alpha-Synuclein Antibody

Images

 
Western Blot: alpha-Synuclein Antibody [NBP1-61418] - Analysis of extracts from HuvEc cells, using alpha-Synuclein Antibody. The lane on the right is treated with the synthesized peptide.
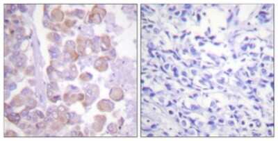
Immunohistochemistry-Paraffin: alpha-Synuclein Antibody [NBP1-61418] - Analysis of paraffin-embedded human breast carcinoma tissue, using alpha-Synuclein Antibody. The picture on the right is treated with the ...read more

Product Details

Summary
Product Discontinued
View other related alpha-Synuclein Primary Antibodies

Order Details


    • Catalog Number
      NBP1-61418
    • Availability
      Product Discontinued

    Can't find what you are looking for? Use our Antibody Concierge Service & we will help you locate your antibody!

    Or feel free to contact us for alternative products.

alpha-Synuclein Antibody Summary

Immunogen
This alpha-Synuclein Antibody was developed against synthesized peptide derived from human alpha-Synuclein. The immunogen region is: C-terminal.
Specificity
This alpha-Synuclein Antibody is specific for Synuclein (Ab-129) Antibody detects endogenous levels of total synuclein protein.
Isotype
IgG
Clonality
Polyclonal
Host
Rabbit
Gene
SNCA
Purity
Immunogen affinity purified
Innovator's Reward
Test in a species/application not listed above to receive a full credit towards a future purchase.

Applications/Dilutions

Dilutions
  • ELISA 1:1000
  • Immunohistochemistry 1:50-1:100
  • Immunohistochemistry-Paraffin 1:50-1:100
  • Western Blot 1:500-1:1000
Theoretical MW
14 kDa.
Disclaimer note: The observed molecular weight of the protein may vary from the listed predicted molecular weight due to post translational modifications, post translation cleavages, relative charges, and other experimental factors.

Packaging, Storage & Formulations

Storage
Store at -20C. Avoid freeze-thaw cycles.
Buffer
PBS (without Mg2+ and Ca2+, pH 7.4), 0.15M NaCl and 50% Glycerol
Preservative
0.02% Sodium Azide
Concentration
1 mg/ml
Purity
Immunogen affinity purified

Alternate Names for alpha-Synuclein Antibody

  • alpha-Synuclein
  • I+/--synuclein
  • MGC110988
  • NACP
  • non A-beta component of AD amyloid
  • Non-A beta component of AD amyloid
  • Non-A4 component of amyloid precursor
  • PARK1
  • PARK4
  • PD1
  • SNCA
  • synuclein alpha-140
  • synuclein, alpha (non A4 component of amyloid precursor)
  • Synuclein-alpha
  • truncated alpha synuclein

Background

Alpha-synuclein, a member of the synuclein family, is a protein that was first identified in 1988 whose name is derived from its localization to both the synapse and nucleus (1-3). Specifically, it is expressed primarily in the brain, including Lewy Bodies (1-6). Alpha-synuclein is encoded by the SNCA gene, located on chromosome 4p21, and is processed as a 140 amino acid (aa) protein with a theoretical molecular weight of 14 kDa (1,2,4). Structurally alpha-synuclein consists of a N-terminal binding domain (1-60 aa), a central domain core region called the non-amyloid-beta component (NAC) (61-95 aa), and a C-terminal domain (96-140 aa) (1-3). The N-terminal region contains aa repeats with a KTKEGV consensus sequence that gives the protein its alpha-helical structure that associates with lipid membranes (1-4). The hydrophobic NAC region is responsible for alpha-synuclein aggregation and fibril formation (1-4). The acidic C-terminal tail is largely unstructured but can be targeted for post-translational modifications (1-4). The function of alpha-synuclein is not entirely understood, but it is shown to have a role in suppression of apoptosis, acting as a molecular chaperone, regulating glucose, and modulating calmodulin activity (1,3).

A number of studies have revealed that alpha-synuclein aggregation is a hallmark feature in a number of neurodegenerative diseases, referred to as synucleinopathies (2-4). Alpha-synuclein protein aggregates are a large component of Lewy bodies that are present in Parkinson's disease (PD), Lewy body dementia (LBD), and multiple system atrophy (1-6). Research has shown phosphorylation of alpha-synuclein at Ser129 moves the protein from the nucleus to the cytoplasm and promotes fibril formation associated with synucleinopathies (1,2,5). Recent studies also suggest that alpha-synuclein accumulation can prevent mitochondrial import machinery causing mitochondrial dysfunction that is often observed in neurodegeneration (5). It is thought that preventing alpha-synuclein aggregation may prevent PD, thus alpha-synuclein is a target for many potential therapeutic interventions aimed at decreasing aggregate formation or increasing clearance (1,2,4-6).

References

1. Villar-Pique, A., Lopes da Fonseca, T., & Outeiro, T. F. (2016). Structure, function and toxicity of alpha-synuclein: the Bermuda triangle in synucleinopathies. Journal of neurochemistry. https://doi.org/10.1111/jnc.13249

2. Emamzadeh F. N. (2016). Alpha-synuclein structure, functions, and interactions. Journal of research in medical sciences : the official journal of Isfahan University of Medical Sciences. https://doi.org/10.4103/1735-1995.181989

3. Burre J. (2015). The Synaptic Function of alpha-Synuclein. Journal of Parkinson's disease. https://doi.org/10.3233/JPD-150642

4. Lashuel, H. A., Overk, C. R., Oueslati, A., & Masliah, E. (2013). The many faces of alpha-synuclein: from structure and toxicity to therapeutic target. Nature reviews. Neuroscience. https://doi.org/10.1038/nrn3406

5. Rocha, E. M., De Miranda, B., & Sanders, L. H. (2018). Alpha-synuclein: Pathology, mitochondrial dysfunction and neuroinflammation in Parkinson's disease. Neurobiology of disease. https://doi.org/10.1016/j.nbd.2017.04.004

6. O'Leary, E. I., & Lee, J. C. (2019). Interplay between alpha-synuclein amyloid formation and membrane structure. Biochimica et biophysica acta. Proteins and proteomics. https://doi.org/10.1016/j.bbapap.2018.09.012

Limitations

This product is for research use only and is not approved for use in humans or in clinical diagnosis. Primary Antibodies are guaranteed for 1 year from date of receipt.

Customers Who Viewed This Item Also Viewed...

NBP2-67702
Species: Hu, Mu, Rt
Applications: ICC/IF, IHC, IHC-Fr,  IHC-P, WB
NB300-268
Species: Bv, Ce, Hu, I, Mu, Pl
Applications: Flow-IC, Flow, ICC/IF, IHC, IHC-Fr,  IHC-P, IP, KO, WB
NBP1-90342
Species: Hu, Mu
Applications: IHC,  IHC-P, WB
NB300-270
Species: Ch, Hu, Mu, Rt
Applications: Flow, ICC/IF, IHC,  IHC-P, IP, In vitro, Simple Western, WB
NB300-109
Species: Ch, Dr, Hu, I, Ma, Mu, Rt
Applications: Dual ISH-IHC, ICC/IF, IHC-FrFl, IHC-WhMt, IHC, IHC-Fr,  IHC-P, KO, Simple Western, WB
NBP2-13075
Species: Ba, Hu, Pm, Mu, Rt
Applications: DB, ELISA, IB, ICC/IF, IHC-FrFl, IHC, IHC-Fr,  IHC-P, IP, WB
NBP2-55955
Species: Hu
Applications: ICC/IF, IHC,  IHC-P
BC100-494
Species: Hu, Mu, Rb, Rt
Applications: EM, IB, ICC/IF, IHC, IHC-Fr,  IHC-P, IP, KD, KO, PEP-ELISA, PAGE, WB
NB600-1160
Species: Bv, Ca, Hu, Mu, Po, Rt, Ze
Applications: Flow, ICC/IF, IHC, IHC-Fr,  IHC-P, Simple Western, WB
MAB5745
Species: Hu
Applications: IHC, WB
NBP3-15642
Species: Hu, Mu, Rt
Applications: ICC/IF, IHC,  IHC-P, WB
NBP1-54899
Species: Hu, Rt
Applications: ICC/IF, IHC, IHC-Fr, WB
NB100-56605
Species: Av, Bv, Sh
Applications: WB
NB100-74510
Species: Hu, Mu, Pm, Rt
Applications: ELISA, ICC/IF, IHC,  IHC-P, IP, WB
NBP1-80670
Species: Hu
Applications: IHC,  IHC-P, WB
NBP2-62693
Species: Hu
Applications: IHC,  IHC-P
NB600-534
Species: Hu, Mu, Po, V-Vi
Applications: ELISA, Flow, ICC/IF, IHC, IHC-Fr,  IHC-P, In vitro, In vivo, RIA, WB
NBP1-61418
Species: Hu, Mu, Rt
Applications: WB, ELISA, IHC

Publications for alpha-Synuclein Antibody (NBP1-61418) (0)

There are no publications for alpha-Synuclein Antibody (NBP1-61418).
By submitting your publication information earn gift cards and discounts for future purchases.

Reviews for alpha-Synuclein Antibody (NBP1-61418) (0)

There are no reviews for alpha-Synuclein Antibody (NBP1-61418). By submitting a review you will receive an Amazon e-Gift Card or Novus Product Discount.
  • Review with no image -- $10/€7/£6/$10 CAD/¥70 Yuan/¥1110 Yen
  • Review with an image -- $25/€18/£15/$25 CAD/¥150 Yuan/¥2500 Yen

Product General Protocols

Find general support by application which include: protocols, troubleshooting, illustrated assays, videos and webinars.

Video Protocols

WB Video Protocol

FAQs for alpha-Synuclein Antibody (NBP1-61418). (Showing 1 - 1 of 1 FAQ).

  1. I'm looking for an alpha-Synuclein antibody with an epitope located in the first half (N-terminus) of the protein - preferably a monoclonal antibody. Can you help me with that?
    • Please take a look at NB110-57475. It has been validated for human, rat and mouse and the applications ICC and WB and the epitope it detects is in the N terminal.

Secondary Antibodies

 

Isotype Controls

Additional alpha-Synuclein Products

Research Areas for alpha-Synuclein Antibody (NBP1-61418)

Find related products by research area.

Blogs on alpha-Synuclein.

Mechanisms of Neurodegeneration: Mitochondrial Dysfunction and Oxidative Stress
By Michalina Hanzel, PhDIn this second installment of our three blog-posts series on major cellular mechanisms responsible for neurodegenerative disorders, we will explore the processes of mitochondrial dysfunction an...  Read full blog post.

Mechanisms of Neurodegeneration: Protein aggregation and failure of autophagy
By Michalina Hanzel, PhDIn a series of three blog posts I will briefly explore the major cellular mechanisms responsible for many neurodegenerative disorders. The first, and perhaps the most apparent, is the accumulat...  Read full blog post.

The role of Parkin and autophagy in retinal pigment epithelial cell (RPE) degradation
The root of Parkinson’s disease (PD) points to a poorly regulated electron transport chain leading to mitochondrial damage, where many proteins need to work cohesively to ensure proper function.  The two key players of this pathway are PINK1, ...  Read full blog post.

Contact Information

Product PDFs

Calculators

Concentration Calculator

The concentration calculator allows you to quickly calculate the volume, mass or concentration of your vial. Simply enter your mass, volume, or concentration values for your reagent and the calculator will determine the rest.

=
÷

Review this Product

Be the first to review our alpha-Synuclein Antibody and receive a gift card or discount.

Bioinformatics

Gene Symbol SNCA
Uniprot