Aldehyde Dehydrogenase 1-A1/ALDH1A1 Antibody (SY11-02)

Images

 
Western Blot: Aldehyde Dehydrogenase 1-A1/ALDH1A1 Antibody (SY11-02) [NBP2-67385] - Western blot analysis of Aldehyde Dehydrogenase 1-A1/ALDH1A1 on different lysates. Proteins were transferred to a PVDF membrane and ...read more
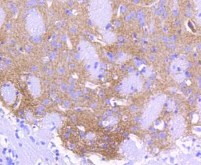
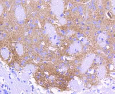
Immunohistochemistry-Paraffin: Aldehyde Dehydrogenase 1-A1/ALDH1A1 Antibody (SY11-02) [NBP2-67385] - Analysis of paraffin-embedded mouse brain tissue using anti-ALDH1A1 antibody. Counter stained with hematoxylin.
Western Blot: Aldehyde Dehydrogenase 1-A1/ALDH1A1 Antibody (SY11-02) [NBP2-67385] - Analysis of ALDH1A1 on mouse lung lysates using anti-ALDH1A1 antibody at 1/1,000 dilution.
Immunohistochemistry-Paraffin: Aldehyde Dehydrogenase 1-A1/ALDH1A1 Antibody (SY11-02) [NBP2-67385] - Analysis of paraffin-embedded human kidney tissue using anti-ALDH1A1 antibody. Counter stained with hematoxylin.
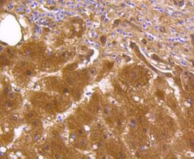
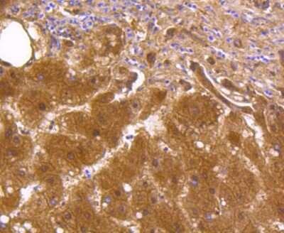
Immunohistochemistry-Paraffin: Aldehyde Dehydrogenase 1-A1/ALDH1A1 Antibody (SY11-02) [NBP2-67385] - Analysis of paraffin-embedded human liver tissue using anti-ALDH1A1 antibody. Counter stained with hematoxylin.

Order Details


    • Catalog Number
      NBP2-67385
    • Availability
      Product Discontinued

    Can't find what you are looking for? Use our Antibody Concierge Service & we will help you locate your antibody!

    Or feel free to contact us for alternative products.

Aldehyde Dehydrogenase 1-A1/ALDH1A1 Antibody (SY11-02) Summary

Additional Information
Recombinant Monoclonal Antibody.
Immunogen
Synthetic peptide within human Aldehyde Dehydrogenase 1-A1/ALDH1A1 aa 300-360. (SwissProt: P00352 Human; SwissProt: P24549 Mouse; SwissProt: P51647 Rat)
Localization
Cytoplasm, Cell projection.
Isotype
IgG
Clonality
Monoclonal
Host
Rabbit
Gene
ALDH1A1
Purity
Protein A purified
Innovator's Reward
Test in a species/application not listed above to receive a full credit towards a future purchase.

Applications/Dilutions

Dilutions
  • Immunohistochemistry
  • Immunohistochemistry-Paraffin 1:50-1:200
  • Immunoprecipitation
  • Western Blot 1:1000-1:2000

Packaging, Storage & Formulations

Storage
Store at 4C short term. Aliquot and store at -20C long term. Avoid freeze-thaw cycles.
Buffer
TBS (pH7.4), 0.05% BSA, 40% Glycerol
Preservative
0.05% Sodium Azide
Concentration
1 mg/ml
Purity
Protein A purified

Alternate Names for Aldehyde Dehydrogenase 1-A1/ALDH1A1 Antibody (SY11-02)

  • acetaldehyde dehydrogenase 1
  • ALDC
  • aldehyde dehydrogenase 1 family, member A1
  • aldehyde dehydrogenase 1, soluble
  • Aldehyde Dehydrogenase 1A1
  • Aldehyde Dehydrogenase 1-A1
  • Aldehyde dehydrogenase family 1 member A1
  • Aldehyde dehydrogenase, cytosolic
  • aldehyde dehydrogenase, liver cytosolic
  • ALDH class 1
  • ALDH1
  • ALDH11
  • ALDH1A1
  • ALDH-E1
  • ALHDII
  • EC 1.2.1
  • EC 1.2.1.36
  • MGC2318
  • PUMB1
  • RALDH 1
  • RALDH1
  • retinal dehydrogenase 1
  • retinaldehyde dehydrogenase 1

Background

Usual human livers contain two major ALDH isozymes, i.e., cytosolic ALDH1 and mitochondrial ALDH2(1). Human red cell aldehyde dehydrogenase (ALDH) resembles the liver cytosolic isozyme in numerous physicochemical properties. Thus, the erythrocyte enzyme, by virtue of its chemical and structural identity with the liver cytosolic enzyme, may serve as a suitable peripheral enzyme model to understand the cause and mechanism of alcohol abuse-related changes in liver cytosolic ALDH that has been found to be reduced in alcoholics (2). ALDH1A1 is known to catalyze the oxidation of retinaldehyde to retinoic acid. Overexpression of human ALDH1A1 in HEK cells led to a more than 20-fold increase in 3-deoxyglucosone dehydrogenase activity (3).

Limitations

This product is for research use only and is not approved for use in humans or in clinical diagnosis. Primary Antibodies are guaranteed for 1 year from date of receipt.

Customers Who Viewed This Item Also Viewed...

NBP2-37397
Species: Hu, Mu, Rt
Applications: CyTOF-ready, ELISA, Flow, ICC/IF, IHC,  IHC-P, WB
NBP1-87158
Species: Hu
Applications: IHC,  IHC-P, Simple Western, WB
BBA10
Species: Hu
Applications: CyTOF-ready, Flow, IHC, IP, KO, Simple Western, WB
NBP2-15339
Species: Hu, Mu, Rt
Applications: IB, ICC/IF, IHC, IHC-Fr,  IHC-P, Simple Western, WB
NBP2-02483
Species: Hu
Applications: Flow, ICC/IF, IHC,  IHC-P, WB
NBP2-02164
Species: Hu, Mu, Rt
Applications: Flow, ICC/IF, IHC,  IHC-P, WB
NBP3-16627
Species: Hu, Mu, Rt
Applications: ELISA, ICC/IF, IHC,  IHC-P, WB
AF5247
Species: Hu
Applications: IHC, WB
NB120-16518
Species: Hu, Mu, Po, Rt
Applications: ChIP, ELISA, Flow, ICC/IF, IHC, IHC-Fr,  IHC-P, WB
AF009
Species: Hu
Applications: IHC, WB
AF1759
Species: Hu, Mu
Applications: ChIP, ICC, IP, Simple Western, WB
NB100-524
Species: Hu, Mu
Applications: Flow-IC, Flow, ICC/IF, IHC, IHC-Fr,  IHC-P, IP, WB
7268-CT
Species: Hu
Applications: BA
1129-ER
Species: Hu
Applications: BA
NBP2-79843
Species: Hu
Applications: CyTOF-ready, ELISA, Flow, ICC/IF, IHC,  IHC-P, PA, WB
H00000126-D01P
Species: Hu, Mu
Applications: WB
NBP2-45516
Species: Hu, Mu, Rt
Applications: ICC/IF, IHC,  IHC-P, WB
NBP2-00649
Species: Ca, Hu, Rt
Applications: Flow, ICC/IF, IHC,  IHC-P, WB

Publications for Aldehyde Dehydrogenase 1-A1/ALDH1A1 Antibody (NBP2-67385) (0)

There are no publications for Aldehyde Dehydrogenase 1-A1/ALDH1A1 Antibody (NBP2-67385).
By submitting your publication information earn gift cards and discounts for future purchases.

Reviews for Aldehyde Dehydrogenase 1-A1/ALDH1A1 Antibody (NBP2-67385) (0)

There are no reviews for Aldehyde Dehydrogenase 1-A1/ALDH1A1 Antibody (NBP2-67385). By submitting a review you will receive an Amazon e-Gift Card or Novus Product Discount.
  • Review with no image -- $10/€7/£6/$10 CAD/¥70 Yuan/¥1110 Yen
  • Review with an image -- $25/€18/£15/$25 CAD/¥150 Yuan/¥2500 Yen

Product General Protocols

Find general support by application which include: protocols, troubleshooting, illustrated assays, videos and webinars.

Video Protocols

WB Video Protocol

FAQs for Aldehyde Dehydrogenase 1-A1/ALDH1A1 Antibody (NBP2-67385) (0)

There are no specific FAQs related to this product. Read our general customer & technical service FAQs.

Contact Information

Product PDFs

Calculators

Concentration Calculator

The concentration calculator allows you to quickly calculate the volume, mass or concentration of your vial. Simply enter your mass, volume, or concentration values for your reagent and the calculator will determine the rest.

=
÷

Review this Product

Be the first to review our Aldehyde Dehydrogenase 1-A1/ALDH1A1 Antibody (SY11-02) and receive a gift card or discount.

Bioinformatics

Gene Symbol ALDH1A1