ADAMTS13 Antibody (JG39-21)

Images

 
Western Blot: ADAMTS13 Antibody (JG39-21) [NBP2-76975] - Western blot analysis of ADAMTS13 on SiHa cell (1), PC-3M cell (2) and A549 cell lysates using anti-ADAMTS13 antibody at 1/500 dilution.
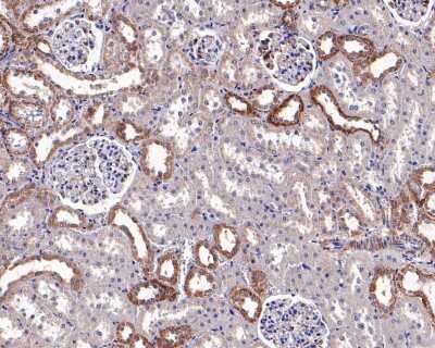
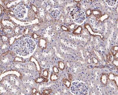
Immunohistochemistry-Paraffin: ADAMTS13 Antibody (JG39-21) [NBP2-76975] - Analysis of paraffin-embedded rat kidney tissue with Rabbit anti-ADAMTS13 antibody washed with ddH2O and PBS, and then probed with the primary ...read more
Flow Cytometry: ADAMTS13 Antibody (JG39-21) [NBP2-76975] - Flow cytometric analysis of HepG2 cells with ADAMTS13 antibody at 1/100 dilution (purple) compared with an unlabelled control (cells without incubation with ...read more
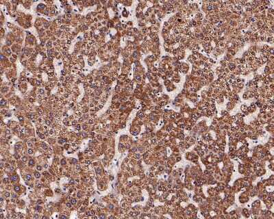
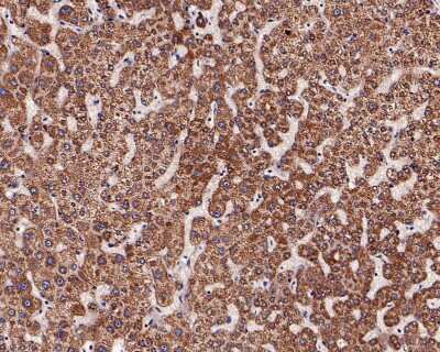
Immunohistochemistry: ADAMTS13 Antibody (JG39-21) [NBP2-76975] - Immunohistochemical analysis of paraffin-embedded human liver tissue using anti-ADAMTS13 antibody. Counter stained with hematoxylin.
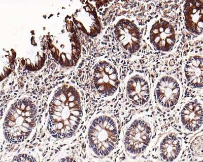
Immunohistochemistry: ADAMTS13 Antibody (JG39-21) [NBP2-76975] - Immunohistochemical analysis of paraffin-embedded human colon tissue using anti-ADAMTS13 antibody. Counter stained with hematoxylin.
Immunohistochemistry-Paraffin: ADAMTS13 Antibody (JG39-21) [NBP2-76975] - Analysis of paraffin-embedded human liver tissue with Rabbit anti-ADAMTS13 antibody washed with ddH2O and PBS, and then probed with the primary ...read more
Immunohistochemistry-Paraffin: ADAMTS13 Antibody (JG39-21) [NBP2-76975] - Analysis of paraffin-embedded human colon tissue with Rabbit anti-ADAMTS13 antibody washed with ddH2O and PBS, and then probed with the primary ...read more

Product Details

Summary
Product Discontinued
View other related ADAMTS13 Primary Antibodies

Order Details


    • Catalog Number
      NBP2-76975
    • Availability
      Product Discontinued

    Can't find what you are looking for? Use our Antibody Concierge Service & we will help you locate your antibody!

    Or feel free to contact us for alternative products.

ADAMTS13 Antibody (JG39-21) Summary

Additional Information
Recombinant Monoclonal Antibody.
Immunogen
Synthetic peptide within Human ADAMTS13 aa 71-124 / 1427. (SwissProt: Q76LX8 Human)
Localization
Secreted.
Isotype
IgG
Clonality
Monoclonal
Host
Rabbit
Gene
ADAMTS13
Purity
Protein A purified
Innovator's Reward
Test in a species/application not listed above to receive a full credit towards a future purchase.

Applications/Dilutions

Dilutions
  • Flow Cytometry 1:50-1:100
  • Immunohistochemistry
  • Immunohistochemistry-Paraffin 1:50-1:200
  • Western Blot 1:500-1:2000
Theoretical MW
154 kDa.
Disclaimer note: The observed molecular weight of the protein may vary from the listed predicted molecular weight due to post translational modifications, post translation cleavages, relative charges, and other experimental factors.

Packaging, Storage & Formulations

Storage
Store at 4C short term. Aliquot and store at -20C long term. Avoid freeze-thaw cycles.
Buffer
TBS (pH7.4), 0.05% BSA, 40% Glycerol
Preservative
0.05% Sodium Azide
Concentration
1 mg/ml
Purity
Protein A purified

Alternate Names for ADAMTS13 Antibody (JG39-21)

  • A disintegrin and metalloproteinase with thrombospondin motifs 13
  • a disintegrin-like and metalloprotease (reprolysin type) with thrombospondintype 1 motif, 13
  • ADAM metallopeptidase with thrombospondin type 1 motif, 13
  • ADAMTS13
  • ADAM-TS13
  • ADAMTS-13
  • DKFZp434C2322
  • EC 3.4.24.14
  • EC 3.4.24.82
  • EC 3.4.24.87
  • FLJ42993
  • MGC118899
  • MGC118900
  • TTP
  • TTPADAM-TS 13
  • vWF-cleaving protease
  • vWF-CP
  • vWF-CPC9orf8
  • VWFCPvon Willebrand factor-cleaving protease

Background

ADAMTS13 was first identified by its ability to cleave the ultra large aggregates of vWF into smaller forms in the serum. A thrombocytopenic disorder called thrombic thrombocytopenic purpura (TTR) was shown to be due to a deficiency in the cleavage of von Willebrands factor, and ADAMTS13 was identified as the enzyme responsible. ADAMTS13 cleaves the Tyr1605 to Met1606 bond in the A2 domain of vWF, a process stimulated by shear stress in the circulation and by binding to either platelet glycoprotein IBa or to heparin. The cleaved vWF leads to decreased platelet adhesion. An idiopathic form of TTR is found in patients with auto antibodies to ADAMTS13. The full length ADAMTS-1 sequence codes for a 1,427 amino acid protein, with a predicted mass of 153.6 kDa, but glycosylation and the abundance of cysteine residues gives ADAMTS-13 an apparent molecular weight of about 190 kDa on reduced SDS PAGE gels. The variants reported include 1,371, 1,340 and 344 amino acids, with predicted mass of 130.3, 144.5 and 36.7 kDa respectively. Many bands of varying sizes can be seen on Western blots, between 110-190 kDa, perhaps indicating differentially processed ADAMTS-13.

Limitations

This product is for research use only and is not approved for use in humans or in clinical diagnosis. Primary Antibodies are guaranteed for 1 year from date of receipt.

Customers Who Viewed This Item Also Viewed...

NB600-586
Species: Ca, Fe, Hu, Mu
Applications: Dual ISH-IHC, ICC/IF, IHC, IHC-Fr,  IHC-P
NBP1-26612
Species: Hu
Applications: IP (-), WB
NBP2-02105
Species: Hu, Mu, Rt
Applications: Flow, ICC/IF, IHC,  IHC-P, WB
H00005555-P01
Species: Hu
Applications: ELISA, AP, PA, PAGE, WB
AF5415
Species: Hu
Applications: ICC, IHC, Simple Western, WB
NBP2-47602
Species: Hu
Applications: ICC/IF, IHC,  IHC-P
AF231
Species: Hu
Applications: CyTOF-ready, Dual ISH-IHC, ELISA(Cap), ELISA(Det), ELISA(Sta), Flow, ICC, IHC, IP, Simple Western, WB
1129-ER
Species: Hu
Applications: BA
DVE00
Species: Hu
Applications: ELISA
DTSP10
Species: Hu
Applications: ELISA
NBP1-31851
Species: Hu, Mu, Rt
Applications: ICC/IF, WB
M6000B
Species: Mu
Applications: ELISA
NBP3-38363
Species: Hu, Mu, Rt
Applications: ELISA, IHC,  IHC-P, WB
NB100-91761
Species: Hu, Mu, Rt
Applications: ELISA, ICC/IF, IHC,  IHC-P, WB
NBP2-33950
Species: Hu, Mu
Applications: ICC/IF, IHC,  IHC-P, WB
NBP2-20383
Species: Hu, Mu
Applications: ICC/IF, IHC,  IHC-P, WB

Publications for ADAMTS13 Antibody (NBP2-76975) (0)

There are no publications for ADAMTS13 Antibody (NBP2-76975).
By submitting your publication information earn gift cards and discounts for future purchases.

Reviews for ADAMTS13 Antibody (NBP2-76975) (0)

There are no reviews for ADAMTS13 Antibody (NBP2-76975). By submitting a review you will receive an Amazon e-Gift Card or Novus Product Discount.
  • Review with no image -- $10/€7/£6/$10 CAD/¥70 Yuan/¥1110 Yen
  • Review with an image -- $25/€18/£15/$25 CAD/¥150 Yuan/¥2500 Yen

Product General Protocols

Find general support by application which include: protocols, troubleshooting, illustrated assays, videos and webinars.

Video Protocols

WB Video Protocol

FAQs for ADAMTS13 Antibody (NBP2-76975) (0)

There are no specific FAQs related to this product. Read our general customer & technical service FAQs.

Secondary Antibodies

 

Isotype Controls

Additional ADAMTS13 Products

Research Areas for ADAMTS13 Antibody (NBP2-76975)

Find related products by research area.

Blogs on ADAMTS13

There are no specific blogs for ADAMTS13, but you can read our latest blog posts.

Contact Information

Product PDFs

Calculators

Concentration Calculator

The concentration calculator allows you to quickly calculate the volume, mass or concentration of your vial. Simply enter your mass, volume, or concentration values for your reagent and the calculator will determine the rest.

=
÷

Review this Product

Be the first to review our ADAMTS13 Antibody (JG39-21) and receive a gift card or discount.

Bioinformatics

Gene Symbol ADAMTS13