TSLPR/CRLF2 Antibody (59N5G4) - Azide and BSA Free

Images

 
Western Blot: TSLPR/CRLF2 Antibody (59N5G4) - Azide and BSA Free [NBP2-81000] - Analysis of CRLF2 in an A) partial recombinant protein (0.1 ug/ml), B) human muscle and C) liver lysate (5 ug/ml) using CRLF2 antibody. ...read more
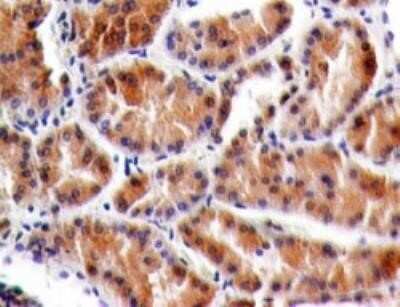
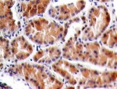
Immunohistochemistry-Paraffin: TSLPR/CRLF2 Antibody (59N5G4) - Azide and BSA Free [NBP2-81000] - Formalin-fixed, paraffin-embedded normal human kidney tissue stained with TSLPR antibody (5 ug/ml), peroxidase-conjugate ...read more

Product Details

Summary
Reactivity HuSpecies Glossary
Applications WB, IHC
Clone
59N5G4
Clonality
Monoclonal
Host
Mouse
Conjugate
Unconjugated
Format
Azide and BSA Free
Concentration
0.5 mg/ml

Order Details

TSLPR/CRLF2 Antibody (59N5G4) - Azide and BSA Free Summary

Description
Novus Biologicals Mouse TSLPR/CRLF2 Antibody (59N5G4) - Azide and BSA Free (NBP2-27331) is a monoclonal antibody validated for use in IHC and WB. All Novus Biologicals antibodies are covered by our 100% guarantee.
Immunogen
Amino acids 119-231 of human TSLPR protein were used as the immunogen for the antibody.
Isotype
IgG2b Kappa
Clonality
Monoclonal
Host
Mouse
Gene
CRLF2
Purity
Protein G purified
Innovator's Reward
Test in a species/application not listed above to receive a full credit towards a future purchase.

Applications/Dilutions

Dilutions
  • Immunohistochemistry
  • Immunohistochemistry-Paraffin
  • Western Blot 1:100-1:2000

Packaging, Storage & Formulations

Storage
Store at 4C short term. Aliquot and store at -20C long term. Avoid freeze-thaw cycles.
Buffer
PBS
Preservative
No Preservative
Concentration
0.5 mg/ml
Purity
Protein G purified

Alternate Names for TSLPR/CRLF2 Antibody (59N5G4) - Azide and BSA Free

  • CRL2
  • CRL2cytokine receptor CRL2 precusor
  • CRLF2
  • CRLF2Y
  • CRLM-2
  • Cytokine receptor-like 2
  • cytokine receptor-like factor 2
  • ILXR
  • IL-XR
  • P2RY8/CRLF2 fusion
  • PCOR1
  • Thymic stromal lymphopoietin protein receptor
  • thymic stromal lymphopoietin receptor
  • thymic stromal-derived lymphopoietin receptor
  • TSLP R
  • TSLP receptor
  • TSLPR

Background

TSLPR is a member of the hematopoietin receptor family which acts as a receptor for the cytokine thymic stromal lymphopoietin (TSLP) that promotes CD4(+) T cell homeostasis and contributes to allergic and inflammatory responses. TSLPR is a heterodimeric complex, consisting of the IL-7R-alpha chain and a common gamma-like receptor chain. The protein contains two fibronectin type III-like domains, four conserved cysteine residues, and a WSXWS box-like motif at its N-terminal, while the C-terminal intracellular region contains box 1 and box 2-like motifs. The protein is usually expressed in liver, kidney, heart, and skeletal muscle. The gene for human TSLPR is localized to the pseudoautosomal region, Xp22.3 and Yp11.3.

Limitations

This product is for research use only and is not approved for use in humans or in clinical diagnosis. Primary Antibodies are guaranteed for 1 year from date of receipt.

Customers Who Viewed This Item Also Viewed...

1398-TS
Species: Hu
Applications: BA
207-IL
Species: Hu
Applications: BA
NBP2-59451
Species: Hu
Applications: ELISA, Flow, ICC/IF, MiAr, Simple Western, WB
6507-IL/CF
Species: Hu
Applications: BA
NBP1-19371
Species: Ca, Hu, Mu, Po, Rb, Rt
Applications: Dual ISH-IHC, Flow, ICC/IF, IHC, IHC-Fr,  IHC-P, Simple Western, WB
AF2168
Species: Hu, Mu
Applications: ChIP, Simple Western, WB
AF1584
Species: Hu, Mu
Applications: CyTOF-ready, ICC, IP, ICFlow, KO, Simple Western, WB
AF4984
Species: Hu
Applications: ChIP, CyTOF-ready, ICC, ICFlow, Simple Western, WB
DY413
Species: Mu
Applications: ELISA
MAB4260
Species: Hu, Mu, Rt
Applications: Simple Western, WB
NBP1-72042
Species: Hu, Mu, Rt
Applications: ICC/IF, IHC,  IHC-P, PEP-ELISA, WB
AF284
Species: Hu
Applications: CyTOF-ready, Flow, Neut, WB
DDX0700P-100
Species: Ca, Hu
Applications: B/N, Flow, IP
202-IL
Species: Hu
Applications: BA
MAB10541
Species: Hu
Applications: CyTOF-ready, Flow, ICC, Neut
DY417
Species: Mu
Applications: ELISA
NBP2-81000
Species: Hu
Applications: WB, IHC
Supplier Logo

Publications for TSLPR/CRLF2 Antibody (NBP2-81000) (0)

There are no publications for TSLPR/CRLF2 Antibody (NBP2-81000).
By submitting your publication information earn gift cards and discounts for future purchases.

Reviews for TSLPR/CRLF2 Antibody (NBP2-81000) (0)

There are no reviews for TSLPR/CRLF2 Antibody (NBP2-81000). By submitting a review you will receive an Amazon e-Gift Card or Novus Product Discount.
  • Review with no image -- $10/€7/£6/$10 CAD/¥70 Yuan/¥1110 Yen
  • Review with an image -- $25/€18/£15/$25 CAD/¥150 Yuan/¥2500 Yen

Product General Protocols

Find general support by application which include: protocols, troubleshooting, illustrated assays, videos and webinars.

Video Protocols

WB Video Protocol

FAQs for TSLPR/CRLF2 Antibody (NBP2-81000) (0)

There are no specific FAQs related to this product. Read our general customer & technical service FAQs.

Secondary Antibodies

 

Isotype Controls

Additional TSLPR/CRLF2 Products

Research Areas for TSLPR/CRLF2 Antibody (NBP2-81000)

Find related products by research area.

Blogs on TSLPR/CRLF2

There are no specific blogs for TSLPR/CRLF2, but you can read our latest blog posts.

Customers Who Bought This Also Bought

Contact Information

Product PDFs

Calculators

Concentration Calculator

The concentration calculator allows you to quickly calculate the volume, mass or concentration of your vial. Simply enter your mass, volume, or concentration values for your reagent and the calculator will determine the rest.

=
÷

Review this Product

Be the first to review our TSLPR/CRLF2 Antibody (59N5G4) - Azide and BSA Free and receive a gift card or discount.

Bioinformatics

Gene Symbol CRLF2