TTF-1 / NKX2-1 Antibody (CL14523) - Azide and BSA Free

Images

 
Orthogonal Strategies: Analysis in human thyroid gland and skeletal muscle tissues using NBP3-44302 antibody. Corresponding TTF-1 / NKX2-1 RNA-seq data are presented for the same tissues.
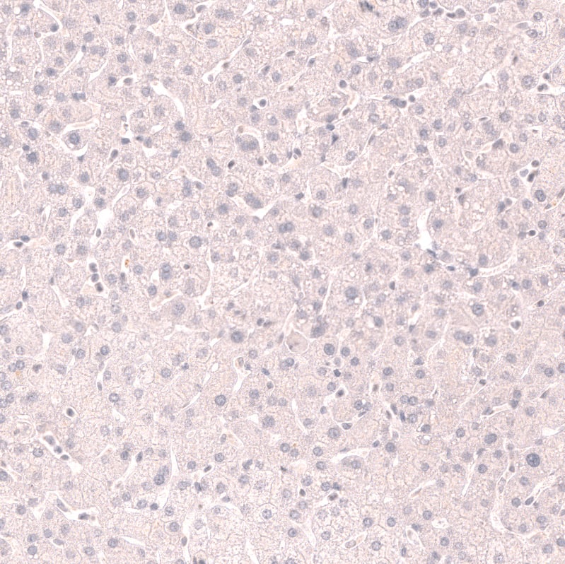
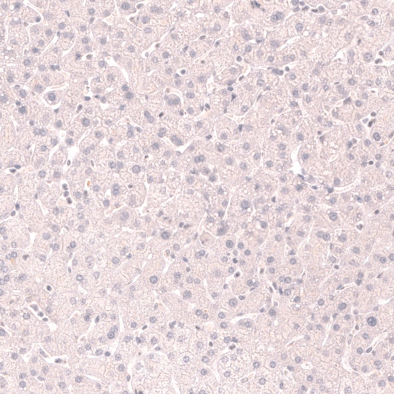
Staining of human liver shows no positivity in hepatocytes as expected.
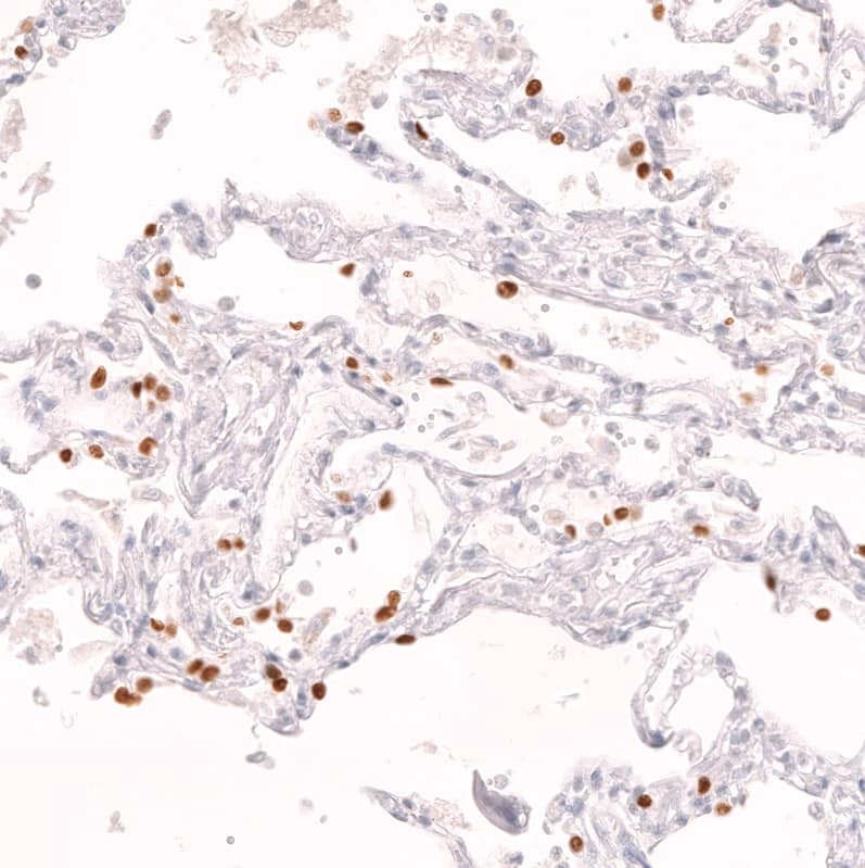
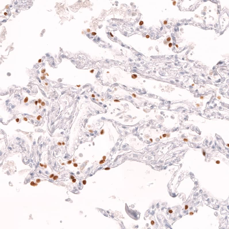
Staining of human lung shows strong nuclear positivity in a subset of pneumocytes.
Staining of human skeletal muscle shows no positivity in myocytes as expected.
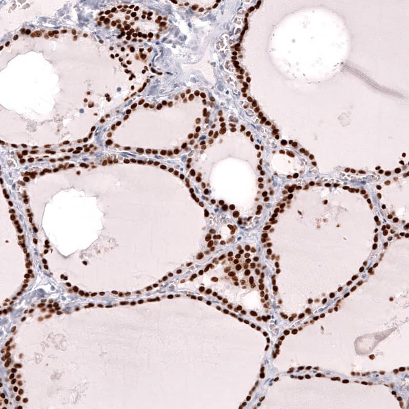
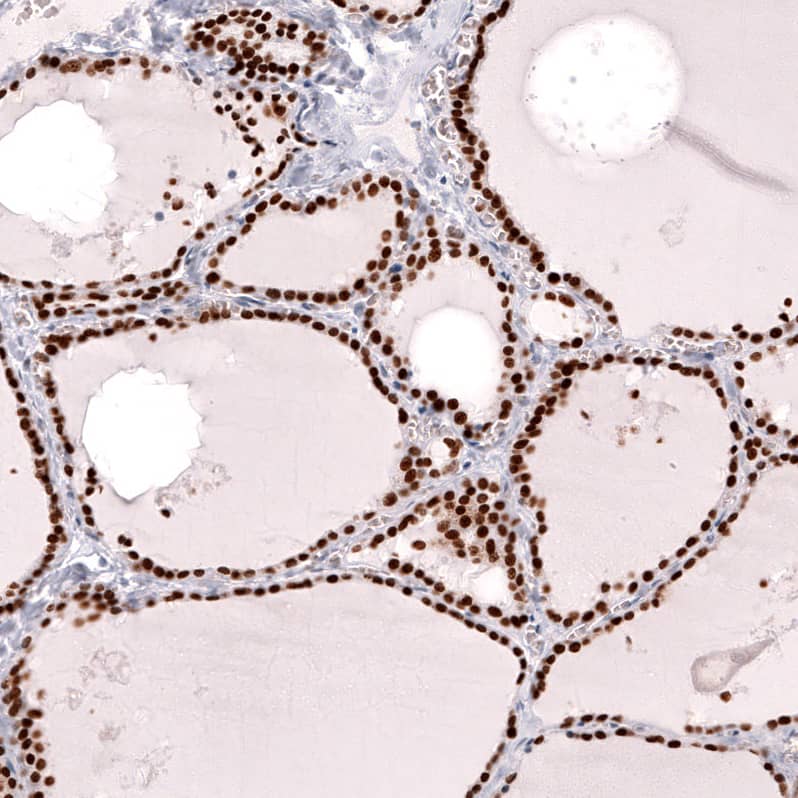
Staining of human thyroid gland shows strong nuclear positivity in glandular cells.
Analysis in human cell line SCLC-21H.

Product Details

Summary
Reactivity HuSpecies Glossary
Applications WB, IHC
Clone
CL14523
Clonality
Monoclonal
Host
Mouse
Conjugate
Unconjugated
Format
Azide and BSA Free
Concentration
LYOPH
Validated by:
       

Orthogonal Strategies

 

Order Details

TTF-1 / NKX2-1 Antibody (CL14523) - Azide and BSA Free Summary

Description
Novus Biologicals Mouse TTF-1/ NKX2-1 Antibody (CL14523) - Azide and BSA Free (NBP3-26860) is a monoclonal antibody validated for use in IHC and WB. All Novus Biologicals antibodies are covered by our 100% guarantee.
Immunogen
This antibody was generated using a synthetic peptide of P43699, with the exact immunogen sequence remaining proprietary.
Isotype
IgG2a
Clonality
Monoclonal
Host
Mouse
Gene
NKX2-1
Purity
Protein A purified
Innovator's Reward
Test in a species/application not listed above to receive a full credit towards a future purchase.

Applications/Dilutions

Dilutions
  • Immunohistochemistry-Paraffin 1:1000 - 1:2500
  • Western Blot 1 ug/ml
Application Notes
For IHC-Paraffin, HIER pH 6 retrieval is recommended.

Packaging, Storage & Formulations

Storage
Store at 4C short term. Aliquot and store at -20C long term. Avoid freeze-thaw cycles.
Buffer
Lyophilized from a 0.2 um filtered solution in PBS with Trehalose
Preservative
No Preservative
Concentration
LYOPH
Purity
Protein A purified
Reconstitution Instructions
Centrifuge the vial of lyophilized antibody at 12,000 x g for 20 seconds. Reconstitute by adding sterile, distilled water to achieve a final antibody concentration of 1mg/ml.

Alternate Names for TTF-1 / NKX2-1 Antibody (CL14523) - Azide and BSA Free

  • BCH
  • benign chorea
  • BHC
  • Homeobox protein NK-2 homolog A
  • homeobox protein Nkx-2.1
  • NK2 homeobox 1
  • NK-2 homolog A
  • NKX2.1
  • NKX2-1
  • NKX2A
  • NKX2ANKX2.1
  • T/EBP
  • Thyroid nuclear factor 1
  • Thyroid transcription factor 1BHC
  • TITF1
  • TITF1TEBP
  • TTF1
  • TTF-1
  • TTF1BCH
  • TTF-1NK-2

Background

The thyroid transcription factor 1 (TTF-1) is a homeodomain-containing transcription factor that activates the transcriptional activity of thyroid-specific gene promoters by binding to them. Hence, TTF-1 is crucial in the maintenance of the thyroid differentiation phenotype (1). Thyroid dysgenesis (TD) is responsible for most cases of congenital hypothyroidism, a condition that affects about one in 4000 newborns. Mutations in PAX8, TTF1, or FOXE1 may account for congenital hypothyroidism in patients with either isolated TD or TD with associated malformations involving kidney, lung, forebrain, and palate (2). In addition to its presence in thyroid gland epithelium, the human TTF-1 protein was detected by immunohistochemistry in human fetal lung as early as 11 weeks of gestation, being localized in the nuclei of epithelial cells of the developing airways. After birth, TTF-1 was selectively expressed in Type II epithelial cells in the alveoli and in subsets of bronchiolar epithelial cells in the conducting regions of the lung (3).

Limitations

This product is for research use only and is not approved for use in humans or in clinical diagnosis. Primary Antibodies are guaranteed for 1 year from date of receipt.

Customers Who Viewed This Item Also Viewed...

NBP2-34294
Species: Hu, Mu, Rt
Applications: Flow, IHC,  IHC-P
NBP2-67309
Species: Hu, Rt
Applications: Flow, ICC/IF, IHC,  IHC-P, IP, WB
MAB4375
Species: Hu, Mu, Rt
Applications: IHC
NBP2-47940
Species: Hu
Applications: CyTOF-ready, Flow, ICC/IF, IF, IHC,  IHC-P, Simple Western, WB
H00006439-P01
Species: Hu
Applications: ELISA, AP, PA, WB
NBP1-80670
Species: Hu
Applications: IHC,  IHC-P, WB
NBP1-32440
Species: Ca, Hu, Mu, Rt
Applications: ChIP, ICC/IF, IHC,  IHC-P, IP, Simple Western, Single-Cell Western, WB
NBP1-87201
Species: Hu
Applications: IHC,  IHC-P, WB
AF7355
Species: Hu
Applications: ICC, Simple Western, WB
AF1916
Species: Hu
Applications: ICC, IHC, WB
AF231
Species: Hu
Applications: CyTOF-ready, Dual ISH-IHC, ELISA(Cap), ELISA(Det), ELISA(Sta), Flow, ICC, IHC, IP, Simple Western, WB
MAB4218
Species: Hu
Applications: IHC, WB
MAB4077
Species: Hu
Applications: IHC, WB
NB100-1271
Species: Hu
Applications: IHC,  IHC-P, PEP-ELISA
NBP1-19788
Species: Hu, Mu, Rt
Applications: ICC/IF, IHC,  IHC-P
NB100-355
Species: Bv, Ca, Ch, Hu, Mu, Po, Pm, Rt, Xp
Applications: CyTOF-ready, Flow, ICC/IF, IF, IHC, IHC-Fr,  IHC-P, IP, In vivo, KO, Simple Western, WB
NBP1-18885
Species: Hu
Applications: ICC/IF, IHC,  IHC-P, IP, KO, WB
MAB6534
Species: Hu
Applications: ELISA, WB
NB300-653
Species: Ch, Fe, Hu, Pm, Mu, Rt
Applications: ELISA, ICC/IF, IHC, IHC-Fr,  IHC-P, IP, WB
NBP2-45677
Species: Hu, Pm
Applications: IHC,  IHC-P, WB

Publications for TTF-1 / NKX2-1 Antibody (NBP3-44302) (0)

There are no publications for TTF-1 / NKX2-1 Antibody (NBP3-44302).
By submitting your publication information earn gift cards and discounts for future purchases.

Reviews for TTF-1 / NKX2-1 Antibody (NBP3-44302) (0)

There are no reviews for TTF-1 / NKX2-1 Antibody (NBP3-44302). By submitting a review you will receive an Amazon e-Gift Card or Novus Product Discount.
  • Review with no image -- $10/€7/£6/$10 CAD/¥70 Yuan/¥1110 Yen
  • Review with an image -- $25/€18/£15/$25 CAD/¥150 Yuan/¥2500 Yen

Product General Protocols

Find general support by application which include: protocols, troubleshooting, illustrated assays, videos and webinars.

Video Protocols

WB Video Protocol

FAQs for TTF-1 / NKX2-1 Antibody (NBP3-44302) (0)

There are no specific FAQs related to this product. Read our general customer & technical service FAQs.

Secondary Antibodies

 

Isotype Controls

Additional TTF-1 / NKX2-1 Products

Research Areas for TTF-1 / NKX2-1 Antibody (NBP3-44302)

Find related products by research area.

Blogs on TTF-1 / NKX2-1

There are no specific blogs for TTF-1 / NKX2-1, but you can read our latest blog posts.

Customers Who Bought This Also Bought

Contact Information

Product PDFs

Calculators

Concentration Calculator

The concentration calculator allows you to quickly calculate the volume, mass or concentration of your vial. Simply enter your mass, volume, or concentration values for your reagent and the calculator will determine the rest.

=
÷

Review this Product

Be the first to review our TTF-1 / NKX2-1 Antibody (CL14523) - Azide and BSA Free and receive a gift card or discount.

Bioinformatics

Gene Symbol NKX2-1