Band 3 Antibody

Images

 
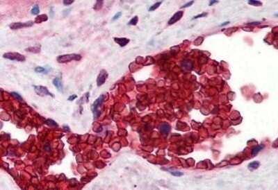
Immunohistochemistry-Paraffin: Band 3 Antibody [NBP1-39786] - Analysis of anti-Band 3 antibody with human placenta, erythrocytes at concentration 10 ug/ml.

Product Details

Summary
Product Discontinued
View other related Band 3 Primary Antibodies

Order Details


    • Catalog Number
      NBP1-39786
    • Availability
      Product Discontinued

    Can't find what you are looking for? Use our Antibody Concierge Service & we will help you locate your antibody!

    Or feel free to contact us for alternative products.

Band 3 Antibody Summary

Immunogen
Synthetic peptide from human SLC4A1 / Band 3.
Isotype
IgG
Clonality
Polyclonal
Host
Rabbit
Gene
SLC4A1
Purity
Immunogen affinity purified
Innovator's Reward
Test in a species/application not listed above to receive a full credit towards a future purchase.

Applications/Dilutions

Dilutions
  • ELISA 1 ug/ml
  • Immunohistochemistry
  • Immunohistochemistry-Paraffin 10 ug/ml
  • Western Blot 1 ug/ml

Packaging, Storage & Formulations

Storage
Store at 4C short term. Aliquot and store at -20C long term. Avoid freeze-thaw cycles.
Buffer
PBS and 50% Glycerol
Preservative
0.01% Sodium Azide
Concentration
0.5 mg/ml
Purity
Immunogen affinity purified

Alternate Names for Band 3 Antibody

  • AE 1
  • AE1MGC126619
  • Anion exchange protein 1
  • Anion exchanger 1
  • band 3 anion transport protein
  • BND3
  • CD233 antigen
  • CD233
  • DI
  • EMPB3
  • EPB3MGC126623
  • erythrocyte membrane protein band 3
  • erythroid anion exchange protein
  • FR
  • Froese blood group
  • MGC116750
  • MGC116753
  • RTA1A
  • Solute carrier family 4 member 1
  • solute carrier family 4, anion exchanger, member 1 (erythrocyte membraneprotein band 3, Diego blood group)
  • solute carrier family 4, anion exchanger, number 1
  • SW
  • Swann blood group
  • Waldner blood group
  • WD
  • WD1
  • WR
  • Wright blood group

Background

The protein encoded by this gene is part of the anion exchanger (AE) family and is expressed in the erythrocyte plasma membrane, where it functions as a chloride/bicarbonate exchanger involved in carbon dioxide transport from tissues to lungs. The protein comprises two domains that are structurally and functionally distinct. The N-terminal 40kDa domain is located in the cytoplasm and acts as an attachment site for the red cell skeleton by binding ankyrin. The glycosylated C-terminal membrane-associated domain contains 12-14 membrane spanning segments and carries out the stilbene disulphonate-sensitive exchange transport of anions. The cytoplasmic tail at the extreme C-terminus of the membrane domain binds carbonic anhydrase II. The encoded protein associates with the red cell membrane protein glycophorin A and this association promotes the correct folding and translocation of the exchanger. This protein is predominantly dimeric but forms tetramers in the presence of ankyrin. Many mutations in this gene are known in man, and these mutations can lead to two types of disease: destabilization of red cell membrane leading to hereditary spherocytosis, and defective kidney acid secretion leading to distal renal tubular acidosis. Other mutations that do not give rise to disease result in novel blood group antigens, which form the Diego blood group system. Southeast Asian ovalocytosis (SAO, Melanesian ovalocytosis) results from the heterozygous presence of a deletion in the encoded protein and is common in areas where Plasmodium falciparum malaria is endemic. One null mutation in this gene is known, resulting in very severe anemia and nephrocalcinosis. [provided by RefSeq]

Limitations

This product is for research use only and is not approved for use in humans or in clinical diagnosis. Primary Antibodies are guaranteed for 1 year from date of receipt.

Customers Who Viewed This Item Also Viewed...

NBP2-83556
Species: Hu
Applications: WB
NB300-223
Species: Bv, Ca, Ch, Eq, Hu, Mu, Po, Rt
Applications: ICC/IF, IHC, IHC-Fr,  IHC-P, WB
AF009
Species: Hu
Applications: IHC, WB
MAB1417
Species: Bv, Hu, Mu
Applications: ICC, IHC
NB120-22711
Species: Hu, Mu
Applications: ELISA, Flow, ICC/IF, IHC, IHC-Fr,  IHC-P
AF5415
Species: Hu
Applications: ICC, IHC, Simple Western, WB
H00005555-P01
Species: Hu
Applications: ELISA, AP, PA, PAGE, WB
NBP2-47602
Species: Hu
Applications: ICC/IF, IHC,  IHC-P
AF1513
Species: Mu
Applications: CyTOF-ready, Flow, IHC, IP, Simple Western, WB
664-LI
Species: Hu
Applications: BA
AF3844
Species: Hu, Mu
Applications: IHC
NBP2-14871
Species: Mu, Rt
Applications: ICC/IF, WB
NB120-2860
Species: Ba, Bv, Ch, Hu, Mu, Rt
Applications: ELISA, Flow, ICC/IF, IHC,  IHC-P, WB
NBP2-15669
Species: Mu, Rt, Ze
Applications: IHC-WhMt, IHC, WB
AF3398
Species: Hu, Mu, Rt
Applications: ICC, KO, Simple Western, WB
NBP2-47405
Species: Hu
Applications: IHC,  IHC-P
NBP2-57496
Species: Hu
Applications: ICC/IF
NBP2-47940
Species: Hu
Applications: CyTOF-ready, Flow, ICC/IF, IF, IHC,  IHC-P, Simple Western, WB
NBP1-84854
Species: Hu, Mu, Rt
Applications: ICC/IF, IHC,  IHC-P, KD, WB

Publications for Band 3 Antibody (NBP1-39786) (0)

There are no publications for Band 3 Antibody (NBP1-39786).
By submitting your publication information earn gift cards and discounts for future purchases.

Reviews for Band 3 Antibody (NBP1-39786) (0)

There are no reviews for Band 3 Antibody (NBP1-39786). By submitting a review you will receive an Amazon e-Gift Card or Novus Product Discount.
  • Review with no image -- $10/€7/£6/$10 CAD/¥70 Yuan/¥1110 Yen
  • Review with an image -- $25/€18/£15/$25 CAD/¥150 Yuan/¥2500 Yen

Product General Protocols

Find general support by application which include: protocols, troubleshooting, illustrated assays, videos and webinars.

Video Protocols

WB Video Protocol

FAQs for Band 3 Antibody (NBP1-39786) (0)

There are no specific FAQs related to this product. Read our general customer & technical service FAQs.

Secondary Antibodies

 

Isotype Controls

Additional Band 3 Products

Research Areas for Band 3 Antibody (NBP1-39786)

Find related products by research area.

Blogs on Band 3

There are no specific blogs for Band 3, but you can read our latest blog posts.

Contact Information

Product PDFs

Calculators

Concentration Calculator

The concentration calculator allows you to quickly calculate the volume, mass or concentration of your vial. Simply enter your mass, volume, or concentration values for your reagent and the calculator will determine the rest.

=
÷

Review this Product

Be the first to review our Band 3 Antibody and receive a gift card or discount.

Bioinformatics

Gene Symbol SLC4A1
Entrez
Uniprot