5-HT5A Antibody

Images

 
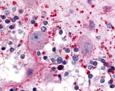
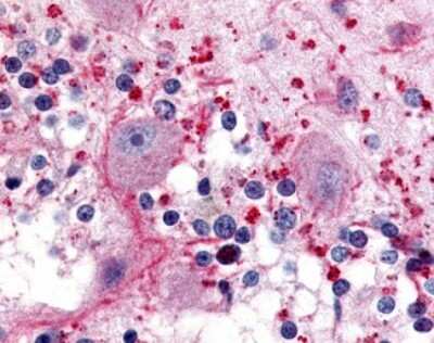
Immunohistochemistry-Paraffin: 5-HT5A Antibody [NB100-59010] - Analysis of anti-5HT5A Receptor antibody with human brain, cerebellum.

Product Details

Summary
Product Discontinued
View other related 5-HT5A Primary Antibodies

Order Details


    • Catalog Number
      NB100-59010
    • Availability
      Product Discontinued

    Can't find what you are looking for? Use our Antibody Concierge Service & we will help you locate your antibody!

    Or feel free to contact us for alternative products.

5-HT5A Antibody Summary

Immunogen
Synthetic 14 amino acid peptide from 3rd cytoplasmic domain of human 5-HT5A.
Epitope
3rd cytoplasmic domain of human
Specificity
Human 5HT5A Receptor. BLAST analysis of the peptide immunogen showed no homology with other human proteins.
Predicted Species
Monkey (93%). Backed by our 100% Guarantee.
Isotype
IgG
Clonality
Polyclonal
Host
Rabbit
Gene
HTR5A
Purity
Immunogen affinity purified
Innovator's Reward
Test in a species/application not listed above to receive a full credit towards a future purchase.

Applications/Dilutions

Dilutions
  • ELISA 1:100 - 1:2000
  • Immunohistochemistry
  • Immunohistochemistry-Paraffin 10 ug/ml

Reactivity Notes

Predicted cross-reactivity based on sequence identity: Gorilla (100%), Gibbon (100%).

Packaging, Storage & Formulations

Storage
Store at 4C short term. Aliquot and store at -20C long term. Avoid freeze-thaw cycles.
Buffer
PBS
Preservative
0.1% Sodium Azide
Concentration
1.0 mg/ml
Purity
Immunogen affinity purified

Alternate Names for 5-HT5A Antibody

  • 5HT5A
  • 5-HT5A
  • 5-HT-5A
  • 5-HT5A5-hydroxytryptamine receptor 5A
  • 5-hydroxytryptamine (serotonin) receptor 5A
  • HTR5A
  • MGC138226,5-HT-5
  • Serotonin receptor 5A

Background

The neurotransmitter serotonin (5-hydroxytryptamine, 5-HT) has been implicated in a wide range of psychiatric conditions and also has vasoconstrictive and vasodilatory effects. The gene described in this record is a member of 5-hydroxytryptamine (serotonin) receptor family and encodes a multi-pass membrane protein that functions as a receptor for 5-hydroxytryptamine and couples to G-proteins. This protein has been shown to function in part through the regulation of intracellular Ca2+ mobilization.

Limitations

This product is for research use only and is not approved for use in humans or in clinical diagnosis. Primary Antibodies are guaranteed for 1 year from date of receipt.

Customers Who Viewed This Item Also Viewed...

NBP2-26091
Species: Hu
Applications: Flow, ICC/IF, IHC,  IHC-P, PEP-ELISA
NB100-56352
Species: Ca, Hu, Mu, Rt
Applications: Flow, ICC/IF, Simple Western, WB
NBP2-21590
Species: Hu, Mu
Applications: ICC/IF, IHC-Fr, Simple Western, WB
NBP1-46557
Species: Mu, Rt
Applications: IHC, WB
MAB5764
Species: Hu
Applications: CyTOF-ready, Flow, IHC
NB100-56350
Species: Hu, Mu, Rt
Applications: WB
NBP1-78403
Species: Hu
Applications: ICC/IF, WB
H00006532-D01P
Species: Hu, Mu
Applications: WB
NBP1-90319
Species: Hu
Applications: IHC,  IHC-P
NBP1-55429
Species: Hu, Mu
Applications: ICC/IF, WB
NLS590
Species: Hu, Pm
Applications: IHC,  IHC-P
NB100-1533
Species: Hu, Mu, Po, Rt, Sh
Applications: Flow, ICC/IF, IHC,  IHC-P, PEP-ELISA, WB
NBP1-90320
Species: Hu
Applications: IHC,  IHC-P, WB
NBP1-86922
Species: Hu
Applications: IHC,  IHC-P, WB
NB100-56351
Species: Hu, Mu, Rt
Applications: IHC,  IHC-P, Simple Western, WB
NBP2-38868
Species: Hu
Applications: ICC/IF, IHC,  IHC-P, WB
AF7947
Species: Hu, Mu, Rt
Applications: ELISA, IHC, Simple Western, WB

Publications for 5-HT5A Antibody (NB100-59010) (0)

There are no publications for 5-HT5A Antibody (NB100-59010).
By submitting your publication information earn gift cards and discounts for future purchases.

Reviews for 5-HT5A Antibody (NB100-59010) (0)

There are no reviews for 5-HT5A Antibody (NB100-59010). By submitting a review you will receive an Amazon e-Gift Card or Novus Product Discount.
  • Review with no image -- $10/€7/£6/$10 CAD/¥70 Yuan/¥1110 Yen
  • Review with an image -- $25/€18/£15/$25 CAD/¥150 Yuan/¥2500 Yen

Product General Protocols

Find general support by application which include: protocols, troubleshooting, illustrated assays, videos and webinars.

FAQs for 5-HT5A Antibody (NB100-59010) (0)

There are no specific FAQs related to this product. Read our general customer & technical service FAQs.

Secondary Antibodies

 

Isotype Controls

Additional 5-HT5A Products

Array NB100-59010

Research Areas for 5-HT5A Antibody (NB100-59010)

Find related products by research area.

Blogs on 5-HT5A

There are no specific blogs for 5-HT5A, but you can read our latest blog posts.

Contact Information

Product PDFs

Calculators

Concentration Calculator

The concentration calculator allows you to quickly calculate the volume, mass or concentration of your vial. Simply enter your mass, volume, or concentration values for your reagent and the calculator will determine the rest.

=
÷

Review this Product

Be the first to review our 5-HT5A Antibody and receive a gift card or discount.

Bioinformatics

Gene Symbol HTR5A
Entrez