UBA3 Antibody

Images

 
Western Blot: UBA3 Antibody [NBP2-75926] - analysis of UBE1C on human liver tissue lysate using anti-UBE1C antibody at 1/200 dilution.
Immunocytochemistry/ Immunofluorescence: UBA3 Antibody [NBP2-75926] - staining UBE1C in SH-SY5Y cells (green). The nuclear counter stain is DAPI (blue). Cells were fixed in paraformaldehyde, permeabilised with 0.25% ...read more
Immunohistochemistry-Paraffin: UBA3 Antibody [NBP2-75926] - analysis of paraffin-embedded mouse testis tissue using anti-UBE1C antibody. Counter stained with hematoxylin
Flow Cytometry: UBA3 Antibody [NBP2-75926] - analysis of HUVEC cells with UBE1C antibody at 1/100 dilution (red) compared with an unlabelled control (cells without incubation with primary antibody; green).
Immunocytochemistry/ Immunofluorescence: UBA3 Antibody [NBP2-75926] - staining UBE1C in A431 cells (green). The nuclear counter stain is DAPI (blue). Cells were fixed in paraformaldehyde, permeabilised with 0.25% Triton ...read more
Immunocytochemistry/ Immunofluorescence: UBA3 Antibody [NBP2-75926] - staining UBE1C in HUVEC cells (green). The nuclear counter stain is DAPI (blue). Cells were fixed in paraformaldehyde, permeabilised with 0.25% ...read more
Immunohistochemistry-Paraffin: UBA3 Antibody [NBP2-75926] - analysis of paraffin-embedded rat brain tissue using anti-UBE1C antibody. Counter stained with hematoxylin.
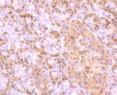
Immunohistochemistry-Paraffin: UBA3 Antibody [NBP2-75926] - analysis of paraffin-embedded human pancreas tissue using anti-UBE1C antibody. Counter stained with hematoxylin.

Product Details

Summary
Product Discontinued
View other related UBA3 Primary Antibodies

Order Details


    • Catalog Number
      NBP2-75926
    • Availability
      Product Discontinued

    Can't find what you are looking for? Use our Antibody Concierge Service & we will help you locate your antibody!

    Or feel free to contact us for alternative products.

UBA3 Antibody Summary

Immunogen
Recombinant protein within Human UBA3 aa 220-424 / 463. (SwissProt: Q8TBC4 Human; SwissProt: Q8C878 Mouse; SwissProt: Q99MI7 Rat)
Localization
Nucleus. Cytoplasm.
Isotype
IgG
Clonality
Polyclonal
Host
Rabbit
Gene
UBA3
Purity
Protein A purified
Innovator's Reward
Test in a species/application not listed above to receive a full credit towards a future purchase.

Applications/Dilutions

Dilutions
  • Flow Cytometry 1:50-1:100
  • Immunocytochemistry/ Immunofluorescence 1:50-1:200
  • Immunohistochemistry
  • Immunohistochemistry-Paraffin 1:50-1:200
  • Western Blot 1:500
Theoretical MW
52 kDa.
Disclaimer note: The observed molecular weight of the protein may vary from the listed predicted molecular weight due to post translational modifications, post translation cleavages, relative charges, and other experimental factors.

Packaging, Storage & Formulations

Storage
Store at 4C short term. Aliquot and store at -20C long term. Avoid freeze-thaw cycles.
Buffer
PBS (pH7.4), 0.2% BSA, 50% Glycerol
Preservative
0.05% Sodium Azide
Concentration
1 mg/ml
Purity
Protein A purified

Alternate Names for UBA3 Antibody

  • DKFZp566J164
  • EC 6.3.2
  • EC 6.3.2.-
  • hUBA3
  • MGC22384
  • NEDD8-activating enzyme E1 catalytic subunit
  • NEDD8-activating enzyme E1C
  • Nedd8-activating enzyme hUba3
  • UBA3
  • UBA3, ubiquitin-activating enzyme E1 homolog
  • UBE1C
  • Ubiquitin-activating enzyme 3
  • ubiquitin-activating enzyme E1C (homologous to yeast UBA3)
  • Ubiquitin-activating enzyme E1C
  • ubiquitin-like modifier activating enzyme 3
  • Ubiquitin-like modifier-activating enzyme 3
  • yeast)

Background

The modification of proteins with ubiquitin is an important cellular mechanism for targeting abnormal or short-lived proteins for degradation. Ubiquitination involves at least three classes of enzymes: ubiquitin-activating enzymes, or E1s, ubiquitin-conjugating enzymes, or E2s, and ubiquitin-protein ligases, or E3s. This gene encodes a member of the E1 ubiquitin-activating enzyme family. The encoded enzyme associates with AppBp1, an amyloid beta precursor protein binding protein, to form a heterodimer, and then the enzyme complex activates NEDD8, a ubiquitin-like protein, which regulates cell division, signaling and embryogenesis. Multiple alternatively spliced transcript variants encoding distinct isoforms have been found for this gene.

Limitations

This product is for research use only and is not approved for use in humans or in clinical diagnosis. Primary Antibodies are guaranteed for 1 year from date of receipt.

Customers Who Viewed This Item Also Viewed...

UL-812
Species: Hu, Mu, Rt
Applications: EnzAct
NBP1-92162
Species: Hu, Mu, Rt
Applications: IHC,  IHC-P, WB
E2-656
Species: Hu, Mu, Rt
Applications: EnzAct
NBP3-16092
Species: Hu, Mu, Rt
Applications: ELISA, ICC/IF, IHC,  IHC-P, WB
AF9024
Species: Mu, Rt
Applications: IHC, WB
NBP2-54301
Species: Hu, Mu, Rt
Applications: CyTOF-ready, ELISA, IHC,  IHC-P, WB
NBP2-13961
Species: Hu
Applications: ICC/IF, IHC,  IHC-P, WB
H00143384-P01
Species: Hu
Applications: ELISA, AP, PA, PAGE, WB
NBP1-89522
Species: Hu, Mu, Rt
Applications: ICC/IF, IHC,  IHC-P, WB
E-305
Species: Hu
Applications: EnzAct
NBP2-03688
Species: Ca, Hu, Pm, Mu, Pm, Rt
Applications: ICC/IF, IHC,  IHC-P, WB
NBP1-31302
Species: Hu, Mu, Rt
Applications: ICC/IF, IHC,  IHC-P, KO, WB
NBP1-89150
Species: Hu
Applications: IHC,  IHC-P, WB
H00011026-M01
Species: Hu
Applications: ELISA, WB
NBP2-13075
Species: Ba, Hu, Pm, Mu, Rt
Applications: DB, ELISA, IB, ICC/IF, IHC-FrFl, IHC, IHC-Fr,  IHC-P, IP, WB
NB100-74510
Species: Hu, Mu, Pm, Rt
Applications: ELISA, ICC/IF, IHC,  IHC-P, IP, WB
255-SC
Species: Hu
Applications: BA
NBP1-89917
Species: Hu
Applications: ICC/IF, IHC,  IHC-P, WB

Publications for UBA3 Antibody (NBP2-75926) (0)

There are no publications for UBA3 Antibody (NBP2-75926).
By submitting your publication information earn gift cards and discounts for future purchases.

Reviews for UBA3 Antibody (NBP2-75926) (0)

There are no reviews for UBA3 Antibody (NBP2-75926). By submitting a review you will receive an Amazon e-Gift Card or Novus Product Discount.
  • Review with no image -- $10/€7/£6/$10 CAD/¥70 Yuan/¥1110 Yen
  • Review with an image -- $25/€18/£15/$25 CAD/¥150 Yuan/¥2500 Yen

Product General Protocols

Find general support by application which include: protocols, troubleshooting, illustrated assays, videos and webinars.

Video Protocols

WB Video Protocol
ICC/IF Video Protocol

FAQs for UBA3 Antibody (NBP2-75926) (0)

There are no specific FAQs related to this product. Read our general customer & technical service FAQs.

Secondary Antibodies

 

Isotype Controls

Additional UBA3 Products

Research Areas for UBA3 Antibody (NBP2-75926)

Find related products by research area.

Blogs on UBA3

There are no specific blogs for UBA3, but you can read our latest blog posts.

Contact Information

Product PDFs

Calculators

Concentration Calculator

The concentration calculator allows you to quickly calculate the volume, mass or concentration of your vial. Simply enter your mass, volume, or concentration values for your reagent and the calculator will determine the rest.

=
÷

Review this Product

Be the first to review our UBA3 Antibody and receive a gift card or discount.

Bioinformatics

Gene Symbol UBA3