VMAT2 Antibody (CL12531) - Azide and BSA Free

Images

 
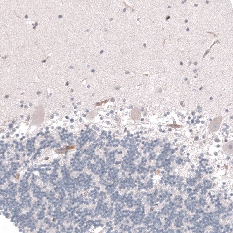
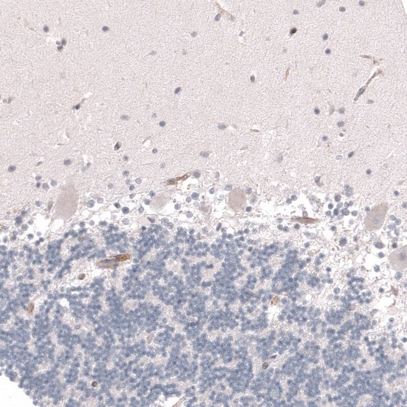
Staining of human cerebellum shows no positivity in Purkinje cells as expected.
Staining of human cerebral cortex shows no positivity in neurons as expected.
Staining of human dorsal raphe nucleus shows strong cytoplasmic positivity in neurons.
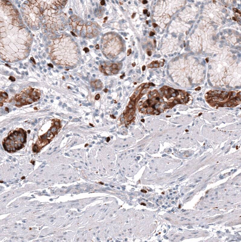
Staining of human stomach tumor (enterochromaffin-like cell carcinoid) shows strong cytoplasmic positivity in tumor cells.

Product Details

Summary
Reactivity HuSpecies Glossary
Applications IHC
Clone
CL12531
Clonality
Monoclonal
Host
Mouse
Conjugate
Unconjugated
Format
Azide and BSA Free
Concentration
LYOPH

Order Details

VMAT2 Antibody (CL12531) - Azide and BSA Free Summary

Description
Novus Biologicals Mouse VMAT2 Antibody (CL12531) - Azide and BSA Free (NBP3-18570) is a monoclonal antibody validated for use in IHC. All Novus Biologicals antibodies are covered by our 100% guarantee.
Immunogen
This antibody was generated using a synthetic peptide of Q05940, with the exact immunogen sequence remaining proprietary.
Isotype
IgG2b
Clonality
Monoclonal
Host
Mouse
Gene
SLC18A2
Purity
Protein A purified
Innovator's Reward
Test in a species/application not listed above to receive a full credit towards a future purchase.

Applications/Dilutions

Dilutions
  • Immunohistochemistry-Paraffin 1:5000 - 1:10000
Application Notes
For use with IHC-Paraffin, HIER pH 6 retrieval is recommended.

Packaging, Storage & Formulations

Storage
Store at 4C short term. Aliquot and store at -20C long term. Avoid freeze-thaw cycles.
Buffer
Lyophilized from a 0.2 um filtered solution in PBS with Trehalose
Preservative
No Preservative
Concentration
LYOPH
Purity
Protein A purified
Reconstitution Instructions
Centrifuge the vial of lyophilized antibody at 12,000 x g for 20 seconds. Reconstitute by adding sterile, distilled water to achieve a final antibody concentration of 1mg/ml.

Alternate Names for VMAT2 Antibody (CL12531) - Azide and BSA Free

  • MGC120477
  • MNAT
  • monoamine neurotransmitter transporter
  • Monoamine transporter
  • SLC18A2
  • solute carrier family 18 (vesicular monoamine), member 2
  • Solute carrier family 18 member 2
  • SVAT
  • SVMT
  • SVMTMGC120478
  • synaptic vesicular amine transporter
  • VAT2
  • VAT2MGC26538
  • vesicle monoamine transporter type 2
  • vesicle monoamine/H+ antiporter
  • Vesicular amine transporter 2
  • VMAT2

Background

VMAT2 (Vesicular amine transporter 2) acts to accumulate cytosolic monoamines into synaptic vesicles. Its function is essential to the correct activity of the monoaminergic systems that have been implicated in several human neuropsychiatric disorders such as dementia with Lewy bodies. The transporter is a site of action of important drugs, including reserpine and tetrabenazine.

Limitations

This product is for research use only and is not approved for use in humans or in clinical diagnosis. Primary Antibodies are guaranteed for 1 year from date of receipt.

Customers Who Viewed This Item Also Viewed...

NBP2-22164
Species: Hu(-), Mu, Rt
Applications: ELISA, ICC/IF, IHC,  IHC-P, IP, WB
NB300-109
Species: Ch, Dr, Hu, I, Ma, Mu, Rt
Applications: Dual ISH-IHC, ICC/IF, IHC-FrFl, IHC-WhMt, IHC, IHC-Fr,  IHC-P, KO, Simple Western, WB
H00006532-D01P
Species: Hu, Mu
Applications: WB
NBP2-58895
Species: Hu
Applications: IHC,  IHC-P
NBP3-12251
Species: Hu, Mu, Rt
Applications: ELISA, ICC/IF, IHC,  IHC-P, IP, WB
NB100-91348
Species: Hu, Pm, Mu, Rt
Applications: IHC,  IHC-P, WB
NBP2-15365
Species: Hu, Mu, Rt
Applications: ICC/IF, IHC, IHC-Fr,  IHC-P, S-ELISA, WB
AF3564
Species: Hu, Mu, Rt
Applications: ICC, IHC, IP, WB
NBP2-38868
Species: Hu
Applications: ICC/IF, IHC,  IHC-P, WB
NB120-15160
Species: Hu, Mu, Rt
Applications: ICC/IF, IHC,  IHC-P, WB
212-GD
Species: Hu
Applications: Bind, BA
NBP2-15954
Species: Hu, Rt
Applications: IHC,  IHC-P, KO, WB
NBP2-62693
Species: Hu
Applications: IHC,  IHC-P
AF2156
Species: Hu, Mu
Applications: ICC, IHC, WB
NBP3-12223
Species: Hu, Pm, Rt
Applications: ELISA, ICC/IF, IHC,  IHC-P, IP, WB
NB300-653
Species: Ch, Fe, Hu, Pm, Mu, Rt
Applications: ELISA, ICC/IF, IHC, IHC-Fr,  IHC-P, IP, WB
NBP2-20857
Species: Hu, Mu, Rt
Applications: ICC/IF, IHC, IHC-Fr,  IHC-P, WB
NBP1-31386
Species: Hu, Mu, Rt
Applications: IHC,  IHC-P, WB

Publications for VMAT2 Antibody (NBP3-44389) (0)

There are no publications for VMAT2 Antibody (NBP3-44389).
By submitting your publication information earn gift cards and discounts for future purchases.

Reviews for VMAT2 Antibody (NBP3-44389) (0)

There are no reviews for VMAT2 Antibody (NBP3-44389). By submitting a review you will receive an Amazon e-Gift Card or Novus Product Discount.
  • Review with no image -- $10/€7/£6/$10 CAD/¥70 Yuan/¥1110 Yen
  • Review with an image -- $25/€18/£15/$25 CAD/¥150 Yuan/¥2500 Yen

Product General Protocols

Find general support by application which include: protocols, troubleshooting, illustrated assays, videos and webinars.

FAQs for VMAT2 Antibody (NBP3-44389) (0)

There are no specific FAQs related to this product. Read our general customer & technical service FAQs.

Secondary Antibodies

 

Isotype Controls

Additional VMAT2 Products

Research Areas for VMAT2 Antibody (NBP3-44389)

Find related products by research area.

Blogs on VMAT2

There are no specific blogs for VMAT2, but you can read our latest blog posts.

Customers Who Bought This Also Bought

Contact Information

Product PDFs

Calculators

Concentration Calculator

The concentration calculator allows you to quickly calculate the volume, mass or concentration of your vial. Simply enter your mass, volume, or concentration values for your reagent and the calculator will determine the rest.

=
÷

Review this Product

Be the first to review our VMAT2 Antibody (CL12531) - Azide and BSA Free and receive a gift card or discount.

Bioinformatics

Gene Symbol SLC18A2