ACAA1 Antibody (CL2662) - Azide and BSA Free

Images

 
Staining of CACO-2 cells using the Anti-ACAA1 monoclonal antibody) .
Staining of human kidney shows granular cytoplasmic immunoreactivity in renal tubules.
Staining of human endometrium shows granular cytoplasmic immunoreactivity in glandular cells.
Staining of human skeletal muscle shows granular cytoplasmic positivity.
Staining of human liver shows strong granular cytoplasmic positivity in hepatocytes.
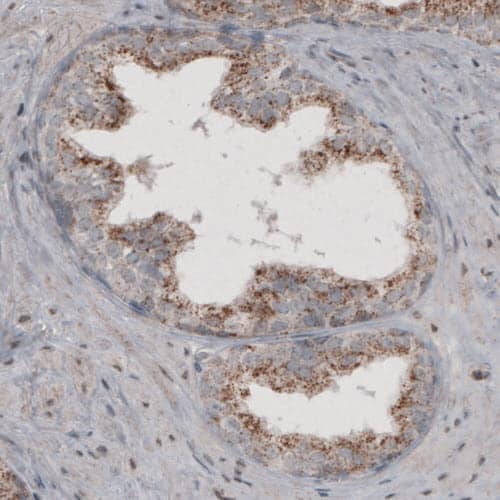
Staining of human prostate shows granular cytoplasmic immunoreactivity in glandular cells.
Genetic Strategies: Analysis in U-251MG cells transfected with control siRNA, target specific siRNA probe #1 and #2, using Anti-ACAA1 antibody. Remaining relative intensity is presented. Loading control: ...read more

Product Details

Summary
Reactivity HuSpecies Glossary
Applications WB, ICC/IF, IHC
Clone
CL2662
Clonality
Monoclonal
Host
Mouse
Conjugate
Unconjugated
Format
Azide and BSA Free
Concentration
LYOPH
Validated by:
     

Genetic Strategies

   

Order Details

ACAA1 Antibody (CL2662) - Azide and BSA Free Summary

Description
Novus Biologicals Mouse ACAA1 Antibody (CL2662) - Azide and BSA Free (NBP2-42381) is a monoclonal antibody validated for use in IHC, WB and ICC/IF. All Novus Biologicals antibodies are covered by our 100% guarantee.
Immunogen
This antibody was generated using a recombinant protein sequence of P09110, with the exact immunogen sequence remaining proprietary.
Isotype
IgG2b
Clonality
Monoclonal
Host
Mouse
Gene
ACAA1
Purity
Protein A purified
Innovator's Reward
Test in a species/application not listed above to receive a full credit towards a future purchase.

Applications/Dilutions

Dilutions
  • Immunocytochemistry/ Immunofluorescence 2-10 ug/ml
  • Immunohistochemistry-Paraffin 1:500 - 1:1000
  • Western Blot 1 ug/ml
Application Notes
For IHC-Paraffin, HIER pH 6 retrieval is recommended. For Immunocytochemistry/ Immunofluorescence/IF, PFA/Triton X-100 is recommended for fixation/permeabilization.

Packaging, Storage & Formulations

Storage
Store at 4C short term. Aliquot and store at -20C long term. Avoid freeze-thaw cycles.
Buffer
Lyophilized from a 0.2 um filtered solution in PBS with Trehalose
Preservative
No Preservative
Concentration
LYOPH
Purity
Protein A purified
Reconstitution Instructions
Centrifuge the vial of lyophilized antibody at 12,000 x g for 20 seconds. Reconstitute by adding sterile, distilled water to achieve a final antibody concentration of 1mg/ml.

Alternate Names for ACAA1 Antibody (CL2662) - Azide and BSA Free

  • acetyl-CoA acyltransferase 1
  • Acetyl-CoA acyltransferase
  • EC 2.3.1
  • peroxisomal

Background

Acetyl-Coenzyme A acyltransferase (ACAA1) is an enzyme operative in the beta-oxidation system of the peroxisomes. Deficiency of this enzyme leads to pseudo-Zellweger syndrome

Limitations

This product is for research use only and is not approved for use in humans or in clinical diagnosis. Primary Antibodies are guaranteed for 1 year from date of receipt.

Customers Who Viewed This Item Also Viewed...

H00003930-B01P
Species: Hu, Mu
Applications: ICC/IF, IHC,  IHC-P, WB
NBP1-89284
Species: Hu, Po
Applications: ICC/IF, IHC,  IHC-P, KD, WB
AF3398
Species: Hu, Mu, Rt
Applications: ICC, KO, Simple Western, WB
NBP1-31336
Species: Hu, Mu, Rt
Applications: ICC/IF, IHC,  IHC-P, KD, WB
NBP2-43648
Species: Hu, Mu, Rt, Ze
Applications: ICC/IF, IHC,  IHC-P, WB
NBP1-81838
Species: Hu, Mu
Applications: IHC,  IHC-P, WB
AF1936
Species: Hu
Applications: IP, WB
NBP2-33908
Species: Hu
Applications: ICC/IF, IHC,  IHC-P, WB
NBP2-36776
Species: Hu
Applications: ICC/IF, IHC,  IHC-P, KD, WB
NBP2-92630
Species: Hu, Mu, Rt
Applications: ELISA, ICC/IF, IHC,  IHC-P, WB
NBP2-45731
Species: Ca, Hu, Pm
Applications: IHC,  IHC-P, WB
NBP3-46202
Species: Hu, Mu, Rt
Applications: ELISA, ICC/IF, IP, WB
NBP2-02118
Species: Hu, Mu, Rt
Applications: Flow, ICC/IF, IHC,  IHC-P, WB
MAB2806
Species: Hu
Applications: CyTOF-ready, Flow, WB
NBP1-85958
Species: Hu, Mu, Rt
Applications: ICC/IF, IHC,  IHC-P, WB
NBP1-84915
Species: Hu
Applications: IHC,  IHC-P, WB
NBP2-48693
Species: Hu
Applications: ICC/IF, IHC,  IHC-P
NBP3-44445
Species: Hu
Applications: WB, ICC/IF, IHC

Publications for ACAA1 Antibody (NBP3-44445) (0)

There are no publications for ACAA1 Antibody (NBP3-44445).
By submitting your publication information earn gift cards and discounts for future purchases.

Reviews for ACAA1 Antibody (NBP3-44445) (0)

There are no reviews for ACAA1 Antibody (NBP3-44445). By submitting a review you will receive an Amazon e-Gift Card or Novus Product Discount.
  • Review with no image -- $10/€7/£6/$10 CAD/¥70 Yuan/¥1110 Yen
  • Review with an image -- $25/€18/£15/$25 CAD/¥150 Yuan/¥2500 Yen

Product General Protocols

Find general support by application which include: protocols, troubleshooting, illustrated assays, videos and webinars.

Video Protocols

WB Video Protocol
ICC/IF Video Protocol

FAQs for ACAA1 Antibody (NBP3-44445) (0)

There are no specific FAQs related to this product. Read our general customer & technical service FAQs.

Secondary Antibodies

 

Isotype Controls

Additional ACAA1 Products

Research Areas for ACAA1 Antibody (NBP3-44445)

Find related products by research area.

Blogs on ACAA1

There are no specific blogs for ACAA1, but you can read our latest blog posts.

Customers Who Bought This Also Bought

Contact Information

Product PDFs

Calculators

Concentration Calculator

The concentration calculator allows you to quickly calculate the volume, mass or concentration of your vial. Simply enter your mass, volume, or concentration values for your reagent and the calculator will determine the rest.

=
÷

Review this Product

Be the first to review our ACAA1 Antibody (CL2662) - Azide and BSA Free and receive a gift card or discount.

Bioinformatics

Gene Symbol ACAA1