ATPG Antibody (OTI2H6) - Azide and BSA Free

Images

 
Western Blot: ATPG Antibody (OTI2H6) - Azide and BSA Free [NBP2-70233] - Analysis of HEK293T cells were transfected with the pCMV6-ENTRY control (Left lane) or pCMV6-ENTRY ATPG.
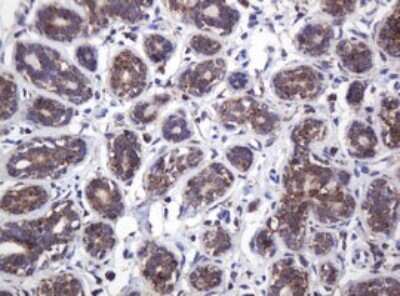
Immunohistochemistry: ATPG Antibody (OTI2H6) - Azide and BSA Free [NBP2-70233] - Analysis of Human breast tissue. (Heat-induced epitope retrieval by 10mM citric buffer, pH6.0, 120C for 3min)
Western Blot: ATPG Antibody (OTI2H6) - Azide and BSA Free [NBP2-70233] - Analysis of extracts (35ug) from 9 different cell lines (HepG2: human; HeLa: human; SVT2: mouse; A549: human; COS7: monkey; Jurkat: human; MDCK: ...read more

Product Details

Summary
Reactivity Hu, PmSpecies Glossary
Applications WB, IHC
Clone
OTI2H6
Clonality
Monoclonal
Host
Mouse
Conjugate
Unconjugated
Format
Azide and BSA Free
Concentration
LYOPH

Order Details

ATPG Antibody (OTI2H6) - Azide and BSA Free Summary

Description
Novus Biologicals Mouse ATPG Antibody (OTI2H6) - Azide and BSA Free (NBP2-45506) is a monoclonal antibody validated for use in IHC and WB. All Novus Biologicals antibodies are covered by our 100% guarantee.
Immunogen
Full length human recombinant protein of human ATP5C1 (NP_001001973) produced in E.coli.
Isotype
IgG1
Clonality
Monoclonal
Host
Mouse
Gene
ATP5F1C
Purity
Immunogen affinity purified
Innovator's Reward
Test in a species/application not listed above to receive a full credit towards a future purchase.

Applications/Dilutions

Dilutions
  • Immunohistochemistry 1:150
  • Immunohistochemistry-Paraffin
  • Western Blot 1:2000
Theoretical MW
30.1 kDa.
Disclaimer note: The observed molecular weight of the protein may vary from the listed predicted molecular weight due to post translational modifications, post translation cleavages, relative charges, and other experimental factors.

Packaging, Storage & Formulations

Storage
Store at -20C. Avoid freeze-thaw cycles.
Buffer
Lyophilized from PBS (pH 7.3) with 8% Trehalose
Preservative
No Preservative
Concentration
LYOPH
Purity
Immunogen affinity purified
Reconstitution Instructions
we recommend adding 100uL distilled water to a final antibody concentration of about 1 mg/mL. To use this carrier-free antibody for conjugation experiment, we strongly recommend performing another round of desalting process.

Alternate Names for ATPG Antibody (OTI2H6) - Azide and BSA Free

  • ATP synthase gamma chain, mitochondrial
  • ATP synthase, H+ transporting, mitochondrial F1 complex, gamma polypeptide 1
  • ATP5CATP synthase subunit gamma, mitochondrial
  • ATP5CL1mitochondrial ATP synthase, gamma subunit 1
  • F-ATPase gamma subunit

Background

ATP5C1( AAH00931, 1 a.a. - 299 a.a.) full-length recombinant protein with GST.

Limitations

This product is for research use only and is not approved for use in humans or in clinical diagnosis. Primary Antibodies are guaranteed for 1 year from date of receipt.

Customers Who Viewed This Item Also Viewed...

NBP1-80860
Species: Hu, Mu, Rt
Applications: IHC,  IHC-P, WB
NBP2-45603
Species: Hu, Mu, Rt
Applications: Flow, IHC,  IHC-P, WB
NB100-1558
Species: Hu, Mu, Rt, Ze
Applications: ICC/IF, IHC, IHC-Fr, IP, WB
NBP3-05578
Species: Hu, Mu
Applications: ELISA, ICC/IF, IHC,  IHC-P, WB
NB600-302
Species: Bv, Dr, Hu, Mu
Applications: ChIP, ELISA, Flow-IC, Flow, IB, ICC/IF, IHC, IHC-Fr,  IHC-P, IP, PLA, S-ELISA, Simple Western, WB
NBP3-35145
Species: Hu, Mu, Rt
Applications: ELISA, ICC/IF, IHC,  IHC-P, WB
AF4479
Species: Hu
Applications: IHC
NBP1-88067
Species: Hu, Mu, Rt
Applications: ICC/IF, IHC,  IHC-P, WB
NBP1-52105
Species: Hu, Rt
Applications: Flow, IHC,  IHC-P, PEP-ELISA, WB
NBP2-22523
Species: Hu, Mu
Applications: ICC/IF, IHC,  IHC-P, WB
NBP1-87976
Species: Hu
Applications: ICC/IF, IHC,  IHC-P, WB
NBP3-48261
Species: Hu, Mu, Rt
Applications: ELISA, ICC/IF, IHC, WB
NBP3-38079
Species: Hu, Mu, Rt
Applications: ELISA, ICC/IF, IHC,  IHC-P, WB
NBP1-87801
Species: Hu
Applications: ICC/IF, IHC,  IHC-P, WB
NBP3-35291
Species: Hu, Mu
Applications: ELISA, ICC/IF, WB
H00000518-P01
Species: Hu
Applications: ELISA, AP, PA, WB
NB100-56144
Species: Hu, Mu, Rt
Applications: IHC,  IHC-P, IP, WB
NBP2-46132
Species: Hu, Mu, Rt
Applications: IHC,  IHC-P, WB
NB120-2928
Species: Hu, Mu, Pm, Rb, Rt, Sh
Applications: ICC/IF, IHC,  IHC-P, IP, WB
NBP2-70233
Species: Hu, Pm
Applications: WB, IHC

Publications for ATPG Antibody (NBP2-70233) (0)

There are no publications for ATPG Antibody (NBP2-70233).
By submitting your publication information earn gift cards and discounts for future purchases.

Reviews for ATPG Antibody (NBP2-70233) (0)

There are no reviews for ATPG Antibody (NBP2-70233). By submitting a review you will receive an Amazon e-Gift Card or Novus Product Discount.
  • Review with no image -- $10/€7/£6/$10 CAD/¥70 Yuan/¥1110 Yen
  • Review with an image -- $25/€18/£15/$25 CAD/¥150 Yuan/¥2500 Yen

Product General Protocols

Find general support by application which include: protocols, troubleshooting, illustrated assays, videos and webinars.

Video Protocols

WB Video Protocol

FAQs for ATPG Antibody (NBP2-70233) (0)

There are no specific FAQs related to this product. Read our general customer & technical service FAQs.

Secondary Antibodies

 

Isotype Controls

Additional ATPG Products

Research Areas for ATPG Antibody (NBP2-70233)

Find related products by research area.

Blogs on ATPG

There are no specific blogs for ATPG, but you can read our latest blog posts.

Customers Who Bought This Also Bought

Contact Information

Product PDFs

Calculators

Concentration Calculator

The concentration calculator allows you to quickly calculate the volume, mass or concentration of your vial. Simply enter your mass, volume, or concentration values for your reagent and the calculator will determine the rest.

=
÷

Review this Product

Be the first to review our ATPG Antibody (OTI2H6) - Azide and BSA Free and receive a gift card or discount.

Bioinformatics

Gene Symbol ATP5F1C