alpha-Methylacyl-CoA Racemase/AMACR Antibody

Images

 
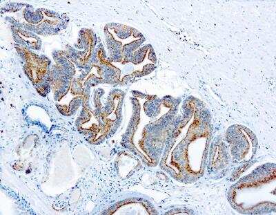
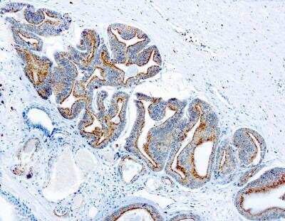
Immunohistochemistry-Paraffin: alpha-Methylacyl-CoA Racemase/AMACR Antibody [NB120-12498] - Formalin fixed paraffin embedded prostate carcinoma stained with p504S antibody (NB120-12498).

Order Details


    • Catalog Number
      NB120-12498
    • Availability
      Product Discontinued

    Can't find what you are looking for? Use our Antibody Concierge Service & we will help you locate your antibody!

    Or feel free to contact us for alternative products.

alpha-Methylacyl-CoA Racemase/AMACR Antibody Summary

Immunogen
Synthetic peptide (Human).
Localization
Cytoplasmic
Specificity
AMACR
Isotype
IgG
Clonality
Polyclonal
Host
Rabbit
Gene
AMACR
Purity
Affinity purified
Innovator's Reward
Test in a species/application not listed above to receive a full credit towards a future purchase.

Applications/Dilutions

Dilutions
  • Immunohistochemistry 1:25-1:50
  • Immunohistochemistry-Paraffin 1:25-1:50
Application Notes
IHC-P: recommended pretreatment of citrate buffer, pH 6.0. Recommended incubation time of 30 min at RT.
Control
alpha-Methylacyl-CoA Racemase/AMACR Overexpression Lysate

Reactivity Notes

Human. Not yet tested in other species.

Packaging, Storage & Formulations

Storage
Store at 4C. Do not freeze.
Buffer
PBS (pH 7.4), 0.2% BSA, Tween-20
Preservative
0.05% Sodium Azide
Purity
Affinity purified

Alternate Names for alpha-Methylacyl-CoA Racemase/AMACR Antibody

  • 2-methylacyl-CoA racemase
  • alpha-Methylacyl-CoA Racemase
  • alphaMethylacylCoARacemase
  • AMACR
  • AMACRD
  • CBAS4
  • EC 5.1.99.4
  • RACE
  • RM

Background

AMARC has been recently described as prostate cancer-specific gene that encodes a protein involved in the beta-oxidation of branched chain fatty acids. Expression of AMARC protein is found in prostatic adenocarcinoma but not in benign prostatic tissue. It stains premalignant lesions of prostate: high-grade prostatic intraepithelial neoplasia (PIN) and atypical adenomatous hyperplasia.

Limitations

This product is for research use only and is not approved for use in humans or in clinical diagnosis. Primary Antibodies are guaranteed for 1 year from date of receipt.

Customers Who Viewed This Item Also Viewed...

DKK300
Species: Hu
Applications: ELISA
AF7355
Species: Hu
Applications: ICC, Simple Western, WB
AF1916
Species: Hu
Applications: ICC, IHC, WB
NB100-355
Species: Bv, Ca, Ch, Hu, Mu, Po, Pm, Rt, Xp
Applications: CyTOF-ready, Flow, ICC/IF, IF, IHC, IHC-Fr,  IHC-P, IP, In vivo, KO, Simple Western, WB
NBP1-18885
Species: Hu
Applications: ICC/IF, IHC,  IHC-P, IP, KO, WB
NBP2-47940
Species: Hu
Applications: CyTOF-ready, Flow, ICC/IF, IF, IHC,  IHC-P, Simple Western, WB
AF4036
Species: Hu
Applications: Simple Western, WB
NBP1-32920
Species: Hu, Mu
Applications: ICC/IF, IHC,  IHC-P, KD, WB
H00005324-M02
Species: Hu, Mu
Applications: ELISA, IHC,  IHC-P, WB
NBP3-48658
Species: Ca, Fe, Hu, Mu, Rt, Ze
Applications: ICC/IF, IHC,  IHC-P, WB
AF1126
Species: Mu
Applications: ELISA(Cap), ELISA(Det), ELISA(Sta), IHC, IP, WB
NB100-56603
Species: Ca, Hu, Mu, Pm, Rt
Applications: IHC,  IHC-P, WB
NBP2-04611
Species: Hu
Applications: WB
NB200-103
Species: Hu, Mu, Rt, Xp(-), Ye
Applications: CyTOF-ready, ELISA, Flow-IC, Flow, ICC/IF, IHC, IHC-Fr,  IHC-P, IP, WB
NB120-22711
Species: Hu, Mu
Applications: ELISA, Flow, ICC/IF, IHC, IHC-Fr,  IHC-P
AF1356
Species: Hu, Mu
Applications: CyTOF-ready, Dual ISH-IHC, Flow, IHC, Simple Western, WB
NB300-223
Species: Bv, Ca, Ch, Eq, Hu, Mu, Po, Rt
Applications: ICC/IF, IHC, IHC-Fr,  IHC-P, WB

Publications for alpha-Methylacyl-CoA Racemase/AMACR Antibody (NB120-12498) (0)

There are no publications for alpha-Methylacyl-CoA Racemase/AMACR Antibody (NB120-12498).
By submitting your publication information earn gift cards and discounts for future purchases.

Reviews for alpha-Methylacyl-CoA Racemase/AMACR Antibody (NB120-12498) (0)

There are no reviews for alpha-Methylacyl-CoA Racemase/AMACR Antibody (NB120-12498). By submitting a review you will receive an Amazon e-Gift Card or Novus Product Discount.
  • Review with no image -- $10/€7/ÂŁ6/$10 CAD/„70 Yuan/„1110 Yen
  • Review with an image -- $25/€18/ÂŁ15/$25 CAD/„150 Yuan/„2500 Yen

Product General Protocols

Find general support by application which include: protocols, troubleshooting, illustrated assays, videos and webinars.

FAQs for alpha-Methylacyl-CoA Racemase/AMACR Antibody (NB120-12498) (0)

There are no specific FAQs related to this product. Read our general customer & technical service FAQs.

Control Lysate(s)

Secondary Antibodies

 

Isotype Controls

Additional alpha-Methylacyl-CoA Racemase/AMACR Products

Research Areas for alpha-Methylacyl-CoA Racemase/AMACR Antibody (NB120-12498)

Find related products by research area.

Blogs on alpha-Methylacyl-CoA Racemase/AMACR

There are no specific blogs for alpha-Methylacyl-CoA Racemase/AMACR, but you can read our latest blog posts.

Contact Information

Product PDFs

Calculators

Concentration Calculator

The concentration calculator allows you to quickly calculate the volume, mass or concentration of your vial. Simply enter your mass, volume, or concentration values for your reagent and the calculator will determine the rest.

=
÷

Review this Product

Be the first to review our alpha-Methylacyl-CoA Racemase/AMACR Antibody and receive a gift card or discount.

Bioinformatics

Gene Symbol AMACR
Entrez
Uniprot