URB1 Antibody - BSA Free

Images

 
Immunocytochemistry/ Immunofluorescence: URB1 Antibody [NBP1-88288] - Staining of human cell line A-431 shows localization to nucleoli fibrillar center. Antibody staining is shown in green.
Staining of human endometrium shows strong positivity in nucleoli and nucleus in glandular cells.
Staining of human duodenum shows strong nuclear positivity in glandular cells.
Staining of human skin shows strong positivity in nucleoli and nucleus in squamous epithelial cells.
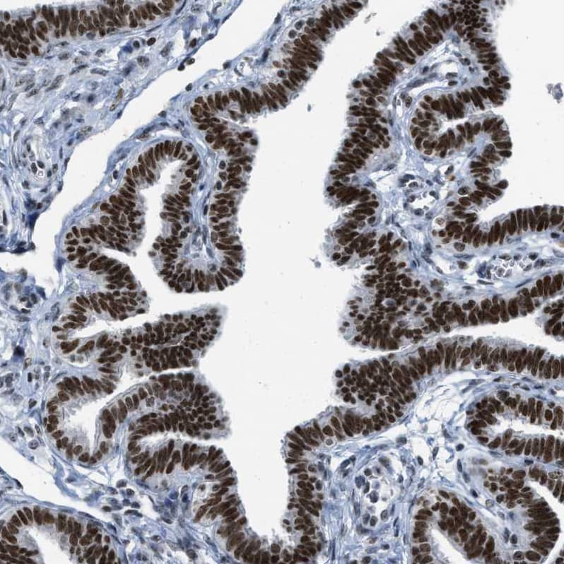
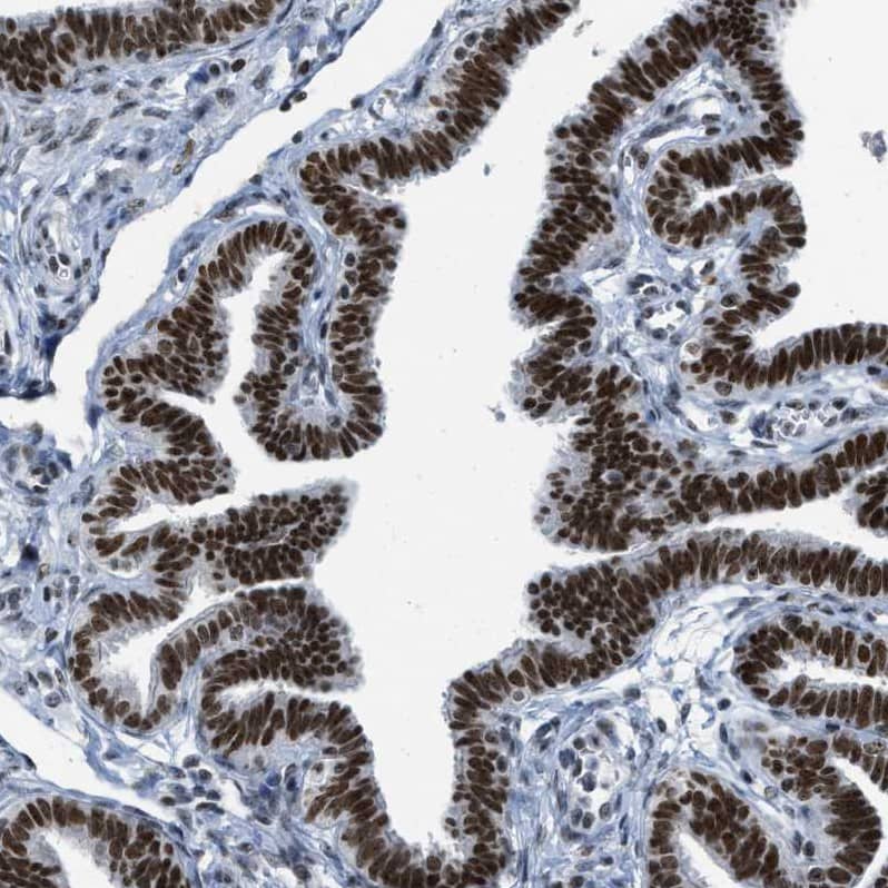
Staining of human fallopian tube shows nuclear positivity in glandular cells.

Product Details

Summary
Reactivity HuSpecies Glossary
Applications ICC/IF, IHC
Clonality
Polyclonal
Host
Rabbit
Conjugate
Unconjugated
Format
BSA Free

Order Details

View Available Formulations
Catalog# & Formulation Size Price

URB1 Antibody - BSA Free Summary

Description
Novus Biologicals Rabbit URB1 Antibody - BSA Free (NBP1-88288) is a polyclonal antibody validated for use in IHC and ICC/IF. All Novus Biologicals antibodies are covered by our 100% guarantee.
Immunogen
This antibody was developed against Recombinant Protein corresponding to amino acids: VEHHKTCRSLGRSLWQQPSVGDILRLLDRDRMMQTILHFPQNRRLLPPEDTQELIFKDKSRVDLDGLYDPCFLLQLFSELTRPEFVVDCRKFLDSNALGLTVTALSSYDP
Isotype
IgG
Clonality
Polyclonal
Host
Rabbit
Gene
URB1
Purity
Immunogen affinity purified
Innovator's Reward
Test in a species/application not listed above to receive a full credit towards a future purchase.

Applications/Dilutions

Dilutions
  • Immunocytochemistry/ Immunofluorescence 0.25-2 ug/ml
  • Immunohistochemistry 1:50 - 1:200
  • Immunohistochemistry-Paraffin 1:50 - 1:200
Application Notes
For IHC-Paraffin, HIER pH 6 retrieval is recommended. ICC/IF Fixation Permeabilization: Use PFA/Triton X-100.
Control Peptide
URB1 Protein (NBP1-88288PEP)

Reactivity Notes

Immunogen displays the following percentage of sequence identity for non-tested species: Mouse (88%), Rat (87%)

Packaging, Storage & Formulations

Storage
Store at 4C short term. Aliquot and store at -20C long term. Avoid freeze-thaw cycles.
Buffer
PBS (pH 7.2) and 40% Glycerol
Preservative
0.02% Sodium Azide
Purity
Immunogen affinity purified

Alternate Names for URB1 Antibody - BSA Free

  • C21orf108
  • chromosome 21 open reading frame 108
  • KIAA0539nucleolar pre-ribosomal-associated protein 1
  • NPA1nucleolar preribosomal-associated protein 1
  • URB1 ribosome biogenesis 1 homolog (S. cerevisiae)
  • URB1 ribosome biogenesis 1 homolog

Limitations

This product is for research use only and is not approved for use in humans or in clinical diagnosis. Primary Antibodies are guaranteed for 1 year from date of receipt.

Customers Who Viewed This Item Also Viewed...

NBP2-92773
Species: Hu, Mu, Rt
Applications: IHC,  IHC-P, WB
NBP1-46853
Species: Hu, Mu
Applications: ICC/IF, IHC,  IHC-P, WB
NBP1-88706
Species: Hu
Applications: ICC/IF, IHC,  IHC-P, WB
NBP2-45861
Species: Hu, Mu, Rt
Applications: Flow, ICC/IF, IHC,  IHC-P, WB
H00004218-M02
Species: Hu, Mu, Ze
Applications: ELISA, ICC/IF, IHC, WB
NB600-1397
Species: Bv, Ca, Hu, Pm, Mu, Rb
Applications: CyTOF-ready, Flow-IC, Flow, ICC/IF, IHC,  IHC-P, IP, MiAr, WB
NB600-749
Species: Hu
Applications: ELISA, ICC/IF, IHC, IHC-Fr,  IHC-P, WB
DTFF30
Species: Hu
Applications: ELISA
NBP1-93655
Species: Hu
Applications: ICC/IF, IHC,  IHC-P
AF1936
Species: Hu
Applications: IP, WB
NBP2-36776
Species: Hu
Applications: ICC/IF, IHC,  IHC-P, KD, WB
NBP1-51635
Species: Hu
Applications: ELISA, ICC/IF, WB
H00051428-M01
Species: Hu, Mu
Applications: ELISA, ICC/IF, WB
NBP1-88288
Species: Hu
Applications: ICC/IF, IHC

Publications for URB1 Antibody (NBP1-88288) (0)

There are no publications for URB1 Antibody (NBP1-88288).
By submitting your publication information earn gift cards and discounts for future purchases.

Reviews for URB1 Antibody (NBP1-88288) (0)

There are no reviews for URB1 Antibody (NBP1-88288). By submitting a review you will receive an Amazon e-Gift Card or Novus Product Discount.
  • Review with no image -- $10/€7/£6/$10 CAD/¥70 Yuan/¥1110 Yen
  • Review with an image -- $25/€18/£15/$25 CAD/¥150 Yuan/¥2500 Yen

Product General Protocols

Find general support by application which include: protocols, troubleshooting, illustrated assays, videos and webinars.

Video Protocols

ICC/IF Video Protocol

FAQs for URB1 Antibody (NBP1-88288) (0)

There are no specific FAQs related to this product. Read our general customer & technical service FAQs.

Customers Who Bought This Also Bought

Contact Information

Product PDFs

Calculators

Concentration Calculator

The concentration calculator allows you to quickly calculate the volume, mass or concentration of your vial. Simply enter your mass, volume, or concentration values for your reagent and the calculator will determine the rest.

=
÷

Review this Product

Be the first to review our URB1 Antibody - BSA Free and receive a gift card or discount.

Bioinformatics

Gene Symbol URB1