Adrenomedullin R/ADMR/GPR182 Antibody

Images

 
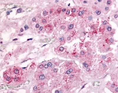
Immunohistochemistry-Paraffin: Adrenomedullin R/ADMR/GPR182 Antibody [NLS3964] - Analysis of anti-GPR182 / ADMR antibody with human adrenal.

Order Details


    • Catalog Number
      NLS3964
    • Availability
      Product Discontinued

    Can't find what you are looking for? Use our Antibody Concierge Service & we will help you locate your antibody!

    Or feel free to contact us for alternative products.

Adrenomedullin R/ADMR/GPR182 Antibody Summary

Immunogen
Synthetic 18 amino acid peptide from 2nd extracellular domain of human GPR182 / ADMR.
Specificity
Human Adrenomedullin R/ADMR/GPR182. BLAST analysis of the peptide immunogen showed no homology with other human proteins.
Predicted Species
Primate (100%). Backed by our 100% Guarantee.
Isotype
IgG
Clonality
Polyclonal
Host
Rabbit
Gene
GPR182
Purity
Immunogen affinity purified
Innovator's Reward
Test in a species/application not listed above to receive a full credit towards a future purchase.

Applications/Dilutions

Dilutions
  • ELISA 1:100 - 1:2000
  • Immunohistochemistry
  • Immunohistochemistry-Paraffin 20 ug/ml
Control
Adrenomedullin/ADM Overexpression Lysate

Reactivity Notes

Predicted cross-reactivity based on sequence identity: Gorilla (100%), Gibbon (100%), Marmost (89%), Bat (89%), Rabbit (89%), Equine (89%), Mouse (83%), Rat (83%), Hamster (83%), Porcine (83%).

Packaging, Storage & Formulations

Storage
Store at 4C short term. Aliquot and store at -20C long term. Avoid freeze-thaw cycles.
Buffer
PBS
Preservative
0.1% Sodium Azide
Concentration
1.0 mg/ml
Purity
Immunogen affinity purified

Alternate Names for Adrenomedullin R/ADMR/GPR182 Antibody

  • 7TMR
  • ADMR
  • Adrenomedullin R
  • adrenomedullin receptor
  • AdrenomedullinR
  • AMR
  • AM-R
  • G protein-coupled receptor 182,7TMR
  • G10D
  • GAMRH
  • Gpcr22
  • GPR182
  • G-protein coupled receptor 182
  • hrhAMR
  • MB10
  • MGC34399
  • NOW

Background

Adrenomedullin receptor L1 expression has been reported in adrenal gland, bone marrow, brain, heart, kidney, liver, lung, lymph node, pancreas, skeletal muscle, small intestine, spleen, stomach, testis, and thyroid. ESTs have been isolated from kidney, liver/spleen, fetal lung/testis/B-cell, and melanocyte/uterus/fetal heart libraries.

Limitations

This product is for research use only and is not approved for use in humans or in clinical diagnosis. Primary Antibodies are guaranteed for 1 year from date of receipt.

Customers Who Viewed This Item Also Viewed...

NLS6731
Species: Bv, Ca, Eq, Gt, Ha, Hu, Pm, Po, Pm, Rb, Rt, Xp
Applications: IHC,  IHC-P
NBP2-01853
Species: Hu, Pm
Applications: Flow, IHC,  IHC-P, WB
NB120-14817
Species: Hu, Rt
Applications: ICC/IF, IHC, S-ELISA, WB
AF1052
Species: Hu
Applications: CyTOF-ready, Flow, IHC, Simple Western, WB
AF6428
Species: Hu
Applications: IHC, WB
AF4875
Species: Hu
Applications: WB
NB100-40840
Species: Hu, Mu
Applications: IHC,  IHC-P, IP, WB
NB100-56490
Species: Ca, Hu, Pm
Applications: IHC,  IHC-P, WB
AF6517
Species: Hu
Applications: WB
NBP2-33680
Species: Hu
Applications: IHC,  IHC-P
NBP2-13628
Species: Hu
Applications: ICC/IF, IHC,  IHC-P, WB
NBP1-58023
Species: Hu
Applications: WB
NBP1-88582
Species: Hu
Applications: ICC/IF, IHC,  IHC-P, WB
MAB4614
Species: Hu
Applications: CyTOF-ready, Flow, KO
NBP1-30027
Species: Hu, Mu, Rt
Applications: ICC/IF, IHC,  IHC-P, WB
NBP2-92783
Species: Hu, Mu, Rt
Applications: IHC,  IHC-P, WB
H00003126-P01
Species: Hu
Applications: ELISA, AP, PA, WB
NB100-56603
Species: Ca, Hu, Mu, Pm, Rt
Applications: IHC,  IHC-P, WB
NLS3964
Species: Hu, Pm, Pm
Applications: ELISA, IHC

Publications for Adrenomedullin R/ADMR/GPR182 Antibody (NLS3964) (0)

There are no publications for Adrenomedullin R/ADMR/GPR182 Antibody (NLS3964).
By submitting your publication information earn gift cards and discounts for future purchases.

Reviews for Adrenomedullin R/ADMR/GPR182 Antibody (NLS3964) (0)

There are no reviews for Adrenomedullin R/ADMR/GPR182 Antibody (NLS3964). By submitting a review you will receive an Amazon e-Gift Card or Novus Product Discount.
  • Review with no image -- $10/€7/£6/$10 CAD/¥70 Yuan/¥1110 Yen
  • Review with an image -- $25/€18/£15/$25 CAD/¥150 Yuan/¥2500 Yen

Product General Protocols

View specific protocols for Adrenomedullin R/ADMR/GPR182 Antibody (NLS3964): Find general support by application which include: protocols, troubleshooting, illustrated assays, videos and webinars.

FAQs for Adrenomedullin R/ADMR/GPR182 Antibody (NLS3964) (0)

There are no specific FAQs related to this product. Read our general customer & technical service FAQs.

Control Lysate(s)

Secondary Antibodies

 

Isotype Controls

Additional Adrenomedullin R/ADMR/GPR182 Products

Research Areas for Adrenomedullin R/ADMR/GPR182 Antibody (NLS3964)

Find related products by research area.

Blogs on Adrenomedullin R/ADMR/GPR182

There are no specific blogs for Adrenomedullin R/ADMR/GPR182, but you can read our latest blog posts.

Contact Information

Product PDFs

Calculators

Concentration Calculator

The concentration calculator allows you to quickly calculate the volume, mass or concentration of your vial. Simply enter your mass, volume, or concentration values for your reagent and the calculator will determine the rest.

=
÷

Review this Product

Be the first to review our Adrenomedullin R/ADMR/GPR182 Antibody and receive a gift card or discount.

Bioinformatics

Gene Symbol GPR182
Entrez