53BP2 Antibody (JF09-98)

Images

 
Western Blot: 53BP2 Antibody (JF09-98) [NBP2-67094] - Analysis of 53BP2 on different lysates. Proteins were transferred to a PVDF membrane and blocked with 5% BSA in PBS for 1 hour at room temperature. The primary ...read more
Immunocytochemistry/ Immunofluorescence: 53BP2 Antibody (JF09-98) [NBP2-67094] - Staining ASPP2 in Hela cells (red). The nuclear counter stain is DAPI (blue). Cells were fixed in paraformaldehyde, permeabilised with ...read more
Immunohistochemistry-Paraffin: 53BP2 Antibody (JF09-98) [NBP2-67094] - Analysis of paraffin-embedded mouse testis tissue using anti-53BP2 antibody. The section was pre-treated using heat mediated antigen retrieval with ...read more
Western Blot: 53BP2 Antibody (JF09-98) [NBP2-67094] - Analysis of ASPP2 on different lysates using anti-ASPP2 antibody at 1/1,000 dilution. Positive control: Lane 1: Hela Lane 2: MCF-7
Immunocytochemistry/ Immunofluorescence: 53BP2 Antibody (JF09-98) [NBP2-67094] - Staining ASPP2 in 293T cells (red). The nuclear counter stain is DAPI (blue). Cells were fixed in paraformaldehyde, permeabilised with ...read more
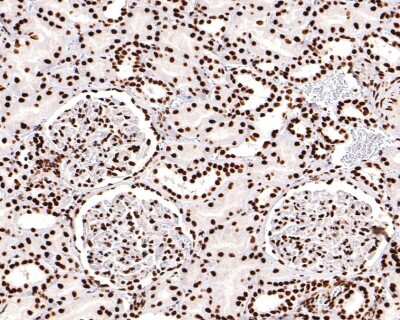
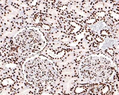
Immunohistochemistry-Paraffin: 53BP2 Antibody (JF09-98) [NBP2-67094] - Analysis of paraffin-embedded human kidney tissue using anti-ASPP2 antibody. Counter stained with hematoxylin.
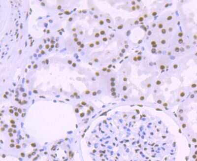
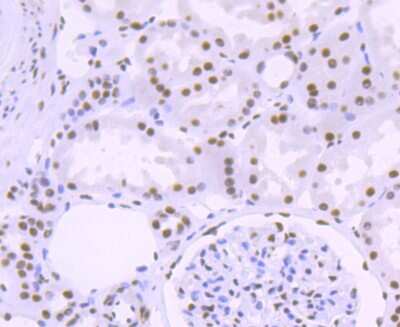
Immunohistochemistry-Paraffin: 53BP2 Antibody (JF09-98) [NBP2-67094] - Analysis of paraffin-embedded human kidney tissue using anti-53BP2 antibody. The section was pre-treated using heat mediated antigen retrieval with ...read more
Immunohistochemistry-Paraffin: 53BP2 Antibody (JF09-98) [NBP2-67094] - Analysis of paraffin-embedded human prostate tissue using anti-53BP2 antibody. The section was pre-treated using heat mediated antigen retrieval ...read more

Product Details

Summary
Product Discontinued
View other related 53BP2 Primary Antibodies

Order Details


    • Catalog Number
      NBP2-67094
    • Availability
      Product Discontinued

    Can't find what you are looking for? Use our Antibody Concierge Service & we will help you locate your antibody!

    Or feel free to contact us for alternative products.

53BP2 Antibody (JF09-98) Summary

Additional Information
Recombinant Monoclonal Antibody.
Immunogen
Synthetic peptide within N-terminal human 53BP2. (SwissProt: Q13625 Human; SwissProt: Q8CG79 Mouse)
Localization
Nucleus, perinuclear region.
Isotype
IgG
Clonality
Monoclonal
Host
Rabbit
Gene
TP53BP2
Purity
Protein A purified
Innovator's Reward
Test in a species/application not listed above to receive a full credit towards a future purchase.

Applications/Dilutions

Dilutions
  • Immunocytochemistry/ Immunofluorescence 1:50-1:200
  • Immunohistochemistry
  • Immunohistochemistry-Paraffin 1:100-1:500
  • Western Blot 1:500-1:2000

Packaging, Storage & Formulations

Storage
Store at 4C short term. Aliquot and store at -20C long term. Avoid freeze-thaw cycles.
Buffer
TBS (pH7.4), 0.05% BSA, 40% Glycerol
Preservative
0.05% Sodium Azide
Concentration
1 mg/ml
Purity
Protein A purified

Alternate Names for 53BP2 Antibody (JF09-98)

  • apoptosis-stimulating protein of p53, 2
  • ASPP2P53BP2,53BP2apoptosis-stimulating of p53 protein 2
  • Bbp
  • Bcl2-binding protein
  • p53-binding protein 2
  • p53BP2
  • PPP1R13A
  • Renal carcinoma antigen NY-REN-51
  • tumor protein p53 binding protein, 2
  • tumor protein p53-binding protein, 2
  • Tumor suppressor p53-binding protein 2

Background

53BP2 encodes a member of the ASPP (apoptosis-stimulating protein of p53) family of p53 interacting proteins. The protein contains four ankyrin repeats and an SH3 domain involved in protein-protein interactions. It is localized to the perinuclear region of the cytoplasm, and regulates apoptosis and cell growth through interactions with other regulatory molecules including members of the p53 family. Multiple transcript variants encoding different isoforms have been found for this gene.

Limitations

This product is for research use only and is not approved for use in humans or in clinical diagnosis. Primary Antibodies are guaranteed for 1 year from date of receipt.

Customers Who Viewed This Item Also Viewed...

NB200-103
Species: Hu, Mu, Rt, Xp(-), Ye
Applications: CyTOF-ready, ELISA, Flow-IC, Flow, ICC/IF, IHC, IHC-Fr,  IHC-P, IP, WB
NBP1-88027
Species: Eq, Hu, Mu, Rt
Applications: IHC,  IHC-P, Simple Western, WB
NBP2-46005
Species: Hu, Mu, Rt
Applications: ICC/IF, IHC,  IHC-P, IP, PLA, WB
NBP2-83997
Species: Hu
Applications: IHC,  IHC-P, WB
NBP1-90078
Species: Hu, Mu, Rt
Applications: ICC/IF, IHC,  IHC-P, WB
NB100-56098
Species: Ca, Hu, Mu, Rt
Applications: IHC,  IHC-P, IP, WB
NB100-56583
Species: Hu, Rb, Rt
Applications: Flow, IHC,  IHC-P, KO, Simple Western, WB
H00007536-M01
Species: Hu, Mu
Applications: ELISA, ICC/IF, IHC,  IHC-P, IP, WB
NB100-2176
Species: Hu, Mu, Rt
Applications: ChIP, ICC/IF, IHC,  IHC-P, IP, WB
NBP2-48732
Species: Hu
Applications: ICC/IF, IHC,  IHC-P, KD, WB
NBP2-13954
Species: Hu, Mu, Rt
Applications: ICC/IF, IHC,  IHC-P, WB
AF820
Species: Hu, Mu
Applications: ICC, IHC, KO, Simple Western, WB
H00051426-M01
Species: Hu
Applications: ELISA, ICC/IF, IHC,  IHC-P, KD, WB
AF2849
Species: Mu, Rt
Applications: WB
NBP2-02665
Species: Ca, Hu, Pm, Po, Pm, Rt
Applications: Flow, ICC/IF, IHC,  IHC-P, WB
MAB4364
Species: Rt
Applications: ICC, IHC, IP, KO, WB
NBP2-29463
Species: Pm, Hu, Pm, Mu
Applications: Flow, ICC/IF, IHC,  IHC-P, WB
NB300-560
Species: Av, Bv, Ma, Hu, Mu, Pm, Rt
Applications: IF, IHC, IHC-Fr,  IHC-P, WB
NBP2-88921
Species: Hu
Applications: ICC/IF, IHC,  IHC-P, WB
NBP1-89946
Species: Hu
Applications: ICC/IF, IHC,  IHC-P

Publications for 53BP2 Antibody (NBP2-67094) (0)

There are no publications for 53BP2 Antibody (NBP2-67094).
By submitting your publication information earn gift cards and discounts for future purchases.

Reviews for 53BP2 Antibody (NBP2-67094) (0)

There are no reviews for 53BP2 Antibody (NBP2-67094). By submitting a review you will receive an Amazon e-Gift Card or Novus Product Discount.
  • Review with no image -- $10/€7/£6/$10 CAD/¥70 Yuan/¥1110 Yen
  • Review with an image -- $25/€18/£15/$25 CAD/¥150 Yuan/¥2500 Yen

Product General Protocols

Find general support by application which include: protocols, troubleshooting, illustrated assays, videos and webinars.

Video Protocols

WB Video Protocol
ICC/IF Video Protocol

FAQs for 53BP2 Antibody (NBP2-67094) (0)

There are no specific FAQs related to this product. Read our general customer & technical service FAQs.

Secondary Antibodies

 

Isotype Controls

Additional 53BP2 Products

Research Areas for 53BP2 Antibody (NBP2-67094)

Find related products by research area.

Blogs on 53BP2

There are no specific blogs for 53BP2, but you can read our latest blog posts.

Contact Information

Product PDFs

Calculators

Concentration Calculator

The concentration calculator allows you to quickly calculate the volume, mass or concentration of your vial. Simply enter your mass, volume, or concentration values for your reagent and the calculator will determine the rest.

=
÷

Review this Product

Be the first to review our 53BP2 Antibody (JF09-98) and receive a gift card or discount.

Bioinformatics

Gene Symbol TP53BP2