Activin RIIB Antibody

Images

 
Genetic Strategies: Western Blot: Activin RIIB Antibody [NBP2-68638] - Analysis in Rh30 cells transfected with control siRNA, target specific siRNA probe #1 and #2,. Remaining relative intensity is presented. ...read more
Immunohistochemistry-Paraffin: Activin RIIB Antibody [NBP2-68638] - Staining of human testis shows moderate cytoplasmic positivity in cells in seminiferous ducts.
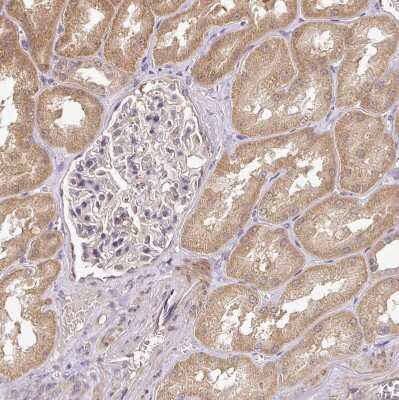
Immunohistochemistry-Paraffin: Activin RIIB Antibody [NBP2-68638] - Staining of human kidney shows moderate cytoplasmic positivity in cells in tubules.
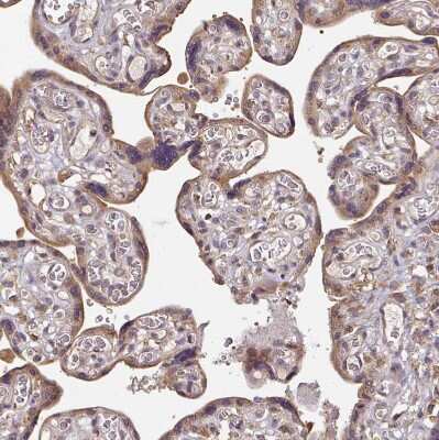
Immunohistochemistry-Paraffin: Activin RIIB Antibody [NBP2-68638] - Staining of human placenta shows moderate cytoplasmic positivity in trophoblastic cells.
Immunohistochemistry-Paraffin: Activin RIIB Antibody [NBP2-68638] - Staining of human prostate shows moderate cytoplasmic positivity in smooth muscle cells.

Product Details

Summary
Product Discontinued
View other related Activin RIIB Primary Antibodies
Validated by:
     

Genetic Strategies

   

Order Details


    • Catalog Number
      NBP2-68638
    • Availability
      Product Discontinued

    Can't find what you are looking for? Use our Antibody Concierge Service & we will help you locate your antibody!

    Or feel free to contact us for alternative products.

Activin RIIB Antibody Summary

Immunogen
This antibody was developed against a recombinant protein corresponding to amino acids: ECIYYNANWELERTNQSGLERCEGEQDKRLHCYASWRNSSGTIELVKKGCWLDDFNCYDRQECVATEENPQVYFCCCEGNFCNERFTHLPEAGGPEVTYEPP
Predicted Species
Mouse (99%), Rat (99%). Backed by our 100% Guarantee.
Isotype
IgG
Clonality
Polyclonal
Host
Rabbit
Gene
ACVR2B
Purity
Protein A purified
Innovator's Reward
Test in a species/application not listed above to receive a full credit towards a future purchase.

Applications/Dilutions

Dilutions
  • Immunohistochemistry 1:200 - 1:500
  • Immunohistochemistry-Paraffin 1:200 - 1:500
  • Knockdown Validated
  • Western Blot 0.04-0.4 ug/ml
Application Notes
Recommended conditions for IHC,Retrieval method: HIER pH6

Packaging, Storage & Formulations

Storage
Store at 4C short term. Aliquot and store at -20C long term. Avoid freeze-thaw cycles.
Buffer
PBS (pH 7.2) and 40% Glycerol
Preservative
0.02% Sodium Azide
Purity
Protein A purified

Alternate Names for Activin RIIB Antibody

  • activin A receptor, type IIB
  • Activin receptor type IIB
  • activin receptor type-2B
  • Activin RIIB
  • ActivinRIIB
  • ACTRIIB
  • ActR-IIB
  • ACVR2B
  • EC 2.7.11
  • EC 2.7.11.30
  • MGC116908

Background

Activins are dimeric growth and differentiation factors which belong to the transforming growth factor-beta (TGF-beta) superfamily of structurally related signaling proteins. Activins signal through a heteromeric complex of receptor serine kinases which include at least two type I (I and IB) and two type II (II and IIB) receptors. These receptors are all transmembrane proteins, composed of a ligand-binding extracellular domain with cysteine-rich region, a transmembrane domain, and a cytoplasmic domain with predicted serine/threonine specificity. Type I receptors are essential for signaling; and type II receptors are required for binding ligands and for expression of type I receptors. Type I and II receptors form a stable complex after ligand binding, resulting in phosphorylation of type I receptors by type II receptors. Type II receptors are considered to be constitutively active kinases. This gene encodes activin A type IIB receptor, which displays a 3- to 4-fold higher affinity for the ligand than activin A type II receptor. [provided by RefSeq]

Limitations

This product is for research use only and is not approved for use in humans or in clinical diagnosis. Primary Antibodies are guaranteed for 1 year from date of receipt.

Customers Who Viewed This Item Also Viewed...

788-G8/CF
Species: Hu, Mu, Rt
Applications: BA
AF340
Species: Hu
Applications: Block, IHC, WB
NBP3-16106
Species: Hu, Mu, Rt
Applications: ICC/IF, IHC,  IHC-P, WB
DFN00
Species: Hu
Applications: ELISA
338-AC
Species: Hu, Mu, Rt
Applications: BA
AF637
Species: Hu
Applications: CyTOF-ready, Flow, IHC, WB
354-BP
Species: Hu
Applications: BA
314-BP
Species: Hu
Applications: BA, BA
355-BM
Species: Hu, Mu, Rt
Applications: BA
AF3797
Species: Hu, Mu
Applications: ChIP, ICC, IHC, Simple Western, WB
AF811
Species: Hu
Applications: CyTOF-ready, Flow, IHC
507-BP
Species: Hu
Applications: BA
AF346
Species: Hu
Applications: IHC, WB
MAB505
Species: Hu, Mu
Applications: WB
AF-242-PB
Species: Hu
Applications: CyTOF-ready, Flow, IHC, WB
NBP2-29463
Species: Pm, Hu, Pm, Mu
Applications: Flow, ICC/IF, IHC,  IHC-P, WB
3218-ND
Species: Hu
Applications: BA
NBP2-68638
Species: Hu, Mu, Rt
Applications: WB, IHC, Mycoplasma

Publications for Activin RIIB Antibody (NBP2-68638) (0)

There are no publications for Activin RIIB Antibody (NBP2-68638).
By submitting your publication information earn gift cards and discounts for future purchases.

Reviews for Activin RIIB Antibody (NBP2-68638) (0)

There are no reviews for Activin RIIB Antibody (NBP2-68638). By submitting a review you will receive an Amazon e-Gift Card or Novus Product Discount.
  • Review with no image -- $10/€7/£6/$10 CAD/¥70 Yuan/¥1110 Yen
  • Review with an image -- $25/€18/£15/$25 CAD/¥150 Yuan/¥2500 Yen

Product General Protocols

Find general support by application which include: protocols, troubleshooting, illustrated assays, videos and webinars.

Video Protocols

WB Video Protocol

FAQs for Activin RIIB Antibody (NBP2-68638) (0)

There are no specific FAQs related to this product. Read our general customer & technical service FAQs.

Secondary Antibodies

 

Isotype Controls

Additional Activin RIIB Products

Research Areas for Activin RIIB Antibody (NBP2-68638)

Find related products by research area.

Blogs on Activin RIIB

There are no specific blogs for Activin RIIB, but you can read our latest blog posts.

Contact Information

Product PDFs

Calculators

Concentration Calculator

The concentration calculator allows you to quickly calculate the volume, mass or concentration of your vial. Simply enter your mass, volume, or concentration values for your reagent and the calculator will determine the rest.

=
÷

Review this Product

Be the first to review our Activin RIIB Antibody and receive a gift card or discount.

Bioinformatics

Gene Symbol ACVR2B