ZFAND5 Antibody (OTI5H8) - Azide and BSA Free

Images

 
Western Blot: ZFAND5 Antibody (OTI5H8) - Azide and BSA Free [NBP2-74922] - Analysis of HEK293T cells were transfected with the pCMV6-ENTRY control (Left lane) or pCMV6-ENTRY ZFAND5 .
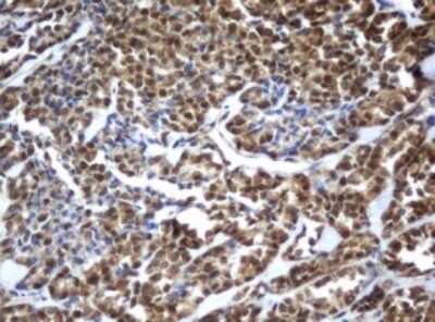
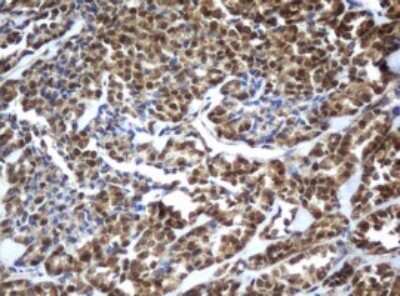
Immunohistochemistry: ZFAND5 Antibody (OTI5H8) - Azide and BSA Free [NBP2-74922] - Analysis of Carcinoma of Human thyroid tissue. (Heat-induced epitope retrieval by 10mM citric buffer, pH6.0, 120C for 3min)

Product Details

Summary
Reactivity Hu, Mu, RtSpecies Glossary
Applications WB, IHC
Clone
OTI5H8
Clonality
Monoclonal
Host
Mouse
Conjugate
Unconjugated
Format
Azide and BSA Free
Concentration
LYOPH

Order Details

ZFAND5 Antibody (OTI5H8) - Azide and BSA Free Summary

Description
Novus Biologicals Mouse ZFAND5 Antibody (OTI5H8) - Azide and BSA Free (NBP2-45422) is a monoclonal antibody validated for use in IHC and WB. All Novus Biologicals antibodies are covered by our 100% guarantee.
Immunogen
Full length human recombinant protein of human ZFAND5 (NP_005998) produced in E.coli.
Isotype
IgG1
Clonality
Monoclonal
Host
Mouse
Gene
ZFAND5
Purity
Immunogen affinity purified
Innovator's Reward
Test in a species/application not listed above to receive a full credit towards a future purchase.

Applications/Dilutions

Dilutions
  • Immunohistochemistry 1:150
  • Immunohistochemistry-Paraffin
  • Western Blot 1:2000
Theoretical MW
23 kDa.
Disclaimer note: The observed molecular weight of the protein may vary from the listed predicted molecular weight due to post translational modifications, post translation cleavages, relative charges, and other experimental factors.

Reactivity Notes

Please note that this antibody is reactive to Mouse and derived from the same host, Mouse. Mouse-On-Mouse blocking reagent may be needed for IHC and ICC experiments to reduce high background signal. You can find these reagents under catalog numbers PK-2200-NB and MP-2400-NB. Please contact Technical Support if you have any questions.

Packaging, Storage & Formulations

Storage
Store at -20C. Avoid freeze-thaw cycles.
Buffer
Lyophilized from PBS (pH 7.3) with 8% Trehalose
Preservative
No Preservative
Concentration
LYOPH
Purity
Immunogen affinity purified
Reconstitution Instructions
we recommend adding 100uL distilled water to a final antibody concentration of about 1 mg/mL. To use this carrier-free antibody for conjugation experiment, we strongly recommend performing another round of desalting process.

Alternate Names for ZFAND5 Antibody (OTI5H8) - Azide and BSA Free

  • Zinc finger A20 domain-containing protein 2
  • Zinc finger protein 216ZA20D2
  • zinc finger, AN1-type domain 5
  • ZNF216A20 domain containing 2

Background

ZFAND5 inhibits NF-kappa-B activation triggered by overexpression of RIPK1 and TRAF6 but not of RELA. Inhibits also tumor necrosis (TNF), IL-1 and TLR4-induced NF-kappa-B activation in a dose-dependent manner. Overexpression sensitizes cells to TNF-induced apopt

Limitations

This product is for research use only and is not approved for use in humans or in clinical diagnosis. Primary Antibodies are guaranteed for 1 year from date of receipt.

Customers Who Viewed This Item Also Viewed...

NBP1-77533
Species: Hu, Mu, Rt
Applications: CyTOF-ready, Flow-IC, Flow, ICC/IF, IHC,  IHC-P, IP, Simple Western, WB
NB100-56508
Species: Av, Hu, Mu, Rt
Applications: CyTOF-ready, Flow-IC, Flow, IHC,  IHC-P, WB
NBP2-02105
Species: Hu, Mu, Rt
Applications: Flow, ICC/IF, IHC,  IHC-P, WB
462-TEC
Species: Mu
Applications: BA
NB100-2176
Species: Hu, Mu, Rt
Applications: ChIP, ICC/IF, IHC,  IHC-P, IP, WB
NBP2-02665
Species: Ca, Hu, Pm, Po, Pm, Rt
Applications: Flow, ICC/IF, IHC,  IHC-P, WB
NBP1-91991
Species: Hu, Mu, Rt
Applications: ICC/IF, IHC,  IHC-P, WB
NB100-56509
Species: Hu, Mu, Rt
Applications: CyTOF-ready, Flow, IB, ICC/IF, IHC,  IHC-P, IP, Simple Western, WB
NBP3-05608
Species: Hu, Mu, Rt
Applications: IHC,  IHC-P, WB
NBP2-37399
Species: Hu
Applications: CyTOF-ready, ELISA, Flow, ICC/IF, IHC,  IHC-P, WB
NB100-689
Species: Hu, Rt
Applications: IHC, IHC-Fr,  IHC-P, Simple Western, WB
NBP1-31381
Species: Hu, Mu, Rt
Applications: ICC/IF, IHC,  IHC-P, IP, WB
NBP2-27203
Species: Ch, ChHa, Eq, Fe, Gp, Hu, Mu, Ma-Op, Po, Pm, Rb, Rt
Applications: Flow, WB
NB100-56704
Species: Hu, Mu, Pm, Rt
Applications: ChIP, ChIP, Flow-IC, Flow, ICC/IF, IHC, IHC-Fr,  IHC-P, IP, Simple Western, WB
NBP2-74922
Species: Hu, Mu, Rt
Applications: WB, IHC

Publications for ZFAND5 Antibody (NBP2-74922) (0)

There are no publications for ZFAND5 Antibody (NBP2-74922).
By submitting your publication information earn gift cards and discounts for future purchases.

Reviews for ZFAND5 Antibody (NBP2-74922) (0)

There are no reviews for ZFAND5 Antibody (NBP2-74922). By submitting a review you will receive an Amazon e-Gift Card or Novus Product Discount.
  • Review with no image -- $10/€7/£6/$10 CAD/¥70 Yuan/¥1110 Yen
  • Review with an image -- $25/€18/£15/$25 CAD/¥150 Yuan/¥2500 Yen

Product General Protocols

Find general support by application which include: protocols, troubleshooting, illustrated assays, videos and webinars.

Video Protocols

WB Video Protocol

FAQs for ZFAND5 Antibody (NBP2-74922) (0)

There are no specific FAQs related to this product. Read our general customer & technical service FAQs.

Secondary Antibodies

 

Isotype Controls

Additional ZFAND5 Products

Research Areas for ZFAND5 Antibody (NBP2-74922)

Find related products by research area.

Blogs on ZFAND5

There are no specific blogs for ZFAND5, but you can read our latest blog posts.

Customers Who Bought This Also Bought

Contact Information

Product PDFs

Calculators

Concentration Calculator

The concentration calculator allows you to quickly calculate the volume, mass or concentration of your vial. Simply enter your mass, volume, or concentration values for your reagent and the calculator will determine the rest.

=
÷

Review this Product

Be the first to review our ZFAND5 Antibody (OTI5H8) - Azide and BSA Free and receive a gift card or discount.

Bioinformatics

Gene Symbol ZFAND5