ZBTB3 Antibody - BSA Free

Images

 
Western Blot: ZBTB3 Antibody [NBP1-76516] - Rat brain tissue lysate with ZBTB3 antibody at (A) 1 and (B) 2 ug/mL.
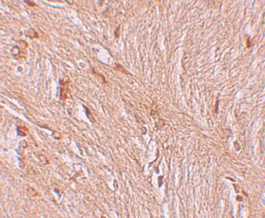
Immunohistochemistry: ZBTB3 Antibody - BSA Free [NBP1-76516] - Immunohistochemistry of ZBTB3 in human brain tissue with ZBTB3 antibody at 2.5 ug/mL.
Immunocytochemistry/ Immunofluorescence: ZBTB3 Antibody - BSA Free [NBP1-76516] - Immunofluorescence of ZBTB3 in human brain tissue with ZBTB3 antibody at 20 ug/mL.

Product Details

Summary
Reactivity Hu, Mu, RtSpecies Glossary
Applications WB, ELISA, ICC/IF, IHC
Clonality
Polyclonal
Host
Rabbit
Conjugate
Unconjugated
Format
BSA Free
Concentration
1 mg/ml

Order Details

ZBTB3 Antibody - BSA Free Summary

Description
Novus Biologicals Rabbit ZBTB3 Antibody - BSA Free (NBP1-76516) is a polyclonal antibody validated for use in IHC, WB, ELISA and ICC/IF. All Novus Biologicals antibodies are covered by our 100% guarantee.
Immunogen
Antibody was raised against a 17 amino acid synthetic peptide near the carboxy terminus of human ZBTB3. The immunogen is located within amino acids 510 - 560 of ZBTB3. Amino Acid Squence: RKAHNEDLAKRSKPDPE
Specificity
At least three isoforms of ZBTB3 are known to exist. This antibody is predicted to not cross-react with other ZBTB protein family members.
Isotype
IgG
Clonality
Polyclonal
Host
Rabbit
Gene
ZBTB3
Purity
Peptide affinity purified
Innovator's Reward
Test in a species/application not listed above to receive a full credit towards a future purchase.

Applications/Dilutions

Dilutions
  • ELISA 1:100-1:2000
  • Immunocytochemistry/ Immunofluorescence 20 ug/ml
  • Immunohistochemistry 2.5 ug/ml
  • Immunohistochemistry-Paraffin 2.5 ug/ml
  • Western Blot 1-2 ug/ml
Control Peptide
ZBTB3 Peptide (NBP1-76516PEP)
Publications
Read Publication using NBP1-76516.

Packaging, Storage & Formulations

Storage
Store at 4C short term. Aliquot and store at -20C long term. Avoid freeze-thaw cycles.
Buffer
PBS
Preservative
0.02% Sodium Azide
Concentration
1 mg/ml
Purity
Peptide affinity purified

Alternate Names for ZBTB3 Antibody - BSA Free

  • FLJ23392
  • zinc finger and BTB domain containing 3
  • zinc finger and BTB domain-containing protein 3

Background

The ZBTB family of proteins is comprised of diverse zinc finger proteins that also contain a BTB (BR-C, ttk and bab) domain. While little is known about ZBTB3, the related protein ZBTB2 is thought to be phosphorylated in response to the DNA damage, probably by either ATM or ATR. Other ZBTB proteins, such as ZBTB4 and ZBTB38 bind methylated DNA and repress transcription, suggesting that ZBTB3 may also act as a transcription repressor.

Limitations

This product is for research use only and is not approved for use in humans or in clinical diagnosis. Primary Antibodies are guaranteed for 1 year from date of receipt.

Customers Who Viewed This Item Also Viewed...

NB300-731
Species: Gp, Hu, Mu, Rb, Rt, Sh, Ye
Applications: B/N, ChIP, Flow, GS, ICC/IF, IHC,  IHC-P, IP, WB
NB100-65125
Species: Hu, Mu
Applications: CyTOF-ready, Flow, ICC/IF, IHC, IHC-Fr,  IHC-P, IP, WB
NBP1-47492
Species: Pm, Hu
Applications: ChIP, ELISA, ICC/IF, IHC,  IHC-P, WB
MAB5696
Species: Hu, Mu
Applications: WB
NBP2-47252
Species: Mu, Rt, Sh
Applications: ELISA, ICC/IF, IHC, IHC-Fr,  IHC-P, WB
H00006446-M01
Species: Hu
Applications: ELISA, ICC/IF, IHC,  IHC-P, KD, WB
273-F9
Species: Hu
Applications: BA
NBP3-46447
Species: Hu, Mu
Applications: ELISA, IHC, IP, , WB
NBP2-16684
Species: Hu, Mu, Rt
Applications: EM, IHC,  IHC-P, WB
AF3894
Species: Mu
Applications: CyTOF-ready, Flow, ICC, IHC, IP, WB
NBP1-80893
Species: Hu
Applications: ChIP-EXO-SEQ, IHC,  IHC-P
NBP2-31176
Species: Hu, Mu, Po, Sh
Applications: ELISA, IHC,  IHC-P
NBP1-79873
Species: Hu
Applications: WB
267-N3
Species: Hu
Applications: BA

Publications for ZBTB3 Antibody (NBP1-76516)(1)

Reviews for ZBTB3 Antibody (NBP1-76516) (0)

There are no reviews for ZBTB3 Antibody (NBP1-76516). By submitting a review you will receive an Amazon e-Gift Card or Novus Product Discount.
  • Review with no image -- $10/€7/£6/$10 CAD/¥70 Yuan/¥1110 Yen
  • Review with an image -- $25/€18/£15/$25 CAD/¥150 Yuan/¥2500 Yen

Product General Protocols

Find general support by application which include: protocols, troubleshooting, illustrated assays, videos and webinars.

Video Protocols

WB Video Protocol
ICC/IF Video Protocol

FAQs for ZBTB3 Antibody (NBP1-76516) (0)

There are no specific FAQs related to this product. Read our general customer & technical service FAQs.

Secondary Antibodies

 

Isotype Controls

Additional ZBTB3 Products

Research Areas for ZBTB3 Antibody (NBP1-76516)

Find related products by research area.

Blogs on ZBTB3

There are no specific blogs for ZBTB3, but you can read our latest blog posts.

Customers Who Bought This Also Bought

Contact Information

Product PDFs

Calculators

Concentration Calculator

The concentration calculator allows you to quickly calculate the volume, mass or concentration of your vial. Simply enter your mass, volume, or concentration values for your reagent and the calculator will determine the rest.

=
÷

Review this Product

Be the first to review our ZBTB3 Antibody - BSA Free and receive a gift card or discount.

Bioinformatics

Gene Symbol ZBTB3
Uniprot