

  • BAP1
  • BRCA1 associated protein-1 (ubiquitin carboxy-terminal hydrolase)
  • BRCA1-associated protein 1
  • Cerebral protein 6
  • cerebral protein-13
  • Cerebral Protein-6
  • DKFZp686N04275
  • EC 3.4.19.12
  • FLJ35406
  • FLJ37180
  • hucep-6
  • KIAA0272HUCEP-13
  • ubiquitin carboxyl-terminal hydrolase BAP1
  • ubiquitin carboxy-terminal hydrolase
  • UCHL2

Background

BRCA1-associated protein 1 (BAP1) is a ubiquitin hydrolase that acts as a BRCA1 growth control pathway tumor suppressor. Specifically, BAP-1 localizes to the nucleus where it interferes with the BRCA1/BARD1 heterodimer activity and mediates deubiquitination of histone H2A and HCFC1. BAP 1 is highly expressed in testis, placenta, breast and ovary.

Limitations

This product is for research use only and is not approved for use in humans or in clinical diagnosis. Primary Antibodies are guaranteed for 1 year from date of receipt.

Customers Who Viewed This Item Also Viewed...

NBP1-86037
Species: Hu
Applications: ICC/IF, IHC,  IHC-P, WB
NB100-404
Species: Hu
Applications: ChIP, ICC/IF, IHC,  IHC-P, IP, KD, KO, WB
NB100-68209
Species: Hu
Applications: IP, KD, WB
NB200-106
Species: Mu, Rt
Applications: ELISA, ICC/IF, IHC, IHC-Fr,  IHC-P, WB
H00009223-M03
Species: Ca, Ha, Hu, Rt
Applications: ELISA, ICC/IF, WB
H00006045-M01
Species: Hu, I, Mu
Applications: ELISA, ICC/IF, KD, S-ELISA, WB
NBP2-67471
Species: Hu, Mu, Rt
Applications: ICC/IF, IHC,  IHC-P, WB
NBP1-84309
Species: Hu
Applications: IHC,  IHC-P, WB
H00171023-M05
Species: Hu
Applications: ELISA, IP, WB
NB100-319
Species: Hu
Applications: IP, WB
NBP1-96140
Species: Hu, Mu
Applications: ChIP, Flow-IC, Flow, ICC/IF, IP, WB
NB100-79833
Species: Hu, Mu
Applications: ICC/IF, IHC,  IHC-P, IP, WB
NBP2-02377
Species: Hu, Mu, Rt
Applications: Flow, ICC/IF, IHC,  IHC-P, WB
NB600-1160
Species: Bv, Ca, Hu, Mu, Po, Rt, Ze
Applications: Flow, ICC/IF, IHC, IHC-Fr,  IHC-P, Simple Western, WB
NBP2-93687
Species: Hu, Mu, Rt
Applications: ELISA, ICC/IF, IHC,  IHC-P, WB
NBP3-03807
Species: Hu, Mu, Rt
Applications: ICC/IF, IP, WB
NB200-103
Species: Hu, Mu, Rt, Xp(-), Ye
Applications: CyTOF-ready, ELISA, Flow-IC, Flow, ICC/IF, IHC, IHC-Fr,  IHC-P, IP, WB
NBP3-45077
Species: Hu
Applications: WB, IHC

Publications for BAP1 Antibody (NBP3-45077) (0)

There are no publications for BAP1 Antibody (NBP3-45077).
By submitting your publication information earn gift cards and discounts for future purchases.

Reviews for BAP1 Antibody (NBP3-45077) (0)

There are no reviews for BAP1 Antibody (NBP3-45077). By submitting a review you will receive an Amazon e-Gift Card or Novus Product Discount.
  • Review with no image -- $10/€7/£6/$10 CAD/¥70 Yuan/¥1110 Yen
  • Review with an image -- $25/€18/£15/$25 CAD/¥150 Yuan/¥2500 Yen

Product General Protocols

Find general support by application which include: protocols, troubleshooting, illustrated assays, videos and webinars.

Video Protocols

WB Video Protocol

FAQs for BAP1 Antibody (NBP3-45077) (0)

There are no specific FAQs related to this product. Read our general customer & technical service FAQs.

Customers Who Bought This Also Bought

Contact Information

Product PDFs

Calculators

Concentration Calculator

The concentration calculator allows you to quickly calculate the volume, mass or concentration of your vial. Simply enter your mass, volume, or concentration values for your reagent and the calculator will determine the rest.

=
÷

Review this Product

Be the first to review our BAP1 Antibody (BAP1/13501R) - Azide and BSA Free and receive a gift card or discount.

Bioinformatics

Gene Symbol BAP1