ZNF580 Antibody - BSA Free

Images

 
Western Blot: ZNF580 Antibody [NBP1-80333] - Host: Rabbit. Target: ZNF580. Positive control (+): RPMI-8226 (N12). Negative control (-): U937 (N31). Antibody concentration: 3ug/ml
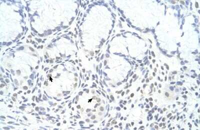
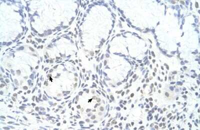
Immunohistochemistry-Paraffin: ZNF580 Antibody [NBP1-80333] - Human Stomach Tissue, Epithelial cells of funic gland (Indicated with Arrows) 4-8ug/ml.
Western Blot: ZNF580 Antibody [NBP1-80333] - Titration: 0.2-1 ug/ml, Positive Control: Jurkat cell lysate.

Product Details

Summary
Reactivity HuSpecies Glossary
Applications WB, IHC
Clonality
Polyclonal
Host
Rabbit
Conjugate
Unconjugated
Format
BSA Free
Concentration
0.5 mg/ml

Order Details

ZNF580 Antibody - BSA Free Summary

Description
The addition of 50% glycerol is optional for those storing this antibody at -20C and not aliquoting smaller units. However, please note that glycerol may interrupt some downstream antibody applications and should be added with caution.
Immunogen
Synthetic peptide directed towards the N terminal of human ZNF580. Peptide sequence KAEGPSSTPSSAAGPRPPRLGRHLLIDANGVPYTYTVQLEEEPRGPPQRE. The peptide sequence for this immunogen was taken from within the described region.
Isotype
IgG
Clonality
Polyclonal
Host
Rabbit
Gene
ZNF580
Purity
Affinity purified
Innovator's Reward
Test in a species/application not listed above to receive a full credit towards a future purchase.

Applications/Dilutions

Dilutions
  • Immunohistochemistry 1:10-1:500
  • Immunohistochemistry-Paraffin 1:10-1:500
  • Western Blot 1.0 ug/ml

Packaging, Storage & Formulations

Storage
Store at 4C short term. Aliquot and store at -20C long term. Avoid freeze-thaw cycles.
Buffer
PBS, 2% Sucrose
Preservative
0.09% Sodium Azide
Concentration
0.5 mg/ml
Purity
Affinity purified

Alternate Names for ZNF580 Antibody - BSA Free

  • LDL induced EC protein
  • LDL-induced EC protein
  • zinc finger protein 580

Background

ZNF580 may be involved in transcriptional regulation

Limitations

This product is for research use only and is not approved for use in humans or in clinical diagnosis. Primary Antibodies are guaranteed for 1 year from date of receipt.

Customers Who Viewed This Item Also Viewed...

MAB208
Species: Hu
Applications: CyTOF-ready, ELISA(Cap), ELISA(Det), ELISA(Sta), ICC, ICFlow, Neut, Simple Western, WB
DVE00
Species: Hu
Applications: ELISA
AF4377
Species: Hu, Mu
Applications: ICC, Simple Western, WB
MMP200
Species: Ca, Hu, Mu, Po, Rt
Applications: ELISA
NBP2-21020
Species: Hu
Applications: ICC/IF, IHC,  IHC-P, WB
NB100-2176
Species: Hu, Mu, Rt
Applications: ChIP, ICC/IF, IHC,  IHC-P, IP, WB
NBP2-02665
Species: Ca, Hu, Pm, Po, Pm, Rt
Applications: Flow, ICC/IF, IHC,  IHC-P, WB
MAB4364
Species: Rt
Applications: ICC, IHC, IP, KO, WB
MAB7089
Species: Mu
Applications: CyTOF-ready, Flow, IHC
NBP2-24762
Species: Hu, Mu
Applications: IHC,  IHC-P, WB
AF3797
Species: Hu, Mu
Applications: ChIP, ICC, IHC, Simple Western, WB
NBP1-79358
Species: Hu
Applications: WB
NBP1-82897
Species: Hu
Applications: ICC/IF, IHC,  IHC-P, WB
AF2849
Species: Mu, Rt
Applications: WB
NBP2-24712
Species: Ca, Hu, Mu, Pm, Rt, Xp
Applications: IHC,  IHC-P, WB
NBP3-05161
Species: Hu, Mu
Applications: ELISA, ICC/IF, IHC,  IHC-P, WB
NBP2-30747
Species: Hu
Applications: ChIP-EXO-SEQ, ICC/IF, IHC,  IHC-P

Publications for ZNF580 Antibody (NBP1-80333) (0)

There are no publications for ZNF580 Antibody (NBP1-80333).
By submitting your publication information earn gift cards and discounts for future purchases.

Reviews for ZNF580 Antibody (NBP1-80333) (0)

There are no reviews for ZNF580 Antibody (NBP1-80333). By submitting a review you will receive an Amazon e-Gift Card or Novus Product Discount.
  • Review with no image -- $10/€7/£6/$10 CAD/¥70 Yuan/¥1110 Yen
  • Review with an image -- $25/€18/£15/$25 CAD/¥150 Yuan/¥2500 Yen

Product General Protocols

Find general support by application which include: protocols, troubleshooting, illustrated assays, videos and webinars.

Video Protocols

WB Video Protocol

FAQs for ZNF580 Antibody (NBP1-80333) (0)

There are no specific FAQs related to this product. Read our general customer & technical service FAQs.

Customers Who Bought This Also Bought

Contact Information

Product PDFs

Calculators

Concentration Calculator

The concentration calculator allows you to quickly calculate the volume, mass or concentration of your vial. Simply enter your mass, volume, or concentration values for your reagent and the calculator will determine the rest.

=
÷

Review this Product

Be the first to review our ZNF580 Antibody - BSA Free and receive a gift card or discount.

Bioinformatics

Gene Symbol ZNF580
Uniprot