USP10 Antibody (JU32-62)

Images

 
Western Blot: USP10 Antibody (JU32-62) [NBP2-75698] - Analysis of USP10 on SiHa (1) and A549 (2) cell lysate using anti-USP10 antibody at 1/500 dilution.
Immunocytochemistry/ Immunofluorescence: USP10 Antibody (JU32-62) [NBP2-75698] - Staining USP10 in MCF-7 cells (green). The nuclear counter stain is DAPI (blue). Cells were fixed in paraformaldehyde, permeabilised with ...read more
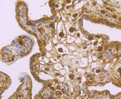
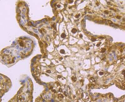
Immunohistochemistry-Paraffin: USP10 Antibody (JU32-62) [NBP2-75698] - Analysis of paraffin-embedded human placenta tissue using anti-USP10 antibody. Counter stained with hematoxylin.
Immunocytochemistry/ Immunofluorescence: USP10 Antibody (JU32-62) [NBP2-75698] - Staining USP10 in Hela cells (green). The nuclear counter stain is DAPI (blue). Cells were fixed in paraformaldehyde, permeabilised with ...read more
Immunocytochemistry/ Immunofluorescence: USP10 Antibody (JU32-62) [NBP2-75698] - Staining USP10 in LOVO cells (green). The nuclear counter stain is DAPI (blue). Cells were fixed in paraformaldehyde, permeabilised with ...read more
Immunohistochemistry-Paraffin: USP10 Antibody (JU32-62) [NBP2-75698] - Analysis of paraffin-embedded human liver tissue using anti-USP10 antibody. Counter stained with hematoxylin.
Immunohistochemistry-Paraffin: USP10 Antibody (JU32-62) [NBP2-75698] - Analysis of paraffin-embedded human thyroid grand tissue using anti-USP10 antibody. Counter stained with hematoxylin.
Immunohistochemistry-Paraffin: USP10 Antibody (JU32-62) [NBP2-75698] - Analysis of paraffin-embedded human colon cancer tissue using anti-USP10 antibody. Counter stained with hematoxylin.
Immunohistochemistry-Paraffin: USP10 Antibody (JU32-62) [NBP2-75698] - Analysis of paraffin-embedded human spleen tissue using anti-USP10 antibody. Counter stained with hematoxylin.

Product Details

Summary
Product Discontinued
View other related USP10 Primary Antibodies

Order Details


    • Catalog Number
      NBP2-75698
    • Availability
      Product Discontinued

    Can't find what you are looking for? Use our Antibody Concierge Service & we will help you locate your antibody!

    Or feel free to contact us for alternative products.

USP10 Antibody (JU32-62) Summary

Additional Information
Recombinant Monoclonal Antibody.
Immunogen
Synthetic peptide within Human USP10 aa 28-77 / 798. (SwissProt: Q14694 Human)
Localization
Cytoplasm. Nucleus.
Isotype
IgG
Clonality
Monoclonal
Host
Rabbit
Gene
USP10
Purity
Protein A purified
Innovator's Reward
Test in a species/application not listed above to receive a full credit towards a future purchase.

Applications/Dilutions

Dilutions
  • Immunocytochemistry/ Immunofluorescence 1:50-1:200
  • Immunohistochemistry
  • Immunohistochemistry-Paraffin 1:50-1:200
  • Immunoprecipitation
  • Western Blot 1:500-1:2000
Theoretical MW
110 kDa.
Disclaimer note: The observed molecular weight of the protein may vary from the listed predicted molecular weight due to post translational modifications, post translation cleavages, relative charges, and other experimental factors.

Packaging, Storage & Formulations

Storage
Store at 4C short term. Aliquot and store at -20C long term. Avoid freeze-thaw cycles.
Buffer
TBS (pH7.4), 0.05% BSA, 40% Glycerol
Preservative
0.05% Sodium Azide
Concentration
1 mg/ml
Purity
Protein A purified

Alternate Names for USP10 Antibody (JU32-62)

  • Deubiquitinating enzyme 10
  • EC 3.4.19.12
  • KIAA0190MGC2621
  • ubiquitin carboxyl-terminal hydrolase 10
  • ubiquitin specific peptidase 10
  • ubiquitin specific protease 10
  • ubiquitin thioesterase 10
  • Ubiquitin Thiolesterase 10
  • Ubiquitin-specific-processing protease 10
  • UBPO
  • Uchrp
  • USP10

Background

Ubiquitin is a highly conserved protein that is covalently linked to other proteins to regulate their function and degradation. This gene encodes a member of the ubiquitin-specific protease family of cysteine proteases. The enzyme specifically cleaves ubiquitin from ubiquitin-conjugated protein substrates. The protein is found in the nucleus and cytoplasm. It functions as a co-factor of the DNA-bound androgen receptor complex, and is inhibited by a protein in the Ras-GTPase pathway. The human genome contains several pseudogenes similar to this gene.

Limitations

This product is for research use only and is not approved for use in humans or in clinical diagnosis. Primary Antibodies are guaranteed for 1 year from date of receipt.

Customers Who Viewed This Item Also Viewed...

NBP1-86037
Species: Hu
Applications: ICC/IF, IHC,  IHC-P, WB
NB200-103
Species: Hu, Mu, Rt, Xp(-), Ye
Applications: CyTOF-ready, ELISA, Flow-IC, Flow, ICC/IF, IHC, IHC-Fr,  IHC-P, IP, WB
H00010146-M01
Species: Hu, Pm, Mu, Rt
Applications: ELISA, ICC/IF, IHC,  IHC-P, KD, WB
NBP3-25721
Species: Ca, Fe, Hu, Mu, Rt
Applications: ICC/IF, IHC,  IHC-P, WB
NB100-56603
Species: Ca, Hu, Mu, Pm, Rt
Applications: IHC,  IHC-P, WB
AF1244
Species: Hu, Mu, Rt
Applications: IHC, WB
NB600-302
Species: Bv, Dr, Hu, Mu
Applications: ChIP, ELISA, Flow-IC, Flow, IB, ICC/IF, IHC, IHC-Fr,  IHC-P, IP, PLA, S-ELISA, Simple Western, WB
NBP1-88195
Species: Hu
Applications: ICC/IF, IHC,  IHC-P, WB
NBP2-38530
Species: Hu
Applications: ICC/IF, IHC,  IHC-P, WB
NB120-6125
Species: Bv, Ca, Dr(-), Hu, Mu(-), Pm, Xp
Applications: CyTOF-ready, ELISA, Flow, ICC/IF, IP, MiAr, WB
NBP2-46132
Species: Hu, Mu, Rt
Applications: IHC,  IHC-P, WB
NBP1-22439
Species: Ha, Hu, Mu, Rb, Rt
Applications: ICC/IF, IHC,  IHC-P, IP, MiAr, WB
NB500-201
Species: Ca, Fe, Gp, Ha, Hu, Mu, Rt
Applications: ChIP, Dual ISH-IHC, ELISA, Flow, ICC/IF, IHC, IHC-Fr,  IHC-P, IP, KD, Simple Western, WB
NBP1-86588
Species: Hu, Mu, Rt
Applications: ICC/IF, IHC,  IHC-P, WB
NB500-201
Species: Ca, Fe, Gp, Ha, Hu, Mu, Rt
Applications: ChIP, Dual ISH-IHC, ELISA, Flow, ICC/IF, IHC, IHC-Fr,  IHC-P, IP, KD, Simple Western, WB
H00007337-M01
Species: Hu, Mu, Rt
Applications: ELISA, ICC/IF, IHC, IHC-Fr,  IHC-P, KD, WB
262-AR
Species: Hu
Applications: BA
NBP2-21037
Species: Hu
Applications: IHC,  IHC-P, WB
NBP2-75698
Species: Hu
Applications: WB, ICC/IF, IHC, IP

Publications for USP10 Antibody (NBP2-75698) (0)

There are no publications for USP10 Antibody (NBP2-75698).
By submitting your publication information earn gift cards and discounts for future purchases.

Reviews for USP10 Antibody (NBP2-75698) (0)

There are no reviews for USP10 Antibody (NBP2-75698). By submitting a review you will receive an Amazon e-Gift Card or Novus Product Discount.
  • Review with no image -- $10/€7/£6/$10 CAD/¥70 Yuan/¥1110 Yen
  • Review with an image -- $25/€18/£15/$25 CAD/¥150 Yuan/¥2500 Yen

Product General Protocols

Find general support by application which include: protocols, troubleshooting, illustrated assays, videos and webinars.

Video Protocols

WB Video Protocol
ICC/IF Video Protocol

FAQs for USP10 Antibody (NBP2-75698) (0)

There are no specific FAQs related to this product. Read our general customer & technical service FAQs.

Secondary Antibodies

 

Isotype Controls

Additional USP10 Products

Research Areas for USP10 Antibody (NBP2-75698)

Find related products by research area.

Blogs on USP10.

Beclin 1: Regulator of Autophagy and Apoptosis
Beclin 1 is the mammalian orthologue of the yeast Apg6/Vps30 gene. Beclin 1 can complement the defect in autophagy present in apg6 yeast strains and stimulate autophagy when overexpressed in mammalian cells (1) and can bind to Bcl2, an important regul...  Read full blog post.

Contact Information

Product PDFs

Calculators

Concentration Calculator

The concentration calculator allows you to quickly calculate the volume, mass or concentration of your vial. Simply enter your mass, volume, or concentration values for your reagent and the calculator will determine the rest.

=
÷

Review this Product

Be the first to review our USP10 Antibody (JU32-62) and receive a gift card or discount.

Bioinformatics

Gene Symbol USP10