ZNF703 Antibody (CL0654) - Azide and BSA Free

Images

 
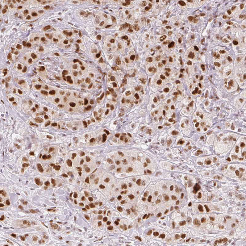
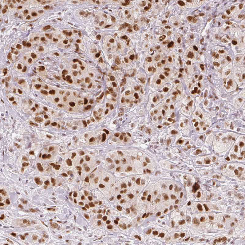
Staining of human breast cancer shows moderate to strong nuclear positivity in tumor cells.
Lane 1: Marker [kDa]Lane 2: Negative control (vector only transfected HEK293T lysate)Lane 3: ZNF703 Over-expression Lysate (Co-expressed with a C-terminal myc-DDK tag (~3.1 kDa) in mammalian HEK293T cells)
Orthogonal Strategies: Analysis in human fallopian tube and liver tissues using NBP3-44019 antibody. Corresponding ZNF703 RNA-seq data are presented for the same tissues.
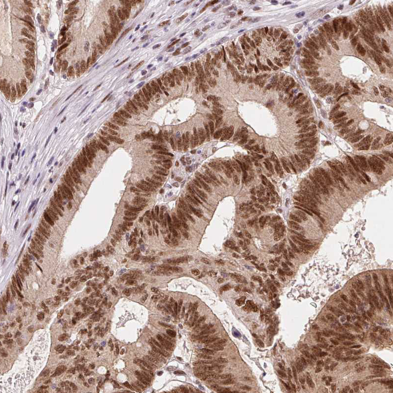
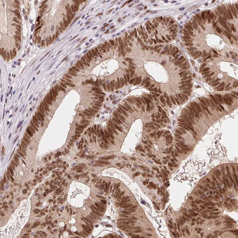
Staining of human colorectal cancer shows strong nuclear positivity in tumor cells.
Staining of human liver shows no nuclear positivity in hepatocytes as expected.
Staining of human fallopian tube shows strong nuclear positivity in glandular cells.
Genetic Strategies: Analysis in HEK293 cells transfected with control siRNA, target specific siRNA probe #1, using Anti-ZNF703 antibody. Remaining relative intensity is presented. Loading control: Anti-PPIB.
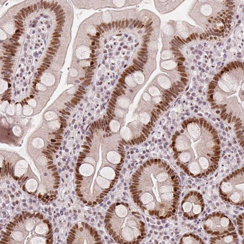
Staining of human small intestine shows moderate to strong nuclear positivity in glandular cells.

Product Details

Summary
Reactivity HuSpecies Glossary
Applications WB, IHC
Clone
CL0654
Clonality
Monoclonal
Host
Mouse
Conjugate
Unconjugated
Format
Azide and BSA Free
Concentration
LYOPH

Order Details

ZNF703 Antibody (CL0654) - Azide and BSA Free Summary

Description
Novus Biologicals Mouse ZNF703 Antibody (CL0654) - Azide and BSA Free (NBP2-52940) is a monoclonal antibody validated for use in IHC and WB. All Novus Biologicals antibodies are covered by our 100% guarantee.
Immunogen
This antibody was generated using a recombinant protein sequence of Q9H7S9, with the exact immunogen sequence remaining proprietary.
Isotype
IgG1
Clonality
Monoclonal
Host
Mouse
Gene
ZNF703
Purity
Protein A purified
Innovator's Reward
Test in a species/application not listed above to receive a full credit towards a future purchase.

Applications/Dilutions

Dilutions
  • Immunohistochemistry-Paraffin 1:50 - 1:200
  • Western Blot 1 ug/ml
Application Notes
For IHC-Paraffin, HIER pH 6 retrieval is recommended.

Packaging, Storage & Formulations

Storage
Store at 4C short term. Aliquot and store at -20C long term. Avoid freeze-thaw cycles.
Buffer
Lyophilized from a 0.2 um filtered solution in PBS with Trehalose
Preservative
No Preservative
Concentration
LYOPH
Purity
Protein A purified
Reconstitution Instructions
Centrifuge the vial of lyophilized antibody at 12,000 x g for 20 seconds. Reconstitute by adding sterile, distilled water to achieve a final antibody concentration of 1mg/ml.

Alternate Names for ZNF703 Antibody (CL0654) - Azide and BSA Free

  • FLJ14299
  • ZEPPO1
  • Zinc finger elbow-related proline domain protein 1
  • zinc finger protein 703
  • ZNF503L
  • ZPO1

Background

ZNF703 interacts selectively with zinc (Zn) ions. May function as a transcriptional repressor.

Limitations

This product is for research use only and is not approved for use in humans or in clinical diagnosis. Primary Antibodies are guaranteed for 1 year from date of receipt.

Customers Who Viewed This Item Also Viewed...

AF748
Species: Hu, Mu
Applications: CyTOF-ready, Dual ISH-IHC, Flow, ICC, IHC, Simple Western, WB
NBP2-32840
Species: Hu, Pm, Mu, Rt
Applications: Flow, ICC/IF, IHC,  IHC-P, WB
NBP1-88247
Species: Hu, Mu, Rt
Applications: ICC/IF, IHC,  IHC-P, WB
NBP2-45646
Species: Ca, Hu, Mu, Rt
Applications: IHC,  IHC-P, WB
NBP2-83654
Species: Hu
Applications: IHC,  IHC-P, WB
NBP2-15617
Species: Hu
Applications: ICC/IF, IHC,  IHC-P, WB
NBP2-45600
Species: Ca, Hu, Pm, Mu, Rt
Applications: ICC/IF, IHC,  IHC-P, WB
NB600-1287
Species: Ca, Hu, Mu, Rb, Rt
Applications: CyTOF-ready, Flow, ICC/IF, IHC,  IHC-P, IP, WB
NB600-302
Species: Bv, Dr, Hu, Mu
Applications: ChIP, ELISA, Flow-IC, Flow, IB, ICC/IF, IHC, IHC-Fr,  IHC-P, IP, PLA, S-ELISA, Simple Western, WB
AF756
Species: Mu
Applications: IHC, WB
MAB2476
Species: Hu
Applications: IHC, WB
NB100-404
Species: Hu
Applications: ChIP, ICC/IF, IHC,  IHC-P, IP, KD, KO, WB
MAB812
Species: Hu
Applications: CyTOF-ready, Flow
NB120-5802
Species: Hu, Mu
Applications: ChIP, ICC/IF, IHC,  IHC-P, IP, Simple Western, WB
NB300-560
Species: Av, Bv, Ma, Hu, Mu, Pm, Rt
Applications: IF, IHC, IHC-Fr,  IHC-P, WB
NBP2-45396
Species: Hu
Applications: Flow, IHC,  IHC-P, WB
NBP1-83373
Species: Hu
Applications: ICC/IF, IHC,  IHC-P
NBP2-67899
Species: Hu, Mu, Rt
Applications: Flow, ICC/IF, IHC,  IHC-P, IP, WB

Publications for ZNF703 Antibody (NBP3-44019) (0)

There are no publications for ZNF703 Antibody (NBP3-44019).
By submitting your publication information earn gift cards and discounts for future purchases.

Reviews for ZNF703 Antibody (NBP3-44019) (0)

There are no reviews for ZNF703 Antibody (NBP3-44019). By submitting a review you will receive an Amazon e-Gift Card or Novus Product Discount.
  • Review with no image -- $10/€7/£6/$10 CAD/¥70 Yuan/¥1110 Yen
  • Review with an image -- $25/€18/£15/$25 CAD/¥150 Yuan/¥2500 Yen

Product General Protocols

Find general support by application which include: protocols, troubleshooting, illustrated assays, videos and webinars.

Video Protocols

WB Video Protocol

FAQs for ZNF703 Antibody (NBP3-44019) (0)

There are no specific FAQs related to this product. Read our general customer & technical service FAQs.

Customers Who Bought This Also Bought

Contact Information

Product PDFs

Calculators

Concentration Calculator

The concentration calculator allows you to quickly calculate the volume, mass or concentration of your vial. Simply enter your mass, volume, or concentration values for your reagent and the calculator will determine the rest.

=
÷

Review this Product

Be the first to review our ZNF703 Antibody (CL0654) - Azide and BSA Free and receive a gift card or discount.

Bioinformatics

Gene Symbol ZNF703