Aquaporin-4 Antibody (CL0178) - Azide and BSA Free

Images

 
Orthogonal Strategies: Analysis in human cerebral cortex and liver tissues using NBP3-43897 antibody. Corresponding Aquaporin-4 RNA-seq data are presented for the same tissues.
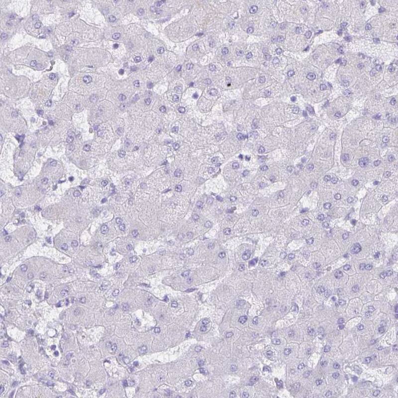
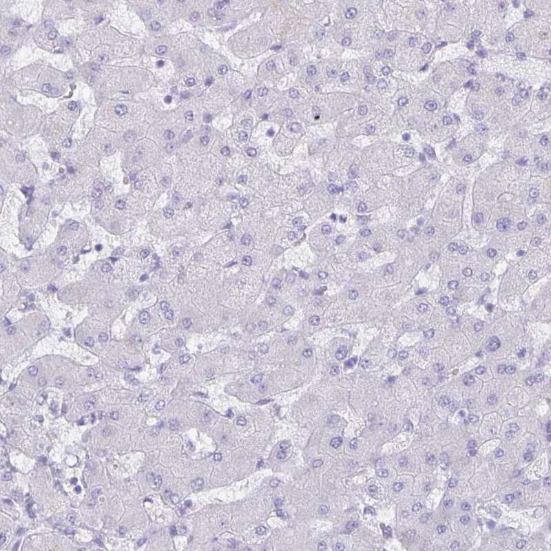
Staining of human liver shows no positivity in hepatocytes as expected.
Staining of human cerebral cortex shows moderate to strong membranous positivity in astrocytes.
Staining of human cerebellum shows strong positivity in neuropil, mainly in the molecular layer.
Analysis in human cerebral cortex tissue.
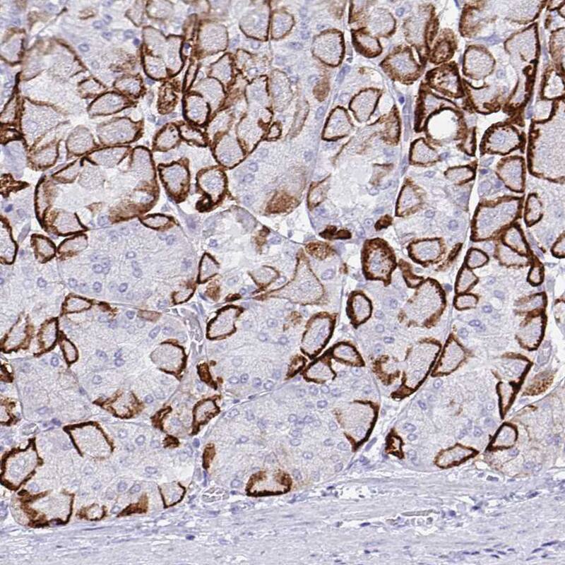
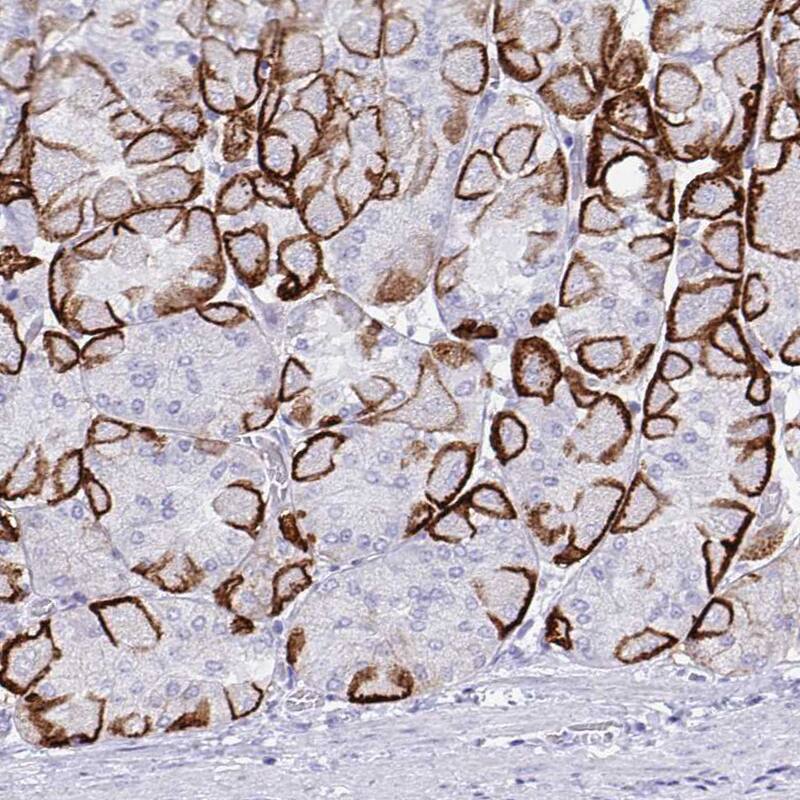
Staining of human stomach shows moderate to strong membranous positivity in glandular cells.

Product Details

Summary
Reactivity HuSpecies Glossary
Applications WB, IHC
Clone
CL0178
Clonality
Monoclonal
Host
Mouse
Conjugate
Unconjugated
Format
Azide and BSA Free
Concentration
LYOPH
Validated by:
       

Orthogonal Strategies

 

Order Details

Aquaporin-4 Antibody (CL0178) - Azide and BSA Free Summary

Description
Novus Biologicals Mouse Aquaporin-4 Antibody (CL0178) - Azide and BSA Free (NBP2-52872) is a monoclonal antibody validated for use in IHC and WB. All Novus Biologicals antibodies are covered by our 100% guarantee.
Immunogen
This antibody was generated using a recombinant protein sequence of P55087, with the exact immunogen sequence remaining proprietary.
Isotype
IgG1
Clonality
Monoclonal
Host
Mouse
Gene
AQP4
Purity
Protein A purified
Innovator's Reward
Test in a species/application not listed above to receive a full credit towards a future purchase.

Applications/Dilutions

Dilutions
  • Immunohistochemistry-Paraffin 1:500 - 1:1000
  • Western Blot 1 ug/ml
Application Notes
For IHC-Paraffin, HIER pH 6 retrieval is recommended.

Packaging, Storage & Formulations

Storage
Store at 4C short term. Aliquot and store at -20C long term. Avoid freeze-thaw cycles.
Buffer
Lyophilized from a 0.2 um filtered solution in PBS with Trehalose
Preservative
No Preservative
Concentration
LYOPH
Purity
Protein A purified
Reconstitution Instructions
Centrifuge the vial of lyophilized antibody at 12,000 x g for 20 seconds. Reconstitute by adding sterile, distilled water to achieve a final antibody concentration of 1mg/ml.

Alternate Names for Aquaporin-4 Antibody (CL0178) - Azide and BSA Free

  • AQP4
  • AQP-4
  • Aquaporin 4
  • MGC22454
  • MIWC
  • WCH4

Background

The Aquaporin-4 gene encodes a member of the aquaporin family of intrinsic membrane proteins that function as water-selectivechannels in the plasma membranes of many cells. The encoded protein is the predominant aquaporin found in brain. Twoalternatively spliced tra

Limitations

This product is for research use only and is not approved for use in humans or in clinical diagnosis. Primary Antibodies are guaranteed for 1 year from date of receipt.

Customers Who Viewed This Item Also Viewed...

NB600-749
Species: Hu
Applications: ELISA, ICC/IF, IHC, IHC-Fr,  IHC-P, WB
NB300-141
Species: Bv, Ch, Eq, Gp, Hu, Mu, Po, Rb, Rt
Applications: ICC/IF, IHC, IHC-Fr,  IHC-P, Simple Western, WB
NBP1-97927
Species: Hu, Mu, Rt
Applications: ICC/IF, IHC,  IHC-P, WB
NB110-74682
Species: Hu, Mu, Rt
Applications: ICC/IF, IHC, IHC-Fr,  IHC-P, WB
NBP2-67247
Species: Hu
Applications: ICC/IF, WB
NBP1-89953
Species: Hu, Mu
Applications: ICC/IF, IHC,  IHC-P
NBP1-20149
Species: Hu, Mu, Rt
Applications: IHC, IHC-Fr,  IHC-P, WB
7954-GM/CF
Species: Hu
Applications: BA
NBP1-30862
Species: Eq, Hu, Mu, Po
Applications: ICC/IF, IHC-Fr, WB
NBP2-42388
Species: Hu
Applications: ICC/IF, IHC,  IHC-P, KD, WB
NBP1-30865
Species: Hu
Applications: IHC,  IHC-P, WB
AF009
Species: Hu
Applications: IHC, WB
H00004340-B01P
Species: Hu, Rt
Applications: WB
DVE00
Species: Hu
Applications: ELISA
NBP1-87466
Species: Hu, Mu, Rt
Applications: ICC/IF, IHC-FrFl, IHC, IHC-Fr,  IHC-P, WB
NBP3-43897
Species: Hu
Applications: WB, IHC

Publications for Aquaporin-4 Antibody (NBP3-43897) (0)

There are no publications for Aquaporin-4 Antibody (NBP3-43897).
By submitting your publication information earn gift cards and discounts for future purchases.

Reviews for Aquaporin-4 Antibody (NBP3-43897) (0)

There are no reviews for Aquaporin-4 Antibody (NBP3-43897). By submitting a review you will receive an Amazon e-Gift Card or Novus Product Discount.
  • Review with no image -- $10/€7/£6/$10 CAD/¥70 Yuan/¥1110 Yen
  • Review with an image -- $25/€18/£15/$25 CAD/¥150 Yuan/¥2500 Yen

Product General Protocols

Find general support by application which include: protocols, troubleshooting, illustrated assays, videos and webinars.

Video Protocols

WB Video Protocol

FAQs for Aquaporin-4 Antibody (NBP3-43897) (0)

There are no specific FAQs related to this product. Read our general customer & technical service FAQs.

Secondary Antibodies

 

Isotype Controls

Additional Aquaporin-4 Products

Research Areas for Aquaporin-4 Antibody (NBP3-43897)

Find related products by research area.

Blogs on Aquaporin-4

There are no specific blogs for Aquaporin-4, but you can read our latest blog posts.

Customers Who Bought This Also Bought

Contact Information

Product PDFs

Calculators

Concentration Calculator

The concentration calculator allows you to quickly calculate the volume, mass or concentration of your vial. Simply enter your mass, volume, or concentration values for your reagent and the calculator will determine the rest.

=
÷

Review this Product

Be the first to review our Aquaporin-4 Antibody (CL0178) - Azide and BSA Free and receive a gift card or discount.

Bioinformatics

Gene Symbol AQP4