VRK1 Antibody

Images

 
Genetic Strategies: Western Blot: VRK1 Antibody [NBP1-89548] - Analysis in Rh30 cells transfected with control siRNA, target specific siRNA probe #1, using Anti-VRK1 antibody. Remaining relative intensity is ...read more
Immunocytochemistry/ Immunofluorescence: VRK1 Antibody [NBP1-89548] - Staining of human cell line A-431 shows positivity in nucleus and nucleoli.
Immunohistochemistry-Paraffin: VRK1 Antibody [NBP1-89548] - Staining of human tonsil shows moderate nuclear positivity in germinal center cells.
Western Blot: VRK1 Antibody [NBP1-89548] - Lane 1: Marker [kDa] 230, 130, 95, 72, 56, 36, 28, 17, 11. Lane 2: Human cell line RT-629
Immunohistochemistry-Paraffin: VRK1 Antibody [NBP1-89548] - Staining of human testis shows strong nuclear positivity in cells of seminiferus ducts.
Orthogonal Strategies: Immunohistochemistry-Paraffin: VRK1 Antibody [NBP1-89548] - Analysis in human testis and skeletal muscle tissues. Corresponding VRK1 RNA-seq data are presented for the same tissues.
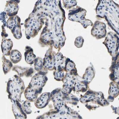
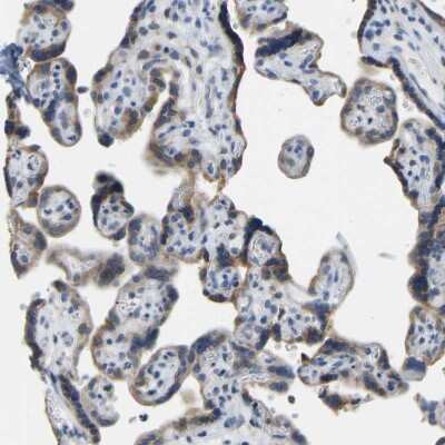
Immunohistochemistry: VRK1 Antibody [NBP1-89548] - Staining of human placenta shows moderate cytoplasmic positivity in trophoblastic cells.
Immunohistochemistry-Paraffin: VRK1 Antibody [NBP1-89548] - Staining of human skeletal muscle shows no positivity in myocytes as expected.
Immunohistochemistry-Paraffin: VRK1 Antibody [NBP1-89548] - Staining of human testis shows strong nuclear positivity in cells in seminiferous ducts.

Product Details

Summary
Product Discontinued
View other related VRK1 Primary Antibodies

Order Details


    • Catalog Number
      NBP1-89548
    • Availability
      Product Discontinued

    Can't find what you are looking for? Use our Antibody Concierge Service & we will help you locate your antibody!

    Or feel free to contact us for alternative products.

VRK1 Antibody Summary

Immunogen
This antibody was developed against Recombinant Protein corresponding to amino acids: LPWEDNLKDPKYVRDSKIRYRENIASLMDKCFPEKNKPGEIAKYMETVKLLDYTEKPLYENLRDILLQGLKAIGSKDDGKLDLSVVENGGLKAKTITKKRKKEIEESKEPGVEDTEWSNTQTEEAIQTRSRTR
Isotype
IgG
Clonality
Polyclonal
Host
Rabbit
Gene
VRK1
Purity
Immunogen affinity purified
Innovator's Reward
Test in a species/application not listed above to receive a full credit towards a future purchase.

Applications/Dilutions

Dilutions
  • Immunocytochemistry/ Immunofluorescence 0.25-2 ug/ml
  • Immunohistochemistry 1:1000 - 1:2500
  • Immunohistochemistry-Paraffin 1:1000 - 1:2500
  • Knockdown Validated
  • Western Blot 0.04-0.4 ug/ml
Application Notes
For IHC-Paraffin, HIER pH 6 retrieval is recommended. Immunocytochemistry/Immunofluorescence Fixation Permeabilization: Use PFA/Triton X-100.
Publications
Read Publication using NBP1-89548.

Packaging, Storage & Formulations

Storage
Store at 4C short term. Aliquot and store at -20C long term. Avoid freeze-thaw cycles.
Buffer
PBS (pH 7.2) and 40% Glycerol
Preservative
0.02% Sodium Azide
Purity
Immunogen affinity purified

Alternate Names for VRK1 Antibody

  • EC 2.7.11.1
  • MGC117401
  • MGC138280
  • MGC142070
  • PCH1
  • serine/threonine-protein kinase VRK1
  • vaccinia related kinase 1
  • vaccinia virus B1R-related kinase 1
  • Vaccinia-related kinase 1
  • VRK1

Background

VRK1 encodes a member of the vaccinia-related kinase (VRK) family of serine/threonine protein kinases. This gene is widely expressed in human tissues and has increased expression in actively dividing cells, such as those in testis, thymus, fetal liver, and carcinomas. Its protein localizes to the nucleus and has been shown to promote the stability and nuclear accumulation of a transcriptionally active p53 molecule and, in vitro, to phosphorylate Thr18 of p53 and reduce p53 ubiquitination. This gene, therefore, may regulate cell proliferation. This protein also phosphorylates histone, casein, and the transcription factors ATF2 (activating transcription factor 2) and c-JUN.

Limitations

This product is for research use only and is not approved for use in humans or in clinical diagnosis. Primary Antibodies are guaranteed for 1 year from date of receipt.

Customers Who Viewed This Item Also Viewed...

NB200-103
Species: Hu, Mu, Rt, Xp(-), Ye
Applications: CyTOF-ready, ELISA, Flow-IC, Flow, ICC/IF, IHC, IHC-Fr,  IHC-P, IP, WB
H00007444-M01
Species: Hu
Applications: ELISA, ICC/IF, KD, S-ELISA, WB
NB100-2736
Species: Hu, Mu, Rt
Applications: IHC, IHC-Fr,  IHC-P, IP, WB
NBP2-67471
Species: Hu, Mu, Rt
Applications: ICC/IF, IHC,  IHC-P, WB
NBP2-71688
Species: Ca, Hu, Mu, Rt
Applications: CyTOF-ready, Flow, ICC/IF, IHC,  IHC-P, IP, WB
NBP2-76978
Species: Hu, Mu, Rt
Applications: Flow, ICC/IF, IHC,  IHC-P, WB
NB100-616
Species: Hu, Mu, Md, Pm, Rt
Applications: ChIP, EM, Flow-IC, Flow, ICC/IF, IP, In vitro, KD, WB
NBP3-15345
Species: Hu, Mu, Rt
Applications: ChIP, CHIP-SEQ, ELISA, ICC/IF, IHC,  IHC-P, IP, WB
NBP2-32840
Species: Hu, Pm, Mu, Rt
Applications: Flow, ICC/IF, IHC,  IHC-P, WB
MAB17761
Species: Hu, Mu, Rt
Applications: ICC, WB
NB100-81798
Species: Hu, Mu, Rt
Applications: ICC/IF, IHC,  IHC-P, WB
NB500-171
Species: Hu, I, Mu, Rt, Xp, Ye
Applications: ChIP, IB, ICC/IF, IHC,  IHC-P, Single-Cell Western, WB
NBP1-88927
Species: Hu, Mu
Applications: ICC/IF, IHC,  IHC-P
NBP1-90335
Species: Hu
Applications: IHC,  IHC-P, WB
NBP2-31923
Species: Hu
Applications: ICC/IF, IHC,  IHC-P
NBP2-30377
Species: Hu
Applications: IHC,  IHC-P, WB
H00728695-B01P
Species: Hu
Applications: ICC/IF, IP, WB
DYC2510-2
Species: Hu, Mu, Rt
Applications: ELISA
NBP2-54591
Species: Hu
Applications: CyTOF-ready, Flow, ICC/IF, IHC,  IHC-P, PA
NBP1-89548
Species: Hu
Applications: WB, ICC/IF, IHC, Mycoplasma

Publications for VRK1 Antibody (NBP1-89548)(1)

We have publications tested in 1 confirmed species: Human.


Filter By Application
All Applications
Filter By Species
Human
(1)
All Species

Reviews for VRK1 Antibody (NBP1-89548) (0)

There are no reviews for VRK1 Antibody (NBP1-89548). By submitting a review you will receive an Amazon e-Gift Card or Novus Product Discount.
  • Review with no image -- $10/€7/£6/$10 CAD/¥70 Yuan/¥1110 Yen
  • Review with an image -- $25/€18/£15/$25 CAD/¥150 Yuan/¥2500 Yen

Product General Protocols

Find general support by application which include: protocols, troubleshooting, illustrated assays, videos and webinars.

Video Protocols

WB Video Protocol
ICC/IF Video Protocol

FAQs for VRK1 Antibody (NBP1-89548) (0)

There are no specific FAQs related to this product. Read our general customer & technical service FAQs.

Secondary Antibodies

 

Isotype Controls

Additional VRK1 Products

Research Areas for VRK1 Antibody (NBP1-89548)

Find related products by research area.

Blogs on VRK1

There are no specific blogs for VRK1, but you can read our latest blog posts.

Contact Information

Product PDFs

Calculators

Concentration Calculator

The concentration calculator allows you to quickly calculate the volume, mass or concentration of your vial. Simply enter your mass, volume, or concentration values for your reagent and the calculator will determine the rest.

=
÷

Review this Product

Be the first to review our VRK1 Antibody and receive a gift card or discount.

Bioinformatics

Gene Symbol VRK1