ULBP-1 Antibody

Images

 
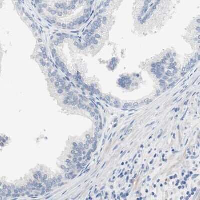
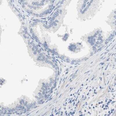
Orthogonal Strategies: Immunohistochemistry-Paraffin: ULBP-1 Antibody [NBP1-80856] - Staining in human testis and prostate tissues using anti-ULBP1 antibody. Corresponding ULBP1 RNA-seq data are presented for the ...read more
Immunohistochemistry-Paraffin: ULBP-1 Antibody [NBP1-80856] - Staining of human testis shows high expression.
Immunohistochemistry-Paraffin: ULBP-1 Antibody [NBP1-80856] - Staining of human prostate shows low expression as expected.

Product Details

Summary
Product Discontinued
View other related ULBP-1 Primary Antibodies
Validated by:
       

Orthogonal Strategies

 

Order Details


    • Catalog Number
      NBP1-80856
    • Availability
      Product Discontinued

    Can't find what you are looking for? Use our Antibody Concierge Service & we will help you locate your antibody!

    Or feel free to contact us for alternative products.

ULBP-1 Antibody Summary

Immunogen
This antibody was developed against Recombinant Protein corresponding to amino acids: THCLCYDFIITPKSRPEPQWCEVQGLVDERPFLHYDCVNHKAKAFASLGKKVNVTKTWEEQTETLRDVVDFLKGQLLDIQVENLIPIEPLTLQARMS
Isotype
IgG
Clonality
Polyclonal
Host
Rabbit
Gene
ULBP1
Purity
Immunogen affinity purified
Innovator's Reward
Test in a species/application not listed above to receive a full credit towards a future purchase.

Applications/Dilutions

Dilutions
  • Immunohistochemistry 1:50 - 1:200
  • Immunohistochemistry-Paraffin 1:50 - 1:200
Application Notes
IHC reported in scientific literature (PMID: 25854581). For IHC-Paraffin, HIER pH 6 retrieval is recommended.
Publications
Read Publications using
NBP1-80856 in the following applications:

Reactivity Notes

Human reactivity reported in scientific literature (PMID: 25510288).

Packaging, Storage & Formulations

Storage
Store at 4C short term. Aliquot and store at -20C long term. Avoid freeze-thaw cycles.
Buffer
PBS (pH 7.2) and 40% Glycerol
Preservative
0.02% Sodium Azide
Purity
Immunogen affinity purified

Alternate Names for ULBP-1 Antibody

  • ALCAN-beta
  • MULT-1
  • N2DL1
  • N2DL-1
  • NKG2D ligand 1
  • NKG2DL
  • NKG2DL1
  • RAET1I
  • RAET1Ialcan-beta
  • Retinoic acid early transcript 1I
  • UL16 binding protein 1
  • UL16-binding protein 1
  • ULBP1
  • ULBP-1

Background

Ligand for the NKG2D receptor, together with at least ULBP2 and ULBP3. ULBPs activate multiple signalingpathways in primary NK cells, resulting in the production of cytokines and chemokines. Binding of ULBPs ligands toNKG2D induces calcium mobilization and activation of the JAK2, STAT5, ERK and PI3K kinase/Akt signal transductionpathway. In CMV infected cells, interacts with soluble CMV glycoprotein UL16. The interaction with UL16 blocked theinteraction with the NKG2D receptor, providing a mechanism by which CMV infected cells might escape the immune system.UL16 also causes ULBP1 to be retained in the ER and cis-Golgi apparatus so that it does not reach the cell surface

Limitations

This product is for research use only and is not approved for use in humans or in clinical diagnosis. Primary Antibodies are guaranteed for 1 year from date of receipt.

Customers Who Viewed This Item Also Viewed...

MAB139
Species: Hu
Applications: CostimT, CyTOF-ready, Flow, Neut, WB
DY1298
Species: Hu
Applications: ELISA
MAB1517
Species: Hu
Applications: Block, CyTOF-ready, Flow
MAB1599
Species: Hu
Applications: CyTOF-ready, ELISA(Cap), ELISA(Det), ELISA(Sta), Flow, KO, WB
MAB6285
Species: Hu
Applications: CyTOF-ready, Flow, IHC, WB
AF2225
Species: Mu
Applications: AgAct, CyTOF-ready, Flow, IHC, WB
247-ILB
Species: Hu
Applications: BA
1849-NK
Species: Hu
Applications: BA
7149-UL
Species: Hu
Applications: BA
NBP1-49045
Species: Mu, Rt
Applications: Cell Depl, CyTOF-ready, Flow, ICC/IF, IHC, IHC-Fr,  IHC-P, IP, InhibTFunc
NBP2-24653
Species: Hu, Mu, Rt
Applications: IHC,  IHC-P, WB
485-MI
Species: Mu
Applications: BA
NBP2-02541
Species: Hu, Pm, Mu, Pm, Rt
Applications: ICC/IF, IHC,  IHC-P, WB
MAB97861
Species: Hu
Applications: Flow, IHC,  IHC-P
NB120-6405
Species: Rt
Applications: B/N, CyTOF-ready, EM, ELISA, Flow-IC, Flow, ICC/IF, IHC, IHC-Fr,  IHC-P, IP
MAB666
Species: Hu
Applications: CyTOF-ready, Flow, Neut, WB
H00003126-P01
Species: Hu
Applications: ELISA, AP, PA, WB

Publications for ULBP-1 Antibody (NBP1-80856)(6)

We have publications tested in 1 confirmed species: Human.

We have publications tested in 2 applications: IF/IHC, IHC-P.


Filter By Application
IF/IHC
(3)
IHC-P
(1)
All Applications
Filter By Species
Human
(4)
All Species

Reviews for ULBP-1 Antibody (NBP1-80856) (0)

There are no reviews for ULBP-1 Antibody (NBP1-80856). By submitting a review you will receive an Amazon e-Gift Card or Novus Product Discount.
  • Review with no image -- $10/€7/£6/$10 CAD/¥70 Yuan/¥1110 Yen
  • Review with an image -- $25/€18/£15/$25 CAD/¥150 Yuan/¥2500 Yen

Product General Protocols

Find general support by application which include: protocols, troubleshooting, illustrated assays, videos and webinars.

FAQs for ULBP-1 Antibody (NBP1-80856). (Showing 1 - 1 of 1 FAQs).

  1. Our customer was interested in the ULBP antibodies with the Cat No. NBP1-80856 and NBP2-31866. However, it didn’t show clearly whether the NBP2-31866 was tested in IHC-P. In the datasheet, it just read immunochemistry. But there was a figure of IHC-P in the datasheet.
    • In answer to your question, NBP2-31866 was tested on paraffin-embedded tissues. I am very sorry that this was not detailed on our datasheet. I have requested that this change be made, and it should be reflected on the website in 24-48 hours.

Secondary Antibodies

 

Isotype Controls

Additional ULBP-1 Products

Research Areas for ULBP-1 Antibody (NBP1-80856)

Find related products by research area.

Blogs on ULBP-1

There are no specific blogs for ULBP-1, but you can read our latest blog posts.

Contact Information

Product PDFs

Calculators

Concentration Calculator

The concentration calculator allows you to quickly calculate the volume, mass or concentration of your vial. Simply enter your mass, volume, or concentration values for your reagent and the calculator will determine the rest.

=
÷

Review this Product

Be the first to review our ULBP-1 Antibody and receive a gift card or discount.

Bioinformatics

Gene Symbol ULBP1
Entrez
Uniprot