Vinexin Antibody - BSA Free

Images

 
Immunocytochemistry/ Immunofluorescence: Vinexin Antibody [NBP2-20861] - Sample: HepG2 cells were fixed in 4% paraformaldehyde at RT for 15 min. Green: SORBS3 protein stained by Vinexin antibody, Internal diluted at ...read more
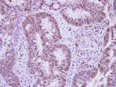
Immunohistochemistry-Paraffin: Vinexin Antibody [NBP2-20861] - Immunohistochemical analysis of paraffin-embedded Colon ca, using antibody at 1:250 dilution.
Various whole cell extracts (30 ug) was separated by 10% SDS-PAGE, and the membrane was blotted with Vinexin antibody [N3C2], Internal (NBP2-20861) diluted at 1:2000. The HRP-conjugated anti-rabbit IgG antibody was ...read more

Product Details

Summary
Reactivity Hu, Mu, Rt, BvSpecies Glossary
Applications WB, ICC/IF, IHC
Clonality
Polyclonal
Host
Rabbit
Conjugate
Unconjugated
Format
BSA Free

Order Details

Vinexin Antibody - BSA Free Summary

Description
Novus Biologicals Rabbit Vinexin Antibody - BSA Free (NBP2-20861) is a polyclonal antibody validated for use in IHC, WB and ICC/IF. All Novus Biologicals antibodies are covered by our 100% guarantee.
Immunogen
Recombinant protein encompassing a sequence within the center region of human Vinexin. The exact sequence is proprietary.
Localization
Isoform Alpha: Cell junction (By similarity); Cytoplasm; cytoskeleton (By similarity); Isoform Beta: Cell junction (By similarity); Nucleus
Predicted Species
Rat (92%), Bovine (94%). Backed by our 100% Guarantee.
Isotype
IgG
Clonality
Polyclonal
Host
Rabbit
Gene
SORBS3
Purity
Antigen Affinity-purified
Innovator's Reward
Test in a species/application not listed above to receive a full credit towards a future purchase.

Applications/Dilutions

Dilutions
  • Immunocytochemistry/ Immunofluorescence 1:100-1:1000
  • Immunohistochemistry 1:100-1:1000
  • Immunohistochemistry-Paraffin 1:100-1:1000
  • Western Blot 1:500-1:3000
Theoretical MW
75 kDa.
Disclaimer note: The observed molecular weight of the protein may vary from the listed predicted molecular weight due to post translational modifications, post translation cleavages, relative charges, and other experimental factors.

Packaging, Storage & Formulations

Storage
Aliquot and store at -20C or -80C. Avoid freeze-thaw cycles.
Buffer
0.1M Tris, 0.1M Glycine, 20% Glycerol
Preservative
0.01% Thimerosal
Purity
Antigen Affinity-purified

Alternate Names for Vinexin Antibody - BSA Free

  • SCAM-1SH3-containing adapter molecule 1
  • SCAM1vinexin beta (SH3-containing adaptor molecule-1)
  • SH3D4VINEXIN
  • sorbin and SH3 domain containing 3
  • Sorbin and SH3 domain-containing protein 3
  • vinexin

Background

The SORBS3 gene encodes 2 isoforms vinexin-alpha and -beta that are vinculin (VCL; MIM 193065)-binding cytoskeletal proteins involved in focal adhesion and cell-cell adhesion (Kioka et al., 1999 [PubMed 9885244]).[supplied by OMIM]

Limitations

This product is for research use only and is not approved for use in humans or in clinical diagnosis. Primary Antibodies are guaranteed for 1 year from date of receipt.

Customers Who Viewed This Item Also Viewed...

AF1230
Species: Hu, Mu, Rt
Applications: IHC, KO, WB
MAB6896
Species: Hu, Mu, Rt
Applications: IHC, Simple Western, WB
AF467
Species: Hu, Mu
Applications: CyTOF-ready, Flow, ICC, IHC, Simple Western, WB
H00008470-B01P
Species: Hu, Mu
Applications: ICC/IF, WB
NBP1-86641
Species: Hu
Applications: ICC/IF, IHC,  IHC-P, KD, WB
NBP2-22203
Species: Hu, Pm, Mu, Rt
Applications: ELISA, Flow, ICC/IF, IHC,  IHC-P, WB
NBP2-14871
Species: Mu, Rt
Applications: ICC/IF, WB
NB120-2860
Species: Ba, Bv, Ch, Hu, Mu, Rt
Applications: ELISA, Flow, ICC/IF, IHC,  IHC-P, WB
NBP2-15669
Species: Mu, Rt, Ze
Applications: IHC-WhMt, IHC, WB
AF2685
Species: Hu
Applications: IHC, Simple Western, WB
236-EG
Species: Hu
Applications: BA
NBP1-28739
Species: Hu
Applications: IP, WB
NBP1-45223
Species: Ca, Hu, Mu
Applications: IHC,  IHC-P, PEP-ELISA
NBP1-86644
Species: Hu
Applications: ICC/IF, IHC,  IHC-P, WB
NBP2-76393
Species: Hu, Mu
Applications: CHIP-SEQ, Flow, ICC/IF, IHC,  IHC-P, IP, WB
AF6386
Species: Hu
Applications: IP, WB
NBL1-14964
Species: Hu
Applications: WB
NBP2-20861
Species: Hu, Mu, Rt, Bv
Applications: WB, ICC/IF, IHC
⚠ WARNING: This product can expose you to chemicals including mercury, which is known to the State of California to cause reproductive toxicity with developmental effects.  For more information go to www.P65Warnings.ca.gov.

Publications for Vinexin Antibody (NBP2-20861) (0)

There are no publications for Vinexin Antibody (NBP2-20861).
By submitting your publication information earn gift cards and discounts for future purchases.

Reviews for Vinexin Antibody (NBP2-20861) (0)

There are no reviews for Vinexin Antibody (NBP2-20861). By submitting a review you will receive an Amazon e-Gift Card or Novus Product Discount.
  • Review with no image -- $10/€7/£6/$10 CAD/¥70 Yuan/¥1110 Yen
  • Review with an image -- $25/€18/£15/$25 CAD/¥150 Yuan/¥2500 Yen

Product General Protocols

Find general support by application which include: protocols, troubleshooting, illustrated assays, videos and webinars.

Video Protocols

WB Video Protocol
ICC/IF Video Protocol

FAQs for Vinexin Antibody (NBP2-20861) (0)

There are no specific FAQs related to this product. Read our general customer & technical service FAQs.

Secondary Antibodies

 

Isotype Controls

Additional Vinexin Products

Research Areas for Vinexin Antibody (NBP2-20861)

Find related products by research area.

Blogs on Vinexin

There are no specific blogs for Vinexin, but you can read our latest blog posts.

Customers Who Bought This Also Bought

Contact Information

Product PDFs

Calculators

Concentration Calculator

The concentration calculator allows you to quickly calculate the volume, mass or concentration of your vial. Simply enter your mass, volume, or concentration values for your reagent and the calculator will determine the rest.

=
÷

Review this Product

Be the first to review our Vinexin Antibody - BSA Free and receive a gift card or discount.

Bioinformatics

Gene Symbol SORBS3
Uniprot