ADAMTS14 Antibody [Unconjugated] - BSA Free

Images

 
Western Blot: Rabbit ADAMTS14 pAb [Unconjugated] [NBP3-26063] - Analysis of ADAMTS14 in HUVEC cell lysate. Samples were incubated with ADAMTS14 polyclonal antibody.
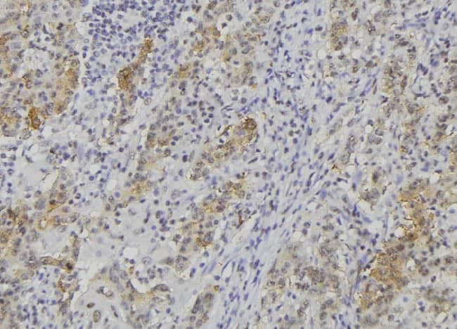
Immunohistochemistry-Paraffin: Rabbit ADAMTS14 pAb [Unconjugated] [NBP3-26063] - Analysis of paraffin-embedded ADAMTS14 in human lung cancer tissue. Antigen retrieval was performed using citrate buffer. Samples were ...read more

Product Details

Summary
Reactivity Hu, Mu, RtSpecies Glossary
Applications WB, IHC
Clonality
Polyclonal
Host
Rabbit
Conjugate
Unconjugated
Format
BSA Free

Order Details

ADAMTS14 Antibody [Unconjugated] - BSA Free Summary

Description
Novus Biologicals Rabbit ADAMTS14 Antibody [Unconjugated] - BSA Free (NBP3-26063) is a polyclonal antibody validated for use in IHC and WB. All Novus Biologicals antibodies are covered by our 100% guarantee.
Immunogen
A synthesized peptide derived from human ADAMTS14, corresponding to a region within C-terminal amino acids.
Isotype
IgG
Clonality
Polyclonal
Host
Rabbit
Gene
ADAMTS14
Purity
Affinity purified
Innovator's Reward
Test in a species/application not listed above to receive a full credit towards a future purchase.

Applications/Dilutions

Dilutions
  • Immunohistochemistry-Paraffin 1:200
  • Western Blot

Packaging, Storage & Formulations

Storage
Store at -20C. Avoid freeze-thaw cycles.
Buffer
PBS, 50% Glycerol
Preservative
0.02% Sodium Azide
Purity
Affinity purified

Alternate Names for ADAMTS14 Antibody [Unconjugated] - BSA Free

  • ADAM metallopeptidase with thrombospondin type 1 motif, 14,14

Background

The ADAMTS14 gene encodes a member of the ADAMTS (a disintegrin and metalloproteinase with thrombospondin motif) proteinfamily. Members of the family share several distinct protein modules, including a propeptide region, ametalloproteinase domain, a disintegrin-l

Limitations

This product is for research use only and is not approved for use in humans or in clinical diagnosis. Primary Antibodies are guaranteed for 1 year from date of receipt.

Customers Who Viewed This Item Also Viewed...

NBP1-89246
Species: Hu
Applications: ICC/IF, IHC,  IHC-P
DY4307-05
Species: Hu
Applications: ELISA
DTM100
Species: Hu
Applications: ELISA
AF5465
Species: Hu
Applications: IP, WB
DADT130
Species: Hu
Applications: ELISA
DM1300
Species: Hu
Applications: ELISA
MAB9181
Species: Hu
Applications: CyTOF-ready, Flow, IHC, IP, WB
NBP3-17147
Species: Hu
Applications: ICC/IF, WB
DMP700
Species: Hu
Applications: ELISA
MAB901
Species: Hu
Applications: IHC, IP, KO, Neut, WB
7268-CT
Species: Hu
Applications: BA
NB100-524
Species: Hu, Mu
Applications: Flow-IC, Flow, ICC/IF, IHC, IHC-Fr,  IHC-P, IP, WB
NBP2-92790
Species: Hu, Mu, Rt
Applications: ELISA, ICC/IF, IHC,  IHC-P, WB
DY2198-05
Species: Hu
Applications: ELISA
AF1785
Species: Hu
Applications: IHC, IP, WB
AF3628
Species: Hu, Mu, Rt
Applications: CyTOF-ready, Flow, ICC, IHC, Simple Western, WB
NB100-683
Species: Hu, Mu, Rt
Applications: Dual ISH-IHC, EM, Flow, ICC/IF, IHC, IHC-Fr,  IHC-P, IP, WB
MAB5149
Species: Hu
Applications: CyTOF-ready, Flow, IHC, WB

Publications for ADAMTS14 Antibody (NBP3-26063) (0)

There are no publications for ADAMTS14 Antibody (NBP3-26063).
By submitting your publication information earn gift cards and discounts for future purchases.

Reviews for ADAMTS14 Antibody (NBP3-26063) (0)

There are no reviews for ADAMTS14 Antibody (NBP3-26063). By submitting a review you will receive an Amazon e-Gift Card or Novus Product Discount.
  • Review with no image -- $10/€7/£6/$10 CAD/¥70 Yuan/¥1110 Yen
  • Review with an image -- $25/€18/£15/$25 CAD/¥150 Yuan/¥2500 Yen

Product General Protocols

Find general support by application which include: protocols, troubleshooting, illustrated assays, videos and webinars.

Video Protocols

WB Video Protocol

FAQs for ADAMTS14 Antibody (NBP3-26063) (0)

There are no specific FAQs related to this product. Read our general customer & technical service FAQs.

Customers Who Bought This Also Bought

Contact Information

Product PDFs

Calculators

Concentration Calculator

The concentration calculator allows you to quickly calculate the volume, mass or concentration of your vial. Simply enter your mass, volume, or concentration values for your reagent and the calculator will determine the rest.

=
÷

Review this Product

Be the first to review our ADAMTS14 Antibody [Unconjugated] - BSA Free and receive a gift card or discount.

Bioinformatics

Gene Symbol ADAMTS14