alpha Adaptin Antibody (AC1-M11) - BSA Free

Images

 
Immunocytochemistry/ Immunofluorescence: alpha Adaptin Antibody (AC1-M11) [NB300-721] - Shows immunolocalization of alpha-adaptin in NRK cells.
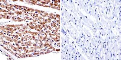
Immunohistochemistry-Paraffin: alpha Adaptin Antibody (AC1-M11) [NB300-721] - Immunohistochemistry on deparaffinized human heart tissue

Product Details

Summary
Reactivity Hu, Mu, Rt, Po, Am, Bv, Ch, PmSpecies Glossary
Applications WB, ICC/IF, IHC, IP
Clone
AC1-M11
Clonality
Monoclonal
Host
Mouse
Conjugate
Unconjugated
Format
BSA Free
Concentration
2 mg/ml

Order Details

alpha Adaptin Antibody (AC1-M11) - BSA Free Summary

Description
Novus Biologicals Mouse alpha Adaptin Antibody (AC1-M11) - BSA Free (NB300-721) is a monoclonal antibody validated for use in IHC, WB, ICC/IF and IP. Anti-alpha Adaptin Antibody: Cited in 2 publications. All Novus Biologicals antibodies are covered by our 100% guarantee.
Immunogen
Purified bovine brain adaptor complexes.
Localization
Cytoplasmic
Specificity
Detects Alpha 1 Fetoprotein. This detects the products of both alpha-adaptin genes, alpha A and alpha C, as well as an alternatively spliced isoform of alpha A found in neurons.
Isotype
IgG2a
Clonality
Monoclonal
Host
Mouse
Gene
AP2A1
Purity
Protein A purified
Innovator's Reward
Test in a species/application not listed above to receive a full credit towards a future purchase.

Applications/Dilutions

Dilutions
  • Immunocytochemistry/ Immunofluorescence 1:100
  • Immunohistochemistry 1:20
  • Immunohistochemistry-Paraffin 1:20
  • Immunoprecipitation 1:10 - 1:500
  • Western Blot 1:100
Application Notes
WB: Detects an approx. 100 kDa doublet representing the two isoforms of Alpha 1 Fetoprotein from pig brain extract. IF: Staining of alpha-adaptin in transfected COS cells yields distinct punctate dots on the plasma membrane.
Reviewed Applications
Read 1 Review rated 4
using
NB300-721 in the following applications:

Publications
Read Publications using NB300-721.

Reactivity Notes

Please note that this antibody is reactive to Mouse and derived from the same host, Mouse. Additional Mouse on Mouse blocking steps may be required for IHC and ICC experiments. Please contact Technical Support for more information.

Packaging, Storage & Formulations

Storage
Store at -20C. Avoid freeze-thaw cycles.
Buffer
PBS
Preservative
0.05% Sodium Azide
Concentration
2 mg/ml
Purity
Protein A purified

Alternate Names for alpha Adaptin Antibody (AC1-M11) - BSA Free

  • 100 kDa coated vesicle protein A
  • Adapter-related protein complex 2 alpha-1 subunit
  • Adaptor protein complex AP-2 subunit alpha-1
  • adaptor-related protein complex 2, alpha 1 subunit
  • ADTAAAP2-ALPHA
  • alpha1-adaptin
  • Alpha-adaptin A
  • AP-2 complex subunit alpha-1
  • CLAPA1adaptin, alpha A
  • Clathrin assembly protein complex 2 alpha-A large chain
  • clathrin-associated/assembly/adaptor protein, large, alpha 1
  • Plasma membrane adaptor HA2/AP2 adaptin alpha A subunit

Background

AP2A1, also known as AP-2 complex subunit alpha-1, contains a 208 kDa and a 105 kDa isoform, and is involved in protein transport, vesicle formation, and clathrin-dependent endocytosis. Current research is being conducted on the relationship between AP2A1 and a variety of diseases and disorders, including seminoma, neuronitis, Huntington's disease, malaria, myeloid leukemia, carcinoma, gout, immunodeficiency, pancreatic cancer, prostatitis, prostate carcinoma, cholesterol, breast cancer, leukemia, and pancreatitis. AP2A1 is associated with Clathrin-dependent protein traffic, CTLA4 Signaling, p38 Signaling, the EGFR1 Signaling Pathway, the Synaptic Vesicle Pathway, the Arf1 pathway, and L1CAM interactions. The protein interacts with HIP1, TOE1, SMAD9, NUMB, and GRB2.

Limitations

This product is for research use only and is not approved for use in humans or in clinical diagnosis. Primary Antibodies are guaranteed for 1 year from date of receipt.

Customers Who Viewed This Item Also Viewed...

NBP1-54878
Species: Hu
Applications: IHC,  IHC-P, WB
AF1443
Species: Mu, Rt
Applications: ICC, IHC, Simple Western, WB
NB100-74359
Species: Ch, Hu, Mu
Applications: ICC/IF, IHC, IHC-Fr,  IHC-P, IP, WB
NBP2-38290
Species: Hu
Applications: ChIP-EXO-SEQ, ICC/IF, IHC,  IHC-P, KD, WB
NBP2-04017
Species: Hu
Applications: IP, WB
NBP2-29463
Species: Pm, Hu, Pm, Mu
Applications: Flow, ICC/IF, IHC,  IHC-P, WB
MAB7046
Species: Hu
Applications: IHC, WB
AF2800
Species: Mu
Applications: Block, IHC, WB
NBP1-49533
Species: Hu, Mu, Pl, Rt
Applications: Flow-IC, Flow, ICC/IF, IHC,  IHC-P, KD, WB
NBP2-55178
Species: Hu
Applications: ICC/IF, IHC,  IHC-P, WB
NLS418
Species: Hu
Applications: IHC,  IHC-P
NBP2-92058
Species: Hu, Mu
Applications: ICC/IF, WB
H00152503-M01
Species: Hu, Mu
Applications: ELISA, ICC/IF, IHC,  IHC-P, WB
NBP1-92649
Species: Hu, Mu
Applications: IHC,  IHC-P, IP, KO, WB
NB400-146
Species: Hu, Mu, Pm, Rb, Rt
Applications: ICC/IF, IHC,  IHC-P, WB
NBP2-45731
Species: Ca, Hu, Pm
Applications: IHC,  IHC-P, WB
NBP2-22106
Species: Hu, Mu, Rt
Applications: IHC,  IHC-P, IP, WB

Publications for alpha Adaptin Antibody (NB300-721)(2)

Review for alpha Adaptin Antibody (NB300-721) (1) 41

Average Rating: 4
(Based on 1 review)
We have 1 review tested in 1 species: Human.

Reviews using NB300-721:
Filter by Applications
WB
(1)
All Applications
Filter by Species
Human
(1)
All Species
Images Ratings Applications Species Date Details
Western Blot alpha Adaptin NB300-721
Enlarge
4
reviewed by:
Verified Customer
WB Human 01/18/2012
View

Summary

ApplicationWestern Blot
Sample TestedA549 lung cancer cell line, Sample Amount: 10ug
SpeciesHuman

Product General Protocols

Find general support by application which include: protocols, troubleshooting, illustrated assays, videos and webinars.

Video Protocols

WB Video Protocol
ICC/IF Video Protocol

FAQs for alpha Adaptin Antibody (NB300-721) (0)

There are no specific FAQs related to this product. Read our general customer & technical service FAQs.

Secondary Antibodies

 

Isotype Controls

Additional alpha Adaptin Products

Research Areas for alpha Adaptin Antibody (NB300-721)

Find related products by research area.

Blogs on alpha Adaptin

There are no specific blogs for alpha Adaptin, but you can read our latest blog posts.

Customers Who Bought This Also Bought

Contact Information

Product PDFs

Calculators

Concentration Calculator

The concentration calculator allows you to quickly calculate the volume, mass or concentration of your vial. Simply enter your mass, volume, or concentration values for your reagent and the calculator will determine the rest.

=
÷

Recent Reviews

4
5
0
4
1
3
0
2
0
1
0

Verified Customer
01/18/2012
Application: WB
Species: Human

Bioinformatics

Gene Symbol AP2A1
Entrez