ACTH Antibody (CLIP/1407)

Images

 
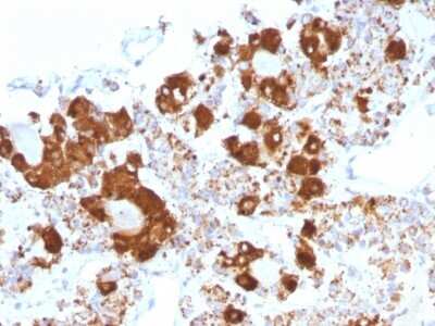
Immunohistochemistry-Paraffin: ACTH Antibody (CLIP/1407) [NBP2-53155] - Formalin-fixed, paraffin-embedded Human Pituitary stained with ACTH Monoclonal Antibody (CLIP/1407).

Product Details

Summary
Product Discontinued
View other related ACTH Primary Antibodies

Order Details


    • Catalog Number
      NBP2-53155
    • Availability
      Product Discontinued

    Can't find what you are looking for? Use our Antibody Concierge Service & we will help you locate your antibody!

    Or feel free to contact us for alternative products.

ACTH Antibody (CLIP/1407) Summary

Immunogen
Synthetic peptide corresponding to aa25-39 of human ACTH (NGAEDESAEAFPLEF)
Localization
Cytoplasmic
Marker
Pituitary Marker
Specificity
This antibody is specific to CLIP (aa25-39 of ACTH); does not react with Synacthen (aa1-24 of ACTH). It is a useful marker in classification of pituitary tumors and the study of pituitary disease. It reacts with ACTH-producing cells (corticotrophs).It also may react with other tumors (e.g. some small cell carcinomas of the lung) causing paraneoplastic syndromes by secreting ACTH.
Isotype
IgG1
Clonality
Monoclonal
Host
Mouse
Gene
POMC
Purity
Protein A or G purified
Innovator's Reward
Test in a species/application not listed above to receive a full credit towards a future purchase.

Applications/Dilutions

Dilutions
  • Immunohistochemistry
  • Immunohistochemistry-Paraffin 0.5 - 1.0 ug/ml
Application Notes
Immunohistochemistry (Formalin-fixed): 1-2ug/ml for 30 minutes at RT. Staining of formalin-fixed tissues requires heating tissue sections in 10mM Tris with 1mM EDTA, pH 9.0, for 45 min at 95C followed by cooling at RT for 20 minutes.
Optimal dilution for a specific application should be determined.

Packaging, Storage & Formulations

Storage
Store at 4C.
Buffer
10 mM PBS with 0.05% BSA
Preservative
0.05% Sodium Azide
Concentration
0.2 mg/ml
Purity
Protein A or G purified

Alternate Names for ACTH Antibody (CLIP/1407)

  • ACTH
  • adrenocorticotropic hormone
  • Adrenocorticotropin
  • alpha-melanocyte-stimulating hormone
  • alpha-MSH
  • beta-endorphin
  • beta-LPH
  • beta-melanocyte-stimulating hormone
  • beta-MSH
  • CLIP
  • Corticotropin
  • corticotropin-like intermediary peptide
  • corticotropin-lipotropin
  • gamma-LPH
  • gamma-MSH
  • lipotropin beta
  • lipotropin gamma
  • LPH
  • melanotropin alpha
  • melanotropin beta
  • melanotropin gamma
  • met-enkephalin
  • MSH
  • NPP
  • POC
  • pro-ACTH-endorphin
  • proopiomelanocortin preproprotein
  • proopiomelanocortin
  • pro-opiomelanocortin

Background

ACTH occurs in cells of the anterior pituitary and in neurons in brain. It regulates the corticosteroid production in the adrenal cortex. Beta endorphin and Met enkephalin are endogenous opiates. MSH (melanocyte stimulating hormone) increases the pigmentation of skin by increasing melanin production in melanocytes.

Limitations

This product is for research use only and is not approved for use in humans or in clinical diagnosis. Primary Antibodies are guaranteed for 1 year from date of receipt.

Customers Who Viewed This Item Also Viewed...

H00001392-M02
Species: Hu
Applications: ELISA, IHC,  IHC-P, S-ELISA, WB
AF1445
Species: Mu, Rt
Applications: ELISA(Cap), ELISA(Det), ELISA(Sta), IHC, Neut, Simple Western, WB
AF009
Species: Hu
Applications: IHC, WB
MAB1417
Species: Bv, Hu, Mu
Applications: ICC, IHC
7570-GH
Species: Hu
Applications: EnzAct
NBP1-46535
Species: Hu, Mu, Rb, Rt, Xp
Applications: ICC/IF, IHC-FrFl, IHC, IHC-Fr,  IHC-P, WB
9134-TN
Species: Hu
Applications: BA
AF1067
Species: Hu, Mu, Rt
Applications: ELISA, IHC, Neut, WB
AF1067
Species: Hu, Mu, Rt
Applications: ELISA, IHC, Neut, WB
NBP1-90927
Species: Hu
Applications: IHC,  IHC-P, WB
NBP2-38770
Species: Hu
Applications: WB
NBP1-30027
Species: Hu, Mu, Rt
Applications: ICC/IF, IHC,  IHC-P, WB
H00005087-M01
Species: Hu, Pm, Mu
Applications: ChIP, ELISA, ICC/IF, IHC,  IHC-P, IP, S-ELISA, WB
NBP2-34014
Species: Hu
Applications: IHC,  IHC-P
AF4277
Species: Mu
Applications: ELISA(Cap), ELISA(Det), ELISA(Sta), IHC, IP, WB
DLP00
Species: Hu
Applications: ELISA
NBP2-37447
Species: Hu
Applications: CyTOF-ready, ELISA, Flow, ICC/IF, IHC,  IHC-P
AF245
Species: Hu
Applications: CyTOF-ready, Flow, WB
NBP2-53155
Species: Hu
Applications: IHC

Publications for ACTH Antibody (NBP2-53155) (0)

There are no publications for ACTH Antibody (NBP2-53155).
By submitting your publication information earn gift cards and discounts for future purchases.

Reviews for ACTH Antibody (NBP2-53155) (0)

There are no reviews for ACTH Antibody (NBP2-53155). By submitting a review you will receive an Amazon e-Gift Card or Novus Product Discount.
  • Review with no image -- $10/€7/£6/$10 CAD/¥70 Yuan/¥1110 Yen
  • Review with an image -- $25/€18/£15/$25 CAD/¥150 Yuan/¥2500 Yen

Product General Protocols

Find general support by application which include: protocols, troubleshooting, illustrated assays, videos and webinars.

FAQs for ACTH Antibody (NBP2-53155) (0)

There are no specific FAQs related to this product. Read our general customer & technical service FAQs.

Secondary Antibodies

 

Isotype Controls

Additional ACTH Products

Array NBP2-53155

Research Areas for ACTH Antibody (NBP2-53155)

Find related products by research area.

Blogs on ACTH

There are no specific blogs for ACTH, but you can read our latest blog posts.

Contact Information

Product PDFs

Calculators

Concentration Calculator

The concentration calculator allows you to quickly calculate the volume, mass or concentration of your vial. Simply enter your mass, volume, or concentration values for your reagent and the calculator will determine the rest.

=
÷

Review this Product

Be the first to review our ACTH Antibody (CLIP/1407) and receive a gift card or discount.

Bioinformatics

Gene Symbol POMC