TRIM40 Antibody - BSA Free

Images

 
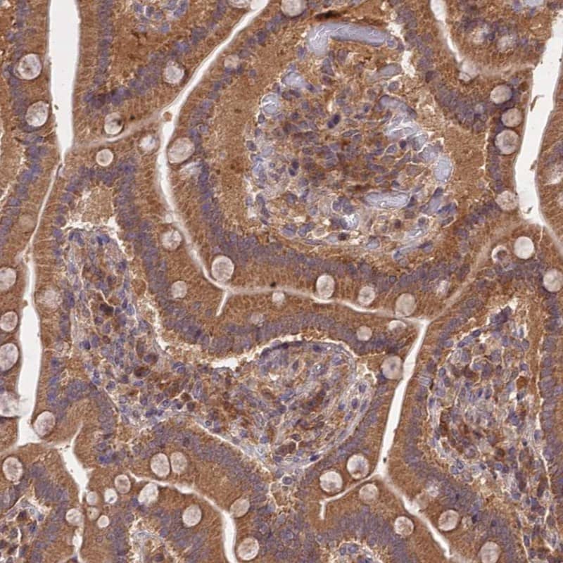
Immunohistochemistry-Paraffin: TRIM40 Antibody [NBP1-92530] - Staining of human stomach (lower) shows strong cytoplasmic positivity in glandular cells.
Staining of human duodenum shows strong cytoplasmic positivity in glandular cells.

Product Details

Summary
Reactivity HuSpecies Glossary
Applications IHC
Clonality
Polyclonal
Host
Rabbit
Conjugate
Unconjugated
Format
BSA Free

Order Details

View Available Formulations
Catalog# & Formulation Size Price

TRIM40 Antibody - BSA Free Summary

Description
Novus Biologicals Rabbit TRIM40 Antibody - BSA Free (NBP1-92530) is a polyclonal antibody validated for use in IHC. All Novus Biologicals antibodies are covered by our 100% guarantee.
Immunogen
This antibody was developed against Recombinant Protein corresponding to amino acids: QQWLGQLEHMPAEAARILDISRAVTQLRSLVIDLERTAKELDTNTLKNAGDLLNRSAPQKLEVIYPQLEKGVSELLLQP
Isotype
IgG
Clonality
Polyclonal
Host
Rabbit
Gene
TRIM40
Purity
Immunogen affinity purified
Innovator's Reward
Test in a species/application not listed above to receive a full credit towards a future purchase.

Applications/Dilutions

Dilutions
  • Immunohistochemistry 1:50 - 1:200
  • Immunohistochemistry-Paraffin 1:50 - 1:200
Application Notes
For IHC-Paraffin, HIER pH 6 retrieval is recommended. Immunocytochemistry/Immunofluorescence Fixation Permeabilization: Use PFA/Triton X-100.
Control Peptide
TRIM40 Protein (NBP1-92530PEP)

Packaging, Storage & Formulations

Storage
Store at 4C short term. Aliquot and store at -20C long term. Avoid freeze-thaw cycles.
Buffer
PBS (pH 7.2) and 40% Glycerol
Preservative
0.02% Sodium Azide
Purity
Immunogen affinity purified

Alternate Names for TRIM40 Antibody - BSA Free

  • RING finger protein 35
  • ring finger RNF35
  • RNF35ring finger protein 40
  • tripartite motif containing 40
  • tripartite motif-containing 40
  • tripartite motif-containing protein 40

Limitations

This product is for research use only and is not approved for use in humans or in clinical diagnosis. Primary Antibodies are guaranteed for 1 year from date of receipt.

Customers Who Viewed This Item Also Viewed...

H00001523-M01
Species: Hu, Mu, Rt
Applications: ELISA, ICC/IF, IHC,  IHC-P, IP, WB
NBP2-47525
Species: Hu
Applications: IHC,  IHC-P, WB
NBP3-42059
Species: Mu
Applications: IHC,  IHC-P, WB
NBP1-83494
Species: Hu
Applications: IHC,  IHC-P
NBP2-85982
Species: Hu
Applications: WB
NBP1-76279
Species: Hu, Mu, Rt
Applications: ELISA, ICC/IF, IHC,  IHC-P, WB
NB100-448
Species: Ca, ChHa, Hu, Mu
Applications: ICC/IF, IHC,  IHC-P, WB
UL-812
Species: Hu, Mu, Rt
Applications: EnzAct
AF4708
Species: Hu
Applications: CyTOF-ready, ICFlow, Simple Western, WB
MAB342
Species: Hu
Applications: AgAct, ICC, WB
NBP1-56454
Species: Hu
Applications: WB
NBP2-13464
Species: Hu
Applications: ICC/IF, IHC,  IHC-P
739-G9
Species: Mu
Applications: BA
AF5725
Species: Hu
Applications: IHC
NBP3-38079
Species: Hu, Mu, Rt
Applications: ELISA, ICC/IF, IHC,  IHC-P, WB
NB600-1441
Species: Ca, Hu, Mu, Po
Applications: Flow, ICC/IF, IHC, IHC-Fr,  IHC-P, KD
NBP1-90578
Species: Hu
Applications: IHC,  IHC-P
NBP3-45604
Species: Hu, Mu, Rt
Applications: ELISA, ICC/IF, IHC, IP, WB
AF3428
Species: Hu
Applications: ICC, Simple Western, WB
NB120-6405
Species: Rt
Applications: B/N, CyTOF-ready, EM, ELISA, Flow-IC, Flow, ICC/IF, IHC, IHC-Fr,  IHC-P, IP

Publications for TRIM40 Antibody (NBP1-92530) (0)

There are no publications for TRIM40 Antibody (NBP1-92530).
By submitting your publication information earn gift cards and discounts for future purchases.

Reviews for TRIM40 Antibody (NBP1-92530) (0)

There are no reviews for TRIM40 Antibody (NBP1-92530). By submitting a review you will receive an Amazon e-Gift Card or Novus Product Discount.
  • Review with no image -- $10/€7/£6/$10 CAD/¥70 Yuan/¥1110 Yen
  • Review with an image -- $25/€18/£15/$25 CAD/¥150 Yuan/¥2500 Yen

Product General Protocols

Find general support by application which include: protocols, troubleshooting, illustrated assays, videos and webinars.

FAQs for TRIM40 Antibody (NBP1-92530) (0)

There are no specific FAQs related to this product. Read our general customer & technical service FAQs.

Secondary Antibodies

 

Isotype Controls

Additional TRIM40 Products

Research Areas for TRIM40 Antibody (NBP1-92530)

Find related products by research area.

Blogs on TRIM40

There are no specific blogs for TRIM40, but you can read our latest blog posts.

Customers Who Bought This Also Bought

Contact Information

Product PDFs

Calculators

Concentration Calculator

The concentration calculator allows you to quickly calculate the volume, mass or concentration of your vial. Simply enter your mass, volume, or concentration values for your reagent and the calculator will determine the rest.

=
÷

Review this Product

Be the first to review our TRIM40 Antibody - BSA Free and receive a gift card or discount.

Bioinformatics

Gene Symbol TRIM40