WHSC1 Antibody (CL1057) - Azide and BSA Free

Images

 
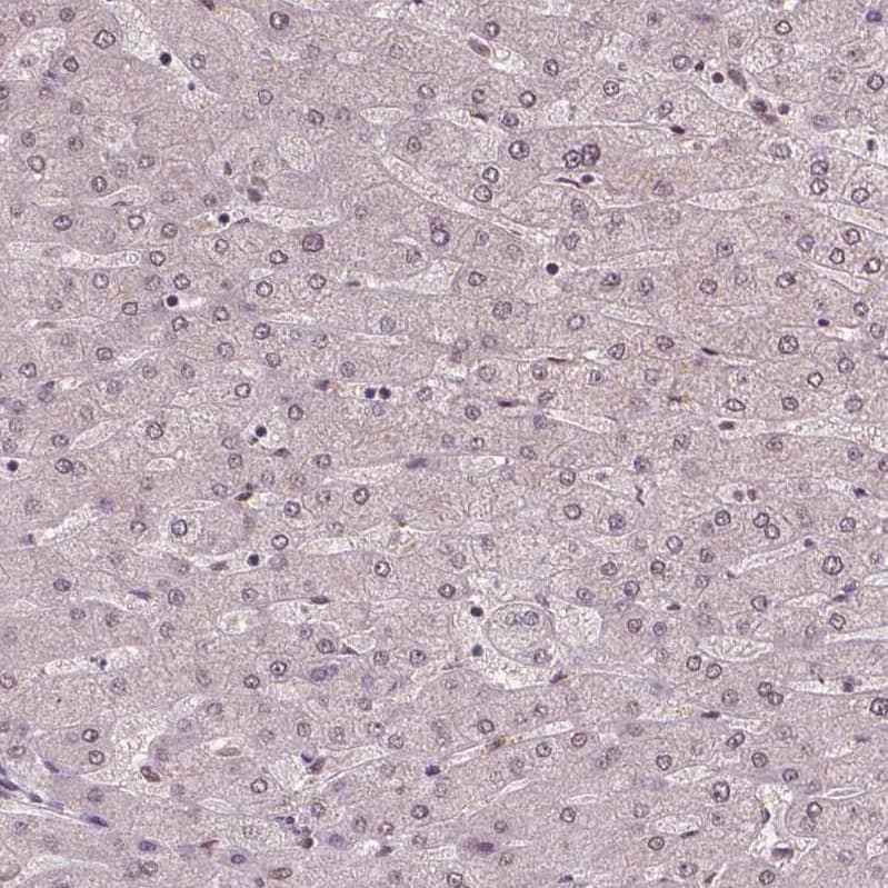
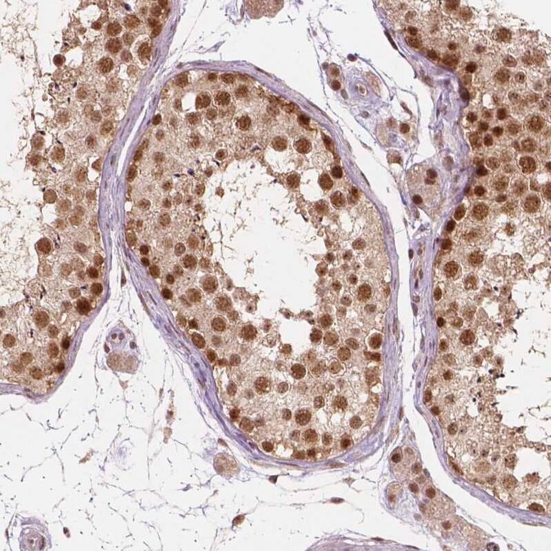
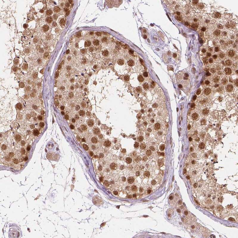
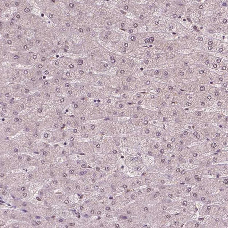
Orthogonal Strategies: Analysis in human testis and liver tissues using NBP3-44041 antibody. Corresponding WHSC1 RNA-seq data are presented for the same tissues.
Staining of human liver shows no positivity in hepatocytes as expected.
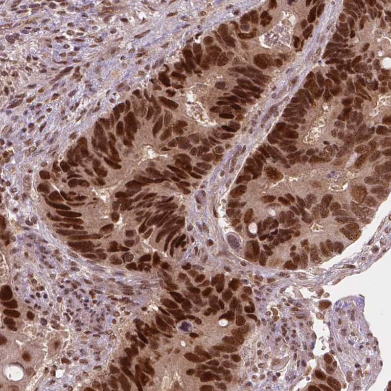
Staining of human colorectal cancer shows strong nuclear positivity in tumor cells.
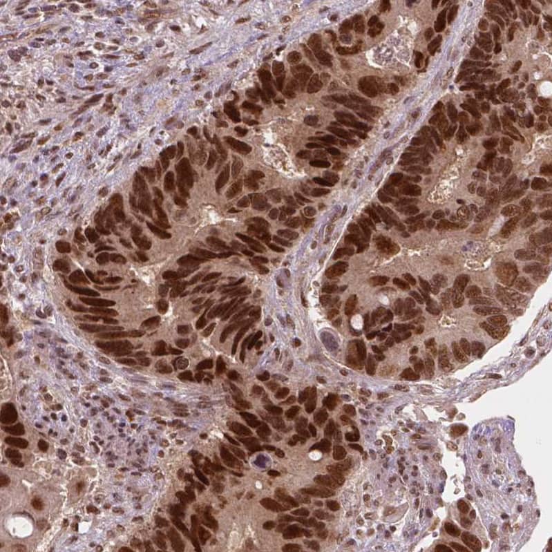
Staining of human colon shows moderate to strong nuclear positivity in glandular cells.
Staining of human cerebral cortex shows strong nuclear positivity in neurons.
Staining of U-251 cells using the Anti-WHSC1 monoclonal antibody) .
Staining of human testis shows moderate to strong nuclear positivity in cells in seminiferous ducts.

Product Details

Summary
Reactivity HuSpecies Glossary
Applications ICC/IF, IHC
Clone
CL1057
Clonality
Monoclonal
Host
Mouse
Conjugate
Unconjugated
Format
Azide and BSA Free
Concentration
LYOPH
Validated by:
       

Orthogonal Strategies

 

Order Details

WHSC1 Antibody (CL1057) - Azide and BSA Free Summary

Description
Novus Biologicals Mouse WHSC1 Antibody (CL1057) - Azide and BSA Free (NBP2-52962) is a monoclonal antibody validated for use in IHC and ICC/IF. All Novus Biologicals antibodies are covered by our 100% guarantee.
Immunogen
This antibody was generated using a recombinant protein sequence of O96028, with the exact immunogen sequence remaining proprietary.
Isotype
IgG1
Clonality
Monoclonal
Host
Mouse
Gene
NSD2
Purity
Protein A purified
Innovator's Reward
Test in a species/application not listed above to receive a full credit towards a future purchase.

Applications/Dilutions

Dilutions
  • Immunocytochemistry/ Immunofluorescence 2-10 ug/ml
  • Immunohistochemistry-Paraffin 1:200 - 1:500
Application Notes
For IHC-Paraffin, HIER pH 6 retrieval is recommended. For Immunocytochemistry/ Immunofluorescence/IF, PFA/Triton X-100 is recommended for fixation/permeabilization.

Packaging, Storage & Formulations

Storage
Store at 4C short term. Aliquot and store at -20C long term. Avoid freeze-thaw cycles.
Buffer
Lyophilized from a 0.2 um filtered solution in PBS with Trehalose
Preservative
No Preservative
Concentration
LYOPH
Purity
Protein A purified
Reconstitution Instructions
Centrifuge the vial of lyophilized antibody at 12,000 x g for 20 seconds. Reconstitute by adding sterile, distilled water to achieve a final antibody concentration of 1mg/ml.

Alternate Names for WHSC1 Antibody (CL1057) - Azide and BSA Free

  • EC 2.1.1.43
  • FLJ23286
  • IL5 promoter REII region-binding protein
  • KIAA1090
  • MGC176638
  • MMSETNSD2Multiple myeloma SET domain-containing protein
  • multiple myeloma SET domain containing protein type III
  • nuclear receptor binding SET domain protein 2
  • Nuclear SET domain-containing protein 2
  • probable histone-lysine N-methyltransferase NSD2
  • Protein trithorax-5
  • REIIBP
  • trithorax/ash1-related protein 5
  • TRX5
  • WHS
  • Wolf-Hirschhorn syndrome candidate 1 protein
  • Wolf-Hirschhorn syndrome candidate 1

Background

WHSC1 encodes a protein that contains four domains present in other developmental proteins: a PWWP domain, an HMG box, a SET domain, and a PHD-type zinc finger. It is expressed ubiquitously in early development. Wolf-Hirschhorn syndrome (WHS) is a malformation syndrome associated with a hemizygous deletion of the distal short arm of chromosome 4. This gene maps to the 165 kb WHS critical region and has also been involved in the chromosomal translocation t(4;14)(p16.3;q32.3) in multiple myelomas. Alternative splicing of this gene results in multiple transcript variants encoding different isoforms. Some transcript variants are nonsense-mediated mRNA (NMD) decay candidates, hence not represented as reference sequences. [provided by RefSeq]

Limitations

This product is for research use only and is not approved for use in humans or in clinical diagnosis. Primary Antibodies are guaranteed for 1 year from date of receipt.

Customers Who Viewed This Item Also Viewed...

MAB7662
Species: Hu
Applications: Flow, ICC, IHC, WB
NB200-106
Species: Mu, Rt
Applications: ELISA, ICC/IF, IHC, IHC-Fr,  IHC-P, WB
NBP2-32840
Species: Hu, Pm, Mu, Rt
Applications: Flow, ICC/IF, IHC,  IHC-P, WB
NBP2-24551
Species: Bv, Hu, Mu, Rt
Applications: IHC,  IHC-P, WB
NB500-171
Species: Hu, I, Mu, Rt, Xp, Ye
Applications: ChIP, IB, ICC/IF, IHC,  IHC-P, Single-Cell Western, WB
H00064324-M08
Species: Hu
Applications: ELISA, IP, WB
NB100-304
Species: Bt, Bv, Ca, Fi, Gt, Hu, Mu, Pm, Rt
Applications: ChIP, ChIP, Flow-IC, Flow, IB, ICC/IF, IHC, IHC-Fr,  IHC-P, IP, ISH, KD, KO, WB
MAB6570
Species: Hu
Applications: IHC, WB
M6000B
Species: Mu
Applications: ELISA
NBP2-07996
Species: Hu
Applications: WB
NBP2-52486
Species: Hu
Applications: CyTOF-ready, ELISA, Flow, ICC/IF, IHC,  IHC-P, WB
MAB3810
Species: Hu, Rt
Applications: ICC, Simple Western, WB
NBP3-13225
Species: Hu
Applications: ICC/IF, IHC,  IHC-P, WB
NB600-302
Species: Bv, Dr, Hu, Mu
Applications: ChIP, ELISA, Flow-IC, Flow, IB, ICC/IF, IHC, IHC-Fr,  IHC-P, IP, PLA, S-ELISA, Simple Western, WB
NBP2-37394
Species: Hu, Rt
Applications: CyTOF-ready, ELISA, Flow, ICC/IF, IHC,  IHC-P, WB
M5000
Species: Mu
Applications: ELISA
AF3690
Species: Hu, Mu
Applications: ChIP, ICC, WB
NBP1-84297
Species: Hu
Applications: ICC/IF, IHC,  IHC-P
H00004810-M05
Species: Hu
Applications: ELISA, ICC/IF, WB
NBP3-44041
Species: Hu
Applications: ICC/IF, IHC

Publications for WHSC1 Antibody (NBP3-44041) (0)

There are no publications for WHSC1 Antibody (NBP3-44041).
By submitting your publication information earn gift cards and discounts for future purchases.

Reviews for WHSC1 Antibody (NBP3-44041) (0)

There are no reviews for WHSC1 Antibody (NBP3-44041). By submitting a review you will receive an Amazon e-Gift Card or Novus Product Discount.
  • Review with no image -- $10/€7/£6/$10 CAD/¥70 Yuan/¥1110 Yen
  • Review with an image -- $25/€18/£15/$25 CAD/¥150 Yuan/¥2500 Yen

Product General Protocols

Find general support by application which include: protocols, troubleshooting, illustrated assays, videos and webinars.

Video Protocols

ICC/IF Video Protocol

FAQs for WHSC1 Antibody (NBP3-44041) (0)

There are no specific FAQs related to this product. Read our general customer & technical service FAQs.

Customers Who Bought This Also Bought

Contact Information

Product PDFs

Calculators

Concentration Calculator

The concentration calculator allows you to quickly calculate the volume, mass or concentration of your vial. Simply enter your mass, volume, or concentration values for your reagent and the calculator will determine the rest.

=
÷

Review this Product

Be the first to review our WHSC1 Antibody (CL1057) - Azide and BSA Free and receive a gift card or discount.

Bioinformatics

Gene Symbol NSD2