ZBED4 Antibody - BSA Free

Images

 
Western Blot: ZBED4 Antibody [NBP2-13531] - Lane 1: NIH-3T3 cell lysate (Mouse embryonic fibroblast cells) Lane 2: NBT-II cell lysate (Rat Wistar bladder tumour cells)
Immunocytochemistry/ Immunofluorescence: ZBED4 Antibody [NBP2-13531] - Staining of human cell line U-2 OS shows positivity in nucleus but not nucleoli.
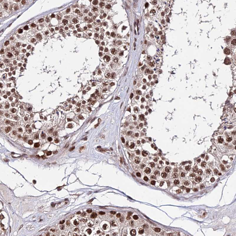
Immunohistochemistry-Paraffin: ZBED4 Antibody [NBP2-13531] - Staining of human testis shows strong nuclear positivity in cells in seminiferus ducts.
Western Blot: ZBED4 Antibody [NBP2-13531] - Lane 1: Marker [kDa] 250, 130, 95, 72, 55, 36, 28, 17, 10Lane 2: Human cell line RT-4
Staining of human cerebral cortex shows strong nuclear positivity in neuronal cells.
Staining of human duodenum shows strong nuclear positivity in glandular cells.
Lane 1: Marker [kDa] 250, 130, 95, 72, 55, 36, 28, 17, 10Lane 2: Human cell line RT-4
Lane 1: NIH-3T3 cell lysate (Mouse embryonic fibroblast cells)Lane 2: NBT-II cell lysate (Rat Wistar bladder tumour cells)
Staining of human fallopian tube shows strong nuclear positivity in glandular cells.
Staining of human testis shows strong nuclear positivity in cells in seminiferous ducts.

Product Details

Summary
Reactivity Hu, Mu, RtSpecies Glossary
Applications WB, ICC/IF, IHC
Clonality
Polyclonal
Host
Rabbit
Conjugate
Unconjugated
Format
BSA Free

Order Details

ZBED4 Antibody - BSA Free Summary

Description
Novus Biologicals Rabbit ZBED4 Antibody - BSA Free (NBP2-13531) is a polyclonal antibody validated for use in IHC, WB and ICC/IF. All Novus Biologicals antibodies are covered by our 100% guarantee.
Immunogen
This antibody was developed against a recombinant protein corresponding to the amino acids: PPDSLERMDFKSEQEDMKQTDSGGERAGLGGTGCSCKPPGKYLSAESEDDYGALFSQYSSTLYDVAMEAVTQSLLSSRNMSSRKKSPAWKHFFISPRDSTKAICMYCVKEFSRGKNEKDLSTSCLMRHVRRAHPTVLIQ
Isotype
IgG
Clonality
Polyclonal
Host
Rabbit
Gene
ZBED4
Purity
Immunogen affinity purified
Innovator's Reward
Test in a species/application not listed above to receive a full credit towards a future purchase.

Applications/Dilutions

Dilutions
  • Immunocytochemistry/ Immunofluorescence 0.25-2 ug/ml
  • Immunohistochemistry 1:20 - 1:50
  • Immunohistochemistry-Paraffin 1:20 - 1:50
  • Western Blot 0.04-0.4 ug/ml
Application Notes
For IHC-Paraffin, HIER pH 6 retrieval is recommended. For Immunofluorescence, Fixation/Permeabilization: PFA/Triton X-100.
Control Peptide
ZBED4 Protein (NBP2-13531PEP)

Packaging, Storage & Formulations

Storage
Store at 4C short term. Aliquot and store at -20C long term. Avoid freeze-thaw cycles.
Buffer
PBS (pH 7.2) and 40% Glycerol
Preservative
0.02% Sodium Azide
Purity
Immunogen affinity purified

Alternate Names for ZBED4 Antibody - BSA Free

  • zinc finger BED domain-containing protein 4
  • zinc finger, BED-type containing 4

Background

ZBED4 is a gene that codes for a protein expressed in the testis, kidney and spinal cord, with a length of 1171 amino acids and a weight of approximately 130 kDa. Current studies are being done on diseases and disorders linked to this gene including bipolar affective disorder, corpus callosum, and retinitis. ZBED4 has also been shown to have interactions with CBX1.

Limitations

This product is for research use only and is not approved for use in humans or in clinical diagnosis. Primary Antibodies are guaranteed for 1 year from date of receipt.

Customers Who Viewed This Item Also Viewed...

NBP2-27194
Species: Bv, Ch, Eq, Ha, Hu, Pm, Rt
Applications: ICC/IF, WB
NBP1-84725
Species: Hu
Applications: IHC,  IHC-P, WB
NB300-143
Species: Bv, Ca, Ch, Dr, Eq, Hu, Mu, Po, Pm, Rt
Applications: Flow, ICC/IF, IHC, IHC-Fr,  IHC-P, WB
NBP1-87055
Species: Hu, Mu, Rt
Applications: IHC,  IHC-P, WB
NBP2-46383
Species: Hu
Applications: Flow, IHC,  IHC-P, WB
NBP2-82041
Species: Hu, Mu, Rt
Applications: ELISA, ICC/IF, WB
NB500-106
Species: Ch, Dr, Fi, Hu, Mar, Mu, Po, Pm, Rb, Rt, Ye, Ze
Applications: ChIP, ChIP, ELISA, Flow, ICC/IF, IHC-FrFl, IHC, IHC-Fr,  IHC-P, IP, Simple Western, WB
NBP2-73776
Species: Hu, Pm, Pm, Rt
Applications: CyTOF-ready, Flow, ICC/IF, WB
AF2018
Species: Hu, Mu, Rt
Applications: ChIP, ICC, IHC, Simple Western, WB
AF2746
Species: Hu, Mu
Applications: ICC, WB
NBP1-91991
Species: Hu, Mu, Rt
Applications: ICC/IF, IHC,  IHC-P, WB
NBP2-25196
Species: Hu, Mu
Applications: CyTOF-ready, Flow, ICC/IF, In vitro, WB
AF847
Species: Hu, Mu, Rt
Applications: CyTOF-ready, IHC, ICFlow, KO, Simple Western, WB
NBP3-47527
Species: Hu, Mu, Rt
Applications: ELISA, IHC
NB100-2593
Species: Hu, Mu
Applications: IHC,  IHC-P, IP, WB
NB300-143
Species: Bv, Ca, Ch, Dr, Eq, Hu, Mu, Po, Pm, Rt
Applications: Flow, ICC/IF, IHC, IHC-Fr,  IHC-P, WB

Publications for ZBED4 Antibody (NBP2-13531) (0)

There are no publications for ZBED4 Antibody (NBP2-13531).
By submitting your publication information earn gift cards and discounts for future purchases.

Reviews for ZBED4 Antibody (NBP2-13531) (0)

There are no reviews for ZBED4 Antibody (NBP2-13531). By submitting a review you will receive an Amazon e-Gift Card or Novus Product Discount.
  • Review with no image -- $10/€7/£6/$10 CAD/¥70 Yuan/¥1110 Yen
  • Review with an image -- $25/€18/£15/$25 CAD/¥150 Yuan/¥2500 Yen

Product General Protocols

Find general support by application which include: protocols, troubleshooting, illustrated assays, videos and webinars.

Video Protocols

WB Video Protocol
ICC/IF Video Protocol

FAQs for ZBED4 Antibody (NBP2-13531) (0)

There are no specific FAQs related to this product. Read our general customer & technical service FAQs.

Customers Who Bought This Also Bought

Contact Information

Product PDFs

Calculators

Concentration Calculator

The concentration calculator allows you to quickly calculate the volume, mass or concentration of your vial. Simply enter your mass, volume, or concentration values for your reagent and the calculator will determine the rest.

=
÷

Review this Product

Be the first to review our ZBED4 Antibody - BSA Free and receive a gift card or discount.

Bioinformatics

Gene Symbol ZBED4