Annexin A10 Antibody (OTI4D8) - Azide and BSA Free

Images

 
Western Blot: Annexin A10 Antibody (OTI4D8) - Azide and BSA Free [NBP2-71683] - HEK293T cells were transfected with the pCMV6-ENTRY control (Left lane) or pCMV6-ENTRY Annexin A10 (Right lane) cDNA for 48 hrs and lysed. ...read more
Immunocytochemistry/ Immunofluorescence: Annexin A10 Antibody (OTI4D8) - Azide and BSA Free [NBP2-71683] - Staining of COS7 cells transiently transfected by pCMV6-ENTRY Annexin A10.
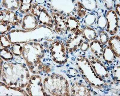
Immunohistochemistry: Annexin A10 Antibody (OTI4D8) - Azide and BSA Free [NBP2-71683] - Staining of paraffin-embedded Kidney tissue using anti-Annexin A10 mouse monoclonal antibody.
Immunohistochemistry: Annexin A10 Antibody (OTI4D8) - Azide and BSA Free [NBP2-71683] - Staining of paraffin-embedded liver tissue using anti-Annexin A10 mouse monoclonal antibody.

Product Details

Summary
Reactivity Hu, Mu, RtSpecies Glossary
Applications WB, ICC/IF, IHC
Clone
OTI4D8
Clonality
Monoclonal
Host
Mouse
Conjugate
Unconjugated
Format
Azide and BSA Free
Concentration
LYOPH

Order Details

Annexin A10 Antibody (OTI4D8) - Azide and BSA Free Summary

Description
Novus Biologicals Mouse Annexin A10 Antibody (OTI4D8) - Azide and BSA Free (NBP2-02282) is a monoclonal antibody validated for use in IHC, WB and ICC/IF. All Novus Biologicals antibodies are covered by our 100% guarantee.
Immunogen
Full length human recombinant protein of human ANXA10(NP_009124) produced in HEK293T cell.
Isotype
IgG2a
Clonality
Monoclonal
Host
Mouse
Gene
ANXA10
Purity
Immunogen affinity purified
Innovator's Reward
Test in a species/application not listed above to receive a full credit towards a future purchase.

Applications/Dilutions

Dilutions
  • Immunocytochemistry/ Immunofluorescence 1:100
  • Immunohistochemistry
  • Immunohistochemistry-Paraffin
  • Western Blot 1:1000
Theoretical MW
37.3 kDa.
Disclaimer note: The observed molecular weight of the protein may vary from the listed predicted molecular weight due to post translational modifications, post translation cleavages, relative charges, and other experimental factors.

Reactivity Notes

Please note that this antibody is reactive to Mouse and derived from the same host, Mouse. Mouse-On-Mouse blocking reagent may be needed for IHC and ICC experiments to reduce high background signal. You can find these reagents under catalog numbers PK-2200-NB and MP-2400-NB. Please contact Technical Support if you have any questions.

Packaging, Storage & Formulations

Storage
Store at -20C. Avoid freeze-thaw cycles.
Buffer
Lyophilized from PBS (pH 7.3) with 8% Trehalose
Preservative
No Preservative
Concentration
LYOPH
Purity
Immunogen affinity purified
Reconstitution Instructions
we recommend adding 100uL distilled water to a final antibody concentration of about 1 mg/mL. To use this carrier-free antibody for conjugation experiment, we strongly recommend performing another round of desalting process.

Alternate Names for Annexin A10 Antibody (OTI4D8) - Azide and BSA Free

  • annexin 14
  • Annexin A10
  • annexin-10
  • annexin-14
  • ANX14
  • ANX14Annexin-10
  • ANXA10

Background

Annexin A10 encodes a member of the annexin family. Members of this calcium-dependent phospholipid-binding protein family play a role in the regulation of cellular growth and in signal transduction pathways. The function of this gene has not yet been determined.

Limitations

This product is for research use only and is not approved for use in humans or in clinical diagnosis. Primary Antibodies are guaranteed for 1 year from date of receipt.

Customers Who Viewed This Item Also Viewed...

AF808
Species: Mu
Applications: ELISA(Cap), ELISA(Det), ELISA(Sta), ICC, IHC, Neut, WB
AF3770
Species: Hu, Mu, Rt
Applications: IHC, Simple Western, WB
NB200-103
Species: Hu, Mu, Rt, Xp(-), Ye
Applications: CyTOF-ready, ELISA, Flow-IC, Flow, ICC/IF, IHC, IHC-Fr,  IHC-P, IP, WB
NB100-56605
Species: Av, Bv, Sh
Applications: WB
NBP2-13980
Species: Hu
Applications: ICC/IF, IHC,  IHC-P, WB
MAB1368
Species: Hu, Mu
Applications: CyTOF-ready, ICC, ICFlow, KO, Simple Western, WB
NBP1-49878
Species: Hu
Applications: IHC,  IHC-P, PEP-ELISA, WB
NBP2-29463
Species: Pm, Hu, Pm, Mu
Applications: Flow, ICC/IF, IHC,  IHC-P, WB
MAB3765
Species: Hu, Mu
Applications: CyTOF-ready, ICC, ICFlow, Simple Western, WB
H00007001-M01
Species: Hu
Applications: ELISA, ICC/IF, IHC,  IHC-P, KD, WB
NBP1-88899
Species: Hu
Applications: IHC,  IHC-P
AF2097
Species: Hu
Applications: ChIP, ICC, WB
NBP3-27690
Species: Hu, Mu, Rt
Applications: ICC/IF, IHC, IP, WB
NBP1-90149
Species: Hu, Mu, Rt
Applications: IHC,  IHC-P, WB
NBP1-31348
Species: Hu, Mu, Rt
Applications: ICC/IF, IHC,  IHC-P, WB
AF844
Species: Mu
Applications: Block, IHC, WB
NBP2-57949
Species: Hu
Applications: ICC/IF
DBD00
Species: Hu
Applications: ELISA
NBP3-41339
Species: Hu, Mu, Rt
Applications: IHC,  IHC-P, WB
NBP2-71683
Species: Hu, Mu, Rt
Applications: WB, ICC/IF, IHC

Publications for Annexin A10 Antibody (NBP2-71683) (0)

There are no publications for Annexin A10 Antibody (NBP2-71683).
By submitting your publication information earn gift cards and discounts for future purchases.

Reviews for Annexin A10 Antibody (NBP2-71683) (0)

There are no reviews for Annexin A10 Antibody (NBP2-71683). By submitting a review you will receive an Amazon e-Gift Card or Novus Product Discount.
  • Review with no image -- $10/€7/£6/$10 CAD/¥70 Yuan/¥1110 Yen
  • Review with an image -- $25/€18/£15/$25 CAD/¥150 Yuan/¥2500 Yen

Product General Protocols

Find general support by application which include: protocols, troubleshooting, illustrated assays, videos and webinars.

Video Protocols

WB Video Protocol
ICC/IF Video Protocol

FAQs for Annexin A10 Antibody (NBP2-71683) (0)

There are no specific FAQs related to this product. Read our general customer & technical service FAQs.

Secondary Antibodies

 

Isotype Controls

Additional Annexin A10 Products

Research Areas for Annexin A10 Antibody (NBP2-71683)

Find related products by research area.

Blogs on Annexin A10

There are no specific blogs for Annexin A10, but you can read our latest blog posts.

Customers Who Bought This Also Bought

Contact Information

Product PDFs

Calculators

Concentration Calculator

The concentration calculator allows you to quickly calculate the volume, mass or concentration of your vial. Simply enter your mass, volume, or concentration values for your reagent and the calculator will determine the rest.

=
÷

Review this Product

Be the first to review our Annexin A10 Antibody (OTI4D8) - Azide and BSA Free and receive a gift card or discount.

Bioinformatics

Gene Symbol ANXA10