YB1 Antibody (ST0432)

Images

 
Western Blot: YB1 Antibody (ST0432) [NBP2-67491] - Analysis of YB1 on different lysates using anti-YB1 antibody at 1/1,000 dilution. Positive control: Lane 1: Hela Lane 2: Jurkat
Immunocytochemistry/ Immunofluorescence: YB1 Antibody (ST0432) [NBP2-67491] - Staining YB1 in MCF-7 cells (green). The nuclear counter stain is DAPI (blue). Cells were fixed in paraformaldehyde, permeabilised with 0.25% ...read more
Immunohistochemistry-Paraffin: YB1 Antibody (ST0432) [NBP2-67491] - Analysis of paraffin-embedded mouse stomach tissue using anti-YB1 antibody. Counter stained with hematoxylin.
Flow Cytometry: YB1 Antibody (ST0432) [NBP2-67491] - Analysis of Hela cells with YB1 antibody at 1/50 dilution (red) compared with an unlabelled control (cells without incubation with primary antibody; black). Alexa ...read more
Immunocytochemistry/ Immunofluorescence: YB1 Antibody (ST0432) [NBP2-67491] - Staining YB1 in Hela cells (green). The nuclear counter stain is DAPI (blue). Cells were fixed in paraformaldehyde, permeabilised with 0.25% ...read more
Immunocytochemistry/ Immunofluorescence: YB1 Antibody (ST0432) [NBP2-67491] - Staining YB1 in HepG2 cells (green). The nuclear counter stain is DAPI (blue). Cells were fixed in paraformaldehyde, permeabilised with 0.25% ...read more
Immunohistochemistry-Paraffin: YB1 Antibody (ST0432) [NBP2-67491] - Analysis of paraffin-embedded human breast carcinoma tissue using anti-YB1 antibody. Counter stained with hematoxylin.
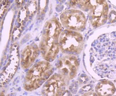
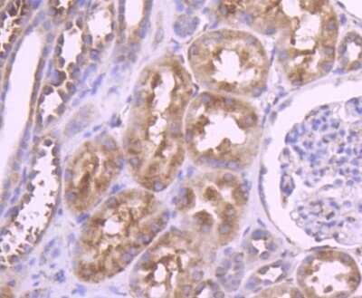
Immunohistochemistry-Paraffin: YB1 Antibody (ST0432) [NBP2-67491] - Analysis of paraffin-embedded human kidney tissue using anti-YB1 antibody. Counter stained with hematoxylin.
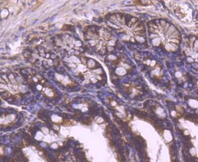
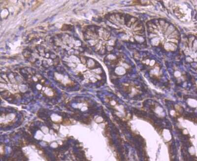
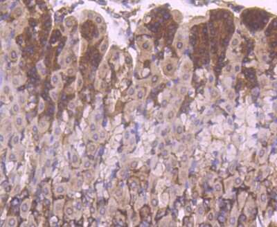
Immunohistochemistry-Paraffin: YB1 Antibody (ST0432) [NBP2-67491] - Anaysis of paraffin-embedded mouse colon tissue using anti-YB1 antibody. Counter stained with hematoxylin.

Product Details

Summary
Product Discontinued
View other related YB1 Primary Antibodies

Order Details


    • Catalog Number
      NBP2-67491
    • Availability
      Product Discontinued

    Can't find what you are looking for? Use our Antibody Concierge Service & we will help you locate your antibody!

    Or feel free to contact us for alternative products.

YB1 Antibody (ST0432) Summary

Additional Information
Recombinant Monoclonal Antibody.
Immunogen
Synthetic peptide within Human YB1 aa 275-324 / 324. (SwissProt: P67809 Human; SwissProt: P62960 Mouse; SwissProt: P62961 Rat)
Localization
Cytoplasm, Nucleus, Cytoplasmic granule, Secreted.
Isotype
IgG
Clonality
Monoclonal
Host
Rabbit
Gene
YBX1
Purity
Protein A purified
Innovator's Reward
Test in a species/application not listed above to receive a full credit towards a future purchase.

Applications/Dilutions

Dilutions
  • Flow Cytometry 1:50-1:100
  • Immunocytochemistry/ Immunofluorescence 1:100-1:500
  • Immunohistochemistry
  • Immunohistochemistry-Paraffin 1:50-1:200
  • Immunoprecipitation
  • Western Blot 1:1000-1:5000
Theoretical MW
50 kDa.
Disclaimer note: The observed molecular weight of the protein may vary from the listed predicted molecular weight due to post translational modifications, post translation cleavages, relative charges, and other experimental factors.
Reviewed Applications
Read 1 Review rated 5
using
NBP2-67491 in the following applications:

Publications
Read Publication using
NBP2-67491 in the following applications:

Packaging, Storage & Formulations

Storage
Store at 4C short term. Aliquot and store at -20C long term. Avoid freeze-thaw cycles.
Buffer
TBS (pH7.4), 0.05% BSA, 40% Glycerol
Preservative
0.05% Sodium Azide
Concentration
1 mg/ml
Purity
Protein A purified

Alternate Names for YB1 Antibody (ST0432)

  • BP-8
  • CBF-A
  • class II, Y box-binding protein I
  • CSDA2
  • CSDB
  • DBPB CCAAT-binding transcription factor I subunit A
  • EFI-A
  • Enhancer factor I subunit A
  • MDR-NF1
  • MGC104858
  • MGC110976
  • MGC117250
  • NSEP1 Y-box-binding protein 1
  • nuclease-sensitive element-binding protein 1
  • Y box binding protein 1
  • YB1 DNA-binding protein B
  • YB-1 Y-box transcription factor
  • YBX1

Background

The Y-box binding protein 1 (YB1) is a pluripotent DNA/RNA-binding factor which regulates gene expression through transcription and translation. YB1 has been shown to be a marker of tumor aggressiveness and belongs to the cold-shock domain family.

Limitations

This product is for research use only and is not approved for use in humans or in clinical diagnosis. Primary Antibodies are guaranteed for 1 year from date of receipt.

Customers Who Viewed This Item Also Viewed...

H00004782-M01
Species: Hu, Mu
Applications: ELISA, ICC/IF, IHC,  IHC-P, KD, WB
NBP1-81407
Species: Hu, Mu, Rt
Applications: ChIP-EXO-SEQ, ICC/IF, IHC,  IHC-P, WB
NBP2-67667
Species: Hu, Mu, Rt
Applications: ICC/IF, IHC, IHC-Fr,  IHC-P, WB
NB300-155
Species: Hu, Mu, Rt
Applications: ICC/IF, IHC, IHC-Fr,  IHC-P, WB
NBP1-81000
Species: Hu
Applications: ChIP, ICC/IF, WB
NBP2-13415
Species: Hu
Applications: ICC/IF, IHC,  IHC-P
NBP2-67471
Species: Hu, Mu, Rt
Applications: ICC/IF, IHC,  IHC-P, WB
NB200-103
Species: Hu, Mu, Rt, Xp(-), Ye
Applications: CyTOF-ready, ELISA, Flow-IC, Flow, ICC/IF, IHC, IHC-Fr,  IHC-P, IP, WB
NB600-232
Species: Hu, Mu
Applications: ChIP, IHC,  IHC-P, IP, WB
DPSG10
Species: Hu
Applications: ELISA
3047-CC
Species: Hu
Applications: BA
NBP1-84999
Species: Hu
Applications: IHC,  IHC-P, WB
AF231
Species: Hu
Applications: CyTOF-ready, Dual ISH-IHC, ELISA(Cap), ELISA(Det), ELISA(Sta), Flow, ICC, IHC, IP, Simple Western, WB
1129-ER
Species: Hu
Applications: BA
NBP2-15039
Species: Mu
Applications: ChIP, ICC/IF, IHC,  IHC-P, WB
NBP2-67491
Species: Hu, Mu, Rt
Applications: WB, Flow, ICC/IF, IHC, IP

Publications for YB1 Antibody (NBP2-67491)(1)

We have publications tested in 1 confirmed species: Mouse.

We have publications tested in 1 application: IHC-Fr.


Filter By Application
IHC-Fr
(1)
All Applications
Filter By Species
Mouse
(1)
All Species

Review for YB1 Antibody (NBP2-67491) (1) 51

Average Rating: 5
(Based on 1 review)
We have 1 review tested in 1 species: Mouse.

Reviews using NBP2-67491:
Filter by Applications
Flow
(1)
All Applications
Filter by Species
Mouse
(1)
All Species
Images Ratings Applications Species Date Details
Flow Cytometry YB1 NBP2-67491
Enlarge
5
reviewed by:
Verified Customer
Flow Mouse 06/12/2023
View

Summary

ApplicationFlow Cytometry
Sample TestedThymocytes
SpeciesMouse
LotHK0804

Comments

CommentsStaining after fixation with the Foxp3 Staining Buffer Set worked nicely.

Product General Protocols

Video Protocols

WB Video Protocol
ICC/IF Video Protocol

FAQs for YB1 Antibody (NBP2-67491) (0)

There are no specific FAQs related to this product. Read our general customer & technical service FAQs.

Secondary Antibodies

 

Isotype Controls

Additional YB1 Products

Research Areas for YB1 Antibody (NBP2-67491)

Find related products by research area.

Blogs on YB1.

Understanding ‘Y’ in Breast Cancer: Crucial Role of DNA/RNA-binding Protein YB-1 in the Development, Pre-Invasive, and Metastatic Phases
Jamshed Arslan, Pharm D, PhD In the United States, 1 in 8 women will be diagnosed with breast cancer in her lifetime.1 Despite the prevalence, cancer genesis is a mystery. The heterogeneity of cancers makes it diff...  Read full blog post.

New Techniques Using Phosphoserine Antibodies
Phosphoserine, the phosphorylated modification of the amino acid serine, is a central post-translational modification within a cell for many biological and biomedical processes. The phosphorylation of specifically four residue types - histidine, serin...  Read full blog post.

Contact Information

Product PDFs

Calculators

Concentration Calculator

The concentration calculator allows you to quickly calculate the volume, mass or concentration of your vial. Simply enter your mass, volume, or concentration values for your reagent and the calculator will determine the rest.

=
÷

Recent Reviews

5
5
1
4
0
3
0
2
0
1
0

Verified Customer
06/12/2023
Application: Flow
Species: Mouse

Bioinformatics

Gene Symbol YBX1